Другие названия и синонимы
Obliterating bronchiolitis.
МКБ-10 коды
- МКБ-10
- J21 Острый бронхиолит
|
|
Описание
Облитерирующий бронхиолит. Диффузное поражение бронхиол, приводящее к частичной или полной облитерации их просвета и развитию дыхательной недостаточности. Облитерирующий бронхиолит проявляется слабостью, лихорадкой, сухим навязчивым кашлем и нарастающей одышкой, дистанционными хрипами, в позднем периоде - цианозом и «пыхтящим» дыханием. Диагностика включает проведение рентгенографии и КТ органов грудной клетки, функциональных тестов, гистологического анализа ткани легкого. В терапии облитерирующего бронхиолита применяют кортикостероиды, муколитики, диуретики, антиоксиданты, антибиотики и противовирусные препараты.
Дополнительные факты
Облитерирующий бронхиолит - обструктивное заболевание «малых дыхательных путей», протекающее с поражением терминальных бронхиол - разветвлений бронхов диаметром менее 3 лишенных хрящевых пластин и желез. Грануляционные разрастания, развивающиеся в дистальных отделах дыхательных путей, альвеолярных ходах и альвеолах, приводят к прогрессированию дыхательной недостаточности, ранней инвалидности и смертности. Облитерирующий бронхиолит в пульмонологии встречается достаточно редко: его распространенность в детской популяции по различным сведениям варьирует от 0,2 до 4%. Большой разброс статистических данных объясняется сходством облитерирующего бронхиолита с другими болезнями органов дыхания (бронхиальной астмой, бронхоэктазами), а также трудностями диагностики.
Классификация
В соответствии с клинической классификацией, в основе которой лежит этиологический фактор, облитерирующие бронхиолиты разделяют на постинфекционные, посттрансплантационные, постингаляционные, лекарственно-индуцированные, идиопатические. В зависимости от патогистологических изменений бронхиолит может принимать острый (экссудативный) или хронический (продуктивно-склеротический) вариант течения.
Среди хронических облитерирующих бронхиолитов различают пролиферативные (с образованием люминального экссудата, бронхиолярных и альвеолярных телец Массона) и констриктивные (с субэпителиальным разрастанием фиброзной ткани, стенозом просвета и ригидностью стенки бронхиол). Пролиферативные формы заболевания представлены облитерирующим бронхиолитом с организующейся пневмонией и криптогенной организующейся пневмонией; констриктивные - респираторным бронхиолитом, диффузным панбронхиолитом, фолликулярным бронхиолитом.
При облитерирующем бронхиолите воспалительное поражение мелких дыхательных путей с развитием экссудации, гранулематозной реакции и фиброза приводит к необратимым изменениям стенок бронхиол: концентрическому сужению и облитерации просвета, максимально выраженному на терминальных участках. Для облитерирующего бронхиолита характерно наличие бронхиолярного (перибронхиолярного) воспалительного инфильтрата из лимфоцитов, макрофагов и плазматических клеток, развитие цилиндрических бронхоэктазов с застоем секрета и образованием слизистых пробок.
При бронхиолите происходит снижение легочного капиллярного кровотока (на 25 - 75%), что вызывает гипертензию в малом круге кровообращения, увеличение нагрузки на правую половину сердца и гипертрофию правого желудочка («легочное сердце»). Исходом облитерирующего бронхиолита является ограниченный пневмосклероз или дистрофия ткани легкого без выраженного склероза со значительным нарушением функционального легочного кровотока.
Среди хронических облитерирующих бронхиолитов различают пролиферативные (с образованием люминального экссудата, бронхиолярных и альвеолярных телец Массона) и констриктивные (с субэпителиальным разрастанием фиброзной ткани, стенозом просвета и ригидностью стенки бронхиол). Пролиферативные формы заболевания представлены облитерирующим бронхиолитом с организующейся пневмонией и криптогенной организующейся пневмонией; констриктивные - респираторным бронхиолитом, диффузным панбронхиолитом, фолликулярным бронхиолитом.
При облитерирующем бронхиолите воспалительное поражение мелких дыхательных путей с развитием экссудации, гранулематозной реакции и фиброза приводит к необратимым изменениям стенок бронхиол: концентрическому сужению и облитерации просвета, максимально выраженному на терминальных участках. Для облитерирующего бронхиолита характерно наличие бронхиолярного (перибронхиолярного) воспалительного инфильтрата из лимфоцитов, макрофагов и плазматических клеток, развитие цилиндрических бронхоэктазов с застоем секрета и образованием слизистых пробок.
При бронхиолите происходит снижение легочного капиллярного кровотока (на 25 - 75%), что вызывает гипертензию в малом круге кровообращения, увеличение нагрузки на правую половину сердца и гипертрофию правого желудочка («легочное сердце»). Исходом облитерирующего бронхиолита является ограниченный пневмосклероз или дистрофия ткани легкого без выраженного склероза со значительным нарушением функционального легочного кровотока.
Причины
Полиэтиологичность заболевания позволяет рассматривать его как проявление неспецифических тканевых реакций мелких дыхательных путей на действие различных повреждающих факторов.
Постинфекционные бронхиолиты чаще развиваются у детей и связаны с перенесенными инфекциями, вызываемыми аденовирусом, респираторно-синцитиальным вирусом, цитомегаловирусом, вирусом парагриппа, герпеса. Развитие острого облитерирующего бронхиолита также может быть вызвано другими возбудителями: микоплазмой, клебсиеллой, легионеллой, грибами рода аспергилл, ВИЧ.
Ингаляционный облитерирующий бронхиолит может быть обусловлен вдыханием токсических газов (диоксида серы, диоксида азота, хлора, аммиака), паров кислот, органической и неорганической пыли, никотина, кокаина. Лекарственный облитерирующий бронхиолит провоцируется приемом некоторых медикаментозных средств (цефалоспоринов, пенициллинов, сульфаниламидов, амиодарона, препаратов золота, цитостатиков).
К идиопатическим формам бронхиолита относят случаи заболевания, возникающие на фоне диффузных заболеваний соединительной ткани (ревматоидного артрита, системной красной волчанки), синдрома Стивенса - Джонсона, экзогенного аллергического альвеолита, аспирационной пневмонии, воспалительных процессов ЖКТ (язвенный колит, болезнь Крона), злокачественного гистиоцитоза, лимфомы и тд.
Посттрансплантационный облитерирующий бронхиолит развивается у 20-50% пациентов, перенесших трансплантацию органов и тканей (комплекса сердце-легкие, обоих или одного легкого, костного мозга).
Постинфекционные бронхиолиты чаще развиваются у детей и связаны с перенесенными инфекциями, вызываемыми аденовирусом, респираторно-синцитиальным вирусом, цитомегаловирусом, вирусом парагриппа, герпеса. Развитие острого облитерирующего бронхиолита также может быть вызвано другими возбудителями: микоплазмой, клебсиеллой, легионеллой, грибами рода аспергилл, ВИЧ.
Ингаляционный облитерирующий бронхиолит может быть обусловлен вдыханием токсических газов (диоксида серы, диоксида азота, хлора, аммиака), паров кислот, органической и неорганической пыли, никотина, кокаина. Лекарственный облитерирующий бронхиолит провоцируется приемом некоторых медикаментозных средств (цефалоспоринов, пенициллинов, сульфаниламидов, амиодарона, препаратов золота, цитостатиков).
К идиопатическим формам бронхиолита относят случаи заболевания, возникающие на фоне диффузных заболеваний соединительной ткани (ревматоидного артрита, системной красной волчанки), синдрома Стивенса - Джонсона, экзогенного аллергического альвеолита, аспирационной пневмонии, воспалительных процессов ЖКТ (язвенный колит, болезнь Крона), злокачественного гистиоцитоза, лимфомы и тд.
Посттрансплантационный облитерирующий бронхиолит развивается у 20-50% пациентов, перенесших трансплантацию органов и тканей (комплекса сердце-легкие, обоих или одного легкого, костного мозга).
Клиническая картина
Начало облитерирующего бронхиолита острое или подострое с развитием симптомов интоксикации - слабости, недомогания, высокой лихорадки или субфебрильной температуры. Характерно наличие сухого навязчивого кашля, нарастающей экспираторной одышки сначала при физической нагрузке, а затем при малейшем напряжении.
На ранних этапах выявляются сухие свистящие, а затем мелкопузырчатые хрипы, часто слышимые на расстоянии (дистанционные). Позднее отмечается ослабление дыхания, вздутие грудной клетки. Кровохарканье при облитерирующем бронхиолите наблюдается редко. Признаки дыхательной недостаточности и легочной гипертензии в дальнейшем могут прогрессировать с формированием хронического «легочного сердца».
Ассоциированные симптомы: Боль в грудной клетке. Высокая температура тела. Кашель. Кровохарканье. Ломота в теле. Мокрота. Недомогание. Одышка.
На ранних этапах выявляются сухие свистящие, а затем мелкопузырчатые хрипы, часто слышимые на расстоянии (дистанционные). Позднее отмечается ослабление дыхания, вздутие грудной клетки. Кровохарканье при облитерирующем бронхиолите наблюдается редко. Признаки дыхательной недостаточности и легочной гипертензии в дальнейшем могут прогрессировать с формированием хронического «легочного сердца».
Ассоциированные симптомы: Боль в грудной клетке. Высокая температура тела. Кашель. Кровохарканье. Ломота в теле. Мокрота. Недомогание. Одышка.
Диагностика
Постановка диагноза облитерирующего бронхиолита затруднительна и базируется на анамнезе, клинических проявлениях, данных физикального осмотра, рентгенографии и КТ органов грудной клетки высокого разрешения, функциональных тестов (исследования газового состава крови, функции внешнего дыхания, определения окиси азота в выдыхаемом воздухе), результатах ЭКГ и ЭхоКГ, цитограммы бронхоальвеолярного смыва, а также гистологического анализа ткани легкого.
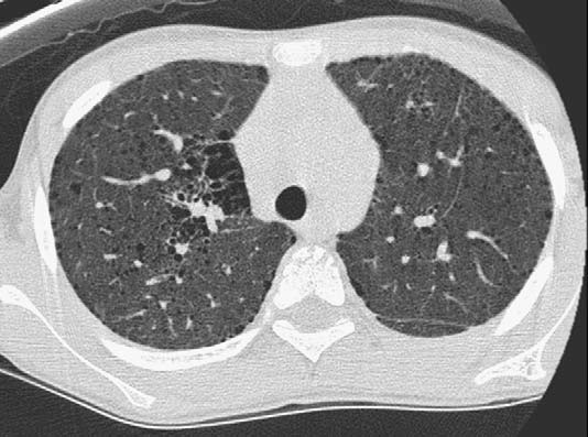
Стандартное рентгенологическое исследование грудной клетки при облитерирующем бронхиолите выявляет гипервентиляцию легких, слабовыраженную диссеминацию по очагово-сетчатому типу, уменьшение легочного объема. КТ легких, являясь более чувствительным методом диагностики, позволяет прижизненно обнаружить характерные признаки облитерирующего бронхиолита: прямые (сужение просвета бронхиол, почковидные разрастания, перибронхиальные утолщения и бронхиолоэктазы) и косвенные (мозаичное снижение прозрачности, сверхпрозрачность пораженных участков бронхиол, признаки «псевдоматового стекла», изменения легочной ткани дистальнее места облитерации).
Данные ЭКГ и ЭхоКГ указывают на наличие симптомов легочной гипертензии, формирование хронического «легочного сердца». Нарушение функции внешнего дыхания обструктивного типа и признаки гипервоздушности легких отмечаются при констриктивном облитерирующем бронхиолите; рестриктивный тип нарушения ФВД и снижение диффузионной способности легких - при пролиферативном облитерирующем бронхиолите. Снижение газообмена выражается в пониженном содержании кислорода и углекислого газа в артериальной крови (гипоксемия и гипокапния).
Самым информативным методом диагностики облитерирующего бронхиолита остается трансбронхиальная и торакоскопическая биопсия с гистологическим исследованием биоптата легкого, позволяющая выявить имеющиеся пролиферативно-склеротические изменения. Следует проводить дифференциальную диагностику облитерирующего бронхиолита с хроническим бронхитом, фиброзирующим альвеолитом, обструктивной эмфиземой легких, бронхиальной астмой.
Стандартное рентгенологическое исследование грудной клетки при облитерирующем бронхиолите выявляет гипервентиляцию легких, слабовыраженную диссеминацию по очагово-сетчатому типу, уменьшение легочного объема. КТ легких, являясь более чувствительным методом диагностики, позволяет прижизненно обнаружить характерные признаки облитерирующего бронхиолита: прямые (сужение просвета бронхиол, почковидные разрастания, перибронхиальные утолщения и бронхиолоэктазы) и косвенные (мозаичное снижение прозрачности, сверхпрозрачность пораженных участков бронхиол, признаки «псевдоматового стекла», изменения легочной ткани дистальнее места облитерации).
Данные ЭКГ и ЭхоКГ указывают на наличие симптомов легочной гипертензии, формирование хронического «легочного сердца». Нарушение функции внешнего дыхания обструктивного типа и признаки гипервоздушности легких отмечаются при констриктивном облитерирующем бронхиолите; рестриктивный тип нарушения ФВД и снижение диффузионной способности легких - при пролиферативном облитерирующем бронхиолите. Снижение газообмена выражается в пониженном содержании кислорода и углекислого газа в артериальной крови (гипоксемия и гипокапния).
Самым информативным методом диагностики облитерирующего бронхиолита остается трансбронхиальная и торакоскопическая биопсия с гистологическим исследованием биоптата легкого, позволяющая выявить имеющиеся пролиферативно-склеротические изменения. Следует проводить дифференциальную диагностику облитерирующего бронхиолита с хроническим бронхитом, фиброзирующим альвеолитом, обструктивной эмфиземой легких, бронхиальной астмой.
|
|
Лечение
Трудности ранней диагностики облитерирующего бронхиолита, быстрое прогрессирование и необратимость изменений бронхиальной стенки сильно ограничивают возможности проводимого лечения, которое сводится к предупреждению дальнейшего развития воспалительного процесса и фиброзной пролиферации в мелких дыхательных путях и стабилизации состояния больного.
Основными лекарственными препаратами при облитерирующем бронхиолите являются кортикостероиды - чаще всего, преднизолон (дексаметазон), иногда в сочетании с иммунодепрессантами (циклофосфан). Ингаляционная терапия будесонидом, флутиказоном, беклометазоном позволяет уменьшить потребность в системных глюкокортикоидах за счет достижения более высоких концентраций препарата в тканях. При инфекционном генезе облитерирующего бронхиолита в острую фазу заболевания применяют противовирусные и антибактериальные средства.
При усилении бронхообструкции назначают муколитические препараты ( амброксол в ингаляциях или энтерально), бета2-адреномиметики (сальбутамол); при легочной гипертензии - диуретики (фуросемид, спиронолактон), метилксантины (эуфиллин), силденафил, аналоги простациклинов (илопрост), ингибиторы АПФ (каптоприл); при развитии гипоксемии - кислородотерапию. В терапии облитерирующего бронхиолита используются антиоксиданты (коэнзим Q10, мальдоний) в сочетании с витаминами, физиотерапия, массаж грудной клетки, бронхоальвеолярный лаваж.
Основными лекарственными препаратами при облитерирующем бронхиолите являются кортикостероиды - чаще всего, преднизолон (дексаметазон), иногда в сочетании с иммунодепрессантами (циклофосфан). Ингаляционная терапия будесонидом, флутиказоном, беклометазоном позволяет уменьшить потребность в системных глюкокортикоидах за счет достижения более высоких концентраций препарата в тканях. При инфекционном генезе облитерирующего бронхиолита в острую фазу заболевания применяют противовирусные и антибактериальные средства.
При усилении бронхообструкции назначают муколитические препараты ( амброксол в ингаляциях или энтерально), бета2-адреномиметики (сальбутамол); при легочной гипертензии - диуретики (фуросемид, спиронолактон), метилксантины (эуфиллин), силденафил, аналоги простациклинов (илопрост), ингибиторы АПФ (каптоприл); при развитии гипоксемии - кислородотерапию. В терапии облитерирующего бронхиолита используются антиоксиданты (коэнзим Q10, мальдоний) в сочетании с витаминами, физиотерапия, массаж грудной клетки, бронхоальвеолярный лаваж.