Другие названия и синонимы
Pleural effusion, Выпотной плеврит, Гидроторакс, эксудативный плеврит, exudative pleurisy.
МКБ-10 коды
|
|
Описание
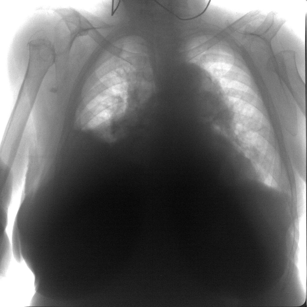
Понятие плеврального выпота (ПВ) подразумевает скопление жидкости в плевральной полости. Состояние, как правило, имеет вторичный характер и может возникать при множестве различных патологических процессов вследствие тесной анатомо-физиологической связи плевры с прилежащими органами грудной и брюшной полостей. Кроме того, ПВ могут формироваться при ряде системных патологических процессов. Сообщается, что.
К возникновению ПВ могут приводить более 80 различных заболеваний. Поэтому уместно рассматривать ПВ как клинический синдром, осложняющий развитие ряда патологических процессов. Появление ПВ всегда является признаком неблагоприятного течения основного заболевания, а симптоматика плеврального выпота становится ведущей в клинической картине заболевания. Достоверная статистика о распространенности ПВ в Украине отсутствует вследствие их преимущественно вторичного генеза. Последние данные исследований среди пациентов с фтизио-пульмонологической патологией и наличием ПВ показывают, что наиболее частыми причинами их возникновения являются воспалительные процессы, в том числе инфекционные, среди последних преобладают пневмонии.
И туберкулез. Высокий удельный вес имеют эмпиемы плевры различной природы и плевриты опухолевого генеза, несколько меньше распространены кардиогенные ПВ. Следует отметить, что структура ПВ в зависимости от их этиологии очень разнится в странах с различным социально-экономическим уровнем развития и среди населения территорий с различными эпидемиологическими характеристиками.
К возникновению ПВ могут приводить более 80 различных заболеваний. Поэтому уместно рассматривать ПВ как клинический синдром, осложняющий развитие ряда патологических процессов. Появление ПВ всегда является признаком неблагоприятного течения основного заболевания, а симптоматика плеврального выпота становится ведущей в клинической картине заболевания. Достоверная статистика о распространенности ПВ в Украине отсутствует вследствие их преимущественно вторичного генеза. Последние данные исследований среди пациентов с фтизио-пульмонологической патологией и наличием ПВ показывают, что наиболее частыми причинами их возникновения являются воспалительные процессы, в том числе инфекционные, среди последних преобладают пневмонии.
И туберкулез. Высокий удельный вес имеют эмпиемы плевры различной природы и плевриты опухолевого генеза, несколько меньше распространены кардиогенные ПВ. Следует отметить, что структура ПВ в зависимости от их этиологии очень разнится в странах с различным социально-экономическим уровнем развития и среди населения территорий с различными эпидемиологическими характеристиками.
Клиническая картина
Клинические проявления ПВ определяются характером основного заболевания и объемом выпота. Воспалительные выпоты (истинные плевриты) формируются на фоне воспалительного процесса и начинаются с характерного синдрома сухого плеврита (острая боль в боку, усиливающаяся при глубоком дыхании, кашле, чиханье; часто ощущается непосредственно в области поражения костальной плевры). Ведущие клинические жалобы у больных - боли в грудной клетке, непродуктивный кашель и одышка различной степени выраженности.
В случае развития ПВ и нарастания его объема больные отмечают ощущение тяжести в боку и одышку при значительном количестве жидкости. Массивные ПВ, достигающие объема 5-6 л, могут вызывать тяжелые нарушения гемодинамики, требующие срочной декомпрессии легкого. Гемодинамические нарушения при этом обусловлены вазоконстрикцией в спавшемся легком в результате гиповентиляции, смещением средостения в сторону здорового легкого с его компрессией, уменьшением венозного возврата к сердцу в результате повышения внутриплеврального и внутримедиастинального давления и снижением сердечного выброса. У больных регистрируются значительная тахикардия и прогрессирующая артериальная гипотензия с симптомами тканевой гипоксии.
При значительных выпотах больные принимают вынужденное сидячее положение или лежат на больном боку, таким образом уменьшая давление на средостение.
При осмотре отмечаются некоторое расширение и выбухание межреберных промежутков. Нарастающий объем жидкости оттесняет легкое кпереди и вверх, вследствие чего слой жидкости сзади становится более толстым, что при перкуссии очерчивает верхний край жидкости в виде линии Дамуазо, верхняя точка которой приходится на лопаточную линию. Над выпотом определяется тупой перкуторный звук. Важным клиническим симптомом наличия свободной жидкости является неподвижность нижнего легочного края. При значительных выпотах границы относительной сердечной тупости смещаются в здоровую сторону. Границу относительной сердечной тупости на стороне выпота можно установить с помощью метода аускультативной перкуссии. При аускультации над выпотом определяется ослабление или исчезновение дыхательных шумов, голосового дрожания и бронхофонии, однако при плевральных сращениях в зоне выпота эти симптомы могут отсутствовать. Непосредственно над выпотом может выслушиваться бронхиальное дыхание.
Важным признаком ПВ является смещение органов средостения. При парапневмонических плевритах средостение смещается в здоровую сторону. При выпоте, который сочетается с ателектазом или с пневмоциррозом, - в сторону поражения. Смещение органов средостения в сторону поражения при вторичном опухолевом плеврите при раке легкого является неблагоприятным прогностическим признаком.
Существенным моментом является сочетание симптомов ПВ и симптомов основного заболевания.
Боль в груди слева. Боль в груди справа. Боль в грудной клетке. Высокая температура тела. Кашель. Нехватка воздуха. Одышка. Озноб. Отсутствие аппетита. Потливость.
В случае развития ПВ и нарастания его объема больные отмечают ощущение тяжести в боку и одышку при значительном количестве жидкости. Массивные ПВ, достигающие объема 5-6 л, могут вызывать тяжелые нарушения гемодинамики, требующие срочной декомпрессии легкого. Гемодинамические нарушения при этом обусловлены вазоконстрикцией в спавшемся легком в результате гиповентиляции, смещением средостения в сторону здорового легкого с его компрессией, уменьшением венозного возврата к сердцу в результате повышения внутриплеврального и внутримедиастинального давления и снижением сердечного выброса. У больных регистрируются значительная тахикардия и прогрессирующая артериальная гипотензия с симптомами тканевой гипоксии.
При значительных выпотах больные принимают вынужденное сидячее положение или лежат на больном боку, таким образом уменьшая давление на средостение.
При осмотре отмечаются некоторое расширение и выбухание межреберных промежутков. Нарастающий объем жидкости оттесняет легкое кпереди и вверх, вследствие чего слой жидкости сзади становится более толстым, что при перкуссии очерчивает верхний край жидкости в виде линии Дамуазо, верхняя точка которой приходится на лопаточную линию. Над выпотом определяется тупой перкуторный звук. Важным клиническим симптомом наличия свободной жидкости является неподвижность нижнего легочного края. При значительных выпотах границы относительной сердечной тупости смещаются в здоровую сторону. Границу относительной сердечной тупости на стороне выпота можно установить с помощью метода аускультативной перкуссии. При аускультации над выпотом определяется ослабление или исчезновение дыхательных шумов, голосового дрожания и бронхофонии, однако при плевральных сращениях в зоне выпота эти симптомы могут отсутствовать. Непосредственно над выпотом может выслушиваться бронхиальное дыхание.
Важным признаком ПВ является смещение органов средостения. При парапневмонических плевритах средостение смещается в здоровую сторону. При выпоте, который сочетается с ателектазом или с пневмоциррозом, - в сторону поражения. Смещение органов средостения в сторону поражения при вторичном опухолевом плеврите при раке легкого является неблагоприятным прогностическим признаком.
Существенным моментом является сочетание симптомов ПВ и симптомов основного заболевания.
Боль в груди слева. Боль в груди справа. Боль в грудной клетке. Высокая температура тела. Кашель. Нехватка воздуха. Одышка. Озноб. Отсутствие аппетита. Потливость.
Причины
Как уже упоминалось, причиной ПВ является множество различных патологических процессов. Можно выделить такие основные виды: воспалительные инфекционной природы и иммунопатологического генеза, выпоты опухолевого происхождения, травматические, выпоты транссудативного характера при сердечной патологии, диспротеинемиях и тромбоэмболиях. Редкими причинами развития ПВ являются саркоидоз, синдром желтых ногтей, острый диффузный гломерулонефрит и некоторые другие состояния. В настоящее время возрастает представленность истинных плевритов туберкулезной природы.
Лечение
Лечение больных с ПВ включает общую консервативную этиопатогенетическую терапию и, при необходимости, местное лечение, направленное на эвакуацию жидкости из плевральной полости.
Однако во всех случаях при больших выпотах, вызывающих нарушения гемодинамики и дыхания, требуется срочная декомпрессия легкого. Жидкость удаляют до нормализации АД и уменьшения тахикардии. Одномоментное удаление чрезмерно большого количества объема плевральной жидкости (более 3 л) может привести к развитию одностороннего отека быстро расправившегося легкого, с тяжелыми нарушениями газообмена. В данных случаях показана оксигенотерапия. Мерой профилактики этого осложнения служит создание условий для постепенного расправления легкого после длительного коллапса.
Повторный торакоцентез с максимальной эвакуацией жидкости широко используется при ПВ различной этиологии, особенно инфекционных, с целью профилактики плевральных сращений.
В части случаев, при небольшом количестве выпота без признаков нарушения гемодинамики и четко установленной этиологии заболевания, вызвавшего появление ПВ, можно использовать лишь консервативную терапию с обязательным рентгенологическим контролем через 7-10 дней. При отсутствии положительной динамики показано проведение торакоцентеза.
При нахождении пациентов в терапевтическом стационаре мы рекомендуем повторные плевральные пункции с аспирацией содержимого полости и вводом интраплеврально соответствующих медикаментов на фоне общей консервативной терапии. Особенно это важно в тех случаях, когда этиология заболевания неизвестна, а плевральная пункция имеет не только лечебный, но и диагностический аспект. Добиваться тотального удаления жидкости не стоит, так как в определенном проценте случаев может возникать ятрогенный пневмоторакс, который потребует дренирования плевральной полости.
Если в течение 10-14 дней этиология заболевания остается неустановленной и жидкость продолжает накапливаться в плевральной полости, то целесообразным является перевод больного в торакальное отделение для проведения инструментальных методов диагностики и лечения.
При наличии длительно существующей многокарманной полости мы рекомендуем проведение чрескожной трансторакальной биопсии париетальной плевры с аспирацией экссудата и проведением (или без него при небольшом количестве ПВ) микродренирования или дренирования плевральной полости. Установка дренажа позволяет максимально эвакуировать плевральную жидкость, безопасно вводить лекарственные средства интраплеврально, а также осуществлять активную аспирацию содержимого. Дренаж удаляется, если в течение суток по нему аспирируется не более 15-20 мл содержимого плевральной полости.
При наличии значительного по объему ПВ целесообразным является проведение торакоскопии или видеоторакоскопии, которые позволяют уточнить природу заболевания, разрушить интраплевральные сращения, превращая многокарманную полость в монополость, а также установить дренаж для введения лекарственных препаратов и осуществить активную аспирацию.
При хронических ПВ, когда добиться прекращения экссудации не удается и есть угроза развития плеврогенного цирроза легкого, перехода процесса в вялотекущую эмпиему плевры, показано выполнение оперативного вмешательства - плеврэктомии с декортикацией легкого.
При наличии у пациента ПВ опухолевого происхождения, гипопротеинемического выпота, выпота при синдроме желтых ногтей, а также в некоторых случаях при недостаточности кровообращения показано проведение химического плевродеза. Обязательным условием выполнения данной процедуры является возможность полного расправления спавшегося легкого. В качестве склерозирующих веществ в настоящее время используются тетрациклин, доксициклин, блеомицин, тальк.
При наличии у больного хилоторакса и неэффективности дренирования плевральной полости показана торакотомия с лигированием грудного лимфатического протока.
Однако во всех случаях при больших выпотах, вызывающих нарушения гемодинамики и дыхания, требуется срочная декомпрессия легкого. Жидкость удаляют до нормализации АД и уменьшения тахикардии. Одномоментное удаление чрезмерно большого количества объема плевральной жидкости (более 3 л) может привести к развитию одностороннего отека быстро расправившегося легкого, с тяжелыми нарушениями газообмена. В данных случаях показана оксигенотерапия. Мерой профилактики этого осложнения служит создание условий для постепенного расправления легкого после длительного коллапса.
Повторный торакоцентез с максимальной эвакуацией жидкости широко используется при ПВ различной этиологии, особенно инфекционных, с целью профилактики плевральных сращений.
В части случаев, при небольшом количестве выпота без признаков нарушения гемодинамики и четко установленной этиологии заболевания, вызвавшего появление ПВ, можно использовать лишь консервативную терапию с обязательным рентгенологическим контролем через 7-10 дней. При отсутствии положительной динамики показано проведение торакоцентеза.
При нахождении пациентов в терапевтическом стационаре мы рекомендуем повторные плевральные пункции с аспирацией содержимого полости и вводом интраплеврально соответствующих медикаментов на фоне общей консервативной терапии. Особенно это важно в тех случаях, когда этиология заболевания неизвестна, а плевральная пункция имеет не только лечебный, но и диагностический аспект. Добиваться тотального удаления жидкости не стоит, так как в определенном проценте случаев может возникать ятрогенный пневмоторакс, который потребует дренирования плевральной полости.
Если в течение 10-14 дней этиология заболевания остается неустановленной и жидкость продолжает накапливаться в плевральной полости, то целесообразным является перевод больного в торакальное отделение для проведения инструментальных методов диагностики и лечения.
При наличии длительно существующей многокарманной полости мы рекомендуем проведение чрескожной трансторакальной биопсии париетальной плевры с аспирацией экссудата и проведением (или без него при небольшом количестве ПВ) микродренирования или дренирования плевральной полости. Установка дренажа позволяет максимально эвакуировать плевральную жидкость, безопасно вводить лекарственные средства интраплеврально, а также осуществлять активную аспирацию содержимого. Дренаж удаляется, если в течение суток по нему аспирируется не более 15-20 мл содержимого плевральной полости.
При наличии значительного по объему ПВ целесообразным является проведение торакоскопии или видеоторакоскопии, которые позволяют уточнить природу заболевания, разрушить интраплевральные сращения, превращая многокарманную полость в монополость, а также установить дренаж для введения лекарственных препаратов и осуществить активную аспирацию.
При хронических ПВ, когда добиться прекращения экссудации не удается и есть угроза развития плеврогенного цирроза легкого, перехода процесса в вялотекущую эмпиему плевры, показано выполнение оперативного вмешательства - плеврэктомии с декортикацией легкого.
При наличии у пациента ПВ опухолевого происхождения, гипопротеинемического выпота, выпота при синдроме желтых ногтей, а также в некоторых случаях при недостаточности кровообращения показано проведение химического плевродеза. Обязательным условием выполнения данной процедуры является возможность полного расправления спавшегося легкого. В качестве склерозирующих веществ в настоящее время используются тетрациклин, доксициклин, блеомицин, тальк.
При наличии у больного хилоторакса и неэффективности дренирования плевральной полости показана торакотомия с лигированием грудного лимфатического протока.
|
|