Продолжая работу с сайтом, вы разрешаете использование сookies и соглашаетесь с политикой конфиденциальности.
.,о.,р..и.:г,.и.,н.;н.,а;,л.. .,н.:а,.х.,о.,д.;и.,т..с.:я,, ..н.;а., .,k;,i..b.:e,;r.,i.,s.,.;.r.:u,

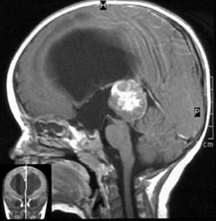
Эпендимома головного мозга

ДобавьАналогиСравни
Нигде не найдено ... скрыть
 
По жалобе ничего не найдено в выбранном разделе медицины. Попробуйте переформулировать жалобу или сменить источник поиска выше
Лечат в 3004 клиниках 134 городов
X
X
Нужен: онколог, 4 анализа, 1 услугу
Краснодар, пгт Яблоновский, ул. Гагарина, д. 157/2 +7(861..показать+7(495) 104-88-01, +7(861) 257-15-00, +7(861) 290-47-07 от 5180₽
Краснодар, ул. Василия Мачуги, д. 84 +7(861..показать+7(495) 104-88-01, +7(861) 257-15-00 от 5180₽
Ростов-на-Дону, ул. 1-я линия, д. 6 +7(800..показать+7(495) 104-88-01, +7(800) 234-74-40 от 5640₽
Казань, ул. Пушкина, д. 1/55 +7(843..показать+7(495) 104-88-01, +7(843) 500-57-86 от 6440₽
Новосибирск, Красный пр-т, д. 54 +7(383..показать+7(495) 104-88-01, +7(383) 217-04-11 от 6520₽
Санкт-Петербург, Лиговский пр-т, д. 108А +7(495..показать+7(495) 104-88-01 от 6660₽
Санкт-Петербург, ул. Херсонская, д. 4 +7(812..показать+7(495) 104-88-01, +7(812) 322-93-90 от 6660₽
Москва, ул. Будайская, д. 2 +7(495..показать+7(495) 104-88-01, +7(495) 727-00-03, +7(499) 187-08-17 от 7102₽
Ростов-на-Дону, Театральная площадь, д. 4 +7(863..показать+7(495) 104-88-01, +7(863) 306-77-50 от 7500₽
Москва, ул. Шоссейная, д. 43 +7(495..показать+7(495) 104-88-01, +7(495) 354-34-02, +7(495) 644-47-05, +7(495) 644-47-10 от 7525₽
Ещё 2994 клиники
  1. МКБ-10 коды
  2. Описание
  3. Дополнительные факты
  4. Причины
  5. Клиническая картина
  6. Диагностика
  7. Лечение
  8. Прогноз
  9. Похожие заболевания
  10. Связанные клинические рекомендации
  11. Связанные стандарты мед. помощи
  12. Основные медицинские услуги
  13. Клиники для лечения

Другие названия и синонимы

Ependymoma of the brain.
Эпендимома

МКБ-10 коды

Описание

 Эпендимома головного мозга. Опухоль из эпендимальной ткани желудочковой системы головного мозга. Клинически проявляется, прежде всего, признаками повышенного внутричерепного давления, а также атаксией, нарушениями со стороны зрения и слуха, судорожными приступами, нарушением речи и глотания. Диагностика осуществляется преимущественно при помощи МРТ головного мозга, спинальной пункции, ЭЭГ, гистологического исследования. Основу лечения составляет радикальное удаление эпендимомы с последующей лучевой или химиотерапией. У взрослых применяется стереотаксическая радиохирургия.

Дополнительные факты

 Эпендимома головного мозга - опухоль ЦНС, берущая свое начало из эпендимоцитов. Последние представляют собой эпителиоподобные клетки, образующие эпендиму - тонкую эпителиальную выстилку церебральных желудочков и центрального спинномозгового канала. Эпендимомы составляют до 8% всех опухолей головного мозга, относятся к глиомам. Эпендимомы чаще встречаются в детском возрасте, около 60% больных составляют дети первых пяти лет жизни. По своей распространенности эпендимома головного мозга занимает 3-е место среди всех церебральных опухолей у детей. В детском возрасте более часто, чем у взрослых, наблюдаются ее злокачественные варианты.
 Эпендимома головного мозга чаще образуется в задней черепной ямке. Во многих случаях характеризуется медленным ростом, отсутствием прорастания в окружающие церебральные ткани. Однако по мере роста новообразования оно может вызвать масс-эффект - сдавление головного мозга. Метастазирование эпендимомы происходит преимущественно по ликворным путям и, как правило, не выходит за пределы ЦНС. Наиболее часто отмечаются ретроградные метастазы в спинной мозг. Лечение эпендимом является актуальной проблематикой современной онкологии, неврологии и нейрохирургии.

Причины

 Исследования позволили обнаружить вирус SV40, находящийся в клетках эпендимом в активном состоянии. Однако до сих пор не понятна его роль в развитии новообразования. Предполагают, что эпендимома головного мозга возникает в связи с воздействием общих для большинства опухолей онкогенных факторов: химических канцерогенов, радиоактивного излучения, длительно действующих неблагоприятных природных условий (например, гиперинсоляции), онкогенных вирусов (вирус герпеса, папилломы человека и пр.
 Кроме того, нельзя исключить участия генетических факторов в развитии эпендимом. Известны сочетания церебральных эпендимом с нейрофиброматозом Реклингхаузена, синдромом множественных эндокринных неоплазий, семейным полипозом толстой кишки.

Клиническая картина

 Эпендимома головного мозга манифестирует признаками внутричерепной гипертензии: нарастающей головной болью, ощущением давления в глазных яблоках, независимой от приема пищи тошнотой, рвотой. Наряду с этим у многих пациентов наблюдается раздражительность, некоторые изменения в привычном поведении, атаксия - неуклюжесть и шаткость ходьбы, дискоординация движений, затрудняющая, в первую очередь, мелкие действия руками, и письмо. У детей школьного возраста отмечается заметное ухудшение результатов учебы.
 Выше указанные симптомы являются следствием ликворно-гипертензионного синдрома и усугубляются по мере нарастания внутричерепного давления. Если эпендимома становится препятствием на пути циркуляции цереброспинальной жидкости и вызывает обтурацию ликворных путей, развивается обтурационная гидроцефалия. В клинической картине это проявляется резким нарастанием имеющихся симптомов - головная боль становиться очень интенсивной и сопровождается многократной рвотой без облегчения состояния. Возможны судорожные приступы.
 Ассоциированные симптомы: Боль во всей голове. Головная боль. Персеверация. Раздражительность. Рвота. Судороги. Тонико-клонические судороги. Тошнота. Тремор при движении. Тремор рук.

Диагностика

 Выраженный ликворно-гипертензионный синдром, появление другой неврологической симптоматики или впервые возникший эпиприступ являются для невролога поводом к направлению пациента на МРТ или КТ головного мозга. МРТ головного мозга предпочтительнее, поскольку дает более полную информацию и позволяет избежать лучевой нагрузки, особенно, когда речь идет об обследовании ребенка. Для детей до года этапом первичной диагностики может стать нейросонография, которая выполняется через еще незакрывшийся родничок.
 Дополнительно проводится электроэнцефалография, консультация офтальмолога, прямая офтальмоскопия. Для определения распространенности процесса на спинномозговой канал производится люмбальная пункция и исследование цереброспинальной жидкости. Окончательная верификация диагноза возможна лишь после морфологического изучения материала эпендимомы, полученного интраоперационно или путем стереотаксической биопсии.

Лечение

 Оптимальным способом лечения эпендимомы является ее тотальное удаление. Частое расположение опухоли в задней черепной ямки обуславливает определенные трудности доступа к ней, с которыми сталкивается нейрохирург. Если полное удаление опухоли невозможно, операция может носить паллиативный характер. В таких случаях для улучшения оттока цереброспинальной жидкости может быть проведена шунтирующая операция. С целью уменьшения вероятности рецидива церебральной эпендимомы после хирургического лечения проводится лучевая терапия. У детей раннего возраста, мозг которых особо восприимчив к радиоактивному излучению, лучевая терапия должна быть сокращена или заменена химиотерапией. Лечение цитостатиками (цисплатином, карбоплатином) может проводиться после лучевой терапии или вместо нее. Его объем зависит от характера и распространенности эпиндимомы.
 У взрослых разрушение опухоли возможно методом стереотаксической радиохирургии. Последнее время все шире применяется установка «Кибер-нож», позволяющая достигнуть большой суммарной дозы облучения эпендимомы путем схождения на опухоли многочисленных пучков, исходящих из разных точек аппарата. Однако, в связи с большой лучевой нагрузкой, этот метод не рекомендован детям до 14 лет.

Прогноз

 Миксопапиллярная эпендимома и субэпиндимома после их радикального удаления обычно имеют благоприятный прогноз. В случае классической эпендимомы полное удаление удается не всегда. Новообразование рецидивирует, как правило, в месте своего первоначального появления. При удачном удалении 5-летняя выживаемость оценивается на уровне 67-80%. Наиболее негативный прогноз у анапластической эпендимомы, что связано с ее быстрым распространением по ликворным путям. Следует отметить, что даже после успешно осуществленного лечения у пациентов в последующем может сохраняться различная неврологическая симптоматика, тугоухость, ухудшение зрения; у детей возможна задержка психического развития.

Похожие заболевания

Связанные клинические рекомендации

Связанные стандарты мед. помощи

42a96bb5c8a2acfb07fc866444b97bf1
Доступно только при использовании PRO аккаунта
Модератор контента: Васин А.С.


  1. Киберис НЕ является интернет-магазином и НЕ осуществляет закупку, хранение, продажу и доставку препаратов. Ресурс выступает лишь в роли посредника между вами и производителем препаратов или аптечными пунктами, которые и осуществляют поставку.
  2. На Киберис размещены описания препаратов, часть из которых предназначена только для врачей. Данная информация не может быть использована пациентами для принятия решения об использовании препаратов, их отмене или коррекции дозировок.
  3. Ничто в представленной информации не должно быть истолковано как призыв использовать данные препараты.
  4. К Киберис не могут быть обращены претензии по поводу любого ущерба или вреда, понесенного в результате использования размещенной на сайте информации.