Другие названия и синонимы
Granulomatous periodontitis.
МКБ-10 коды
- МКБ-10
- K05.3 Хронический пародонтит
|
|
Описание
Гранулематозный периодонтит. Это хроническое воспалительное заболевание периодонта, при котором в области верхушки корня зуба образуются гранулемы - специфические соединительнотканные образования, отделяющие инфекционный очаг от здоровых тканей. Заболевание часто протекает абсолютно бессимптомно, и жалобы появляются только при обострении воспалительного процесса - в таком случае они соответствуют картине острого периодонтита. Диагноз устанавливается на основе данных анамнеза, клинической картины, рентгенографии и электроодонтометрии. Исходя из размера и формы гранулем, проходимости корневых каналов и общей сопротивляемости организма, лечение может быть консервативным или хирургическим.
Дополнительные факты
Гранулематозный периодонтит представляет собой вялотекущий инфекционный процесс в тканях периодонта, при котором область воспаления ограничивается при помощи капсулы из соединительной ткани, или зубной гранулемы. Она формируется в области хронического воспаления, активно поддерживаемого микрофлорой корневого канала. Гранулема препятствует проникновению бактерий в здоровые ткани, что позволяет уменьшить всасывание и распространение микроорганизмов и продуктов их жизнедеятельности в кровяное русло. В отличие от гранулирующего периодонтита такая форма заболевания протекает гораздо легче.
Однако именно бессимптомное течение делает гранулематозный периодонтит опасным заболеванием, поскольку гранулема имеет тенденцию к кистозному перерождению, а киста, в свою очередь, может оттеснить костную ткань и спровоцировать выпадение зуба. Если происходит вскрытие гранулемы, например, при травме челюсти, ее содержимое, включая бактерии и их токсины, попадает в ткани периодонта. Начинается интенсивный воспалительный процесс с выраженной интоксикацией, который может привести как к местным осложнениям (абсцесс), так и к появлению очагов бактериальной инфекции в других органах и тканях (септический эндокардит).
Однако именно бессимптомное течение делает гранулематозный периодонтит опасным заболеванием, поскольку гранулема имеет тенденцию к кистозному перерождению, а киста, в свою очередь, может оттеснить костную ткань и спровоцировать выпадение зуба. Если происходит вскрытие гранулемы, например, при травме челюсти, ее содержимое, включая бактерии и их токсины, попадает в ткани периодонта. Начинается интенсивный воспалительный процесс с выраженной интоксикацией, который может привести как к местным осложнениям (абсцесс), так и к появлению очагов бактериальной инфекции в других органах и тканях (септический эндокардит).
Классификация
В зависимости от формы соединительнотканных образований в стоматологии выделяют несколько морфологических типов гранулематозного периодонтита. Так, в самом начале патологического процесса уплотняется периодонт, разрастается соединительная ткань, и формируется гранулема. Это образование имеет полость, которую заполняют грануляции, фиброзные элементы, живые и погибшие бактерии, продукты их жизнедеятельности и лейкоциты. Чаще всего гранулема локализуется в области верхушки корня зуба, сбоку от корня (апикально-латеральная гранулема) или в зоне бифуркации многокорневых зубов. Размер гранулемы редко превышает 5.
Далее из простой гранулемы в результате активного размножения эпителиальных клеток периодонта развивается кистогранулема. Данное образование имеет внутреннюю слизистую выстилку. В этой зоне повышается pH, что способствует активации остеокластов и торможению остеобластов, поэтому процессы костной резорбции начинают преобладать над процессами остеосинтеза. Кистогранулема может достигать 1 см в диаметре. Следующим типом новообразований при гранулематозном периодонтите является киста. Она представляет собой полостное образование, имеющее внешнюю соединительнотканную капсулу и выстланное изнутри слизистой тканью. Жидкость, постоянно продуцируемая слизистым слоем, давит на окружающие костные структуры, дополнительно способствуя их деформации и разрушению.
Далее из простой гранулемы в результате активного размножения эпителиальных клеток периодонта развивается кистогранулема. Данное образование имеет внутреннюю слизистую выстилку. В этой зоне повышается pH, что способствует активации остеокластов и торможению остеобластов, поэтому процессы костной резорбции начинают преобладать над процессами остеосинтеза. Кистогранулема может достигать 1 см в диаметре. Следующим типом новообразований при гранулематозном периодонтите является киста. Она представляет собой полостное образование, имеющее внешнюю соединительнотканную капсулу и выстланное изнутри слизистой тканью. Жидкость, постоянно продуцируемая слизистым слоем, давит на окружающие костные структуры, дополнительно способствуя их деформации и разрушению.
Причины
Главный механизм развития гранулематозного периодонтита связан с наличием постоянных очагов воспаления в тканях зуба. В большинстве случаев такие очаги формируются вследствие кариозного поражения и его запущенной формы - пульпита. Как правило, гранулематозному периодонтиту предшествует гранулирующий периодонтит. Другой причиной развития заболевания является травматизация зубов как вследствие прямой травмы челюстно-лицевой зоны, так и из-за привычки постоянно разгрызать твердые предметы или ношения неподходящей ортодонтической конструкции. Гранулематозный периодонтит также может возникнуть как ответная реакция организма на медикаментозное воздействие, например, при неправильном соблюдении дозировки препарата или аллергической реакции. К дополнительным факторам развития хронических форм периодонтита относятся эндокринные заболевания, недостаточная усваиваемость организмом витаминов и минералов, неправильный прикус, снижение иммунитета и курение.
Клиническая картина
Формирование и рост гранулемы обычно происходит абсолютно бессимптомно, а интенсивность этих процессов зависит от активности воспаления и состояния иммунитета конкретного пациента. Тем не менее, многие пациенты говорят о дискомфорте в области больного зуба во время приема пищи, замечают изменение его цвета или выпадение пломбы. Жалобы могут появиться при обострении заболевания (тогда они соответствуют симптомам острого периодонтита) или в том случае, когда процесс перешел в кистозную форму. Если киста смещена в сторону, а не локализована строго в области верхушки корня, при пальпации челюсти обнаруживается выбухание.
Ассоциированные симптомы: Зубная боль. Потеря веса.
Ассоциированные симптомы: Зубная боль. Потеря веса.
Диагностика
Для постановки диагноза нужно очень внимательно собрать анамнез, провести осмотр и назначить дополнительные исследования. Пациенты с гранулематозным периодонтитом могут рассказывать, что в прошлом имела место боль в зубе и повышенная реакция на горячую или холодную пищу. Но затем проблема исчезла самостоятельно или после стоматологического лечения. При осмотре обнаруживается зуб с измененным цветом, часто с пломбой или коронкой, в нем может быть крупная кариозная полость. При зондировании корневого канала отсутствуют дискомфортные ощущения, из полости зуба исходит гнилостный запах. Перкуссия также безболезненна, в редких случаях пациент говорит о незначительном дискомфорте. В проекции верхушки корня зуба может наблюдаться гиперемия или легкий отек. Но отнюдь не всегда имеются такие яркие диагностические признаки, и воспалительный процесс длительное время протекает скрыто.
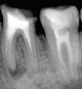
Для уточнения диагноза необходима дентальная рентгенография. Гранулема на рентгеновском снимке представляет собой тень округлой формы в апикальной зоне. Она может соприкасаться с корнем или формировать «шапочку». По мере прогрессирования заболевания все более заметными становятся зоны отсутствия костной структуры с ровными контурами. С помощью рентгенографии проводят дифференциальную диагностику гранулематозного периодонтита с другими стоматологическими заболеваниями. Хронический пульпит и средний кариес не дают никаких отклонений на рентгенограмме. Фиброзный периодонтит характеризуется расширенной периодонтальной щелью. На рентгенограмме пациента с гранулирующим периодонтитом выражены участки деструкции костной ткани с размытыми рваными краями. При корневой кисте отмечается очаг распада костной ткани более 1 см с четкими ровными краями. Чувствительность зуба у пациента с гранулематозным периодонтитом при электроодонтометрии наступает в диапазоне от 100 до 120 мкА, что соответствует некрозу пульпы.
Для уточнения диагноза необходима дентальная рентгенография. Гранулема на рентгеновском снимке представляет собой тень округлой формы в апикальной зоне. Она может соприкасаться с корнем или формировать «шапочку». По мере прогрессирования заболевания все более заметными становятся зоны отсутствия костной структуры с ровными контурами. С помощью рентгенографии проводят дифференциальную диагностику гранулематозного периодонтита с другими стоматологическими заболеваниями. Хронический пульпит и средний кариес не дают никаких отклонений на рентгенограмме. Фиброзный периодонтит характеризуется расширенной периодонтальной щелью. На рентгенограмме пациента с гранулирующим периодонтитом выражены участки деструкции костной ткани с размытыми рваными краями. При корневой кисте отмечается очаг распада костной ткани более 1 см с четкими ровными краями. Чувствительность зуба у пациента с гранулематозным периодонтитом при электроодонтометрии наступает в диапазоне от 100 до 120 мкА, что соответствует некрозу пульпы.
Лечение
В каждом конкретном случае лечение подбирается в индивидуальном порядке. На выбор методики влияет размер и строение гранулемы, проходимость корневых каналов, возраст пациента, наличие сопутствующий заболеваний и состояние иммунной системы. Для лечения небольших гранулем с минимальным количеством эпителиальной ткани при хорошей проходимости корневых каналов у пациентов с высоким потенциалом регенерации костной ткани выбирают консервативно-терапевтические методы. В полость предварительно расширенных и обработанных антисептическими средствами корневых каналов вводится препарат комплексного действия. Благодаря высокой кислотности (pH 12,5) он вызывает гибель патогенных микроорганизмов, а в нейтральной среде возобновляется нормальная активность остеобластов. Гидрооксид кальция восстанавливает и укрепляет костную структуру в зоне действия, а йодоформ увеличивает бактерицидные свойства препарата.
У пациентов с крупными гранулемами часто приходится прибегать к хирургическому лечению, а именно к резекции верхушки корня зуба. Однако резекции подлежит более трети верхушки, предпочтительнее удалить весь зуб сразу. Операция резекции верхушки корня состоит из нескольких этапов. Сначала врач-стоматолог проводит инфильтрационную анестезию, выполняет разрез в проекции апикальной зоны, откидывает десневой лоскут и удерживает его инструментом или парой швов для полноценного обзора операционного поля. Затем при помощи фрезы выпиливается костное окно, соответствующее области деструкции. Выступающую часть корня спиливают и, при необходимости, пломбируют дистальный отдел корневого канала. В завершение операции стоматолог-хирург выскабливает костную полость и заполняет ее материалом для скорейшей регенерации костной ткани. Данная операция приводит к хорошему результату, однако из-за высокой травматизации ее используют исключительно при наличии серьезных показаний, когда консервативная терапия неэффективна.
Одной из неблагоприятных особенностей течения гранулематозного периодонтита является высокая вероятность обострения. Оно характеризуется симптомами острого периодонтита: резкая боль, усиливающаяся при прикосновении к зубу, отек в области поражения, увеличение регионарных лимфатических узлов. В данном случае необходимо сразу же сделать рентгенограмму и, если целесообразно сохранять зуб, первым делом снять симптомы острого воспаления. Для этого необходимо хирургическим путем обеспечить отток гнойного экссудата и назначить пациенту антибактериальную терапию. Далее лечение проводят как при обычном гранулематозном периодонтите.
У пациентов с крупными гранулемами часто приходится прибегать к хирургическому лечению, а именно к резекции верхушки корня зуба. Однако резекции подлежит более трети верхушки, предпочтительнее удалить весь зуб сразу. Операция резекции верхушки корня состоит из нескольких этапов. Сначала врач-стоматолог проводит инфильтрационную анестезию, выполняет разрез в проекции апикальной зоны, откидывает десневой лоскут и удерживает его инструментом или парой швов для полноценного обзора операционного поля. Затем при помощи фрезы выпиливается костное окно, соответствующее области деструкции. Выступающую часть корня спиливают и, при необходимости, пломбируют дистальный отдел корневого канала. В завершение операции стоматолог-хирург выскабливает костную полость и заполняет ее материалом для скорейшей регенерации костной ткани. Данная операция приводит к хорошему результату, однако из-за высокой травматизации ее используют исключительно при наличии серьезных показаний, когда консервативная терапия неэффективна.
Одной из неблагоприятных особенностей течения гранулематозного периодонтита является высокая вероятность обострения. Оно характеризуется симптомами острого периодонтита: резкая боль, усиливающаяся при прикосновении к зубу, отек в области поражения, увеличение регионарных лимфатических узлов. В данном случае необходимо сразу же сделать рентгенограмму и, если целесообразно сохранять зуб, первым делом снять симптомы острого воспаления. Для этого необходимо хирургическим путем обеспечить отток гнойного экссудата и назначить пациенту антибактериальную терапию. Далее лечение проводят как при обычном гранулематозном периодонтите.
|
|
Прогноз
При грамотной консервативной терапии гранулематозный периодонтит переходит в фиброзный и не требует в дальнейшем какого-либо лечения. Некоторое время пациента может беспокоить чувство давления и дискомфорт в десне, но это нормальная реакция организма, и она не является поводом для беспокойства. После хирургических манипуляций в области надрезов некоторое время сохраняются болевые ощущения. Резкая боль может свидетельствовать о неправильном проведении операции и требует незамедлительного врачебного контроля. В послеоперационном периоде необходимо отказаться от алкогольных напитков, курения, острых и горячих блюд, а также жевать пищу и чистить зубы таким образом, чтобы не задеть края раны. По прошествии шести месяцев требуется визит к лечащему врачу для проведения контрольной рентгенографии.
Профилактика
Отсутствие лечения приводит к неблагоприятным последствиям. Гранулема постепенно перерастает в кисту крупных размеров, нередко охватывающую корни соседних зубов и разрушающую костную ткань. В таких условиях невозможно избежать удаления зубов. При другом варианте гранулема нагнаивается, врач купирует острый воспалительный процесс и дальше проводится лечение гранулематозного периодонтита по стандартной схеме консервативным или хирургическим путем. Для своевременного обнаружения гранулем необходимо раз в полгода проходить осмотр у стоматолога и полноценно лечить воспалительные заболевания полости рта.