Другие названия и синонимы
Hylothorax, Хилезный плеврит.
МКБ-10 коды
|
|
Описание
Хилоторакс. Патологическое скопление лимфатической (хилезной) жидкости в полости плевры, возникающее вследствие лимфореи из грудного протока. Развитие хилоторакса сопровождается одышкой, прогрессирующим ухудшением самочувствия, коллаптоидным состоянием, истощением, дыхательной недостаточностью. Хилоторакс диагностируется по клинико-анамнестическим данным, результатам рентгенографии, торакоцентеза, цитологической оценки хилезной жидкости, торакоскопии. Лечение хилоторакса включает повторные пункции или дренирование плевральной полости для удаления хилуса, при упорной лимфорее - перевязку грудного лимфатического протока, плевроперитонеальное шунтирование, плевродез, наложение лимфовенозного анастомоза.
Дополнительные факты
Хилоторакс - достаточно редкая патология, которая развивается в результате нарушения целостности грудного лимфатического протока и поступления в полость плевры циркулирующей по нему лимфатической (хилезной) жидкости. Хилоторакс может сопровождаться значительной лимфореей (истечением лимфы) - до 4-5 л в сутки и приводить к глубоким респираторным, обменным и иммунологическим нарушениям в организме, представляющим угрозу для жизни пациента в связи с потерей жиров, белков, витаминов, электролитов, лимфоцитов. Хилоторакс отмечается во всех возрастных группах, и у новорожденных.
Хилезная жидкость имеет беловатую окраску, содержит большое количество хиломикронов, являющихся основной транспортной формой триглицеридов, холестерина и экзогенных жирных кислот. Хиломикроны образуются в эпителиальных клетках слизистой кишечника; после всасывания по лимфатическим путям поступают в грудной лимфатический проток и далее в систему кровообращения. При хилотораксе, кроме высокого содержания липидов (более 1,1 ммоль/л), в плевральном хилезном экссудате наблюдается превышение общего количества клеточных элементов (более 1000 в мкл) и лимфоцитов (более 90 %).
В клинической практике с хилотораксом приходится сталкиваться специалистам в области пульмонологии, торакальной хирургии, травматологии, кардиохирургии, гастроэнтерологии, онкологии, фтизиатрии, флебологии и лимфологии.
Хилезная жидкость имеет беловатую окраску, содержит большое количество хиломикронов, являющихся основной транспортной формой триглицеридов, холестерина и экзогенных жирных кислот. Хиломикроны образуются в эпителиальных клетках слизистой кишечника; после всасывания по лимфатическим путям поступают в грудной лимфатический проток и далее в систему кровообращения. При хилотораксе, кроме высокого содержания липидов (более 1,1 ммоль/л), в плевральном хилезном экссудате наблюдается превышение общего количества клеточных элементов (более 1000 в мкл) и лимфоцитов (более 90 %).
В клинической практике с хилотораксом приходится сталкиваться специалистам в области пульмонологии, торакальной хирургии, травматологии, кардиохирургии, гастроэнтерологии, онкологии, фтизиатрии, флебологии и лимфологии.
Причины
Хилоторакс является вторичным заболеванием или осложнением, связанным с патологией лимфатических сосудов. В зависимости от этиологических факторов различают следующие виды хилоторакса: врожденный, травматический и нетравматический. Также выделяют идиопатический хилоторакс, развивающийся у курильщиков с многолетним стажем.
Врожденный хилоторакс, проявляющийся в период новорожденности и в детском возрасте, может быть обусловлен наследственной атрезией грудного лимфатического протока, наличием свища между его нижним отрезком и плевральной полостью. При первичном персистирующем хилотораксе плода не всегда возможно установить явную причину заболевания (в редких случаях это могут быть наследственные лимфангиэктазии).
Травматический (ятрогенный) хилоторакс развивается при механическом повреждении грудного лимфатического протока или его главных ветвей во время оперативных вмешательств (торакальных, кардиохирургических, абдоминальных, спинальных), диагностических процедур (транслюмбальной артериографии, катетеризации подключичной вены или левых отделов сердца, эзофагоскопии), вследствие тупой травмы или проникающего ранения грудной клетки и области шеи. При повреждении грудного лимфатического протока выше уровня V-VI грудных позвонков формируется левосторонний хилоторакс, ниже - правосторонний.
Хилоторакс нетравматического генеза часто возникает при наличии различных доброкачественных и злокачественных новообразований, затрагивающих лимфатическую систему области средостения и шеи (медиастинальной злокачественной неходжкинской лимфомы, доброкачественной лифангиомы протока, лимфангиоматоза средостения, рака плевры). К развитию хилоторакса может приводить внутригрудной туберкулез и саркоидоз, медиастинит, восходящий лимфангит, амилоидоз, диафрагмальная грыжа и тд.
Скопление хилезной жидкости в плевральной полости может отмечаться при синдроме верхней полой вены, сопровождающемся повышением венозного давления и гипертензией в системе грудного лимфатического протока. Иногда хилоторакс может быть результатом распространившегося хилезного асцита при сочетанном лимфангиолейомиоматозе легких, средостения, органов брюшной полости и забрюшинной клетчатки.
В основе идиопатического хилоторакса лежит спонтанный разрыв стенки лимфатического сосуда при кашле и повышении давления в наддиафрагмальной области. Псевдохилоторакс развивается вследствие хронизации плеврального выпота (при туберкулезе, ревматоидном артрите). Псевдохилезный экссудат имеет мутный молочно-белый цвет со своеобразным опалесцирующим блеском и высоким содержанием холестерина.
Врожденный хилоторакс, проявляющийся в период новорожденности и в детском возрасте, может быть обусловлен наследственной атрезией грудного лимфатического протока, наличием свища между его нижним отрезком и плевральной полостью. При первичном персистирующем хилотораксе плода не всегда возможно установить явную причину заболевания (в редких случаях это могут быть наследственные лимфангиэктазии).
Травматический (ятрогенный) хилоторакс развивается при механическом повреждении грудного лимфатического протока или его главных ветвей во время оперативных вмешательств (торакальных, кардиохирургических, абдоминальных, спинальных), диагностических процедур (транслюмбальной артериографии, катетеризации подключичной вены или левых отделов сердца, эзофагоскопии), вследствие тупой травмы или проникающего ранения грудной клетки и области шеи. При повреждении грудного лимфатического протока выше уровня V-VI грудных позвонков формируется левосторонний хилоторакс, ниже - правосторонний.
Хилоторакс нетравматического генеза часто возникает при наличии различных доброкачественных и злокачественных новообразований, затрагивающих лимфатическую систему области средостения и шеи (медиастинальной злокачественной неходжкинской лимфомы, доброкачественной лифангиомы протока, лимфангиоматоза средостения, рака плевры). К развитию хилоторакса может приводить внутригрудной туберкулез и саркоидоз, медиастинит, восходящий лимфангит, амилоидоз, диафрагмальная грыжа и тд.
Скопление хилезной жидкости в плевральной полости может отмечаться при синдроме верхней полой вены, сопровождающемся повышением венозного давления и гипертензией в системе грудного лимфатического протока. Иногда хилоторакс может быть результатом распространившегося хилезного асцита при сочетанном лимфангиолейомиоматозе легких, средостения, органов брюшной полости и забрюшинной клетчатки.
В основе идиопатического хилоторакса лежит спонтанный разрыв стенки лимфатического сосуда при кашле и повышении давления в наддиафрагмальной области. Псевдохилоторакс развивается вследствие хронизации плеврального выпота (при туберкулезе, ревматоидном артрите). Псевдохилезный экссудат имеет мутный молочно-белый цвет со своеобразным опалесцирующим блеском и высоким содержанием холестерина.
Клиническая картина
Для послеоперационного хилоторакса характерно постепенное развитие: это связано со щадящим режимом питания в реабилитационный период, незначительным количеством лимфы, небыстрым ее проникновением в плевральную полость. Поэтому послеоперационный хилоторакс, как правило, распознается лишь на 2-10 сутки после оперативного вмешательства. Клинические проявления возникают тогда, когда объем хилезного выпота достигает 200 и более мл.
Первым признаком служит одышка, которая по мере нарастания хилоторакса может прогрессировать до дыхательной недостаточности. Отмечается тяжесть в соответствующей половине грудной клетки, тахикардия, гипотония, развитие коллаптоидного состояния. В отличие от экссудативного плеврита, для хилоторакса нетипичны боли в грудной клетке и гипертермия, поскольку лимфа не вызывает раздражения плевры и благодаря своим бактериостатическим свойствам способна длительно не инфицироваться.
Ассоциированные симптомы: Боль в грудной клетке. Гипопротеинемия. Одышка.
Первым признаком служит одышка, которая по мере нарастания хилоторакса может прогрессировать до дыхательной недостаточности. Отмечается тяжесть в соответствующей половине грудной клетки, тахикардия, гипотония, развитие коллаптоидного состояния. В отличие от экссудативного плеврита, для хилоторакса нетипичны боли в грудной клетке и гипертермия, поскольку лимфа не вызывает раздражения плевры и благодаря своим бактериостатическим свойствам способна длительно не инфицироваться.
Ассоциированные симптомы: Боль в грудной клетке. Гипопротеинемия. Одышка.
Диагностика
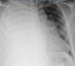
Физикальные данные при хилотораксе напоминают признаки плеврита. Определяется притупление перкуторного звука и ослабление дыхания на стороне, соответствующей поражению. С помощью рентгенографии легких определяется наличие выпота в плевральной полости, поджатие легкого и смещение средостения. Для выяснения причин хилоторакса необходимо проведение УЗДГ лимфатических сосудов, лимфангиографии, лимфосцинтиграфии и КТ грудной клетки.
На основании рентгенологической картины и данных УЗИ плевральной полости проводится диагностическая плевральная пункция. При хилотораксе получают хилезную жидкость молочно-белого цвета. Анализ плеврального выпота обнаруживает маслянистый характер экссудата, типичное для лимфы высокое содержание лимфоцитов, триглицеридов, общего количества клеточных элементов. При хилотораксе в крови нарастает лимфопения и гипопротеинемия.
Для выяснения точной причины нетравматического хилоторакса может потребоваться проведение биопсии лимфоузла, плевры, ткани легкого, диагностической торакоскопии или медиастиноскопии с морфологическим исследованием биопсийного материала.
На основании рентгенологической картины и данных УЗИ плевральной полости проводится диагностическая плевральная пункция. При хилотораксе получают хилезную жидкость молочно-белого цвета. Анализ плеврального выпота обнаруживает маслянистый характер экссудата, типичное для лимфы высокое содержание лимфоцитов, триглицеридов, общего количества клеточных элементов. При хилотораксе в крови нарастает лимфопения и гипопротеинемия.
Для выяснения точной причины нетравматического хилоторакса может потребоваться проведение биопсии лимфоузла, плевры, ткани легкого, диагностической торакоскопии или медиастиноскопии с морфологическим исследованием биопсийного материала.
Лечение
Лечение хилоторакса начинают с консервативных методов: с их помощью удается достичь спонтанного прекращения лимфореи почти у 50% пациентов с малосимптомным или бессимптомным хилотораксом. При консервативном ведении хилоторакса производят дренирование плевральной полости с установкой постоянного дренажа или серию плевральных пункций с эвакуацией хилезной жидкости. Тем самым достигается декомпрессия легкого и органов средостения, уменьшение дыхательных расстройств.
Для уменьшения выработки хилуса больного полностью переводят на парентеральное питание или назначают высококалорийную диету с ограничением жиров. С целью коррекции гипопротеинемии и электролитных расстройств при хилотораксе проводится инфузионная терапия белковыми и солевыми препаратами. Для рассасывания выпота успешно используется внутривенное введение соматостатина.
При безуспешности консервативных мероприятий и продолжающейся лимфорее целесообразен переход к хирургической тактике. Основными видами операций, выполняемыми при хилотораксе, являются плевроперитонеальное шунтирование, перевязка грудного лимфатического протока выше и ниже фистулы, облитерация плевральной полости тальком (плевродез), наложение лимфовенозного анастомоза. Описаны успешные случаи эмболизации лимфатического протока у взрослых пациентов. При хилотораксе, обусловленном туберкулезным процессом, показано специфическое лечение; при опухолевой этиологии - химиолучевая терапия.
Для уменьшения выработки хилуса больного полностью переводят на парентеральное питание или назначают высококалорийную диету с ограничением жиров. С целью коррекции гипопротеинемии и электролитных расстройств при хилотораксе проводится инфузионная терапия белковыми и солевыми препаратами. Для рассасывания выпота успешно используется внутривенное введение соматостатина.
При безуспешности консервативных мероприятий и продолжающейся лимфорее целесообразен переход к хирургической тактике. Основными видами операций, выполняемыми при хилотораксе, являются плевроперитонеальное шунтирование, перевязка грудного лимфатического протока выше и ниже фистулы, облитерация плевральной полости тальком (плевродез), наложение лимфовенозного анастомоза. Описаны успешные случаи эмболизации лимфатического протока у взрослых пациентов. При хилотораксе, обусловленном туберкулезным процессом, показано специфическое лечение; при опухолевой этиологии - химиолучевая терапия.
|
|
Прогноз
Летальность при хилотораксе составляет от 15 до 50%. Прогностически неблагоприятно течение хилоторакса при злокачественных новообразованиях грудной полости. При своевременной диагностике и комплексном лечении травматического хилоторакса в большинстве случаев удается достичь положительных результатов.
Профилактика
Предупреждение ятрогенного хилоторакса заключается в осторожном и оправданном проведении диагностических манипуляций, инвазивных лечебных процедур, оперативных вмешательств. При травмах грудной клетки всегда необходимо помнить о возможности повреждения грудного лимфатического протока и развития хилоторакса. Профилактика идиопатического хилоторакса диктует необходимость отказа от курения.