Другие названия и синонимы
Pneumothorax.
МКБ-10 коды
- МКБ-10
- J93 Пневмоторакс
|
|
Описание
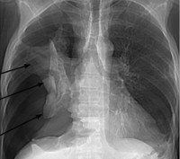
Пневмоторакс (от -греч. πνεῦμα - дуновение, воздух и θώραξ - грудь) - скопление воздуха или газов в плевральной полости. Он может возникнуть спонтанно у людей без хронических заболеваний лёгких («первичный»), а также у лиц с заболеваниями лёгких («вторичный»). Многие пневмотораксы возникают после травмы грудной клетки или как осложнение лечения.
Симптомы пневмоторакса определяются размером и скоростью поступления воздуха в плевральную полость; к ним относятся в большинстве случаев боль в груди и затруднённое дыхание. Диагноз может быть выставлен при физикальном обследовании в некоторых случаях, но иногда необходима рентгенография грудной клетки или компьютерная томография (КТ). В некоторых ситуациях, пневмоторакс приводит к тяжёлой нехватке кислорода и снижению кровяного давления, прогрессируя в остановку сердца при отсутствии лечения; такое состояние называют напряжённый пневмоторакс.
Небольшой спонтанный пневмоторакс обычно разрешается самостоятельно и лечение не требуется, особенно в случаях без сопутствующих заболеваний лёгких. При крупном пневмотораксе или когда возникают тяжёлые симптомы, воздух может быть откачан с помощью шприца или наложением одностороннего дренажа Бюлау, вводимый для удаления воздуха из плевральной полости. Иногда необходимы хирургические меры, особенно если дренажная трубка не эффективна или возникают повторные эпизоды пневмоторакса. Различные методы лечения, например применение плевродеза (прилипание лёгких в грудной стенке), могут быть использованы, если существует риск повторных эпизодов пневмоторакса.
Симптомы пневмоторакса определяются размером и скоростью поступления воздуха в плевральную полость; к ним относятся в большинстве случаев боль в груди и затруднённое дыхание. Диагноз может быть выставлен при физикальном обследовании в некоторых случаях, но иногда необходима рентгенография грудной клетки или компьютерная томография (КТ). В некоторых ситуациях, пневмоторакс приводит к тяжёлой нехватке кислорода и снижению кровяного давления, прогрессируя в остановку сердца при отсутствии лечения; такое состояние называют напряжённый пневмоторакс.
Небольшой спонтанный пневмоторакс обычно разрешается самостоятельно и лечение не требуется, особенно в случаях без сопутствующих заболеваний лёгких. При крупном пневмотораксе или когда возникают тяжёлые симптомы, воздух может быть откачан с помощью шприца или наложением одностороннего дренажа Бюлау, вводимый для удаления воздуха из плевральной полости. Иногда необходимы хирургические меры, особенно если дренажная трубка не эффективна или возникают повторные эпизоды пневмоторакса. Различные методы лечения, например применение плевродеза (прилипание лёгких в грудной стенке), могут быть использованы, если существует риск повторных эпизодов пневмоторакса.
Клиническая картина
1. По связи с окружающей средой различают:
• Закрытый пневмоторакс. При этом виде в плевральную полость попадает небольшое количество газа, которое не нарастает. Сообщение с внешней средой отсутствует. Считается самым лёгким видом пневмоторакса, поскольку воздух потенциально может самостоятельно постепенно рассосаться из плевральной полости, при этом лёгкое расправляется.
• Открытый пневмоторакс. При открытом пневмотораксе плевральная полость сообщается с внешней средой, поэтому в ней создаётся давление, равное атмосферному. При этом лёгкое спадается, поскольку важнейшим условием для расправления лёгкого является отрицательное давление в плевральной полости. Спавшееся лёгкое выключается из дыхания, в нём не происходит газообмен, кровь не обогащается кислородом. Может сопровождаться с гемотораксом.
• Клапанный пневмоторакс. Этот вид пневмоторакса возникает в случае образования клапанной структуры, пропускающей воздух в одностороннем направлении, из лёгкого или из окружающей среды в плевральную полость, и препятствующее его выходу обратно. При этом с каждым дыхательным движением давление в плевральной полости нарастает. Это самый опасный вид пневмоторакса, поскольку к выключению лёгкого из дыхания присоединяется раздражение нервных окончаний плевры, приводящее к плевропульмональному шоку, а также смещение органов средостения, что нарушает их функцию, прежде всего сдавливая крупные сосуды.
2. Кроме того, пневмоторакс может быть:
• Пристеночным (в плевральной полости содержится небольшое количество газа/воздуха, лёгкое не полностью расправлено; как правило, это закрытый пневмоторакс).
• Полным (лёгкое полностью спавшееся).
• Осумкованным (возникает при наличии спаек между висцеральной и париетальной плеврой, ограничивающих область пневмоторакса; менее опасен, может протекать бессимптомно, но также может вызвать и дополнительные разрывы ткани легкого по месту спаек).
Двусторонний полный пневмоторакс при неоказании помощи приводит к быстрому летальному исходу из-за критического нарушения дыхательной функции.
Больной пневмотораксом испытывает резкую боль в груди, дышит часто и поверхностно, с одышкой. Ощущает «нехватку воздуха». Проявляется бледность или синюшность кожных покровов, в частности лица. Аускультативно дыхание на стороне повреждения резко ослаблено, перкуторно - звук с коробочным оттенком. Может определяться подкожная эмфизема.
Ассоциированные симптомы: Боль в груди слева. Боль в груди справа. Боль в грудной клетке. Боль под правой лопаткой. Глубокий сухой кашель. Кашель. Нехватка воздуха. Одышка. Покалывание в груди. Удушье. Эритроцитоз.
• Закрытый пневмоторакс. При этом виде в плевральную полость попадает небольшое количество газа, которое не нарастает. Сообщение с внешней средой отсутствует. Считается самым лёгким видом пневмоторакса, поскольку воздух потенциально может самостоятельно постепенно рассосаться из плевральной полости, при этом лёгкое расправляется.
• Открытый пневмоторакс. При открытом пневмотораксе плевральная полость сообщается с внешней средой, поэтому в ней создаётся давление, равное атмосферному. При этом лёгкое спадается, поскольку важнейшим условием для расправления лёгкого является отрицательное давление в плевральной полости. Спавшееся лёгкое выключается из дыхания, в нём не происходит газообмен, кровь не обогащается кислородом. Может сопровождаться с гемотораксом.
• Клапанный пневмоторакс. Этот вид пневмоторакса возникает в случае образования клапанной структуры, пропускающей воздух в одностороннем направлении, из лёгкого или из окружающей среды в плевральную полость, и препятствующее его выходу обратно. При этом с каждым дыхательным движением давление в плевральной полости нарастает. Это самый опасный вид пневмоторакса, поскольку к выключению лёгкого из дыхания присоединяется раздражение нервных окончаний плевры, приводящее к плевропульмональному шоку, а также смещение органов средостения, что нарушает их функцию, прежде всего сдавливая крупные сосуды.
2. Кроме того, пневмоторакс может быть:
• Пристеночным (в плевральной полости содержится небольшое количество газа/воздуха, лёгкое не полностью расправлено; как правило, это закрытый пневмоторакс).
• Полным (лёгкое полностью спавшееся).
• Осумкованным (возникает при наличии спаек между висцеральной и париетальной плеврой, ограничивающих область пневмоторакса; менее опасен, может протекать бессимптомно, но также может вызвать и дополнительные разрывы ткани легкого по месту спаек).
Двусторонний полный пневмоторакс при неоказании помощи приводит к быстрому летальному исходу из-за критического нарушения дыхательной функции.
Больной пневмотораксом испытывает резкую боль в груди, дышит часто и поверхностно, с одышкой. Ощущает «нехватку воздуха». Проявляется бледность или синюшность кожных покровов, в частности лица. Аускультативно дыхание на стороне повреждения резко ослаблено, перкуторно - звук с коробочным оттенком. Может определяться подкожная эмфизема.
Ассоциированные симптомы: Боль в груди слева. Боль в груди справа. Боль в грудной клетке. Боль под правой лопаткой. Глубокий сухой кашель. Кашель. Нехватка воздуха. Одышка. Покалывание в груди. Удушье. Эритроцитоз.
Причины
• Самопроизвольный (спонтанный) - при разрыве лёгочных альвеол:
O первичный - при отсутствии клинически значимой лёгочной патологии,.
O вторичный - осложнение существующей лёгочной патологии (туберкулёз, буллезная эмфизема лёгких ).
• Травматический - при повреждении грудной клетки:
O проникающая травма грудной клетки,.
O тупая травма грудной клетки.
• Ятрогенный - осложнение после лечебного или диагностического вмешательства:
O после пункции плевральной полости,.
O после катетеризации центральных вен,.
O после плевроцентеза и биопсии плевры,.
O после трансбронхиальной эндоскопической биопсии лёгкого,.
O вследствие баротравмы.
Также пневмоторакс может вызываться намеренно, путём введения в полость плевры газа или воздуха, в частности, такая методика применялась при лечении кавернозного туберкулёза лёгких.
O первичный - при отсутствии клинически значимой лёгочной патологии,.
O вторичный - осложнение существующей лёгочной патологии (туберкулёз, буллезная эмфизема лёгких ).
• Травматический - при повреждении грудной клетки:
O проникающая травма грудной клетки,.
O тупая травма грудной клетки.
• Ятрогенный - осложнение после лечебного или диагностического вмешательства:
O после пункции плевральной полости,.
O после катетеризации центральных вен,.
O после плевроцентеза и биопсии плевры,.
O после трансбронхиальной эндоскопической биопсии лёгкого,.
O вследствие баротравмы.
Также пневмоторакс может вызываться намеренно, путём введения в полость плевры газа или воздуха, в частности, такая методика применялась при лечении кавернозного туберкулёза лёгких.
Лечение
При подозрении на пневмоторакс следует немедленно вызвать скорую помощь или обратиться к врачу. Если имеет место открытый пневмоторакс, его необходимо превратить в закрытый путём наложения не пропускающей воздух герметичной повязки («окклюзионная повязка») на открытую рану грудной клетки. Например, это можно сделать при помощи клеёнчатого материала или неповреждённой герметичной полиэтиленовой плёнки, вполне подойдет и толстая ватно-марлевая повязка.
Наличие точно диагностированного клапанного пневмоторакса требует превращения его в открытый пневмоторакс для снижения давления в плевральной полости. Для этого выполняют пункцию плевральной полости толстой иглой (во 2-м межреберье по срединно-ключичной линии на стороне повреждения, по верхнему краю ребра).
Квалифицированная помощь.
Лечение пневмоторакса заключается в его ликвидации путём отсасывания воздуха из плевральной полости и восстановления в ней отрицательного давления. При закрытом пневмотораксе без действующего сообщения с лёгким достаточно пункционной аспирации газа из плевральной полости при помощи набора для ликвидации пневмоторакса в асептических условиях операционной. Если аспирация иглой оказывается неэффективной, это свидетельствует о поступлении воздуха из ткани лёгкого. В таких случаях выполняют герметичное дренирование плевральной полости («дренаж по Бюлау»), либо создают систему активной аспирации, в том числе с применением электровакуумных приборов.
Открытый пневмоторакс требует первоначального перевода в закрытый пневмоторакс (то есть ликвидации сообщения с внешней средой путём герметичного ушивания раны), после чего проводят упомянутые выше процедуры восстановления отрицательного давления в плевральной полости.
При наличии неразорвавшихся булл принимается решение об удалении сегмента или доли легкого для недопущения возникновения пневмоторакса.
Наличие точно диагностированного клапанного пневмоторакса требует превращения его в открытый пневмоторакс для снижения давления в плевральной полости. Для этого выполняют пункцию плевральной полости толстой иглой (во 2-м межреберье по срединно-ключичной линии на стороне повреждения, по верхнему краю ребра).
Квалифицированная помощь.
Лечение пневмоторакса заключается в его ликвидации путём отсасывания воздуха из плевральной полости и восстановления в ней отрицательного давления. При закрытом пневмотораксе без действующего сообщения с лёгким достаточно пункционной аспирации газа из плевральной полости при помощи набора для ликвидации пневмоторакса в асептических условиях операционной. Если аспирация иглой оказывается неэффективной, это свидетельствует о поступлении воздуха из ткани лёгкого. В таких случаях выполняют герметичное дренирование плевральной полости («дренаж по Бюлау»), либо создают систему активной аспирации, в том числе с применением электровакуумных приборов.
Открытый пневмоторакс требует первоначального перевода в закрытый пневмоторакс (то есть ликвидации сообщения с внешней средой путём герметичного ушивания раны), после чего проводят упомянутые выше процедуры восстановления отрицательного давления в плевральной полости.
При наличии неразорвавшихся булл принимается решение об удалении сегмента или доли легкого для недопущения возникновения пневмоторакса.
|
|