Продолжая работу с сайтом, вы разрешаете использование сookies и соглашаетесь с политикой конфиденциальности.
.,о.,р..и.:г,.и.,н.;н.,а;,л.. .,н.:а,.х.,о.,д.;и.,т..с.:я,, ..н.;а., .,k;,i..b.:e,;r.,i.,s.,.;.r.:u,

Рак Панкоста

ДобавьАналогиСравни
Используемые препараты: ... скрыть
 
Препаратов не найдено
Лечат в 2927 клиниках 140 городов
X
X
Нужен: онколог, 2 анализа, 2 услуги
Краснодар, пгт Яблоновский, ул. Гагарина, д. 157/2 +7(861..показать+7(495) 104-88-01, +7(861) 257-15-00, +7(861) 290-47-07 от 5510₽
Москва, ул. Дорожная, д. 32, корп. 1 +7(495..показать+7(495) 104-88-01, +7(495) 925-88-78 от 5873₽
Москва, ул. Новая Басманная, д. 10, стр. 1 +7(495..показать+7(495) 104-88-01, +7(495) 925-88-78 от 5873₽
Краснодар, ул. Василия Мачуги, д. 84 +7(861..показать+7(495) 104-88-01, +7(861) 257-15-00 от 5950₽
Москва, Столярный пер., д. 7, корп. 2 +7(495..показать+7(495) 104-88-01, +7(495) 925-88-78 от 6195₽
Москва, 1-й Смоленский пер., д. 17, стр. 3 +7(495..показать+7(495) 104-88-01, +7(495) 925-88-78 от 6195₽
Москва, ул. Таганская, д. 32/1, стр. 17 +7(495..показать+7(495) 104-88-01, +7(495) 925-88-78 от 6261₽
Казань, ул. Пушкина, д. 1/55 +7(843..показать+7(495) 104-88-01, +7(843) 500-57-86 от 6520₽
Москва, ул. Шоссейная, д. 43 +7(495..показать+7(495) 104-88-01, +7(495) 354-34-02, +7(495) 644-47-05, +7(495) 644-47-10 от 7550₽
Москва, ул. Будайская, д. 2 +7(495..показать+7(495) 104-88-01, +7(495) 727-00-03, +7(499) 187-08-17 от 7780₽
Ещё 2917 клиник
  1. МКБ-10 коды
  2. Описание
  3. Дополнительные факты
  4. Причины
  5. Клиническая картина
  6. Диагностика
  7. Лечение
  8. Прогноз
  9. Похожие заболевания
  10. Связанные клинические рекомендации
  11. Связанные стандарты мед. помощи
  12. Основные медицинские услуги
  13. Клиники для лечения

Другие названия и синонимы

Cancer of the Pancost, Рак верхней борозды легкого.
Рак Панкоста

МКБ-10 коды

Описание

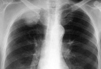
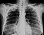
 Рак Панкоста. Апикальный рак легкого, имеющий субплевральную локализацию и сопровождающийся прорастанием нервно - сосудистого пучка, нижних шейных позвонков, верхних ребер и других близлежащих анатомических образований. Проявления рака Панкоста весьма специфичны; они включают боли в плече и руке, парестезии в пальцах кисти, синдром Горнера, грубый кашель, осиплость голоса, синдром верхней полой вены. Обследование начинается с оценки физикальных данных и рентгенографии легких. В дальнейшем дополняется КТ/МРТ грудной клетки, бронхоскопией, биопсией. Наилучшие результаты лечения рака Панкоста достигаются при проведении неоадъювантной терапии (лучевой и химиотерапии), дополненной хирургическим вмешательством.
Рак Панкоста

Дополнительные факты

 Рак Панкоста (рак верхней борозды легкого) - периферический рак легкого, поражающий сегмент S1 (верхушечный) и в силу своей локализации сопровождающийся специфическим симптомокомплексом. Назван по имени американского рентгенолога H. K. Pancoast, в 1924 году впервые описавшего рентгенологические признаки и полную клинику данной патологии. По своему морфологическому строению рак Панкоста чаще всего соответствует плоскоклеточному раку легкого. В пульмонологии, кроме злокачественной опухоли, вызывать сходную симптоматику (так называемый синдром Панкоста) могут воспалительные и опухолевые процессы с локализацией в области верхушки легкого. Поэтому для подтверждения рака Панкоста обязательно необходима гистологическая верификация диагноза.

Причины

 В целом причины рака Панкоста совпадают с теми, которые влияют на частоту возникновения рака легких в целом. Как и в других случаях, в 80-85% ведущую роль в этиопатогенезе рака Панкоста играет курение. Важнейшими факторами при этом выступают стаж курения, суточная «норма» выкуриваемых сигарет и качество табака. Пассивное курение - регулярное вдыхание табачного дыма людьми, окружающими курильщика, столь же опасно, как и активное: в этом случае риск заболевания раком легкого повышается в 1,5-2 раза.
 Свою лепту в статистику заболеваемости вносят вредные производственные и экологические факторы. В первую очередь, это контакт с асбестом, мышьяком, никелем, хромом, тяжелыми металлами, инсeктицидами, пecтицидами, аэрополлютантами. В возникновении рака Панкоста немаловажная роль принадлежит хроническим воспалительным и дистрофическим процессам в легких: ранее перенесенному туберкулезу, хронической пневмонии, бронхоэктатической болезни, очаговому пневмосклерозу и тд Доказана наследственная предрасположенность к возникновению рака легких; вероятна роль вирусов в запуске процессов канцерогенеза.

Клиническая картина

 Патогномоничная симптоматика рака Панкоста обусловлена верхушечной локализацией опухоли, деструкцией верхней апертуры грудной клетки, опухолевой инфильтрацией плечевого сплетения и звездчатого ганглия. Клиническая картина складывается из одноименного синдрома Панкоста и синдрома Горнера. Иногда оба симптомокомплекса развиваются одновременно, в некоторых случаях встречаются по отдельности.
 Синдром Панкоста обусловлен прорастанием нервных корешков на уровне позвонков С8, Th1-Th2. Для него типична изнуряющая ноющая боль в плече на стороне опухоли, распространяющаяся по ходу локтевого нерва; слабость в мышцах руки, парестезии и онемение пальцев кисти, иногда - атрофия мышц конечности. Зачастую, чтобы ослабить боль в плече, пациент вынужден поддерживать больную руку за локоть. Боль может отдавать под лопатку, в подмышечную область, в грудную клетку. При прорастании или компрессии возвратного гортанного нерва возникает грубый сухой кашель и охриплость голоса. Рак Панкоста часто сопровождается развитием синдрома верхней полой вены.
 Синдром Горнера развивается у больных раком Панкоста в случае вовлечения в патологический процесс симпатических волокон от уровня верхнего шейного ганглия до сегмента Th1. Симптомокомплекс характеризуется опущением (птозом) верхнего века, сужением зрачка (миозом), западением глазного яблока (энофтальмом), прекращением потоотделения (ангидрозом) на пораженной стороне лица и верхней конечности. В позднем периоде в надключичной ямке пальпируется опухолевый конгломерат.
 Ассоциированные симптомы: Боль в грудной клетке. Боль в плече. Боль в плечевом суставе. Глубокий сухой кашель. Изменение аппетита. Изменение веса. Истощение. Кашель. Ломота в мышцах. Мокрота. Лихорадка. Недомогание. Осиплость голоса. Отсутствие аппетита. Потеря веса. Общая слабость. Увеличение СОЭ.

Диагностика

 С жалобами на болевые ощущения в руке пациенты часто обращаются к неврологу, однако после исключении неврологической патологии перенаправляются для дальнейшего обследования к пульмонологу, торакальному хирургу или онкологу.
 Рентгенография легких помогает выявить затемнение в области верхней борозды, утолщение плевры на верхушке легкого; часто обнаруживается деструкция I-III ребер, ниж­них шейных и верхних грудных позвонков. С помощью КТ или МРТ легких определяется степень инвазии опухоли в сосуды, лимфоузлы, ребра, позвонки, ткани грудной стенки. Эти сведения крайне важны для прогнозирования операбельности при раке Панкоста. Для оценки вовлеченности кровеносных сосудов возможно проведение артерио- или флебографии, либо контрастной компьютерной томографии.
 Дополнительные сведения о распространенности злокачественного процесса помогает получить бронхоскопия. Гистологическая верификация диагноза осуществляется после выполнения трансторакальной тонкоигольной пункционной биопсии опухоли или открытой биопсии лимфатических узлов. С целью исключения метастазов рака легкого может назначаться медиастиноскопия, МРТ головного мозга, УЗИ печени, сцинтиграфия костей.

Лечение

 Чаще всего рак Панкоста диагностируется на III стадии, что накладывает свои особенности на процесс лечения. Сразу после установления диагноза важно назначить больному адекватное обезболивание, вплоть до наркотических анальгетиков. В практике онкологии наиболее приемлемым считается трехкомпонентный подход, включающий лучевую терапию, химиотерапевтическое и хирургическое лечение. Неоадъювантная терапия назначается для уменьшения распространенности опухоли и повышения операбельности.
 Объем резекции при раке верхушки легкого обычно включает пневмонэктомию с медиастинальной лимфаденэктомией, удалением всех вовлеченных структур (сосудов, ветвей плечевого сплетения, пораженных ребер и тел позвонков). В послеоперационном периоде снова проводится химиолучевая терапия. Для пациентов с метастатическим процессом лечение носит паллиативный характер.

Прогноз

 При выявлении рака Панкоста на ранней стадии и радикальном комбинированном лечении прогноз можно считать условно благоприятным. При трехкомпонентном лечении пятилетняя выживаемость составляет 30-46%. Прорастание раковой опухоли в лимфоузлы средостения, симпатические узлы, подключичную артерию, тело позвонков, ребер, развитие синдрома Горнера усугубляют прогноз при раке Панкоста. Снизить вероятность развития рака легких позволяет полный отказ от курения, исключение контакта с вредными химическими соединениями.

Похожие заболевания

Связанные клинические рекомендации

Связанные стандарты мед. помощи

42a96bb5c8a2acfb07fc866444b97bf1
Доступно только при использовании PRO аккаунта
Модератор контента: Васин А.С.


  1. Киберис НЕ является интернет-магазином и НЕ осуществляет закупку, хранение, продажу и доставку препаратов. Ресурс выступает лишь в роли посредника между вами и производителем препаратов или аптечными пунктами, которые и осуществляют поставку.
  2. На Киберис размещены описания препаратов, часть из которых предназначена только для врачей. Данная информация не может быть использована пациентами для принятия решения об использовании препаратов, их отмене или коррекции дозировок.
  3. Ничто в представленной информации не должно быть истолковано как призыв использовать данные препараты.
  4. К Киберис не могут быть обращены претензии по поводу любого ущерба или вреда, понесенного в результате использования размещенной на сайте информации.