Другие названия и синонимы
Peripheral lung cancer.
МКБ-10 коды
|
|
Описание
Периферический рак легкого. Опухоль злокачественного характера, развивающаяся из альвеол, мелких бронхов и их ветвей; локализуется на периферии легкого, вдали от корня. Симптомы периферического рака легкого появляются в поздней стадии, при прорастании опухолью крупных бронхов, плевры, грудной стенки. Они включают в себя одышку, кашель, кровохарканье, боли в груди, слабость. Диагноз выставляется с учетом данных рентгена легких, бронхографии, КТ, бронхоскопии, цитологического исследования мокроты. Лечение рака периферической локализации предполагает проведение резекции легкого (в требуемом объеме) в сочетании с химио- и лучевой терапией.
Дополнительные факты
Периферический рак легкого - рак легкого, исходящий из бронхов 4-6-го порядка и их более мелких разветвлений, не связанный с просветом бронха. В пульмонологии на долю периферического рака легкого приходится 12-37% всех опухолей легких. Соотношение частоты выявления центрального и периферического рака легких составляет 2:1. Наиболее часто (в 70% случаев) периферический рак легкого локализуется в верхних долях, реже (23%) - в нижних долях и очень редко (7%) - в средней доле правого легкого. Опасность рака легких периферической локализации заключается в длительном скрытом, бессимптомном течении и частом выявлении уже в запущенной или неоперабельной стадии. По гистологическому строению периферический рак легкого чаще представлен бронхоальвеолярной аденокарциномой или плоскоклеточным раком.
Причины
Основные факторы риска, влияющие на частоту возникновения периферического рака легкого, делятся на генетические и модифицирующие. О наличии генетической предрасположенности говорят в том случае, если пациент ранее уже проходил лечение по поводу злокачественных опухолей других локализаций, либо имеет родственников, болевших раком легкого. Однако наследственная отягощенность не является обязательным критерием риска. Гораздо чаще периферический рак легкого развивается под влиянием экзогенных и эндогенных модифицирующих факторов.
Наиболее значимым из них является воздействие на бронхи аэрогенных канцерогенов, в первую очередь, содержащихся в сигаретном дыме (никотина, пиридиновых оснований, аммиака, частиц дегтя и тд ). Частота возникновения рака легкого четко коррелирует с продолжительностью, способом курения, количеством ежедневно выкуриваемых сигарет. Особенно рискуют лица, начавшие курить в молодом возрасте, глубоко затягивающиеся, выкуривающие по 20 и более сигарет в день. Не менее значимы в этиологии периферического рака легкого и другие экзогенные факторы: загрязнение воздушной среды промышленными выбросами, пылью, газами; производственные канцерогены (асбест, графитовая и цементная пыль, соединения никеля, хрома, мышьяка ).
В происхождении периферического рака легкого велика роль эндогенных факторов - заболеваний легких (пневмония, хронический бронхит, бронхит курильщика, туберкулез, ограниченный пневмосклероз), которые прослеживаются в анамнезе у значительного числа пациентов. Основной контингент заболевших составляют лица старше 45 лет. В патогенезе периферических опухолей решающая роль отводится дисплазии эпителия мелких бронхов и альвеолярного эпителия. Новообразования развиваются из базальных, реснитчатых, бокаловидных эпителиоцитов бронхов, альвеолоцитов II типа и клеток Клара.
Наиболее значимым из них является воздействие на бронхи аэрогенных канцерогенов, в первую очередь, содержащихся в сигаретном дыме (никотина, пиридиновых оснований, аммиака, частиц дегтя и тд ). Частота возникновения рака легкого четко коррелирует с продолжительностью, способом курения, количеством ежедневно выкуриваемых сигарет. Особенно рискуют лица, начавшие курить в молодом возрасте, глубоко затягивающиеся, выкуривающие по 20 и более сигарет в день. Не менее значимы в этиологии периферического рака легкого и другие экзогенные факторы: загрязнение воздушной среды промышленными выбросами, пылью, газами; производственные канцерогены (асбест, графитовая и цементная пыль, соединения никеля, хрома, мышьяка ).
В происхождении периферического рака легкого велика роль эндогенных факторов - заболеваний легких (пневмония, хронический бронхит, бронхит курильщика, туберкулез, ограниченный пневмосклероз), которые прослеживаются в анамнезе у значительного числа пациентов. Основной контингент заболевших составляют лица старше 45 лет. В патогенезе периферических опухолей решающая роль отводится дисплазии эпителия мелких бронхов и альвеолярного эпителия. Новообразования развиваются из базальных, реснитчатых, бокаловидных эпителиоцитов бронхов, альвеолоцитов II типа и клеток Клара.
Классификация
Классификация распространенности периферического рака легкого, предложенная МНИОИ им. П. А. Герцена, предполагает выделение четырех стадий:
I. Опухоль диаметром до 3 расположена в паренхиме легкого;
II. Опухоль диаметром от 3 до 6 расположена в границах доли; обнаруживаются одиночные метастазы в бронхопульмональные лимфоузлы;
III. Опухоль диаметром более 6 распространяется за пределы доли; на локальном участке может прорастать диафрагму, грудную стенку; обнаруживаются множественные метастазы во внутригрудных лимфоузлах;
IV. Прорастание опухоли в диафрагму, грудную стенку, органы средостения на протяженном участке; выявляются отдаленные метастазы, карциноматоз плевры, раковый плеврит.
Кроме этого, различают три клинические формы периферического рака легкого: узловую, пневмониеподобную и рак Панкоста (рак верхушки легкого). Узловая форма исходит из терминальных бронхиол и клинически манифестирует только после прорастания крупных бронхов и соседних тканей. Пневмониеподобная форма периферического рака легкого развивается в легочной паренхиме, характеризуется инфильтрирующим ростом; гистологически всегда представляет собой аденокарциному; клинически напоминает вялотекущую пневмонию. Особенности локализации верхушечного рака легких обусловливают инфильтрацию опухолью шейного и плечевого нервных сплетений, ребер, позвоночника и соответствующую клиническую симптоматику. Иногда к названным трем основным формам добавляют полостную форму рака легкого (образование псевдокавернозной полости распада в толще узла) и кортико-плевральный рак (исходит из плащевого слоя, стелется по плевре вдоль позвоночника, прорастает ткани грудной стенки).
I. Опухоль диаметром до 3 расположена в паренхиме легкого;
II. Опухоль диаметром от 3 до 6 расположена в границах доли; обнаруживаются одиночные метастазы в бронхопульмональные лимфоузлы;
III. Опухоль диаметром более 6 распространяется за пределы доли; на локальном участке может прорастать диафрагму, грудную стенку; обнаруживаются множественные метастазы во внутригрудных лимфоузлах;
IV. Прорастание опухоли в диафрагму, грудную стенку, органы средостения на протяженном участке; выявляются отдаленные метастазы, карциноматоз плевры, раковый плеврит.
Кроме этого, различают три клинические формы периферического рака легкого: узловую, пневмониеподобную и рак Панкоста (рак верхушки легкого). Узловая форма исходит из терминальных бронхиол и клинически манифестирует только после прорастания крупных бронхов и соседних тканей. Пневмониеподобная форма периферического рака легкого развивается в легочной паренхиме, характеризуется инфильтрирующим ростом; гистологически всегда представляет собой аденокарциному; клинически напоминает вялотекущую пневмонию. Особенности локализации верхушечного рака легких обусловливают инфильтрацию опухолью шейного и плечевого нервных сплетений, ребер, позвоночника и соответствующую клиническую симптоматику. Иногда к названным трем основным формам добавляют полостную форму рака легкого (образование псевдокавернозной полости распада в толще узла) и кортико-плевральный рак (исходит из плащевого слоя, стелется по плевре вдоль позвоночника, прорастает ткани грудной стенки).
Клиническая картина
Периферический рак легкого долгое время развивается без клинических симптомов. Бессимптомная стадия может быть обнаружена при флюорографическом обследовании, явные клинические симптомы, как правило, возникают уже довольно поздно - на III стадии. Течение узловой, пневмониеподобной и верхушечной формы периферического рака легкого имеет свои клинические особенности.
Узловая форма обычно заявляет о себе при сдавлении или прорастании более крупных бронхов, плевры, сосудов и других структур. На этой стадии появляется одышка, постоянный кашель с необильной мокротой и прожилками крови, боли в грудной клетке. Больного начинает беспокоить ухудшение общего самочувствия: беспричинная слабость, повышение температуры, снижение массы тела. Возможно развитие паранеопластического синдрома - остеоатропатии, деформации пальцев рук.
Пневмониеподобная форма периферического рака легкого протекает как типичная острая пневмония - с синдром интоксикации, фебрильной лихордкой, влажным кашлем с отделением обильной пенистой мокроты. Часто сопровождается развитием экссудативного плеврита.
Триаду признаков рака Панкоста составляют: локализация опухоли в верхушке легкого, синдром Горнера, выраженные боли в области надплечья. Синдром Горнера развивается при прорастании нижнего шейного симпатического ганглия и включает птоз, сужение зрачка, нарушение потоотделения в верхней конечности, надключичные боли на стороне поражения. Боли могут распространяться на весь плечевой пояс, иррадиировать в руку; характерны онемение пальцев, слабость мышц кисти. При прорастании опухолью возвратного гортанного нерва возникает осиплость голоса. Болевой синдром при верхушечном раке легкого необходимо дифференцировать от болей при плексите и остеохондрозе.
Ассоциированные симптомы: Боль в груди справа. Боль в грудной клетке. Зловонная мокрота. Изменение аппетита. Изменение веса. Истощение. Кашель. Кровохарканье. Ломота в мышцах. Мокрота. Лихорадка. Ночная потливость у мужчин. Одышка. Осиплость голоса. Отсутствие аппетита. Потеря веса. Общая слабость.
Узловая форма обычно заявляет о себе при сдавлении или прорастании более крупных бронхов, плевры, сосудов и других структур. На этой стадии появляется одышка, постоянный кашель с необильной мокротой и прожилками крови, боли в грудной клетке. Больного начинает беспокоить ухудшение общего самочувствия: беспричинная слабость, повышение температуры, снижение массы тела. Возможно развитие паранеопластического синдрома - остеоатропатии, деформации пальцев рук.
Пневмониеподобная форма периферического рака легкого протекает как типичная острая пневмония - с синдром интоксикации, фебрильной лихордкой, влажным кашлем с отделением обильной пенистой мокроты. Часто сопровождается развитием экссудативного плеврита.
Триаду признаков рака Панкоста составляют: локализация опухоли в верхушке легкого, синдром Горнера, выраженные боли в области надплечья. Синдром Горнера развивается при прорастании нижнего шейного симпатического ганглия и включает птоз, сужение зрачка, нарушение потоотделения в верхней конечности, надключичные боли на стороне поражения. Боли могут распространяться на весь плечевой пояс, иррадиировать в руку; характерны онемение пальцев, слабость мышц кисти. При прорастании опухолью возвратного гортанного нерва возникает осиплость голоса. Болевой синдром при верхушечном раке легкого необходимо дифференцировать от болей при плексите и остеохондрозе.
Ассоциированные симптомы: Боль в груди справа. Боль в грудной клетке. Зловонная мокрота. Изменение аппетита. Изменение веса. Истощение. Кашель. Кровохарканье. Ломота в мышцах. Мокрота. Лихорадка. Ночная потливость у мужчин. Одышка. Осиплость голоса. Отсутствие аппетита. Потеря веса. Общая слабость.
|
|
Диагностика
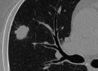
Длительный период бессимптомного течения периферического рака легкого затрудняет раннюю диагностику. Физикальные приемы в начальных стадиях заболевания недостаточно информативны, поэтому основная роль отводится лучевым методам диагностики (рентгенографии, бронхографии, КТ легких).
Рентгенологическая картина зависит от формы (узловой, полостной, верхушечной, пневмониеподобной) периферического рака легкого. Наиболее типично выявление неоднородной тени шаровидной формы с неровными контурами в окружении нежного «лучистого венчика»; иногда определяются полости распада. При раке Панкоста нередко обнаруживается деструкция I-III ребер, нижних шейных и верхних грудных позвонков. На бронхограммах видны ампутации мелких бронхов, сужение бронхиальных ветвей. В сложных случаях используется рентгеновская КТ или МРТ легких.
Бронхоскопия при периферическом раке легкого не столь информативна, как при центральном, однако в ряде случаев позволяет визуализировать косвенные признаки опухолевого роста (стеноз бронха), произвести трансбронхиальную биопсию и эндобронхиальную ультразвуковую диагностику. Обнаружение атипичных клеток при цитологическом исследовании мокроты или бронхоальвеолярных смывов подтверждает опухолевый характер патологического процесса.
В дифференциально-диагностическом плане необходимо исключение эхинококкоза, кисты легкого, абсцесса, доброкачественной опухоли легкого, туберкулемы, затяжной пневмонии, лимфогранулематоза, мезотелиомы плевры. Для этого пациент с подозрением на периферический рак легкого должен быть проконсультирован пульмонологом, фтизиатром, торакальным хирургом и онкологом.
Рентгенологическая картина зависит от формы (узловой, полостной, верхушечной, пневмониеподобной) периферического рака легкого. Наиболее типично выявление неоднородной тени шаровидной формы с неровными контурами в окружении нежного «лучистого венчика»; иногда определяются полости распада. При раке Панкоста нередко обнаруживается деструкция I-III ребер, нижних шейных и верхних грудных позвонков. На бронхограммах видны ампутации мелких бронхов, сужение бронхиальных ветвей. В сложных случаях используется рентгеновская КТ или МРТ легких.
Бронхоскопия при периферическом раке легкого не столь информативна, как при центральном, однако в ряде случаев позволяет визуализировать косвенные признаки опухолевого роста (стеноз бронха), произвести трансбронхиальную биопсию и эндобронхиальную ультразвуковую диагностику. Обнаружение атипичных клеток при цитологическом исследовании мокроты или бронхоальвеолярных смывов подтверждает опухолевый характер патологического процесса.
В дифференциально-диагностическом плане необходимо исключение эхинококкоза, кисты легкого, абсцесса, доброкачественной опухоли легкого, туберкулемы, затяжной пневмонии, лимфогранулематоза, мезотелиомы плевры. Для этого пациент с подозрением на периферический рак легкого должен быть проконсультирован пульмонологом, фтизиатром, торакальным хирургом и онкологом.
Лечение
Лечебная тактика при периферическом раке легкого избирается в зависимости от стадии, на которой был выявлено опухолевый процесс. Наилучшие результаты дает комбинированное лечение, включающее хирургическое вмешательство, дополненное химиотерапевтической или лучевой терапией.
Резекция легкого в объеме лобэктомии или билобэктомии применима только для стадий I-II. Резекция при раке верхушки легкого имеет свои особенности и может дополняться резекцией ребер, сосудов, лимфаденэктомией Пациентам с распространенной формой производится расширенная пневмонэктомия. При противопоказаниях к оперативному лечению (запущенности процесса, низких резервных возможностях организма, преклонном возрасте, сопутствующих заболеваниях), а также при отказе от операции методом выбора является лучевая терапия или химиотерапия. Производится облучение двух зон: периферического очага и области регионарного метастазирования. В курсах полихимиотрепии обычно используют метотрексат, циклофосфамид, винкристин, доксорубицин, цисплатин и другие цитостатики в различных сочетаниях:
Резекция легкого в объеме лобэктомии или билобэктомии применима только для стадий I-II. Резекция при раке верхушки легкого имеет свои особенности и может дополняться резекцией ребер, сосудов, лимфаденэктомией Пациентам с распространенной формой производится расширенная пневмонэктомия. При противопоказаниях к оперативному лечению (запущенности процесса, низких резервных возможностях организма, преклонном возрасте, сопутствующих заболеваниях), а также при отказе от операции методом выбора является лучевая терапия или химиотерапия. Производится облучение двух зон: периферического очага и области регионарного метастазирования. В курсах полихимиотрепии обычно используют метотрексат, циклофосфамид, винкристин, доксорубицин, цисплатин и другие цитостатики в различных сочетаниях:
Прогноз
Основными факторами, определяющими прогноз онкопатологии, считаются стадия процесса, радикальность лечения, гистологический тип и степень дифференцировки опухоли. После радикального комбинированного лечения периферического рака легкого 5-летняя выживаемость при I стадии составляет 60%, при II - 40%, III - менее 20%. При выявлении опухоли на IV стадии прогноз неблагоприятен.
Связанные клинические рекомендации
Связанные стандарты мед. помощи
- Стандарт медицинской помощи больным со злокачественным новообразованием легкого и бронхов
- Стандарт медицинской помощи взрослым при нейроэндокринных опухолях
- Стандарт специализированной медицинской помощи при мелкоклеточном раке легкого I-IV стадии с прогрессированием процесса (химиотерапевтическое лечение)
- Стандарт специализированной медицинской помощи при немелкоклеточном раке легкого I-IIIA стадии (химиотерапевтическое лечение)
- Стандарт специализированной медицинской помощи при злокачественных новообразованиях легкого I-II стадии (хирургическое лечение)
- Стандарт первичной медико-санитарной помощи при генерализованном немелкоклеточном раке легкого IIIB-IV стадии при наличии медицинских противопоказаний к хирургическому лечению (химиотерапевтическое лечение)
- Стандарт специализированной медицинской помощи при злокачественных новообразованиях легкого 0-I стадии, функционально неоперабельный больной (эндоскопическое лечение)
- Стандарт медицинской помощи при злокачественных новообразованиях легкого I-II стадии (хирургическое эндоскопическое лечение)