Другие названия и синонимы
Bronchioloalveolar cancer, Альвеолярно-клеточный рак, Бронхоальвеолярный рак, Псевдопневмонический рак.
МКБ-10 коды
|
|
Описание
_ Бронхоальвеолярный рак. Это тип очень разнообразной аденокарциномы легкого, который характеризуется отсутствием собственной стромы, распространением злокачественных клеток вдоль стенок бронхов и альвеол. Легочная архитектура не нарушена. На ранних стадиях заболевание протекает бессимптомно, позже появляется сухой или влажный кашель, кровохарканье, одышка, лихорадка. Патология диагностируется при рентгенологическом исследовании, бронхоскопии и биопсии легкого. Основными методами лечения являются хирургия и лучевая терапия.
Дополнительные факты
Бронхиолоальвеолярный рак (бронхоальвеолярный, псевдопневмонический, альвеолярный) или легочный аденоматоз встречается в 2-15% случаев от общего числа опухолевых процессов бронхолегочной системы и составляет треть железистых опухолей легких. В последние годы наблюдается рост заболеваемости этой формой рака, особенно среди молодых некурящих женщин. Бронхиолоальвеолярная карцинома расположена в периферической части легкого. В большинстве случаев (около 60%) наблюдается одиночный рост опухоли, в остальных 40% - многоцентровый. В основном болеют люди старше 35-40 лет, мужчины и женщины страдают одинаково часто.
Причины
Этиология заболевания не изучена. В отличие от других злокачественных новообразований дыхательной системы, нет никакой связи с курением; рак встречается как у курящих, так и у некурящих. Вирусная теория распространения легочного аденоматоза и возможности заражения крупного рогатого скота, когда-то популярная у специалистов-онкологов, не была подтверждена. Нет связи с профессиональной деятельностью. Примерно в половине случаев заболевание возникает на фоне пневмосклеротических и цирротических изменений, которые являются результатом воспалительных процессов и поражений легочной ткани.
Патогенез
Опухоль происходит из пневмоцитов, чаш или секреторных клеток. Поврежденная ДНК этих клеток приводит их к неконтролируемому делению. Формируются один или несколько очагов роста опухоли. Неоплазия распространяется через бронхиолы и альвеолы, выстилает их внутрь, иногда образуя папиллы, полностью заполняя просвет воздушных пузырьков. Рак, происходящий из бокаловидных клеток, интенсивно производит слизь.
Интералвеолярные и межлобулярные перегородки при любой форме этой патологии утолщаются, паренхима легкого сжимается (апневматоз) по типу пневмоцирроза. Нарушается альвеолярная перфузия, развивается голод по кислороду. По сравнению с бронхогенным раком бронхов он обладает менее инвазивной способностью к росту и метастазированием, распространяется медленнее. Отдаленные места заброшенности редки.
Интералвеолярные и межлобулярные перегородки при любой форме этой патологии утолщаются, паренхима легкого сжимается (апневматоз) по типу пневмоцирроза. Нарушается альвеолярная перфузия, развивается голод по кислороду. По сравнению с бронхогенным раком бронхов он обладает менее инвазивной способностью к росту и метастазированием, распространяется медленнее. Отдаленные места заброшенности редки.
Классификация
Стадии заболевания, наряду с другими онкологическими патологиями, классифицируются в соответствии с системой TNM. Из-за характерного «ползучего» роста и редких отдаленных метастазов иногда трудно различить дифференцированный процесс. Ведущие европейские и американские онкологи разработали международную классификацию аденокарцином легких, которая включает следующие варианты:
• Преинвазивный (in situ). Он представлен одноклеточной, часто немцинозной опухолью диаметром до 3 Иногда обнаруживаются слизистые и смешанные новообразования.
• Минимально инвазивный. Размер и гистологический тип не отличаются от преинвазивного рака. Интерстициальное легкое не растет глубже 5 Плевральные и сосудистые инвазии отсутствуют.
• Инвазивные с преобладанием чешуйчатого подтипа. Вместе с нынешним вторжением на глубину более 5 мм опухоль распространяется на плевру и кровеносные сосуды, очаги некроза.
• Инвазивная слизистая. Размер и глубина вторжения не отличаются от предыдущей версии. Неоплазия происходит из призматических или бокаловидных клеток, характеризующихся чрезмерным образованием слизи.
По распределению процесса различают локализованные - однопозиционные и пневмоноподобные, а также диффузные - многопозиционные и диссеминированные формы новообразования. В зависимости от гистологического типа опухоли и способности к слизи различают слизистый (слизеобразующий), немусиновый (слизеобразующий) и смешанный бронхоальвеолярный рак.
• Преинвазивный (in situ). Он представлен одноклеточной, часто немцинозной опухолью диаметром до 3 Иногда обнаруживаются слизистые и смешанные новообразования.
• Минимально инвазивный. Размер и гистологический тип не отличаются от преинвазивного рака. Интерстициальное легкое не растет глубже 5 Плевральные и сосудистые инвазии отсутствуют.
• Инвазивные с преобладанием чешуйчатого подтипа. Вместе с нынешним вторжением на глубину более 5 мм опухоль распространяется на плевру и кровеносные сосуды, очаги некроза.
• Инвазивная слизистая. Размер и глубина вторжения не отличаются от предыдущей версии. Неоплазия происходит из призматических или бокаловидных клеток, характеризующихся чрезмерным образованием слизи.
По распределению процесса различают локализованные - однопозиционные и пневмоноподобные, а также диффузные - многопозиционные и диссеминированные формы новообразования. В зависимости от гистологического типа опухоли и способности к слизи различают слизистый (слизеобразующий), немусиновый (слизеобразующий) и смешанный бронхоальвеолярный рак.
Клиническая картина
Локализованные формы аденокарциномы протекают бессимптомно и обнаруживаются случайно во время профессиональных осмотров или рентгенологических исследований по другой причине. Рентгенографические изменения в некоторых случаях выявляются за 2-8 лет до появления первых клинических проявлений заболевания. Затем появляется кашель. У большинства пациентов он сухой, болезненный. При слизистом гистотипе рака водянистая мокрота со смесью слизи выделяется в больших количествах (до 4 литров в день). Кровохарканье часто наблюдается.
По мере распространения опухоли одышка постоянно увеличивается. Ощущение одышки во время упражнений сменяется затруднением дыхания в покое. Дыхательная недостаточность прогрессирует. Боли в груди появляются. Симптомы общей интоксикации сходятся: немотивированная слабость, потливость, отсутствие аппетита. Постепенно уменьшается масса тела. Температура может повыситься до субфебрильных или лихорадочных цифр. В течение длительного времени текущий процесс способствует возникновению деформаций фаланг ногтей, в зависимости от типа голени.
Ассоциированные симптомы: Боль в грудной клетке. Влажный кашель. Изменение аппетита. Изменение веса. Истощение. Кашель. Кровохарканье. Ломота в мышцах. Мокрота. Лихорадка. Нехватка воздуха. Одышка. Отсутствие аппетита. Потеря веса. Потливость. Общая слабость. Слизистая мокрота.
По мере распространения опухоли одышка постоянно увеличивается. Ощущение одышки во время упражнений сменяется затруднением дыхания в покое. Дыхательная недостаточность прогрессирует. Боли в груди появляются. Симптомы общей интоксикации сходятся: немотивированная слабость, потливость, отсутствие аппетита. Постепенно уменьшается масса тела. Температура может повыситься до субфебрильных или лихорадочных цифр. В течение длительного времени текущий процесс способствует возникновению деформаций фаланг ногтей, в зависимости от типа голени.
Ассоциированные симптомы: Боль в грудной клетке. Влажный кашель. Изменение аппетита. Изменение веса. Истощение. Кашель. Кровохарканье. Ломота в мышцах. Мокрота. Лихорадка. Нехватка воздуха. Одышка. Отсутствие аппетита. Потеря веса. Потливость. Общая слабость. Слизистая мокрота.
Возможные осложнения
Без лечения процесс прогрессирует медленно, но неуклонно. Бронхиолоальвеолярный рак «ползет» вдоль межальвеолярной перегородки, распространяется и занимает все более крупные участки паренхимы легкого. Дыхательная недостаточность появляется и растет, что впоследствии становится причиной инвалидности и смерти пациента. Одним из распространенных осложнений общего легочного аденоматоза является кровохарканье. Бронхорея встречается у 10-20% пациентов и приводит к электролитному дисбалансу. Иногда пневмоторакс развивается в результате разрыва субплеврально расположенных очагов.
Диагностика
При обследовании больного с подозрением на бронхоальвеолярный мультиодинулярный или диссеминированный рак выявляются признаки хронической гипоксемии: цианоз кожи, одышка, дистальная гипертрофическая остеоартропатия. Перкуссия над очагом поражения отмечена укорочением легочного звука. Во время аускультации иногда можно послушать несколько крепких хрипов. Окончательный диагноз основан на следующих исследованиях:
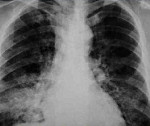
При нодулярной форме рака на рентгенограммах и КТ легких определяют одно или несколько округлых периферических образований неоднородной структуры с бугристыми контурами, расходящимися в стороны линейными связками. Для пневмоноподобной формы характерно слияние очагов в единый гомогенный инфильтрат. Распространенный вариант проявляется наличием множества различных очагов или признаков повреждения легочной интерстиции.
• Эндоскопические методы. Из-за поражения бронхов малого калибра невозможно визуализировать рост опухоли с помощью фибробронхоскопии. Ценность процесса заключается в получении промывочной воды. Дальнейшее цитологическое исследование бронхиального лаважа позволяет обнаружить атипичные клетки.
• Экспертиза биопсийного материала. Это основной метод диагностики. Это позволяет наиболее точно дифференцировать опухоль от других гранулематозных и интерстициальных заболеваний дыхательных путей. Биопсия легкого выполняется торакотомией или пункцией. При дальнейших исследованиях обнаруживаются опухолевые клетки и определяется гистотип рака.
Бронхоальвеолярный рак часто возникает в виде других респираторных заболеваний. Прежде всего, его следует отличать от пневмонии, туберкулеза и легочного саркоидоза. При отсутствии положительной рентгенологической динамики или появлении новых вспышек на фоне лечения вышеуказанных патологий антибактериальными или туберкулезными препаратами следует провести комплексное обследование пациента для исключения инвазивной аденокарциномы.
При нодулярной форме рака на рентгенограммах и КТ легких определяют одно или несколько округлых периферических образований неоднородной структуры с бугристыми контурами, расходящимися в стороны линейными связками. Для пневмоноподобной формы характерно слияние очагов в единый гомогенный инфильтрат. Распространенный вариант проявляется наличием множества различных очагов или признаков повреждения легочной интерстиции.
• Эндоскопические методы. Из-за поражения бронхов малого калибра невозможно визуализировать рост опухоли с помощью фибробронхоскопии. Ценность процесса заключается в получении промывочной воды. Дальнейшее цитологическое исследование бронхиального лаважа позволяет обнаружить атипичные клетки.
• Экспертиза биопсийного материала. Это основной метод диагностики. Это позволяет наиболее точно дифференцировать опухоль от других гранулематозных и интерстициальных заболеваний дыхательных путей. Биопсия легкого выполняется торакотомией или пункцией. При дальнейших исследованиях обнаруживаются опухолевые клетки и определяется гистотип рака.
Бронхоальвеолярный рак часто возникает в виде других респираторных заболеваний. Прежде всего, его следует отличать от пневмонии, туберкулеза и легочного саркоидоза. При отсутствии положительной рентгенологической динамики или появлении новых вспышек на фоне лечения вышеуказанных патологий антибактериальными или туберкулезными препаратами следует провести комплексное обследование пациента для исключения инвазивной аденокарциномы.
|
|
Лечение
Хирургия - радикальное лечение бронхоальвеолярного рака. Выбор лба, билоба или пульмонэктомии зависит от степени поражения легких. При единичных небольших опухолях и отсутствии метастазов в регионарные лимфатические узлы может быть выполнена резекция легкого на краю, сегментарной или клин, но операция в этом объеме редко выполняется из-за высокого риска рецидива. Хирургическое лечение часто дополняется лучевой терапией.
Основным консервативным методом лечения является лучевая терапия. Назначается в сочетании с хирургическими и монотерапевтическими методами. Изолированная лучевая терапия используется, когда невозможно выполнить операцию из-за противопоказаний или пациент отказывается от хирургического лечения. Эффективность консервативного лечения меньше, чем радикальное иссечение опухоли, заболевание рецидивирует чаще и быстрее. Исключением является стереотаксическое излучение - неинвазивное вмешательство, в котором используется кибернетический нож, результаты которого сопоставимы с радикальными операциями.
Бронхоальвеолярный рак считается невосприимчивым к химиотерапии. Однако в экспериментальных исследованиях многие пациенты с 3-4 стадиями рака имеют положительный ответ на лечение ингибиторами рецептора противоопухолевого фактора роста. Проводятся генетические исследования рака и ведется активный поиск фармакологических препаратов. Экспериментальное лечение включает трансплантацию легких. При отсутствии рецидива этот метод обеспечивает хорошие результаты выживания.
Паллиативная помощь оказывается пациентам с распространенной формой аденокарциномы легких с невозможностью радикального удаления опухоли. Его цель состоит в том, чтобы устранить сильно переносимые симптомы заболевания. Паллиативная лучевая терапия уменьшает опухолевую нагрузку, облегчая состояние пациента - уменьшаются кашель, одышка и бронхорея. Ненаркотические и наркотические анальгетики снимают боль. Пациент с терминальной стадией рака не может двигаться и заботиться о себе, он нуждается в постоянной заботе и психологической поддержке.
Основным консервативным методом лечения является лучевая терапия. Назначается в сочетании с хирургическими и монотерапевтическими методами. Изолированная лучевая терапия используется, когда невозможно выполнить операцию из-за противопоказаний или пациент отказывается от хирургического лечения. Эффективность консервативного лечения меньше, чем радикальное иссечение опухоли, заболевание рецидивирует чаще и быстрее. Исключением является стереотаксическое излучение - неинвазивное вмешательство, в котором используется кибернетический нож, результаты которого сопоставимы с радикальными операциями.
Бронхоальвеолярный рак считается невосприимчивым к химиотерапии. Однако в экспериментальных исследованиях многие пациенты с 3-4 стадиями рака имеют положительный ответ на лечение ингибиторами рецептора противоопухолевого фактора роста. Проводятся генетические исследования рака и ведется активный поиск фармакологических препаратов. Экспериментальное лечение включает трансплантацию легких. При отсутствии рецидива этот метод обеспечивает хорошие результаты выживания.
Паллиативная помощь оказывается пациентам с распространенной формой аденокарциномы легких с невозможностью радикального удаления опухоли. Его цель состоит в том, чтобы устранить сильно переносимые симптомы заболевания. Паллиативная лучевая терапия уменьшает опухолевую нагрузку, облегчая состояние пациента - уменьшаются кашель, одышка и бронхорея. Ненаркотические и наркотические анальгетики снимают боль. Пациент с терминальной стадией рака не может двигаться и заботиться о себе, он нуждается в постоянной заботе и психологической поддержке.
Лечение бронхиолоальвеолярного рака.
Выбор метода лечения зависит от распространенности процесса, наличия или отсутствия метастазов, общего состояния больного. Радикальное удаление опухоли возможно у пациентов с опухолями 1-3 стадий, при условии, что повреждение легких является односторонним. Назначение симптоматического лечения пациенту на 4 стадии помогает устранить серьезные симптомы заболевания и улучшить качество жизни.Список литературы
1. Проблемы дифференциального диагноза бронхиолоальвеолярного рака/ Уразовский Н.Ю., Аверьянов А.В., Лесняк В.Н. Клиническая практика - 2013 - №3.
2. Бронхиолоальвеолярный рак и его хирургическое лечение (взгляд из практики)/ Айтаков З.Н., Савченко А.А. Хирургия - 1998 - №8.
3. вronchioloalveolar сarcinoma/ David R. Gandara, Howard West, Kari сhansky, Angela M. Davies, Derick H. M. Lau, John сrowley, Paul H. Gumerlock, Fred R. Hirsch and Wilbur A. Franklin// сlinical сancer Research - 2004.
4. Трудный диагноз бронхиолоальвеолярного рака лёгких/ Шестовицкий В.А., Гринштейн Ю.И., Аристов А.И., Швалев В.Н. Сибирское медицинское обозрение - 2006.
2. Бронхиолоальвеолярный рак и его хирургическое лечение (взгляд из практики)/ Айтаков З.Н., Савченко А.А. Хирургия - 1998 - №8.
3. вronchioloalveolar сarcinoma/ David R. Gandara, Howard West, Kari сhansky, Angela M. Davies, Derick H. M. Lau, John сrowley, Paul H. Gumerlock, Fred R. Hirsch and Wilbur A. Franklin// сlinical сancer Research - 2004.
4. Трудный диагноз бронхиолоальвеолярного рака лёгких/ Шестовицкий В.А., Гринштейн Ю.И., Аристов А.И., Швалев В.Н. Сибирское медицинское обозрение - 2006.
Связанные клинические рекомендации
Связанные стандарты мед. помощи
- Стандарт медицинской помощи больным со злокачественным новообразованием легкого и бронхов
- Стандарт медицинской помощи взрослым при нейроэндокринных опухолях
- Стандарт специализированной медицинской помощи при мелкоклеточном раке легкого I-IV стадии с прогрессированием процесса (химиотерапевтическое лечение)
- Стандарт специализированной медицинской помощи при немелкоклеточном раке легкого I-IIIA стадии (химиотерапевтическое лечение)
- Стандарт специализированной медицинской помощи при злокачественных новообразованиях легкого I-II стадии (хирургическое лечение)
- Стандарт первичной медико-санитарной помощи при генерализованном немелкоклеточном раке легкого IIIB-IV стадии при наличии медицинских противопоказаний к хирургическому лечению (химиотерапевтическое лечение)
- Стандарт специализированной медицинской помощи при злокачественных новообразованиях легкого 0-I стадии, функционально неоперабельный больной (эндоскопическое лечение)
- Стандарт медицинской помощи при злокачественных новообразованиях легкого I-II стадии (хирургическое эндоскопическое лечение)