Другие названия и синонимы
Central lung cancer.
МКБ-10 коды
|
|
Описание
Центральный рак легкого. Злокачественная опухоль, поражающая крупные бронхи, вплоть до субсегментарных ветвей. Ранние симптомы центрального рака легкого включают кашель, кровохарканье, одышку; поздние симптомы связаны с осложнениями: обтурационной пневмонией, синдромом ВПВ, метастазами. Верификация диагноза осуществляется путем проведения рентгенографии и КТ легких, бронхоскопии с прицельной биопсией, спирометрии. В операбельных случаях лечение центрального рака легкого хирургическое, радикальное (объем резекции от лобэктомии до расширенной или комбинированной пневмонэктомии), дополненное послеоперационной лучевой терапией, химиотерапией.
Дополнительные факты
Центральный рак легкого - бронхогенный рак с внутри- или перибронхиапьным ростом, исходящий из проксимальных отделов бронхиального дерева - главных, долевых или сегментарных бронхов. Это самая частая клинико-рентгенологическая форма заболевания, составляющая до 70% рака легкого (на долю периферического рака легкого приходится порядка 30%). Однако если периферический рак чаще при выявляется при профилактической флюорографии, еще до возникновения симптомов, то центральный - преимущественно в связи с появлением жалоб. Это приводит к тому, что каждый третий пациент с центральным раком легкого, самостоятельно обратившейся к врачу, оказывается уже неоперабельным.
У мужчин рак легкого развивается в 8 раз чаще, чем у женщин. На момент выявления опухоли возраст больных обычно составляет от 50 до 75 лет. Рак легкого является актуальнейшей проблемой клинической пульмонологии и онкологии, что связано как с его высоким удельным весом в структуре онкозаболеваемости, так и с устойчивым ростом случаев патологии.
У мужчин рак легкого развивается в 8 раз чаще, чем у женщин. На момент выявления опухоли возраст больных обычно составляет от 50 до 75 лет. Рак легкого является актуальнейшей проблемой клинической пульмонологии и онкологии, что связано как с его высоким удельным весом в структуре онкозаболеваемости, так и с устойчивым ростом случаев патологии.
Причины
Все факторы, влияющие на частоту развития центрального рака легкого, подразделяются на генетические и модифицирующие. Критериями генетической предрасположенности служат 3 и более случая рака легкого в семье, наличие у пациента синдрома полинеоплазии - первично-множественных опухолей злокачественного характера.
Модифицирующие факторы могут быть экзогенными и эндогенными; большинство из них потенциально предотвратимы. Наиболее влиятельным и опасным из них является курение: ежедневное выкуривание одной пачки сигарет увеличивает риск возникновения центрального рака легкого в 25 раз и смертность в 10 раз. Другим значимым экзогенным фактором служит воздействие на эпителий бронхов канцерогенов окружающей среды (полиароматических углеводородов, газов, смол и пр. ), производственных поллютантов (удобрений, паров кислот и щелочей, мышьяка, кадмия, хрома). Системным воздействием на организм обладает ионизирующая радиация, увеличивающая риск развития злокачественных новообразований.
К важнейшим эндогенными причинам относятся ХНЗЛ (хроническая пневмония, хронический бронхит, пневмофиброз и тд ), туберкулез легких. Неустранимыми факторами риска считаются мужской пол и возраст старше 45 лет. Обычно центральный рак легкого развивается на фоне дисплазии слизистой бронхов, поэтому неудивительно, что среди заболевших свыше 80% являются заядлыми курильщиками, а 50% страдают хроническим бронхитом.
Модифицирующие факторы могут быть экзогенными и эндогенными; большинство из них потенциально предотвратимы. Наиболее влиятельным и опасным из них является курение: ежедневное выкуривание одной пачки сигарет увеличивает риск возникновения центрального рака легкого в 25 раз и смертность в 10 раз. Другим значимым экзогенным фактором служит воздействие на эпителий бронхов канцерогенов окружающей среды (полиароматических углеводородов, газов, смол и пр. ), производственных поллютантов (удобрений, паров кислот и щелочей, мышьяка, кадмия, хрома). Системным воздействием на организм обладает ионизирующая радиация, увеличивающая риск развития злокачественных новообразований.
К важнейшим эндогенными причинам относятся ХНЗЛ (хроническая пневмония, хронический бронхит, пневмофиброз и тд ), туберкулез легких. Неустранимыми факторами риска считаются мужской пол и возраст старше 45 лет. Обычно центральный рак легкого развивается на фоне дисплазии слизистой бронхов, поэтому неудивительно, что среди заболевших свыше 80% являются заядлыми курильщиками, а 50% страдают хроническим бронхитом.
Классификация
Согласно клинико-анатомической классификации, центральный рак легкого подразделяется на эндобронхиальный (эндофитный и экзофитный), перибронхиальный узловой и перибронхиальный разветвленный. По гистоморфологическим особенностям строения различают плоскоклеточный (эпидермальный), мелкоклеточный, крупноклеточный рак, аденокарциному легкого и другие редко встречающиеся формы. В 80% случаев центральный рак легкого верифицируется как плоскоклеточный.
В отечественной классификации центрального рака легкого выделяют 4 стадии онкопроцесса:
1 стадия. Диаметр опухоли до 3 локализация на уровне сегментарного бронха; признаков метастазирования нет.
2 стадия. Диаметр опухоли до 6 локализация на уровне долевого бронха; есть единичные метастазы в бронхопульмональных лимфоузлах.
3 стадия. Диаметр опухоли больше 6 отмечается переход на главный или другой долевой бронх; есть метастазы в трахеобронхиальных, бифуркационных, паратрахеальных лимфоузлах.
4 стадия. Распространение опухоли за пределы легкого с переходом на трахею, перикард, пищевод, диафрагму, крупные сосуды, позвонки, грудную стенку. Определяется раковый плеврит, множественное регионарное и отдаленное метастазирование.
В отечественной классификации центрального рака легкого выделяют 4 стадии онкопроцесса:
1 стадия. Диаметр опухоли до 3 локализация на уровне сегментарного бронха; признаков метастазирования нет.
2 стадия. Диаметр опухоли до 6 локализация на уровне долевого бронха; есть единичные метастазы в бронхопульмональных лимфоузлах.
3 стадия. Диаметр опухоли больше 6 отмечается переход на главный или другой долевой бронх; есть метастазы в трахеобронхиальных, бифуркационных, паратрахеальных лимфоузлах.
4 стадия. Распространение опухоли за пределы легкого с переходом на трахею, перикард, пищевод, диафрагму, крупные сосуды, позвонки, грудную стенку. Определяется раковый плеврит, множественное регионарное и отдаленное метастазирование.
Клиническая картина
Клинику центрального рака легкого характеризуют три группы симптомов: первичные (местные), вторичные и общие. Первичные симптомы принадлежат к числу наиболее ранних; они обусловлены инфильтрацией опухолью стенки бронха и частичным нарушением его проходимости. Обычно вначале появляется надсадный сухой кашель, интенсивность которого более выражена по ночам. По мере нарастания обтурации бронха появляется слизистая или слизисто-гнойная мокрота. У половины пациентов возникает кровохарканье в виде прожилок алой крови; реже центральный рак легкого манифестирует легочным кровотечением. Выраженность одышки зависит от калибра пораженного бронха. Типичны боли в груди как на пораженной, так и противоположной стороне.
Вторичная симптоматика отражает осложнения, сопутствующие центральному раку легкого. Такими осложнениями могут являться обтурационная пневмония, сдавление или прорастание соседних органов, регионарное и отдаленное метастазирование. При полной обтурации просвета бронха опухолью развивается пневмония, которая нередко носит абсцедирующий характер. При этом кашель становится влажным, мокрота - обильной и гнойной. Повышается температура тела, возникают ознобы, усиливаются признаки интоксикации. Усугубляется одышка, может развиться реактивный плеврит.
В случае прорастания внутригрудных структур нарастают боли в грудной клетки, могут развиваться синдромы медиастинальной компрессии и синдром верхней полой вены. На распространенный характер центрального рака легкого может указывать осиплость голоса, дисфагия, отечность лица и шеи, набухание шейных вен, головокружение. При наличии отдаленных метастазов в костной ткани появляются боли в костях и позвоночнике, патологические переломы. Метастазирование в головной мозг сопровождается интенсивными головными болями, моторными и психическими расстройствами.
Ассоциированные симптомы: Боль в груди справа. Боль в грудной клетке. Влажный кашель. Глубокий сухой кашель. Зловонная мокрота. Изменение аппетита. Изменение веса. Истощение. Кашель. Кровохарканье. Ломота в мышцах. Мокрота. Лихорадка. Недомогание. Одышка. Озноб. Осиплость голоса. Отсутствие аппетита. Потеря веса. Общая слабость. Слизисто-гнойная мокрота.
Вторичная симптоматика отражает осложнения, сопутствующие центральному раку легкого. Такими осложнениями могут являться обтурационная пневмония, сдавление или прорастание соседних органов, регионарное и отдаленное метастазирование. При полной обтурации просвета бронха опухолью развивается пневмония, которая нередко носит абсцедирующий характер. При этом кашель становится влажным, мокрота - обильной и гнойной. Повышается температура тела, возникают ознобы, усиливаются признаки интоксикации. Усугубляется одышка, может развиться реактивный плеврит.
В случае прорастания внутригрудных структур нарастают боли в грудной клетки, могут развиваться синдромы медиастинальной компрессии и синдром верхней полой вены. На распространенный характер центрального рака легкого может указывать осиплость голоса, дисфагия, отечность лица и шеи, набухание шейных вен, головокружение. При наличии отдаленных метастазов в костной ткани появляются боли в костях и позвоночнике, патологические переломы. Метастазирование в головной мозг сопровождается интенсивными головными болями, моторными и психическими расстройствами.
Ассоциированные симптомы: Боль в груди справа. Боль в грудной клетке. Влажный кашель. Глубокий сухой кашель. Зловонная мокрота. Изменение аппетита. Изменение веса. Истощение. Кашель. Кровохарканье. Ломота в мышцах. Мокрота. Лихорадка. Недомогание. Одышка. Озноб. Осиплость голоса. Отсутствие аппетита. Потеря веса. Общая слабость. Слизисто-гнойная мокрота.
|
|
Диагностика
Центральный рак легкого часто протекает под маской рецидивирующих пневмоний, поэтому во всех подозрительных случаях требуется углубленно обследование пациента у пульмонолога с проведением комплекса рентгенологических, бронхологических, цитоморфологических исследований. При общем осмотре уделяется внимание состоянию периферических лимфоузлов, перкуторным и аускультативным признакам нарушения вентиляции.
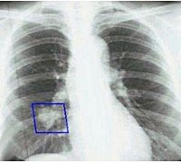
В обязательном порядке всем больным проводится двухпроекционная рентгенография легких. Рентгенпризнаки центрального рака легкого представлены наличием шаровидного узла в корне легкого и расширением его тени, ателектазом, обтурационной эмфиземой, усилением легочного рисунка в зоне корня. Линейная томография корня легкого помогает уточнить размер и локализацию опухоли. КТ легких информативно для оценки взаимоотношения опухоли с сосудами легких и структурами средостения.
С целью визуального обнаружения опухоли, уточнения ее границ и забора опухолевой ткани производится бронхоскопия с биопсией. В 70-80% случаях информативным оказывается анализ мокроты на атипичные клетки, цитологическое исследование смыва с бронхов. На основании данных спирометрии представляется возможным судить о степени бронхообструкции и дыхательных резервах.
При центральной форме рака легкого дифференциальная диагностика осуществляется с инфильтративным и фиброзно-кавернозным туберкулезом, пневмонией, абсцессом легкого, БЭБ, инородными телами бронхов, аденомами бронхов, кистами средостения.
В обязательном порядке всем больным проводится двухпроекционная рентгенография легких. Рентгенпризнаки центрального рака легкого представлены наличием шаровидного узла в корне легкого и расширением его тени, ателектазом, обтурационной эмфиземой, усилением легочного рисунка в зоне корня. Линейная томография корня легкого помогает уточнить размер и локализацию опухоли. КТ легких информативно для оценки взаимоотношения опухоли с сосудами легких и структурами средостения.
С целью визуального обнаружения опухоли, уточнения ее границ и забора опухолевой ткани производится бронхоскопия с биопсией. В 70-80% случаях информативным оказывается анализ мокроты на атипичные клетки, цитологическое исследование смыва с бронхов. На основании данных спирометрии представляется возможным судить о степени бронхообструкции и дыхательных резервах.
При центральной форме рака легкого дифференциальная диагностика осуществляется с инфильтративным и фиброзно-кавернозным туберкулезом, пневмонией, абсцессом легкого, БЭБ, инородными телами бронхов, аденомами бронхов, кистами средостения.
Лечение
Выбор способа лечения центрального рака легкого зависит от его стадии, гистологической формы, сопутствующих заболеваний. С этой целью в онкологии используют хирургический, лучевой и химиотерапевтический методы, а также их комбинации.
Противопоказаниями к проведению операции может служить значительная распространенность онкопроцесса (неоперабельность), низкие функциональные показатели деятельности сердечно-сосудистой и дыхательной систем, декомпенсация сопутствующей патологии. Радикальными операциями при центральном раке легкого являются резекции легких в объеме не менее одной доли (лобэктомия, билобэктомия), расширенная пневмонэктомия. В хирургии центрального рака легкого широко используются клиновидные или циркулярные резекции бронхов, дополняющие лобэктомию. Прорастание опухолью перикарда, диафрагмы, пищевода, полой вены, аорты, реберной стенки служит основанием для комбинированной пенвмонэктомии.
В постоперационном периоде пациентам обычно назначается химиотерапия; возможна комбинация операции с последующей лучевой терапией. Известно, что такое сочетание повышает 5-летнюю выживаемость прооперированных пациентов на 10%. При неоперабельных формах центрального рака легкого проводится лучевое или лекарственное лечение, симптоматическая терапия (анальгетики, противокашлевые, кровоостанавливающие средства, эндоскопическая реканализация просвета бронха).
Противопоказаниями к проведению операции может служить значительная распространенность онкопроцесса (неоперабельность), низкие функциональные показатели деятельности сердечно-сосудистой и дыхательной систем, декомпенсация сопутствующей патологии. Радикальными операциями при центральном раке легкого являются резекции легких в объеме не менее одной доли (лобэктомия, билобэктомия), расширенная пневмонэктомия. В хирургии центрального рака легкого широко используются клиновидные или циркулярные резекции бронхов, дополняющие лобэктомию. Прорастание опухолью перикарда, диафрагмы, пищевода, полой вены, аорты, реберной стенки служит основанием для комбинированной пенвмонэктомии.
В постоперационном периоде пациентам обычно назначается химиотерапия; возможна комбинация операции с последующей лучевой терапией. Известно, что такое сочетание повышает 5-летнюю выживаемость прооперированных пациентов на 10%. При неоперабельных формах центрального рака легкого проводится лучевое или лекарственное лечение, симптоматическая терапия (анальгетики, противокашлевые, кровоостанавливающие средства, эндоскопическая реканализация просвета бронха).
Связанные клинические рекомендации
Связанные стандарты мед. помощи
- Стандарт медицинской помощи больным со злокачественным новообразованием легкого и бронхов
- Стандарт медицинской помощи взрослым при нейроэндокринных опухолях
- Стандарт специализированной медицинской помощи при мелкоклеточном раке легкого I-IV стадии с прогрессированием процесса (химиотерапевтическое лечение)
- Стандарт специализированной медицинской помощи при немелкоклеточном раке легкого I-IIIA стадии (химиотерапевтическое лечение)
- Стандарт специализированной медицинской помощи при злокачественных новообразованиях легкого I-II стадии (хирургическое лечение)
- Стандарт первичной медико-санитарной помощи при генерализованном немелкоклеточном раке легкого IIIB-IV стадии при наличии медицинских противопоказаний к хирургическому лечению (химиотерапевтическое лечение)
- Стандарт специализированной медицинской помощи при злокачественных новообразованиях легкого 0-I стадии, функционально неоперабельный больной (эндоскопическое лечение)
- Стандарт медицинской помощи при злокачественных новообразованиях легкого I-II стадии (хирургическое эндоскопическое лечение)