Продолжая работу с сайтом, вы разрешаете использование сookies и соглашаетесь с политикой конфиденциальности.
.,о.,р..и.:г,.и.,н.;н.,а;,л.. .,н.:а,.х.,о.,д.;и.,т..с.:я,, ..н.;а., .,k;,i..b.:e,;r.,i.,s.,.;.r.:u,

Одонтома

ДобавьАналогиСравни
Используемые препараты: ... скрыть
 
Препаратов не найдено
Лечат в 2970 клиниках 134 городов
X
X
Нужен: стоматолога-ортопед, 3 анализа, 1 услугу
Нижний Новгород, ул. Таллинская, д. 8В, корп. 2 +7(831..показать+7(495) 104-88-01, +7(831) 248-53-86 от 2115₽
Волгоград, ул. Автотранспортная, д. 75 +7(844..показать+7(495) 104-88-01, +7(844) 243-55-43, +7(844) 253-40-00 от 2177₽
Уфа, ул. Правды, д. 19 +7(347..показать+7(495) 104-88-01, +7(347) 292-70-07 от 2600₽
Уфа, ул. Карла Маркса, д. 69 +7(347..показать+7(495) 104-88-01, +7(347) 292-70-07 от 2600₽
Уфа, ул. Союзная, д. 35 +7(347..показать+7(495) 104-88-01, +7(347) 292-70-07 от 2600₽
Ростов-на-Дону, Театральная площадь, д. 4 +7(863..показать+7(495) 104-88-01, +7(863) 306-77-50 от 2620₽
Санкт-Петербург, пр-т Мечникова, д. 27 +7(812..показать+7(495) 104-88-01, +7(812) 679-70-03 от 2815₽
Москва, ул. Гиляровского д. 57 +7(495..показать+7(495) 104-88-01, +7(495) 684-12-98, +7(495) 688-63-36, +7(495) 684-26-45 от 2920₽
Новосибирск, ул. Дуси Ковальчук, д. 272/1 +7(383..показать+7(495) 104-88-01, +7(383) 362-02-00, +7(965) 827-82-69, +7(383) 388-84-72, +7(961) 879-57-27 от 3170₽
Новосибирск, ул. Шевченко, д. 31А +7(383..показать+7(495) 104-88-01, +7(383) 362-02-00, +7(965) 827-82-69 от 3170₽
Ещё 2960 клиник
  1. МКБ-10 коды
  2. Описание
  3. Дополнительные факты
  4. Причины
  5. Классификация
  6. Клиническая картина
  7. Диагностика
  8. Дифференциальная диагностика
  9. Похожие заболевания
  10. Связанные клинические рекомендации
  11. Основные медицинские услуги
  12. Клиники для лечения

Другие названия и синонимы

Odontoma.
Одонтома

МКБ-10 коды

Описание

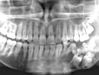
 Одонтома. Это доброкачественная опухоль из элементов зубных тканей, которая развивается в костях челюстей. Симптомы одонтомы зависят от места локализации опухоли, ее размеров и выраженности воспалительных явлений в окружающих тканях. Чаще всего одонтома развивается безболезненно и характеризуется медленным ростом. Такая опухоль выявляется врачом-стоматологом случайно при рентгенографии или при удалении зуба. В некоторых случаях одонтома прорастает в костную ткань, и тогда в полости рта образуется язва, нередко сопровождающаяся формированием гнойных свищей. Рентгенологические и гистологические методы исследования позволяют дифференцировать опухоль. Лечение одонтом - хирургическое.
Одонтома

Дополнительные факты

 Одонтома - это одонтогенное образование, которое является результатом аномалии развития тканей зубов. С греческого языка одонтома переводится как «опухоль, состоящая из зубов». Уже из этого определения становится ясно, что эта опухоль органоспецифическая и развивается только в челюстных костях. Чаще всего одонтома поражает кость в области премоляров и моляров, как на верхней, так и на нижней челюсти. Максимальный рост опухоли наблюдается либо в возрасте от 6 до 11 лет, что связано с периодом прорезывания постоянных зубов, либо позднее - на этапе прорезывания третьих моляров. Наиболее часто опухоль выявляется в молодом возрасте (до 20 лет) с равной вероятностью у лиц обоих полов. Её рост прекращается с окончанием формирования зубного зачатка, поэтому у взрослых опухоль обнаруживается случайно при рентгенологическом исследовании или при развитии воспалительного процесса в тканях новообразования. Одонтома составляет около 22% от всех одонтогенных опухолей и является одним из самых частых заболеваний этой группы. Ранняя диагностика и лечение одонтомы способствует предотвращению развития осложнений.

Причины

 Существует две теории возникновения одонтом. Одни стоматологи считают, что одонтома - это порок развития одного или нескольких зачатков зубов, которые состоят из эпителиальных или мезенхимальных тканей, представляющий собой смешанную одонтогенную опухоль. Другие полагают, что этот вид опухолей является исключительно тканевой аномалией развития, потому что эпителиальные и мезенхимальные клетки могут встречаться и в здоровых тканях. Большую роль в развитии одонтом отводят общим факторам - генетической предрасположенности, а также местным причинам - наличию инфекции в тканях полости рта, травмам.
 Морфологическая основа опухоли, по данным разных авторов, различается. В основном выделяют клетки Маляссе, ткань зубной пластинки, слизистую оболочку полости рта и все ткани зуба (нормальных и сверхкомплектных зубов). При гистологическом исследовании опухоли часто можно увидеть части тканей зуба: пульпу, дентин, эмаль, цемент, расположенные в хаотичном порядке. Иногда между тканями зуба находятся прослойки соединительной ткани. Также одонтома может быть представлена однородной тканью зуба. Таким образом, важным фактором в этиологии одонтом является высокая одонтобластическая активность, отвечающая за развитие зачатков зубов.

Классификация

 На сновании гистологического строения в стоматологии различают мягкие одонтомы, твердые, простые, кистозные и сложные. Разделение одонтом по клинико-морфологическим признакам играет важную роль в диагностике опухолей челюстно-лицевой области. Мягкая одонтома - это начальная стадия развития твердой. Гистологически мягкая одонтома выполнена эпителиальными разрастаниями и нежно-волокнистой соединительной тканью в виде тяжей. Такой вид новообразования наиболее часто встречается у детей раннего возраста на этапе формирования зачатков зубов.
 Твердые одонтомы также наблюдаются чаще всего в раннем возрасте. Эти новообразования обызвествленные и чаще всего локализуются в области ветви или угла нижней челюсти или в области центральных зубов верхней челюсти. В состав этой опухоли могут входить разные части зуба: эмаль, дентин, цемент, периодонт, пульпа. Эти ткани могут находиться на разной стадии развития и обызвествление. Твердая одонтома покрыта плотной капсулой.
 Простая твердая одонтома включает части одного зачатка, сложная одонтома представлена сочетанием различных тканей зуба, а кистозная - это фолликулярная киста, в полости которой находятся части зубного зачатка. Также существует классификация по гистопатологическим признакам ВОЗ (2005), при этом новообразования разделяются на составные и сложные. Сложные одонтомы могут включать несколько частей зуба, а составные заполнены зубоподобными образованиями.

Клиническая картина

 Симптомы одонтомы отличаются в зависимости от типа опухоли. Так, течение мягкой одонтомы клинически напоминает амелобластому, однако одонтома наблюдается чаще в раннем возрасте. Рост опухоли медленный, но он ограничен, и его прекращение связано с окончанием формирования зубов. Непрерывный рост встречается только у твердой сложной одонтомы. В результате увеличения размера опухоли кость вздувается и увеличивается, затем происходит разрушение кортикальной пластинки, и новообразование проникает в надкостницу, а затем в мягкие ткани. При сильном истончении костной ткани может определяться такой симптом как «пергаментный хруст». Выбухающая ткань имеет темный цвет и мягкоэластичную структуру, при пальпации может появляться кровоточивость. Со временем опухоль может изъязвляться.

Диагностика

 Для диагностики одонтомы, в первую очередь, используются данные клинического осмотра пациента. Для уточнения диагноза обязательно проводится рентгенологическое исследование (ортопантомограмма, КТ челюсти), на котором выявляется ограниченная гомогенная тень. Также используется гистологическое исследование для исключения озлокачествления опухоли.

Дифференциальная диагностика

 Дифференциальную диагностику проводят с другими опухолями характерными для данной области челюстно-лицевой системы (например, амелобластомой), а также с хроническим остеомиелитом.
 Лечение этих новообразований только хирургическое и проводится в стационаре челюстно-лицевыми хирургами. Тщательно удаляется опухоль с капсулой, ложе выскабливается. Образовавшаяся полость постепенно заполняется костным веществом. Нерадикальное хирургическое лечение может являться причиной рецидивов одонтом. При одонтомах больших размеров чаще всего производят резекцию челюсти. В том случае, если отсутствует хроническое воспаление, произошло полное обызвествление одонтомы, и отсутствуют признаки функциональных нарушений, то такая опухоль не удаляется. После удаления опухоли очень важно дальнейшее рациональное протезирование и наблюдение за пациентом.
 Раннее выявление опухолей - одна из основных задач современной стоматологии и медицины в целом. При своевременном оказании помощи прогноз благоприятный. Одонтомы - это доброкачественные опухоли, но приблизительно в 4% случаев возможно озлокачествление, чаще всего мягкой одонтомы. Основой профилактики является регулярное посещение врача-стоматолога, санация очагов хронической инфекции, диспансеризация.

Похожие заболевания

Связанные клинические рекомендации

42a96bb5c8a2acfb07fc866444b97bf1
Доступно только при использовании PRO аккаунта
Модератор контента: Васин А.С.


  1. Киберис НЕ является интернет-магазином и НЕ осуществляет закупку, хранение, продажу и доставку препаратов. Ресурс выступает лишь в роли посредника между вами и производителем препаратов или аптечными пунктами, которые и осуществляют поставку.
  2. На Киберис размещены описания препаратов, часть из которых предназначена только для врачей. Данная информация не может быть использована пациентами для принятия решения об использовании препаратов, их отмене или коррекции дозировок.
  3. Ничто в представленной информации не должно быть истолковано как призыв использовать данные препараты.
  4. К Киберис не могут быть обращены претензии по поводу любого ущерба или вреда, понесенного в результате использования размещенной на сайте информации.