Другие названия и синонимы
Candidiasis of the oral cavity, молочница во рту, кандидозный стоматит, thrush in the mouth, candidiasis stomatitis.
МКБ-10 коды
- МКБ-10
- B37.0 Кандидозный стоматит
|
|
Описание
Кандидоз (candidosis) - заболевание, которое вызывается дрожжеподобными грибами рода сandida.
На слизистой оболочке рта и кожных покровах обитают различные виды дрожжеподобных грибов в виде сапрофитов. Патологические изменения чаще всего вызывают сandida albicans, сandida tropicalis, сandida pseudotropicalis, сandida krusei, сandida guilliermondi. Локализация сandida в полости рта разнообразная: различные участки слизистой оболочки, кариозные полости, корневые каналы. сandida albicans является представителем резидентной микрофлоры полости рта человека и обнаруживается в небольшом количестве и неактивном состоянии у 50-70 % лиц при отсутствии клинических признаков кандидоза. Возбудитель обнаруживается также на поверхности здоровой кожи, в моче, кале, мокроте и сandida albicans состоит из овальных почкующихся клеток величиной 3- 5 мкм. Гриб любит кислую среду (рН 5,8-6,5) и вырабатывает многочисленные ферменты, расщепляющие белки, липиды и углеводы. Проникая внутрь клеток эпителия, иногда до базального слоя, грибы размножаются в них.
На слизистой оболочке рта и кожных покровах обитают различные виды дрожжеподобных грибов в виде сапрофитов. Патологические изменения чаще всего вызывают сandida albicans, сandida tropicalis, сandida pseudotropicalis, сandida krusei, сandida guilliermondi. Локализация сandida в полости рта разнообразная: различные участки слизистой оболочки, кариозные полости, корневые каналы. сandida albicans является представителем резидентной микрофлоры полости рта человека и обнаруживается в небольшом количестве и неактивном состоянии у 50-70 % лиц при отсутствии клинических признаков кандидоза. Возбудитель обнаруживается также на поверхности здоровой кожи, в моче, кале, мокроте и сandida albicans состоит из овальных почкующихся клеток величиной 3- 5 мкм. Гриб любит кислую среду (рН 5,8-6,5) и вырабатывает многочисленные ферменты, расщепляющие белки, липиды и углеводы. Проникая внутрь клеток эпителия, иногда до базального слоя, грибы размножаются в них.
Клиническая картина
Проявления кандидоза слизистой оболочки рта разнообразны и зависят от возраста больного, состояния иммунной системы, наличия сопутствующих заболеваний, приема лекарственных препаратов (антибиотики, кортикостероиды) и других факторов.
По клиническому течению различают острую и хроническую формы. Острый кандидоз может протекать в виде молочницы (острый псевдомембранозный кандидоз) или острого атрофического кандидоза. Хронический кандидоз также существует в двух клинических формах: хронический гиперпластический и хронический атрофический. Они могут развиваться как самостоятельные формы либо трансформироваться одна в другую.
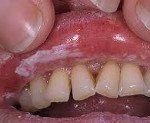
Острый псевдомембранозный кандидоз, или молочница (candidosis acuta, s. soor), - это одна из наиболее часто встречающихся форм кандидоза слизистой оболочки рта. У детей грудного возраста молочница наблюдается часто и протекает сравнительно легко. У взрослых острый псевдомембранозный кандидоз часто сопутствует какимлибо общесоматическим заболеваниям: сахарному диабету, заболеваниям крови, гиповитаминозам, злокачественным новообразованиям и.
Поражается чаще всего слизистая оболочка спинки языка, щек, неба, губ. Она гиперемированная, сухая. На фоне гиперемии имеется белый налет, напоминающий свернувшееся молоко или творог, возвышающийся над уровнем слизистой оболочки. В начале заболевания он легко снимается при поскабливании шпателем, под ним обнаруживается гладкая, слегка отечная, гиперемированная поверхность. В тяжелых, запущенных случаях налет становится более плотным и удаляется с трудом, под ним обнажается эрозивная поверхность слизистой оболочки рта.
Больные жалуются на жжение во рту, боль при приеме пищи, особенно острой.
Острый атрофический кандидоз (candidosis acuta atrophica) характеризуется значительной болезненностью, жжением и сухостью в полости рта. Слизистая оболочка огненнокрасная, сухая. При поражении языка его спинка становится малиновокрасного цвета, сухая, блестящая, нитевидные сосочки атрофированы. Налет отсутствует или сохраняется в глубоких складках, снимается с трудом и представляет собой конгломерат спущенного эпителия и большого количества грибов рода сandida в стадии активного почкования (мицелий, псевдомицелий).
Общее состояние больных острым кандидозом не страдает.
Хронический гиперпластический кандидоз (candidosis chronica hyper plastica) характеризуется образованием на гиперемированной слизистой оболочке рта толстого слоя плотноспаянного с ней налета в виде узел ков или бляшек. Налет обычно располагается на спинке языка, на небе. На языке чаще поражается область, типичная для ромбовидного глоссита.
Хронический гиперпластический кандидоз на небе имеет вид папиллярной гиперплазии. В случаях длительного, упорно протекающего заболевания налет пропитывается фибрином, образуются желтоватосерые пленки, плотно спаянные с подлежащей слизистой оболочкой. При поскабливании шпателем налет снимается с трудом, под ним обнажается гиперемированная кровоточащая эрозивная поверхность. Больные жалуются на сухость во рту, жжение, а при наличии эрозий - на болезненность.
Хронический атрофический кандидоз (candidosis chronica atrophica) проявляется сухостью в полости рта, жжением, болезненностью при ношении съемного протеза. Участок слизистой оболочки, соответствующий границам протезного ложа, гиперемированный, отечный, болезненный.
Хронический атрофический кандидоз у лиц, длительно пользующихся съемными пластиночными протезами, характеризуется чаще всего поражением слизистой оболочки рта под протезами (гиперемия, эрозии, папилломатоз) в сочетании с микотической (дрожжевой) заедой и кандидозным атрофическим глосситом, при котором спинка языка малиновокрасного цвета, сухая, блестящая, нитевидные сосочки атрофичные. Беловатосерый налет имеется в небольшом количестве только в глубоких складках и на боковых поверхностях языка, снимается с трудом. Под микроскопом в налете обнаруживают споры и мицелий гриба рода сandida. Эта триада (воспаление неба, языка и углов рта) настолько характерна для атрофического кандидозного стоматита, что диагностика его не представляет затруднений.
Ассоциированные симптомы: Боль в горле. Боль в языке. Боль во рту. Отек губ. Покалывание языка. Пощипывание языка. Сухость во рту.
По клиническому течению различают острую и хроническую формы. Острый кандидоз может протекать в виде молочницы (острый псевдомембранозный кандидоз) или острого атрофического кандидоза. Хронический кандидоз также существует в двух клинических формах: хронический гиперпластический и хронический атрофический. Они могут развиваться как самостоятельные формы либо трансформироваться одна в другую.
Острый псевдомембранозный кандидоз, или молочница (candidosis acuta, s. soor), - это одна из наиболее часто встречающихся форм кандидоза слизистой оболочки рта. У детей грудного возраста молочница наблюдается часто и протекает сравнительно легко. У взрослых острый псевдомембранозный кандидоз часто сопутствует какимлибо общесоматическим заболеваниям: сахарному диабету, заболеваниям крови, гиповитаминозам, злокачественным новообразованиям и.
Поражается чаще всего слизистая оболочка спинки языка, щек, неба, губ. Она гиперемированная, сухая. На фоне гиперемии имеется белый налет, напоминающий свернувшееся молоко или творог, возвышающийся над уровнем слизистой оболочки. В начале заболевания он легко снимается при поскабливании шпателем, под ним обнаруживается гладкая, слегка отечная, гиперемированная поверхность. В тяжелых, запущенных случаях налет становится более плотным и удаляется с трудом, под ним обнажается эрозивная поверхность слизистой оболочки рта.
Больные жалуются на жжение во рту, боль при приеме пищи, особенно острой.
Острый атрофический кандидоз (candidosis acuta atrophica) характеризуется значительной болезненностью, жжением и сухостью в полости рта. Слизистая оболочка огненнокрасная, сухая. При поражении языка его спинка становится малиновокрасного цвета, сухая, блестящая, нитевидные сосочки атрофированы. Налет отсутствует или сохраняется в глубоких складках, снимается с трудом и представляет собой конгломерат спущенного эпителия и большого количества грибов рода сandida в стадии активного почкования (мицелий, псевдомицелий).
Общее состояние больных острым кандидозом не страдает.
Хронический гиперпластический кандидоз (candidosis chronica hyper plastica) характеризуется образованием на гиперемированной слизистой оболочке рта толстого слоя плотноспаянного с ней налета в виде узел ков или бляшек. Налет обычно располагается на спинке языка, на небе. На языке чаще поражается область, типичная для ромбовидного глоссита.
Хронический гиперпластический кандидоз на небе имеет вид папиллярной гиперплазии. В случаях длительного, упорно протекающего заболевания налет пропитывается фибрином, образуются желтоватосерые пленки, плотно спаянные с подлежащей слизистой оболочкой. При поскабливании шпателем налет снимается с трудом, под ним обнажается гиперемированная кровоточащая эрозивная поверхность. Больные жалуются на сухость во рту, жжение, а при наличии эрозий - на болезненность.
Хронический атрофический кандидоз (candidosis chronica atrophica) проявляется сухостью в полости рта, жжением, болезненностью при ношении съемного протеза. Участок слизистой оболочки, соответствующий границам протезного ложа, гиперемированный, отечный, болезненный.
Хронический атрофический кандидоз у лиц, длительно пользующихся съемными пластиночными протезами, характеризуется чаще всего поражением слизистой оболочки рта под протезами (гиперемия, эрозии, папилломатоз) в сочетании с микотической (дрожжевой) заедой и кандидозным атрофическим глосситом, при котором спинка языка малиновокрасного цвета, сухая, блестящая, нитевидные сосочки атрофичные. Беловатосерый налет имеется в небольшом количестве только в глубоких складках и на боковых поверхностях языка, снимается с трудом. Под микроскопом в налете обнаруживают споры и мицелий гриба рода сandida. Эта триада (воспаление неба, языка и углов рта) настолько характерна для атрофического кандидозного стоматита, что диагностика его не представляет затруднений.
Ассоциированные симптомы: Боль в горле. Боль в языке. Боль во рту. Отек губ. Покалывание языка. Пощипывание языка. Сухость во рту.
Дифференциальная диагностика
Проводят дифференциальную диагностику кандидоза и мягкой лейкоплакии, или белого губчатого невуса, при котором поражение локализуется преимущественно по линии смыкания зубов и на слизистой оболочке губ. Цвет слизистой оболочки при мягкой лейкоплакии в области поражения беловатосерый, поверхность ее шероховатая, неровная, имеются множественные мелкие поверхностные эрозии (ссадины). Окончательный диагноз ставят на основании данных бактериоскопического исследования.
Острый псевдомембранозный глоссит следует дифференцировать от десквамативного глоссита, при котором на спинке языка появляются участки десквамации эпителия, постоянно мигрирующие по спинке языка и окруженные венчиком слущивающегося эпителия. Острый кандидозный стоматит дифференцируют от лейкоплакии и красного плоского лишая. При последних белесоватые пленки и узелки на поверхности слизистой оболочки образуются вследствие гиперкератоза, и поэтому снять их при поскабливании невозможно.
Острый атрофический кандидоз следует дифференцировать от аллергической реакции на пластмассу съемных протезов. Важную роль в этом случае играет клиническое наблюдение за динамикой изменения слизистой оболочки рта после элиминации протеза и проведения бактериоскопического исследования.
Хронический гиперпластический кандидоз следует дифференцировать от лейкоплакии и красного плоского лишая.
Острый псевдомембранозный глоссит следует дифференцировать от десквамативного глоссита, при котором на спинке языка появляются участки десквамации эпителия, постоянно мигрирующие по спинке языка и окруженные венчиком слущивающегося эпителия. Острый кандидозный стоматит дифференцируют от лейкоплакии и красного плоского лишая. При последних белесоватые пленки и узелки на поверхности слизистой оболочки образуются вследствие гиперкератоза, и поэтому снять их при поскабливании невозможно.
Острый атрофический кандидоз следует дифференцировать от аллергической реакции на пластмассу съемных протезов. Важную роль в этом случае играет клиническое наблюдение за динамикой изменения слизистой оболочки рта после элиминации протеза и проведения бактериоскопического исследования.
Хронический гиперпластический кандидоз следует дифференцировать от лейкоплакии и красного плоского лишая.
Причины
Проявление патогенных свойств грибов рода сandida зависит главным образом от состояния макроорганизма. Главную роль в развитии кандидоза играет ослабление иммунной системы. Кандидоз возникает, как правило, на фоне более или менее выраженного иммунодефицита или дисбаланса иммунной системы.
Развитию кандидоза могут способствовать тяжелые сопутствующие заболевания: злокачественные новообразования, ВИЧинфекция, туберкулез, эндокринопатии (сахарный диабет, гипотиреоз, гипопаратиреоз, гипо и гиперфункция надпочечников). Заболевания желудочнокишечного тракта, особенно пониженная кислотность желудочного сока и ахилия, часто обусловливают развитие кандидоза слизистой оболочки рта. Нарушение углеводного обмена при сахарном диабете является благоприятным фоном для развития кандидоза. Кандидоз слизистой оболочки рта нередко становится первым клиническим признаком бессимптомно протекающего сахарного диабета. Во всех случаях хронического кандидоза, особенно рецидивирующего, необходимо проводить исследование крови на содержание глюкозы для исключения сахарного диабета.
Развитию кандидоза полости рта способствует длительное лечение кортикостероидными препаратами, цитостатиками, которые подавляют иммунную систему организма и усиливают вирулентность дрожжеподобных грибов.
Вследствие широкого применения антибиотиков за последние годы значительно увеличилось количество больных кандидозом слизистой оболочки рта. Длительный прием антибиотиков нарушает состав резидентной микрофлоры полости рта, в результате чего формируется дисбактериоз. Происходят угнетение резидентной микрофлоры полости рта и резкий рост вирулентности условнопатогенных грибов сandida, вызывающих заболевание слизистой оболочки рта (суперинфекция, аутоинфекция). Подобное действие оказывает длительное применение различных противомикробных препаратов (трихопол, хлоргексидин, сангвиритрин и ). Прием антибиотиков может вызвать также дисбактериоз кишечника, следствием чего являются гипо и авитаминозы В,, В2, В6, С, РР, что в свою очередь отрицательно сказывается на функциональном состоянии слизистой оболочки рта (она становится подверженной влиянию кандидозной инфекции).
Кандидоз может возникнуть вследствие лучевых воздействий, употребления алкоголя и наркотиков, оральных контрацептивов.
В отдельных случаях кандидоз развивается вследствие инфицирования извне. Источником заражения является больной человек, и инфицирование может произойти через поцелуй, половой контакт, при прохождении новорожденного через инфицированные родовые пути.
Большое значение в развитии кандидоза придают состоянию слизистой оболочки рта и ее иммунитету. Возникновению кандидоза способствует хроническая травма слизистой оболочки рта острыми краями зубов, некачественными протезами, разрушенными коронками зубов и Снижение резистентности слизистой оболочки рта вследствие хронической травмы способствует более легкому проникновению в нее грибов рода сandida и последующему заболеванию. Установлено аллергизирующее действие протезов из акриловых пластмасс при длительном их контакте со слизистой оболочкой рта. Кроме того, грибы рода сandida хорошо растут на поверхности съемных протезов из акриловых пластмасс, поддерживая хроническое воспаление слизистой оболочки под протезом.
Развитию кандидоза могут способствовать тяжелые сопутствующие заболевания: злокачественные новообразования, ВИЧинфекция, туберкулез, эндокринопатии (сахарный диабет, гипотиреоз, гипопаратиреоз, гипо и гиперфункция надпочечников). Заболевания желудочнокишечного тракта, особенно пониженная кислотность желудочного сока и ахилия, часто обусловливают развитие кандидоза слизистой оболочки рта. Нарушение углеводного обмена при сахарном диабете является благоприятным фоном для развития кандидоза. Кандидоз слизистой оболочки рта нередко становится первым клиническим признаком бессимптомно протекающего сахарного диабета. Во всех случаях хронического кандидоза, особенно рецидивирующего, необходимо проводить исследование крови на содержание глюкозы для исключения сахарного диабета.
Развитию кандидоза полости рта способствует длительное лечение кортикостероидными препаратами, цитостатиками, которые подавляют иммунную систему организма и усиливают вирулентность дрожжеподобных грибов.
Вследствие широкого применения антибиотиков за последние годы значительно увеличилось количество больных кандидозом слизистой оболочки рта. Длительный прием антибиотиков нарушает состав резидентной микрофлоры полости рта, в результате чего формируется дисбактериоз. Происходят угнетение резидентной микрофлоры полости рта и резкий рост вирулентности условнопатогенных грибов сandida, вызывающих заболевание слизистой оболочки рта (суперинфекция, аутоинфекция). Подобное действие оказывает длительное применение различных противомикробных препаратов (трихопол, хлоргексидин, сангвиритрин и ). Прием антибиотиков может вызвать также дисбактериоз кишечника, следствием чего являются гипо и авитаминозы В,, В2, В6, С, РР, что в свою очередь отрицательно сказывается на функциональном состоянии слизистой оболочки рта (она становится подверженной влиянию кандидозной инфекции).
Кандидоз может возникнуть вследствие лучевых воздействий, употребления алкоголя и наркотиков, оральных контрацептивов.
В отдельных случаях кандидоз развивается вследствие инфицирования извне. Источником заражения является больной человек, и инфицирование может произойти через поцелуй, половой контакт, при прохождении новорожденного через инфицированные родовые пути.
Большое значение в развитии кандидоза придают состоянию слизистой оболочки рта и ее иммунитету. Возникновению кандидоза способствует хроническая травма слизистой оболочки рта острыми краями зубов, некачественными протезами, разрушенными коронками зубов и Снижение резистентности слизистой оболочки рта вследствие хронической травмы способствует более легкому проникновению в нее грибов рода сandida и последующему заболеванию. Установлено аллергизирующее действие протезов из акриловых пластмасс при длительном их контакте со слизистой оболочкой рта. Кроме того, грибы рода сandida хорошо растут на поверхности съемных протезов из акриловых пластмасс, поддерживая хроническое воспаление слизистой оболочки под протезом.
|
|
Лечение
Воздействуют на возбудителя, проводят лечение сопутствующих заболеваний, мероприятия для повышения специфической и неспецифической защиты, санацию полости рта, рекомендуют рациональное питание. Больные с упорно протекающими хроническими формами кандидоза должны пройти обследование у терапевта. Лечение генерализованных и висцеральных форм кандидоза проводят врачимикологи.
Для успешного лечения больного кандидозом важны тщательное обследование и лечение сопутствующих заболеваний, особенно желудочнокишечной патологии, сахарного диабета, лейкоза. При упорно текущей кандидозной заеде необходимо протезирование, при котором в первую очередь следует восстановить высоту прикуса.
*Общее лечение.
Назначают внутрь противогрибковые препараты нистатин или леворин по 1000000 ЕД 4-6 раз в день после еды в течение 10 дней. Суточная доза должна быть не менее 4000000 ЕД. Таблетки рекомендуется размельчить и, положив под язык, сосать, так как они плохо всасываются в желудочнокишечном тракте. Леворин лучше назначать в виде трансбуккальных (защечных) таблеток. Каждая таблетка содержит 500 000 ЕД леворина.
Хороший противогрибковый эффект наблюдается при сосании декамина в форме карамели: по 1-2 карамели 6-8 раз в день (каждые 3- 4 ч). В одной карамели содержится 0,00015 г декамина. Однудве карамели помещают под язык или за щеку и держат до полного рассасывания, не производя по возможности глотательных движений, чтобы препарат как можно дольше находился в контакте со слизистой оболочкой рта.
Амфоглюкамин назначают внутрь по 200 000 ЕД 2 раза в день после еды. При тяжелых и упорно протекающих формах кандидоза слизистой оболочки рта используют амфотерицин В из расчета 250 ЕД на 1 кг массы тела (на курс до 2 000 000 ЕД) и местно в виде мази. Препарат оказывает хорошее резорбтивное действие.
Выраженное противогрибковое действие оказывает дифлюкан. Его назначают в капсулах по 50-100 мг (в зависимости от тяжести заболевания) 1 раз в сутки. Дифлюкан имеет длительный период полувыведения.
Для уменьшения сухости в полости рта и воздействия на грибковую флору назначают 2-3 % раствор йодида калия по 1 столовой ложке внутрь 2-3 раза в день после еды. Свои фунгистатические свойства йод проявляет в период выделения через кожу, слизистую оболочку рта и слизистые железы. Кроме того, йод хорошо стимулирует саливацию. Больным кандидозом необходимо полноценное высококачественное питание с уменьшением количества легкоусвояемых углеводов. Внутрь назначают витамины группы В (В,, В2, В6), РР, С.
*Местное лечение.
Для аппликаций и смазывания слизистой оболочки рта применяют 0,5 % декаминовую мазь, мазь амфотерицина В (30 000 ЕД/г), 1 % мазь и 1 % раствор клотримазола (канестен). Слизистую оболочку рта и красную кайму губ обрабатывают растворами анилиновых красителей, в первую очередь фиолетовых (1-2 % раствор ген цианового фиолетового, 2 % метиленового синего, раствор фукорцина). Эффективны средства, ошелачивающие среду в полости рта, что губительно действует на грибковую флору. С этой целью применяют полоскания 2-5 % раствором буры (натрия тстроборат), 2 % раствором натрия гидрокарбоната, 2 % раствором борной кислоты. За 1 раз выполаскивают не менее 1 стакана, повторяя процедуру 5-6 раз в день. Для аппликаций и смазывания используют 20 % раствор буры в глицерине, люголевский раствор в глицерине и.
При дрожжевой заеде и хейлите эффективна нистатиновая мазь (по 100 000 ЕД на 1 г основы), 5 % левориновая мазь, 0,5 % декаминовая мазь, I % мазь или крем клотримазола. Для местного лечения лучше назначать несколько разных препаратов и менять их в течение дня или через день.
Важное значение имеют тщательная санация полости рта, исключение всякого рода травмы слизистой оболочки. Санацию полости рта можно начинать через 2-3 дня после начала противогрибкового лечения. При остром и хроническом кандидозе необходима тщательная обработка протезов теми же средствами (за исключением красителей), которые используют для обработки слизистой оболочки рта.
Для успешного лечения больного кандидозом важны тщательное обследование и лечение сопутствующих заболеваний, особенно желудочнокишечной патологии, сахарного диабета, лейкоза. При упорно текущей кандидозной заеде необходимо протезирование, при котором в первую очередь следует восстановить высоту прикуса.
*Общее лечение.
Назначают внутрь противогрибковые препараты нистатин или леворин по 1000000 ЕД 4-6 раз в день после еды в течение 10 дней. Суточная доза должна быть не менее 4000000 ЕД. Таблетки рекомендуется размельчить и, положив под язык, сосать, так как они плохо всасываются в желудочнокишечном тракте. Леворин лучше назначать в виде трансбуккальных (защечных) таблеток. Каждая таблетка содержит 500 000 ЕД леворина.
Хороший противогрибковый эффект наблюдается при сосании декамина в форме карамели: по 1-2 карамели 6-8 раз в день (каждые 3- 4 ч). В одной карамели содержится 0,00015 г декамина. Однудве карамели помещают под язык или за щеку и держат до полного рассасывания, не производя по возможности глотательных движений, чтобы препарат как можно дольше находился в контакте со слизистой оболочкой рта.
Амфоглюкамин назначают внутрь по 200 000 ЕД 2 раза в день после еды. При тяжелых и упорно протекающих формах кандидоза слизистой оболочки рта используют амфотерицин В из расчета 250 ЕД на 1 кг массы тела (на курс до 2 000 000 ЕД) и местно в виде мази. Препарат оказывает хорошее резорбтивное действие.
Выраженное противогрибковое действие оказывает дифлюкан. Его назначают в капсулах по 50-100 мг (в зависимости от тяжести заболевания) 1 раз в сутки. Дифлюкан имеет длительный период полувыведения.
Для уменьшения сухости в полости рта и воздействия на грибковую флору назначают 2-3 % раствор йодида калия по 1 столовой ложке внутрь 2-3 раза в день после еды. Свои фунгистатические свойства йод проявляет в период выделения через кожу, слизистую оболочку рта и слизистые железы. Кроме того, йод хорошо стимулирует саливацию. Больным кандидозом необходимо полноценное высококачественное питание с уменьшением количества легкоусвояемых углеводов. Внутрь назначают витамины группы В (В,, В2, В6), РР, С.
*Местное лечение.
Для аппликаций и смазывания слизистой оболочки рта применяют 0,5 % декаминовую мазь, мазь амфотерицина В (30 000 ЕД/г), 1 % мазь и 1 % раствор клотримазола (канестен). Слизистую оболочку рта и красную кайму губ обрабатывают растворами анилиновых красителей, в первую очередь фиолетовых (1-2 % раствор ген цианового фиолетового, 2 % метиленового синего, раствор фукорцина). Эффективны средства, ошелачивающие среду в полости рта, что губительно действует на грибковую флору. С этой целью применяют полоскания 2-5 % раствором буры (натрия тстроборат), 2 % раствором натрия гидрокарбоната, 2 % раствором борной кислоты. За 1 раз выполаскивают не менее 1 стакана, повторяя процедуру 5-6 раз в день. Для аппликаций и смазывания используют 20 % раствор буры в глицерине, люголевский раствор в глицерине и.
При дрожжевой заеде и хейлите эффективна нистатиновая мазь (по 100 000 ЕД на 1 г основы), 5 % левориновая мазь, 0,5 % декаминовая мазь, I % мазь или крем клотримазола. Для местного лечения лучше назначать несколько разных препаратов и менять их в течение дня или через день.
Важное значение имеют тщательная санация полости рта, исключение всякого рода травмы слизистой оболочки. Санацию полости рта можно начинать через 2-3 дня после начала противогрибкового лечения. При остром и хроническом кандидозе необходима тщательная обработка протезов теми же средствами (за исключением красителей), которые используют для обработки слизистой оболочки рта.