Другие названия и синонимы
Cementoma, Перирадикулярный остеофиброз.
МКБ-10 коды
|
|
Описание
Цементома. Образование одонтогенного происхождения, развивающееся из соединительной ткани. Заболевание протекает бессимптомно. При достижении больших размеров цементома вызывает деформацию челюсти. Вследствие истончения кортикальной пластинки появляется нерезкая болезненность. Диагностика цементомы включает сбор жалоб, физикальное обследование, рентгенографию, ЭОД. Подтверждение диагноза удается получить после проведения гистологического исследования. Лечение истинной цементомы и цементирующей фибромы хирургическое. При периапикальной дисплазии и гигантоформной цементоме показано динамическое наблюдение.
Дополнительные факты
Цементома (перирадикулярный остеофиброз) - одонтогенный порок развития соединительной ткани. Во взрослом возрасте цементомы чаще встречаются у женщин. Опухоль в большинстве случаев локализуется в участке тела и угла нижней челюсти. При этом в патологический процесс вовлекаются корни больших и малых коренных зубов. У детей цементомы не связаны с корнями и склонны к неограниченному росту. В детском возрасте чаще поражается верхнечелюстная кость. Зафиксированы случаи прорастания доброкачественного новообразования в полость гайморового синуса и основание черепа. При достижении больших размеров цементома может привести к перелому челюсти. Одну из разновидностей цементомы - периапикальную цементную дисплазию выявляют преимущественно у женщин негроидной расы в возрасте от 30 до 50 лет. Зубы, ассоциируемые с поражениями, неизменно витальны и редко имеют реставрации. Распространенность составляет от 1 до 5,9%.
Причины
Патогенез цементом остается неизвестным. Ученые допускают, что имеет место реактивный или диспластический процесс. Гигантоформная цементома является генетически детерминированным заболеванием, при котором множественные очаги поражения выявляют у нескольких членов семьи. На патологоанатомическом уровне при цементоме происходит прогрессирующая резорбция нормальной альвеолярной кости с замещением ее фиброзной тканью, состоящей из фибробластов, коллагена и различного количества костных или цементоподобных кальцификатов.
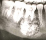
Начальная стадия развития цементомы характеризуется пролиферацией фибробластов и коллагеновых волокон в апикальной области периодонтальной связки, в результате чего возникает резорбция мозгового вещества, окружающего апекс. На данном этапе на рентгенограмме видны зоны разрежения костной ткани, имеющие большое сходство с периапикальными очагами инфекционного трансдентального происхождения. В дальнейшем во время второй стадии развития цементомы происходит дифференцировка цементобластов. Это, в свою очередь, способствует появлению участков повышенной минерализации. При третьей стадии наблюдается оссификация фиброзной ткани. Поражение выглядит как кальцификация ограниченной плотности, окруженная узким радиопрозрачным ободком.
Начальная стадия развития цементомы характеризуется пролиферацией фибробластов и коллагеновых волокон в апикальной области периодонтальной связки, в результате чего возникает резорбция мозгового вещества, окружающего апекс. На данном этапе на рентгенограмме видны зоны разрежения костной ткани, имеющие большое сходство с периапикальными очагами инфекционного трансдентального происхождения. В дальнейшем во время второй стадии развития цементомы происходит дифференцировка цементобластов. Это, в свою очередь, способствует появлению участков повышенной минерализации. При третьей стадии наблюдается оссификация фиброзной ткани. Поражение выглядит как кальцификация ограниченной плотности, окруженная узким радиопрозрачным ободком.
Классификация
В стоматологии выделяют 4 основных типа цементом:
1. Истинная цементома. Опухоль развивается без выраженной клиники. Чаще новообразование диагностируют случайно во время проведения рентгенографии зуба, связанного с цементомой, или соседних зубов. При гистологическом исследовании цементомы выявляют грубоволокнистую соединительную ткань с разной степенью кальцификации. Опухоль окружена оболочкой, отграничивающей патологически измененные ткани от здоровой кости. Микроскопически новообразование имеет сходство с остеоид-остеомой, болезнью Педжета.
2. Цементирующаяся фиброма. Заболевание протекает со стертой симптоматикой. При разрастании цементома истончает кортикальный слой кости, от давления на надкостницу возникает нерезкая болезненность. Гистологически цементирующая фиброма представляет собой доброкачественное новообразование, состоящее из переплетающихся между собой клеток и волокон соединительной ткани с выраженными зонами минерализации. Цементирующая фиброма, как и истинная цементома, имеет внешнюю капсулу.
3. Периапикальная цементная дисплазия. Чаще локализуется во фронтальном отделе тела нижней челюсти. Характеризуется появлением множественных патологических очагов, которые не превышают 1 см в диаметре и не распространяются на кортикальную пластинку. В своем развитии опухоль проходит 3 стадии: остеолитическую, кальцифицирующую и зрелую. На рентгенограмме наряду с деструкцией костной ткани выявляют участки повышенной минерализации.
4. Гигантоформная цементома. Характеризуется интенсивной трансформацией соединительной ткани в цементную. На рентгенограмме обнаруживают участок округлой или овальной формы, плотно спаянный с корнем зуба. Степень плотности гигантоформной цементомы имеет большое сходство со структурой твердых тканей зуба. Периодонтальная щель не прослеживается, клеточные элементы практически отсутствуют.
1. Истинная цементома. Опухоль развивается без выраженной клиники. Чаще новообразование диагностируют случайно во время проведения рентгенографии зуба, связанного с цементомой, или соседних зубов. При гистологическом исследовании цементомы выявляют грубоволокнистую соединительную ткань с разной степенью кальцификации. Опухоль окружена оболочкой, отграничивающей патологически измененные ткани от здоровой кости. Микроскопически новообразование имеет сходство с остеоид-остеомой, болезнью Педжета.
2. Цементирующаяся фиброма. Заболевание протекает со стертой симптоматикой. При разрастании цементома истончает кортикальный слой кости, от давления на надкостницу возникает нерезкая болезненность. Гистологически цементирующая фиброма представляет собой доброкачественное новообразование, состоящее из переплетающихся между собой клеток и волокон соединительной ткани с выраженными зонами минерализации. Цементирующая фиброма, как и истинная цементома, имеет внешнюю капсулу.
3. Периапикальная цементная дисплазия. Чаще локализуется во фронтальном отделе тела нижней челюсти. Характеризуется появлением множественных патологических очагов, которые не превышают 1 см в диаметре и не распространяются на кортикальную пластинку. В своем развитии опухоль проходит 3 стадии: остеолитическую, кальцифицирующую и зрелую. На рентгенограмме наряду с деструкцией костной ткани выявляют участки повышенной минерализации.
4. Гигантоформная цементома. Характеризуется интенсивной трансформацией соединительной ткани в цементную. На рентгенограмме обнаруживают участок округлой или овальной формы, плотно спаянный с корнем зуба. Степень плотности гигантоформной цементомы имеет большое сходство со структурой твердых тканей зуба. Периодонтальная щель не прослеживается, клеточные элементы практически отсутствуют.
Клиническая картина
Для цементомы характерно бессимптомное течение. Открывание рта у пациентов свободное, осуществляется в полном объеме. Цвет кожных покровов не изменен. Слизистая в проекции цементомы бледно-розового оттенка, без видимых патологических изменений. При достижении больших размеров опухоли уменьшается толщина кортикальной пластинки, в результате чего цементома оказывает давление на надкостницу. Это вызывает появление нерезкой болезненности при разговоре, во время приема пищи.
В ходе пальпаторного исследования удается выявить локальное утолщение кости в зоне, соответствующей локализации цементомы. Опухоль может прорастать в слизистую, что приводит к образованию перфорационного отверстия, которое служит входными воротами для проникновения инфекции и развития воспалительного процесса. Если цементома локализуется на верхней челюсти, доброкачественное новообразование может врастать в полость гайморового синуса, вызывая характерную симптоматику гайморита.
Ассоциированные симптомы: Асимметрия лица. Боль в верхней челюсти. Боль в нижней челюсти.
В ходе пальпаторного исследования удается выявить локальное утолщение кости в зоне, соответствующей локализации цементомы. Опухоль может прорастать в слизистую, что приводит к образованию перфорационного отверстия, которое служит входными воротами для проникновения инфекции и развития воспалительного процесса. Если цементома локализуется на верхней челюсти, доброкачественное новообразование может врастать в полость гайморового синуса, вызывая характерную симптоматику гайморита.
Ассоциированные симптомы: Асимметрия лица. Боль в верхней челюсти. Боль в нижней челюсти.
Диагностика
Постановка диагноза цементома основывается на данных анамнеза заболевания, жалобах пациента, результатах клинического, рентгенологического и гистологического исследований. При значительных размерах опухоли в ходе внешнеротового физикального осмотра врач-стоматолог выявляет асимметрию лица. Кожные покровы в цвете не изменены, открывание рта свободное. Слизистая бледно-розовая. При пальпации наблюдается слабоболезненная деформация пораженного участка кости. В результате прорастания опухоли в слизистую оболочку при соответствующей локализации цементомы может возникнуть соустье. Если цементома небольших размеров, специфические клинические симптомы заболевания отсутствуют.
Единственным возможным способом диагностики является рентгенологическое исследование. Для цементомы характерны два типа изменений. В первом случае рентгенографически определяют правильной округлой формы плюс-ткань, по плотности напоминающую ткань зуба, тесно связанную с его корневой частью. По периферии цементомы локализуется тонкая полоска просветления, соответствующая зоне разрежения кости. Периодонтальная щель по окружности корня отсутствует. Во втором случае на рентгене диагностируют минус-ткань. При этом на фоне разрежения кости выявляют зоны повышенной минерализации.
С целью проведения дифференциальной диагностики периапикальной цементной дисплазии с воспалительными периапикальными изменениями используют ЭОД. В отличие от периодонтита при цементоме жизнеспособность пульпы сохранена, что подтверждается данными ЭОД в диапазоне значений от 2 до 6 мкА. Решающими при постановке диагноза цементома являются результаты гистологического исследования. Выявление цементоподобной ткани без признаков атипии подтверждает развитие цементомы. Заболевание дифференцируют с хроническим периодонтитом, доброкачественными и злокачественными одонтогенными опухолями. Пациента обследует челюстно-лицевой хирург.
Единственным возможным способом диагностики является рентгенологическое исследование. Для цементомы характерны два типа изменений. В первом случае рентгенографически определяют правильной округлой формы плюс-ткань, по плотности напоминающую ткань зуба, тесно связанную с его корневой частью. По периферии цементомы локализуется тонкая полоска просветления, соответствующая зоне разрежения кости. Периодонтальная щель по окружности корня отсутствует. Во втором случае на рентгене диагностируют минус-ткань. При этом на фоне разрежения кости выявляют зоны повышенной минерализации.
С целью проведения дифференциальной диагностики периапикальной цементной дисплазии с воспалительными периапикальными изменениями используют ЭОД. В отличие от периодонтита при цементоме жизнеспособность пульпы сохранена, что подтверждается данными ЭОД в диапазоне значений от 2 до 6 мкА. Решающими при постановке диагноза цементома являются результаты гистологического исследования. Выявление цементоподобной ткани без признаков атипии подтверждает развитие цементомы. Заболевание дифференцируют с хроническим периодонтитом, доброкачественными и злокачественными одонтогенными опухолями. Пациента обследует челюстно-лицевой хирург.
|
|
Лечение
При выявлении истинной цементомы и цементирующей фибромы проводят удаление опухоли полости рта с резекцией части пораженной кости. Зуб, вовлеченный в патологический процесс, также подлежит удалению. Лечение периапикальной цементной дисплазии имеет свои особенности. Поскольку тенденции к активному опухолевому росту не наблюдается, данный тип цементом не требует удаления. Также не применяют оперативный метод лечения при диагностировании гигантоформной цементомы. Пациенту назначают регулярные осмотры с целью наблюдения за характером изменений в динамике для своевременного выявления осложнений. В связи с повышенной оссификацией ткани нарушается трофика, что в дальнейшем приводит к появлению некротических изменений.
При периапикальной цементной дисплазии избегают удаления зубов. Отторжение склеротических цементоподобных масс происходит в течение длительного отрезка времени и приводит к выздоровлению. Формирование углубления блюдцеобразной формы в участке пораженной кости может ускорить восстановительные процессы. Так как жизнеспособность пульпы сохранена, эндолечение не проводят. Прогноз цементно-костной дисплазии хороший. Позднее выявление истинной цементомы и цементирующей фибромы приводит к развитию осложнений: нарушению целостности кости, распространению опухоли на верхнечелюстной синус, появлению перфорационных отверстий на слизистой полости рта.
При периапикальной цементной дисплазии избегают удаления зубов. Отторжение склеротических цементоподобных масс происходит в течение длительного отрезка времени и приводит к выздоровлению. Формирование углубления блюдцеобразной формы в участке пораженной кости может ускорить восстановительные процессы. Так как жизнеспособность пульпы сохранена, эндолечение не проводят. Прогноз цементно-костной дисплазии хороший. Позднее выявление истинной цементомы и цементирующей фибромы приводит к развитию осложнений: нарушению целостности кости, распространению опухоли на верхнечелюстной синус, появлению перфорационных отверстий на слизистой полости рта.