Другие названия и синонимы
Berger 's disease, IgA-нефропатия, Идиопатическая возвратная гематурия, Очаговый пролиферативный гломерулонефрит, Синфарингитная гематурия.
МКБ-10 коды
|
|
Описание
Болезнь Берже (IgA. Нефропатия) - форма гломерулонефрита инфекционно - аутоиммунного характера, характеризующаяся мезангиопролиферативным воспалением с отложением иммунных комплексов. Клиническое течение сопровождается периодической макрогематурией вскоре после инфекционных заболеваний дыхательных путей, органов ЖКТ, изредка возможна постоянная микрогематурия, протеинурия, нефротический синдром с перемежающейся ОПН. Диагностика основывается на результатах лабораторных исследований мочи, иммунограммы крови, гистологического изучения биоптата почки. В лечении патологии используют симптоматическую терапию, иммуносупрессивные средства, антигипертензивные препараты.
Дополнительные факты
Болезнь Берже также известна под названиями очаговый пролиферативный гломерулонефрит, синфарингитная гематурия или идиопатическая возвратная макрогематурия. Синонимические названия отражают разные черты патологии - пролиферативный характер воспаления почек, рецидивирующее развитие гематурии и ее связь с заболеваниями верхних дыхательных путей (фарингитом). Считается самым распространенным вариантом гломерулонефрита в мире - средняя частота встречаемости составляет 5 случаев на 100 тысяч населения, в азиатских странах регистрируется в 5-6 раз чаще, колеблется от 5 до 30% всех случаев воспаления почек. Мужчины страдают от синдрома Берже в несколько раз чаще женщин, среди заболевших преобладают лица в возрасте от 15 до 30 лет. Наблюдается некоторая сезонность обострений (увеличение в осенне-зимний период), что связано с большей частотой простудных заболеваний в холодное время года.
Причины
Данная нефропатия является патологией со сложной и многофакторной этиологией, включающей в себя ряд инфекционных, иммунологических и генетических особенностей организма. Достоверно доказана взаимосвязь заболевания с рядом бактериальных и вирусных инфекций, некоторыми аутоиммунными патологическими состояниями и определенными генетическими мутациями. Роль генетики в патогенезе состояния косвенно доказывают также особенности этнического и расового распространения болезни. Таким образом, выделяют следующие группы этиологических факторов:
• Инфекционные факторы. К ним относят разнообразные бактериальные и вирусные инфекции дыхательных путей, ЖКТ, кожи. У многих больных в анамнезе часто обнаруживаются ангины, гастрит, вирусный гепатит, герпесвирусная инфекция. Считается, что поражение почечной ткани при этих инфекциях обусловлено нетипичной иммунологической реакцией на антигены возбудителя.
• Иммунологические факторы. Патогенетическим субстратом состояния считается появление иммунных комплексов, которые не могут элиминироваться печенью и почками. Причиной их образования являются нарушения синтеза разных форм иммуноглобулина А, нетипичная реакция иммунитета на экзогенные (инфекционные, реже аллергенные) и эндогенные (опухолевые, клеточные) антигены.
• Генетические факторы. Этнические особенности распределения синдрома Берже обусловлены генетическими факторами. В частности, у больных обнаружены нетипичные мутации на 6-й хромосоме, изменения в генах, контролирующих синтез цепей главного комплекса гистосовместимости и рецепторов гепатоцитов. Выявлена повышенная частота развития патологии у лиц, имеющих некоторые наследственные заболевания - целиакию, галактоземию и ряд других.
Роль влияния внешних факторов является предметом обсуждения - возможно, они выступают причиной полиморфной клинической картины состояния. Употребление некоторых продуктов питания, характерных для азиатского региона (неочищенный морепродукты), может усугублять течение нефропатии, что наряду с генетическими особенностями становится причиной более частой регистрации заболевания на этой территории. Роль сопутствующих патологий (артериальной гипертензии, воспалений мочевыводящих путей) в развитии болезни на сегодняшний момент не установлена.
• Инфекционные факторы. К ним относят разнообразные бактериальные и вирусные инфекции дыхательных путей, ЖКТ, кожи. У многих больных в анамнезе часто обнаруживаются ангины, гастрит, вирусный гепатит, герпесвирусная инфекция. Считается, что поражение почечной ткани при этих инфекциях обусловлено нетипичной иммунологической реакцией на антигены возбудителя.
• Иммунологические факторы. Патогенетическим субстратом состояния считается появление иммунных комплексов, которые не могут элиминироваться печенью и почками. Причиной их образования являются нарушения синтеза разных форм иммуноглобулина А, нетипичная реакция иммунитета на экзогенные (инфекционные, реже аллергенные) и эндогенные (опухолевые, клеточные) антигены.
• Генетические факторы. Этнические особенности распределения синдрома Берже обусловлены генетическими факторами. В частности, у больных обнаружены нетипичные мутации на 6-й хромосоме, изменения в генах, контролирующих синтез цепей главного комплекса гистосовместимости и рецепторов гепатоцитов. Выявлена повышенная частота развития патологии у лиц, имеющих некоторые наследственные заболевания - целиакию, галактоземию и ряд других.
Роль влияния внешних факторов является предметом обсуждения - возможно, они выступают причиной полиморфной клинической картины состояния. Употребление некоторых продуктов питания, характерных для азиатского региона (неочищенный морепродукты), может усугублять течение нефропатии, что наряду с генетическими особенностями становится причиной более частой регистрации заболевания на этой территории. Роль сопутствующих патологий (артериальной гипертензии, воспалений мочевыводящих путей) в развитии болезни на сегодняшний момент не установлена.
Патогенез
В настоящее время известно несколько основных патогенетических сценариев развития IgA-нефропатии. При заболевании в крови возникают иммунные комплексы, содержащие полимерные формы иммуноглобулина А, которые обычно выделяются на слизистых оболочках и в ничтожном количестве встречаются в кровотоке. Выделение повышенных количеств полимерных разновидностей IgA обусловлено аномалиями их синтеза в костном мозге и нарушениями элиминации через печень по причине дефектов в рецепторах гепатоцитов. В конечном итоге единственным путем выведения иммуноглобулинов и связанных с ними антигенов становятся почки, но размер молекул слишком велик, поэтому они могут откладываться в клубочках нефронов.
Отложения иммунных комплексов в тканях почек активируют лейкоцитарную реакцию и систему комплемента, из-за чего возникает вялое диффузное воспаление с попаданием в мочу эритроцитов и незначительных количеств белка. Влияние факторов, активирующих синтез иммуноглобулинов (воспалительные реакции, инфекционные заболевания), приводит к попаданию больших количеств IgA в выделительную систему и усиливает иммунные реакции. Именно с этим связаны обострения IgA-нефропатии вскоре после перенесенных ангин, ларингитов, заболеваний ЖКТ, вирусных инфекций. Выраженность воспалительных проявлений в период обострения может быть высокой, способна приводить к преходящей острой острой почечной недостаточности. Скрытее и вялотекущие формы могут протекать бессимптомно длительное время, развитие ХПН в большинстве случаев занимает десятки лет.
Отложения иммунных комплексов в тканях почек активируют лейкоцитарную реакцию и систему комплемента, из-за чего возникает вялое диффузное воспаление с попаданием в мочу эритроцитов и незначительных количеств белка. Влияние факторов, активирующих синтез иммуноглобулинов (воспалительные реакции, инфекционные заболевания), приводит к попаданию больших количеств IgA в выделительную систему и усиливает иммунные реакции. Именно с этим связаны обострения IgA-нефропатии вскоре после перенесенных ангин, ларингитов, заболеваний ЖКТ, вирусных инфекций. Выраженность воспалительных проявлений в период обострения может быть высокой, способна приводить к преходящей острой острой почечной недостаточности. Скрытее и вялотекущие формы могут протекать бессимптомно длительное время, развитие ХПН в большинстве случаев занимает десятки лет.
Классификация
Болезнь Берже подразделяют на несколько клинических форм, которые характеризуются разной тяжестью проявлений, прогностическими данными и подходами к лечению. Разделение является условным - разновидности состояния могут перетекать одно в другое. Это дает повод некоторым исследователям рассматривать их как стадии развития единого патологического процесса, прогрессирующего под действием внешних и внутренних факторов. Значительные различия в скорости прогрессирования приводят к видимости существования различных форм нефропатии. Всего выделяют три основные формы заболевания:
• Синфарингитная форма. Считается самой распространенной, проявляется периодическими обострениями, которые связаны с воспалительными заболеваниями дыхательных путей или желудочно-кишечного тракта (кишечная инфекция). Пик проявлений возникает через 1-2 дня после инфекционной патологии, их выраженность колеблется от макрогематурии и болей в пояснице до преходящей ОПН. В период между обострениями никаких клинических или лабораторных симптомов нефропатии не определяется.
• Латентная форма. Регистрируется примерно у трети больных, характеризуется менее выраженными симптомами, но считается более серьезной в прогностическом отношении. Обычно никаких субъективных проявлений не обнаруживается, признаки синдрома Берже выявляются при лабораторном исследовании мочи в виде слабой протеинурии и микрогематурии. Количество выделяемого с мочой белка постепенно увеличивается, фильтрующая способность почек уменьшается, что создает условия для развития ХПН.
• Нефротическая форма. Диагностируется у небольшого процента больных с IgA-нефропатией, сопровождается выраженной протеинурией, макрогематурией, онкотическими отеками, гиповолемией и гиперлипидемией. Крайне редко возникает первично, обычно становится осложнением синфарингитных и латентных форм заболевания.
• Синфарингитная форма. Считается самой распространенной, проявляется периодическими обострениями, которые связаны с воспалительными заболеваниями дыхательных путей или желудочно-кишечного тракта (кишечная инфекция). Пик проявлений возникает через 1-2 дня после инфекционной патологии, их выраженность колеблется от макрогематурии и болей в пояснице до преходящей ОПН. В период между обострениями никаких клинических или лабораторных симптомов нефропатии не определяется.
• Латентная форма. Регистрируется примерно у трети больных, характеризуется менее выраженными симптомами, но считается более серьезной в прогностическом отношении. Обычно никаких субъективных проявлений не обнаруживается, признаки синдрома Берже выявляются при лабораторном исследовании мочи в виде слабой протеинурии и микрогематурии. Количество выделяемого с мочой белка постепенно увеличивается, фильтрующая способность почек уменьшается, что создает условия для развития ХПН.
• Нефротическая форма. Диагностируется у небольшого процента больных с IgA-нефропатией, сопровождается выраженной протеинурией, макрогематурией, онкотическими отеками, гиповолемией и гиперлипидемией. Крайне редко возникает первично, обычно становится осложнением синфарингитных и латентных форм заболевания.
Клиническая картина
Клинические проявления зависят от формы данного состояния. Самая распространенная синфарингитная гематурия характеризуется резким началом на 2-3 сутки после инфекционного заболевания - фарингита, ларингита, кишечной инфекции. Иногда пусковым фактором болезни Берже могут выступать вакцинации, тяжелые физические нагрузки, длительные инсоляции (солнечный загар, посещение солярия). Пациенты жалуются на боль и дискомфортные ощущения в области поясницы, моча становится красноватого оттенка (макрогематурия), ее количество уменьшается. В редких случаях регистрируются признаки ОПН - задержка мочи с последующей полиурией, нарушения водно-солевого обмена. У некоторых пациентов приступ сопровождается повышением уровня артериального давления. Чаще всего при синфарингитной форме IgA-нефропатии почечная функция полностью восстанавливается через несколько дней или недель.
Ассоциированные симптомы: Гематурия. Лейкоцитоз. Протеинурия. Увеличение СОЭ.
Ассоциированные симптомы: Гематурия. Лейкоцитоз. Протеинурия. Увеличение СОЭ.
|
|
Возможные осложнения
Основным и самым распространенным осложнением IgA-нефропатии является почечная недостаточность. Острые формы (ОПН) могут возникать при приступе синфарингитных разновидностей и иногда при нефротическом типе заболевания. Хроническая почечная недостаточность развивается медленно, регистрируется в течение 15 лет примерно у половины больных. Среди прочих осложнений нефропатии выделяют риски развития гиповолемического шока, нефротического криза, тромбозов на высоте приступа болезни. Отсутствие комплексного лечения во много раз повышает риск возникновения почечной недостаточности и других осложнений нефропатии.
Диагностика
В нефрологии определение патологии Берже производится на основании результатов общего осмотра пациента, сбора анамнеза, лабораторных данных (общих, биохимических и иммунологических показателей крови и мочи). Кроме того, в спорных случаях может быть назначено гистологическое исследование почек, цистоскопия, рентгенографические методы диагностики - в основном, для исключения других заболеваний. Осложняют диагностику патологии такие обстоятельства, как рецидивирующее течение синфарингитных форм (в период ремиссии проявления нефропатии практически не обнаруживаются) и отсутствие явной симптоматики при наличии латентных разновидностей. Все диагностические мероприятия при нефропатии разделяют на группы:
• Физикальный осмотр и сбор анамнеза. При расспросе пациента обращают внимание на частоту аллергических и инфекционных состояний в прошлом, пытаются найти их взаимосвязь с почечными проявлениями (гематурией, болью в пояснице). Нефротические типы нефропатии характеризуются наличием отеков, увеличением живота из-за асцита, симптомами почечной недостаточности.
• Лабораторные исследования крови. Изменения в общем анализе крови незначительные - при остром приступе возможно увеличение СОЭ, нерезко выраженный лейкоцитоз, повышение гематокрита. Биохимические показатели изменяются сильнее - увеличивается уровень глобулинов крови, креатинина (из-за нарушенной фильтрации в почках), при развитии нефротического синдрома возникает гипоальбуминемия и гиперлипидемия. Иммунологическое исследование крови указывает на рост уровня IgA и небольшое снижение фракций комплемента.
• Лабораторные исследования мочи. При синфарингитном типе патологии в моче отмечается макрогематурия, протеинурия до уровня 1-2 г/л, иммунологическое исследование обнаруживает наличие комплексов на основе IgA и незначительное количество компонентов комплемента (С3). Латентный вариант болезни Берже проявляется слабо выраженной протеинурией (до 0,3 г/л), наличием выщелоченных эритроцитов в моче.
• Инструментальная диагностика. УЗИ почек часто не выявляет специфических изменений на начальных этапах заболевания, лишь при длительном течении можно обнаружить незначительное уменьшение размеров органа. В основном УЗИ и УЗДГ почек применяются для дифференциальной диагностики. Экскреторная урография указывает на задержку контраста по причине пониженной фильтрационной способности.
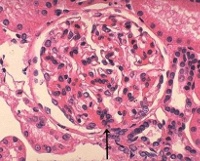
• Гистологическое изучение. Биопсия почек с гистологическим исследованием материала является наиболее точным методом диагностики IgA-нефропатии. Обнаруживаются признаки воспаления в мезангиальном пространстве, гистохимическими методами в нем выявляются отложения иммунных комплексов.
• Физикальный осмотр и сбор анамнеза. При расспросе пациента обращают внимание на частоту аллергических и инфекционных состояний в прошлом, пытаются найти их взаимосвязь с почечными проявлениями (гематурией, болью в пояснице). Нефротические типы нефропатии характеризуются наличием отеков, увеличением живота из-за асцита, симптомами почечной недостаточности.
• Лабораторные исследования крови. Изменения в общем анализе крови незначительные - при остром приступе возможно увеличение СОЭ, нерезко выраженный лейкоцитоз, повышение гематокрита. Биохимические показатели изменяются сильнее - увеличивается уровень глобулинов крови, креатинина (из-за нарушенной фильтрации в почках), при развитии нефротического синдрома возникает гипоальбуминемия и гиперлипидемия. Иммунологическое исследование крови указывает на рост уровня IgA и небольшое снижение фракций комплемента.
• Лабораторные исследования мочи. При синфарингитном типе патологии в моче отмечается макрогематурия, протеинурия до уровня 1-2 г/л, иммунологическое исследование обнаруживает наличие комплексов на основе IgA и незначительное количество компонентов комплемента (С3). Латентный вариант болезни Берже проявляется слабо выраженной протеинурией (до 0,3 г/л), наличием выщелоченных эритроцитов в моче.
• Инструментальная диагностика. УЗИ почек часто не выявляет специфических изменений на начальных этапах заболевания, лишь при длительном течении можно обнаружить незначительное уменьшение размеров органа. В основном УЗИ и УЗДГ почек применяются для дифференциальной диагностики. Экскреторная урография указывает на задержку контраста по причине пониженной фильтрационной способности.
• Гистологическое изучение. Биопсия почек с гистологическим исследованием материала является наиболее точным методом диагностики IgA-нефропатии. Обнаруживаются признаки воспаления в мезангиальном пространстве, гистохимическими методами в нем выявляются отложения иммунных комплексов.
Дифференциальная диагностика
Дифференциальную диагностику IgA-нефропатии проводят с другими формами нефропатии, мочекаменной болезнью, онкологическими поражениями органов мочевыделительной системы. Для этого больным назначают цистоскопию, рентгенологические и ультразвуковые исследования, определяют уровень уратов в биохимическом анализе крови. Вспомогательную роль в диагностике нефропатии играет выявление заболеваний, способных спровоцировать поражение почек - воспаления миндалин, гепатитов, кишечных инфекций.
Лечение
Этиотропное специфическое лечение болезни Берже не разработано, врачами-нефрологами используется симптоматическая, нефропротективная и поддерживающая терапия. При развитии почечной недостаточности показано назначение гемодиализа по показаниям. Трансплантация почек, применяющаяся в исключительных случаях, не является эффективным методом лечения - примерно у каждого второго больного в пересаженном органе развиваются аналогичные изменения. Это говорит о преимущественно экстраренальных причинах патологии. Наиболее часто при лечении заболевания используют следующие методы:
• Нефропротективная терапия. Применяют препараты, снижающие артериальное давление (ингибиторы АПФ, блокаторы ангиотензиновых рецепторов) и антиагреганты (дипиридамол). Помимо лекарственных средств для снижения нагрузки на выделительную систему рекомендуют поддержание оптимального водного режима, ограничение потребления поваренной соли.
• Антибактериальная терапия. Назначается в тех случаях, когда точно доказана взаимосвязь между нефропатией и наличием очага бактериальной инфекции (при синфарингитных формах). Выбор антибиотика и схема его приема зависят от характера возбудителя, что определяется при дополнительной диагностике. Иногда применяют метод удаления инфекционного очага (тонзиллэктомию).
• Противовоспалительная терапия. С этой целью назначают глюкокортикостероидные средства (преднизолон и его аналоги). Их используют при всех формах данной нефропатии, дозировка зависит от выраженности протеинурии, которая отражает степень повреждения почек.
• Иммуносупрессивная терапия. Применение цитостатиков и других иммуносупрессоров показано при тяжелых случаях и выраженном иммунологическом повреждении органов выделительной системы. Их включают в комплексную терапию нефротических форм болезни Берже.
В зависимости от наличия других симптомов повреждения почек и экстраренальных проявлений больным также показана инфузионная терапия, статины (для уменьшения уровня липидов крови), гипотензивные средства. Важен отказ от вредных привычек - курения, употребления алкоголя. Во избежание провоцирования приступа гематурии следует избегать физических нагрузок, длительного нахождения под солнцем.
• Нефропротективная терапия. Применяют препараты, снижающие артериальное давление (ингибиторы АПФ, блокаторы ангиотензиновых рецепторов) и антиагреганты (дипиридамол). Помимо лекарственных средств для снижения нагрузки на выделительную систему рекомендуют поддержание оптимального водного режима, ограничение потребления поваренной соли.
• Антибактериальная терапия. Назначается в тех случаях, когда точно доказана взаимосвязь между нефропатией и наличием очага бактериальной инфекции (при синфарингитных формах). Выбор антибиотика и схема его приема зависят от характера возбудителя, что определяется при дополнительной диагностике. Иногда применяют метод удаления инфекционного очага (тонзиллэктомию).
• Противовоспалительная терапия. С этой целью назначают глюкокортикостероидные средства (преднизолон и его аналоги). Их используют при всех формах данной нефропатии, дозировка зависит от выраженности протеинурии, которая отражает степень повреждения почек.
• Иммуносупрессивная терапия. Применение цитостатиков и других иммуносупрессоров показано при тяжелых случаях и выраженном иммунологическом повреждении органов выделительной системы. Их включают в комплексную терапию нефротических форм болезни Берже.
В зависимости от наличия других симптомов повреждения почек и экстраренальных проявлений больным также показана инфузионная терапия, статины (для уменьшения уровня липидов крови), гипотензивные средства. Важен отказ от вредных привычек - курения, употребления алкоголя. Во избежание провоцирования приступа гематурии следует избегать физических нагрузок, длительного нахождения под солнцем.
Прогноз
Прогноз болезни Берже неопределенный, зависит от показателей конкретного больного. По статистике, в течение 16-20 лет приблизительно у 30-50% пациентов развивается ХПН, но ее прогрессирование крайне медленное и доброкачественное. При правильном соблюдении предписаний врача и поддерживающей терапии качество жизни больных сохраняется на высоком уровне.
Профилактика
Методы профилактики патологии не разработаны, некоторые специалисты рекомендуют своевременное полноценное лечение хронических инфекций (воспаления миндалин и других), но достоверных данных, что эти меры позволяют избежать синфарингитной нефропатии, нет. Профилактические мероприятия (водный режим, ограничение соли, исключение вредных привычек) дают возможность существенно замедлить прогрессирование повреждения почек.
|
|