Продолжая работу с сайтом, вы разрешаете использование сookies и соглашаетесь с политикой конфиденциальности.
.,о.,р..и.:г,.и.,н.;н.,а;,л.. .,н.:а,.х.,о.,д.;и.,т..с.:я,, ..н.;а., .,k;,i..b.:e,;r.,i.,s.,.;.r.:u,

Фиброзный периодонтит

ДобавьАналогиСравни
Нигде не найдено ... скрыть
 
По жалобе ничего не найдено в выбранном разделе медицины. Попробуйте переформулировать жалобу или сменить источник поиска выше
  1. МКБ-10 коды
  2. Описание
  3. Дополнительные факты
  4. Причины
  5. Клиническая картина
  6. Диагностика
  7. Дифференциальная диагностика
  8. Лечение
  9. Похожие заболевания

Другие названия и синонимы

Fibrous periodontitis.
Фиброзный периодонтит

МКБ-10 коды

Описание

 Фиброзный периодонтит. Хроническое воспаление тканей периодонта. Как правило, заболевание протекает бессимптомно. Характерные изменения, указывающие на развитие фиброзного периодонтита, обнаруживают во время рентгенологического исследования. При обострении хронического воспаления периодонта появляются болезненность при накусывании, гиперемия и отечность слизистой в проекции верхушек корней причинного зуба. Диагностика заболевания включает сбор жалоб, клинический осмотр, рентгенографию, ЭОД. Лечение фиброзного периодонтита направлено на устранение окклюзионной перегрузки, элиминацию периапикального очага воспаления.
Фиброзный периодонтит

Дополнительные факты

 Фиброзный периодонтит - разновидность хронического периодонтита. Заболевание является наиболее часто диагностируемой формой периодонтита у лиц пожилого возраста, что связано со снижением метаболических процессов, ухудшением васкуляризации. У детей фиброзный периодонтит встречается редко. Диагностика фиброзного периодонтита временных зубов затруднительна, так как на этом этапе развития ширина периодонтальной щели практически в два раза больше, чем у постоянного зуба со сформированными корнями. Заболевание одинаково часто выявляют у представителей обоих полов. Характерной сезонности при обращении пациентов с фиброзным периодонтитом не наблюдается. При своевременном обращении и адекватной терапии прогноз обычно благоприятный.

Причины

 Основной причиной фиброзного периодонтита является травматическая окклюзия. Жевательная перегрузка периодонта, вызванная завышением высоты прикуса, приводит к возникновению очагов повышенного давления. В результате этого запускаются процессы перестройки. Волокна соединительнотканной связки, которыми заполнено пространство между поверхностью корня и стенкой альвеолы, замещаются грубой фиброзной тканью, что становится причиной расширения периодонтальной щели. Между волокнами в незначительном количестве присутствуют клетки воспалительного инфильтрата.
 Также фиброзный периодонтит может иметь инфекционное происхождение. Например, в случае отсутствия лечебных мероприятий по купированию пульпита или острого периодонтита в патологический процесс вовлекаются ткани периодонта, воспаление прогрессирует и вскоре приводит к появлению деструктивных периапикальных изменений. Фиброзный периодонтит можно обнаружить на начальной стадии развития гранулирующего или гранулематозного периодонтита. Также остаточные воспалительные изменения в виде расширенной периодонтальной щели диагностируют на заключительных этапах лечения деструктивных форм хронического периодонтита.

Клиническая картина

 В отличие от острого воспаления периодонта, при хроническом фиброзном периодонтите жалобы на болезненность отсутствуют. Причинный зуб может быть кариозным, ранее леченным (с отреставрированной жевательной поверхностью и запломбированными, но не до физиологической верхушки каналами), покрытым коронкой. Также при фиброзном периодонтите может наблюдаться изменение цвета зуба. В редких случаях вертикальная перкуссия слабоположительная. Слизистая вокруг верхушек корней причинного зуба бледно-розовая, безболезненная при пальпации. При обострении фиброзного периодонтита пациенты указывают на болезненность при жевании, надавливании на зуб. Слизистая по переходной складке становится отечной, гиперемированной.
 Ассоциированные симптомы: Зубная боль. Потеря веса.

Диагностика

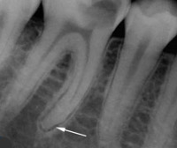
 Постановка диагноза фиброзный периодонтит основывается на жалобах пациента, результатах клинического осмотра, рентгенографии, ЭОД, термопробы. При физикальном обследовании клинические признаки воспаления отсутствуют: вертикальная перкуссия причинного зуба отрицательная, слизистая вокруг верхушек корней без изменений. Во время препарирования эмалево-дентинной границы при зондировании устьев каналов пациент боли не ощущает. Решающими в диагностике заболевания являются данные прицельного рентгенологического исследования. Расширение периодонтальной щели в участке верхушечной трети или на всем протяжении корня свидетельствует о развитии фиброзного периодонтита.

Дифференциальная диагностика

 Дифференцируют фиброзный периодонтит со средним кариесом, хроническим гангренозным пульпитом, гранулирующей и гранулематозной формами хронического периодонтита. Пациента обследует стоматолог-терапевт.

Лечение

 Для устранения хронического воспалительного процесса при фиброзном периодонтите показано эндодонтическое лечение. Этап обработки каналов, ирригации, дезинфекции заканчивается постановкой временной пасты на основе гидроксида кальция. После устранения бактериальной контаминации в стоматологии обтурируют каналы постоянным пломбировочным материалом. При выявлении супраконтактов, точек повышенного жевательного напряжения показаны мероприятия, направленные на устранение стационарных травмирующих факторов, нормализацию окклюзии.
 С этой целью при фиброзном периодонтите проводят повторное протезирование. Для отображения движений нижней челюсти в трех плоскостях при изготовлении ортопедических конструкций используют артикулятор, при этом реставрирование жевательной поверхности происходит с учетом основных анатомических ориентиров. При раннем обращении и своевременном лечении фиброзного периодонтита прогноз благоприятный. В случае отсутствия должных лечебных мероприятий при срыве адаптационных механизмов воспаление может перейти в стадию гранулирующего или гранулематозного периодонтита.

Похожие заболевания

42a96bb5c8a2acfb07fc866444b97bf1
Доступно только при использовании PRO аккаунта
Модератор контента: Васин А.С.


  1. Киберис НЕ является интернет-магазином и НЕ осуществляет закупку, хранение, продажу и доставку препаратов. Ресурс выступает лишь в роли посредника между вами и производителем препаратов или аптечными пунктами, которые и осуществляют поставку.
  2. На Киберис размещены описания препаратов, часть из которых предназначена только для врачей. Данная информация не может быть использована пациентами для принятия решения об использовании препаратов, их отмене или коррекции дозировок.
  3. Ничто в представленной информации не должно быть истолковано как призыв использовать данные препараты.
  4. К Киберис не могут быть обращены претензии по поводу любого ущерба или вреда, понесенного в результате использования размещенной на сайте информации.