Другие названия и синонимы
Craniopharyngioma.МКБ-10 коды
|
|
Описание
Краниофарингиома - это доброкачественная опухоль головного мозга, имеющая эмбриональное происхождение. Она чаще всего локализуется в гипоталамо-гипофизарной области и возникает из клеток эмбрионального глоточного кармана Ратке. Краниофарингиомы характеризуются наличием кистозного и солидного компонентов, и по мере прогрессирования опухоли в ней могут возникать кисты с желтовато-бурой жидкостью, а также с большим содержанием белка и холестерина. Обычно они встречаются в детском и подростковом возрасте, но также могут быть и у взрослых.
Краниофарингиома дает о себе знать когда она начинает сдавливать структуры мозга или нарушает циркуляцию ликвора в головном мозге. Поэтому чаще всего они выявляются уже больших размеров, обычно более 30 Для краниофарингиом, как доброкачественных опухолей, характерен медленный рост, но для них типично инфильтрирование в ткань гипофиза и его ножек, в зрительный нерв и хиазму, а также внутричерепные артерии.
Пока эти опухоли никак не проявляют себя, они могут оставаться невыявленными в течение многих лет. Симптоматика чаще всего появляется в возрасте 10 - 20 лет. В 55-60% случаев краниофарингиомы - это кистозные образования, и лишь в 15% - солидные. В остальных же случаях эта опухоль имеют смешанное строение. Для краниофарингиомы хаактерно т.н. супраселлярное положение, то есть, над турецким седлом. По мере роста опухоль сдавливает зрительный перекрест, а также гипоталамус с гипофизом. В итоге страдает секреция гормонов аденогипофиза, а в некоторых случаях может возникнуть и т.н. несахарный диабет.
Симптоматика краниофарингиомы:
Клиническая картина краниофарингиомы зависит, прежде всего, от локализации опухоли и ее размеров. Если опухоль сдавливает гипофиза или его ножки, возникает симптоматика гипофизарной недостаточности, что проявляется дефицитом его гормонов. Обычно к характерным признакам краниофарингиомы относятся задержки роста и полового развития, у девочек - нарушение менструального цикла, у мужчин - снижение либидо. Отмечатся также низкорослость и ожирение. Характерна повышенная чувствительность к холоду, утомляемость, запоры и сухость кожи, гипотония и депрессия. Возможны нарушения зрения. При краниофарингиоме повышается внутричерепное давление, нарушается психическое развитие, возникает гипопитуитаризм или частичная гипофункция аденогипофиза. В некоторых случаях может быть гиперпролактинемия (повышение в крови уровня гормона пролактина) проявляется галактреей - выделениями из молочной железы. Кроме того, отмечаются головные боли и нарушения сознания.
Краниофарингиома дает о себе знать когда она начинает сдавливать структуры мозга или нарушает циркуляцию ликвора в головном мозге. Поэтому чаще всего они выявляются уже больших размеров, обычно более 30 Для краниофарингиом, как доброкачественных опухолей, характерен медленный рост, но для них типично инфильтрирование в ткань гипофиза и его ножек, в зрительный нерв и хиазму, а также внутричерепные артерии.
Пока эти опухоли никак не проявляют себя, они могут оставаться невыявленными в течение многих лет. Симптоматика чаще всего появляется в возрасте 10 - 20 лет. В 55-60% случаев краниофарингиомы - это кистозные образования, и лишь в 15% - солидные. В остальных же случаях эта опухоль имеют смешанное строение. Для краниофарингиомы хаактерно т.н. супраселлярное положение, то есть, над турецким седлом. По мере роста опухоль сдавливает зрительный перекрест, а также гипоталамус с гипофизом. В итоге страдает секреция гормонов аденогипофиза, а в некоторых случаях может возникнуть и т.н. несахарный диабет.
Симптоматика краниофарингиомы:
Клиническая картина краниофарингиомы зависит, прежде всего, от локализации опухоли и ее размеров. Если опухоль сдавливает гипофиза или его ножки, возникает симптоматика гипофизарной недостаточности, что проявляется дефицитом его гормонов. Обычно к характерным признакам краниофарингиомы относятся задержки роста и полового развития, у девочек - нарушение менструального цикла, у мужчин - снижение либидо. Отмечатся также низкорослость и ожирение. Характерна повышенная чувствительность к холоду, утомляемость, запоры и сухость кожи, гипотония и депрессия. Возможны нарушения зрения. При краниофарингиоме повышается внутричерепное давление, нарушается психическое развитие, возникает гипопитуитаризм или частичная гипофункция аденогипофиза. В некоторых случаях может быть гиперпролактинемия (повышение в крови уровня гормона пролактина) проявляется галактреей - выделениями из молочной железы. Кроме того, отмечаются головные боли и нарушения сознания.
Диагностика
Диагностика краниофарингиомы, как и других опухолей мозга, сводится к проведению неврологического обследования и инструментальных методов диагностики. Кроме того, проводятся гормональные исследования Обзорная рентгенография черепа помогает зачастую выявить супра- или интраселлярные кальцинаты, а такде эрозию стенок или увеличение размеров турецкого седла, в котором находится гипофиз.
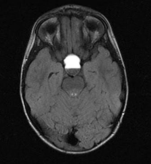
Основная роль в диагностике опухолей головного мозга, в том числе и краниофарингиомы, отводится компьютерной томографии и магнитно-резонансной томографии. Оба эти метода позволяют врачу получить послойное изображение тканей мозга, в результате чего возможно оценить локализацию опухоли, ее форму, размеры и структуру, а также отношение к соседним тканям. КТ и МРТ - неинвазивные методы диагностики, при этом КТ основан на рентгеновском излучении, а в МРТ используется мощное электромагнитное поле.
Основная роль в диагностике опухолей головного мозга, в том числе и краниофарингиомы, отводится компьютерной томографии и магнитно-резонансной томографии. Оба эти метода позволяют врачу получить послойное изображение тканей мозга, в результате чего возможно оценить локализацию опухоли, ее форму, размеры и структуру, а также отношение к соседним тканям. КТ и МРТ - неинвазивные методы диагностики, при этом КТ основан на рентгеновском излучении, а в МРТ используется мощное электромагнитное поле.
Клиническая картина
Ассоциированные симптомы: Боль во всей голове. Гиперпролактинемия. Полиурия.
Лечение
Стандартом в лечении краниофарингиомы является хирургическое вмешательство. Операция проводится с целью полностью иссечь опухоль, в результате чего устраняется давление на гипофиз и восстанавливается его функция. Доступ к гипофизу и кринофарингиоме при этом зависит от локализации самой опухоли. При расположении краниофарингиомы преимущественно над ямкой гипофиза (т.н. супраселлярная локализация), методом выбора обычно является краниотомия - вскрытие черепной коробки. В некоторых случаях, когда опухоль характеризуется относительно небольшими размерами (менее 3 см) и расположение в области гипофиза (т.н. интраселлярное расположение) нейрохирурги прибегают к т.н. транссфеноидальному эндоскопическому методу. Минимальная травматичность трансназосфеноидального подхода делает его методом выбора при хирургическом лечении опухолей с эндо- и инфраселлярным ростом. Транссфеноидальный доступ проводится через носовую полость. Он позволяет минимизировать риск осложнений, снизить травматичность операции и укоротить послеоперационный период.
Хирургический метод имеет и свои недостатки в виде определенного риска некоторых осложнений. К этим осложнениям относятся риск инфицирования, кровотечение или травмирование мягких тканей, а также нервов и сосудов. В некоторых случаях оперативное вмешательство при краниофарингиоме возможно, особенно при труднодоступной локализации опухоли или тяжелом состоянии пациента, а также при сопутствующих заболеваниях, которые могут быть противопоказаниями к оперативному вмешательству. В этом случае нейрохирурги прибегают к лучевой терапии. Раньше обычно проводилась тадиционная лучевая терапия, при которой проводилось облучение области головы пучком радиации в течение курса, состояшего из нескольких недель. Курс состоял из пяти сеансов в неделю. Недостатком традиционной лучевой терапии является невозможность полностью уничтожить опухоль, но она позволяет остановить ее рост и даже уменьшить ее размер.
Сегодня традиционная лучевая терапия уступает свое место другому ее инновационному и современному виду - радиохирургии, к которой относятся гамма-нож, кибер-нож и новалис. Суть радиохирургии заключается в том, что с помощью специального аппарата (или шлема, в случае с гамма-ножом) проводится облучение опухоли тонкими пучками радиации, каждый раз из-под разных углов. В итоге, через ткани мозга проходит слабый безвредный пучок радиации, но, постоянно сходясь в области опухоли в ней максимальная доза радиации накапливается. Радиохирургия - это неинвазивный метод лечения, как и лучевая терапия, но эффект ее засастую не уступает хирургической операции. Отличием от операции является лишь то, что эффект на опухоль возникает не сразу, а спустя несколько недель.
Из преимуществ радиохирургии можно отметить, кроме ее неинвазивности, отсутствие риска осложнений, который присущи оперативному лечению, отсутствие необходимости в анестезии, и отсутствие риска осложнений анестезии, таким образом. Для радиохирургии характерна высокая точность направления луча радиации, так как в ходе сеанса положение опухоли контролируется с помощью КТ или МРТ.
Кроме того, сразу после курса радиохирургии пациенту не требуется никакого восстановительного периода, и он может идти домой. Метод радиохирургии не имеет для своего применения практически никаких противопоказаний. Длительность лечения при радиохирургии гораздо меньше, чем традиционной лучевой терапии. Ну, и наконец, стоит отметить, что радиохирургия может быть альтернативой оперативному вмешательству и применяться тогда, когда операция невозможна или пациент неоперабелен.
Хирургический метод имеет и свои недостатки в виде определенного риска некоторых осложнений. К этим осложнениям относятся риск инфицирования, кровотечение или травмирование мягких тканей, а также нервов и сосудов. В некоторых случаях оперативное вмешательство при краниофарингиоме возможно, особенно при труднодоступной локализации опухоли или тяжелом состоянии пациента, а также при сопутствующих заболеваниях, которые могут быть противопоказаниями к оперативному вмешательству. В этом случае нейрохирурги прибегают к лучевой терапии. Раньше обычно проводилась тадиционная лучевая терапия, при которой проводилось облучение области головы пучком радиации в течение курса, состояшего из нескольких недель. Курс состоял из пяти сеансов в неделю. Недостатком традиционной лучевой терапии является невозможность полностью уничтожить опухоль, но она позволяет остановить ее рост и даже уменьшить ее размер.
Сегодня традиционная лучевая терапия уступает свое место другому ее инновационному и современному виду - радиохирургии, к которой относятся гамма-нож, кибер-нож и новалис. Суть радиохирургии заключается в том, что с помощью специального аппарата (или шлема, в случае с гамма-ножом) проводится облучение опухоли тонкими пучками радиации, каждый раз из-под разных углов. В итоге, через ткани мозга проходит слабый безвредный пучок радиации, но, постоянно сходясь в области опухоли в ней максимальная доза радиации накапливается. Радиохирургия - это неинвазивный метод лечения, как и лучевая терапия, но эффект ее засастую не уступает хирургической операции. Отличием от операции является лишь то, что эффект на опухоль возникает не сразу, а спустя несколько недель.
Из преимуществ радиохирургии можно отметить, кроме ее неинвазивности, отсутствие риска осложнений, который присущи оперативному лечению, отсутствие необходимости в анестезии, и отсутствие риска осложнений анестезии, таким образом. Для радиохирургии характерна высокая точность направления луча радиации, так как в ходе сеанса положение опухоли контролируется с помощью КТ или МРТ.
Кроме того, сразу после курса радиохирургии пациенту не требуется никакого восстановительного периода, и он может идти домой. Метод радиохирургии не имеет для своего применения практически никаких противопоказаний. Длительность лечения при радиохирургии гораздо меньше, чем традиционной лучевой терапии. Ну, и наконец, стоит отметить, что радиохирургия может быть альтернативой оперативному вмешательству и применяться тогда, когда операция невозможна или пациент неоперабелен.
|
|