Другие названия и синонимы
Clouded pleurisy.
МКБ-10 коды
- МКБ-10
- R09.1 Плеврит
|
|
Описание
Осумкованный плеврит. Локальное скопление экссудата, ограниченное плевральными сращениями от остальной плевральной полости. В зависимости от локализации и объема экссудата клиническая картина варьирует от бессимптомного течения до выраженных проявлений, включающих боли в грудной клетке, одышку, кашель, затруднение глотания. Диагноз осумкованного плеврита выставляется на основании результатов рентгенографии легких, КТ грудной клетки, УЗИ плевральной полости, торакоцентеза. Лечение осумкованного плеврита зависит от его этиологии, которая устанавливается после исследования экссудата (антибиотикотерапия, противотуберкулезная терапия, по показаниям - хирургическое вмешательство).
Дополнительные факты
Осумкованный плеврит - экссудативный плеврит, при котором плевральный выпот заключен в ограниченном пространстве между спайками плевральных листков. По характеру экссудата осумкованный плеврит может быть серозным, серозно-фибринозным, геморрагическим, гнойным. Фактически, осумкование представляет собой реакцию плевры на длительное, хроническое течение воспалительных или иных процессов, которая заключается в образовании массивных сращений, отграничивающих экссудат от всей остальной плевральной полости. О частоте осумкованных плевритов можно судить лишь косвенно, основываясь на данных аутопсии. По некоторым сведениям, наличие сращений в плевральной полости, указывающих на перенесенный в прошлом плеврит, обнаруживается у 80% умерших пациентов стационаров.
Причины
Поскольку осумкованный плеврит является исходом различных заболеваний легких и плевры, о его этиологии обычно говорят в контексте основной патологии. В большинстве случаев осумкованию подлежит экссудат, образовавшийся в результате воспалительных заболеваний органов грудной полости (пневмония, эмпиема плевры, бронхоэктатическая болезнь, туберкулез легких) или верхнего этажа брюшной полости (панкреатит, поддиафрагмальный абсцесс). Также осумкованный плеврит может иметь опухолевую этиологию и возникать при локализованной мезотелиоме плевры, первичном и метастатическом раке легкого, опухолях средостения. Весьма часто экссудат отграничивается плевральными сращениями вследствие проникающих ранений и закрытых травм грудной клетки, оперативных вмешательств на плевре. Экссудацией в полость плевры могут сопровождаться коллагенозы, инфаркт легкого.
Формирование осумкованного плеврита может происходить двумя путями: в первом случае выпот скапливается в пространстве между старыми плевральными сращениями (первичное осумкование), во втором - свободный экссудат отграничивается от плевральной полости свежими, вновь образующимися спайками плевральных листков (вторичное осумкование). Основой процесса осумкования экссудата служит выпадение фибрина на плевральные листки, его организация с образованием соединительнотканных сращений (шварт), уменьшающих площадь плевры, участвующей в резорбции экссудата. Замедлению рассасывания плеврального выпота и его осумкованию также способствует торпидное, рецидивирующее течение основного заболевания, изменение общей реактивности организма, инфицирование экссудата.
Формирование осумкованного плеврита может происходить двумя путями: в первом случае выпот скапливается в пространстве между старыми плевральными сращениями (первичное осумкование), во втором - свободный экссудат отграничивается от плевральной полости свежими, вновь образующимися спайками плевральных листков (вторичное осумкование). Основой процесса осумкования экссудата служит выпадение фибрина на плевральные листки, его организация с образованием соединительнотканных сращений (шварт), уменьшающих площадь плевры, участвующей в резорбции экссудата. Замедлению рассасывания плеврального выпота и его осумкованию также способствует торпидное, рецидивирующее течение основного заболевания, изменение общей реактивности организма, инфицирование экссудата.
Классификация
С учетом этиологии различают парапневмонические, туберкулезные, панкреатогенные, опухолевые, посттравматические, ревматические осумкованные плевриты. На основании локализационного критерия и клинико-рентгенологической картины в пульмонологии выделяют следующие виды осумкованного плеврита:
• апикальный (верхушечный). Осумкование выпота в области верхушки легкого;
• паракостальный (пристеночный). Уровень жидкости своим широким основанием прилежит к реберной поверхности;
• базальный (диафрагмальный). Осумкованный выпот широким основанием прилежит к поверхности диафрагмы. Различают диафрагмально-междолевые, диафрагмально-паракостальные и диафрагмально-парамедиастинальные осумкования;
• интерлобарный (междолевой). Скопление экссудата в междолевых щелях, рентгенологически определяющееся в виде вытянутой веретенообразной тени;
• парамедиастинальный. Скопление экссудата прилежит к медиастинальной плевре.
Осумкование экссудата может быть частичным или полным. В первом случае плевральные наложения ограничивают распространение выпота в 1-2-х направлениях, но позволяют ему перемещаться в других положениях тела. Полное осумкование предполагает отграничение экссудата плевральными швартами со всех сторон, в результате чего при любом положении форма и локализация теней остается неизменной. Также осумкования экссудата могут быть одиночными и множественными, одно- или двусторонними.
• апикальный (верхушечный). Осумкование выпота в области верхушки легкого;
• паракостальный (пристеночный). Уровень жидкости своим широким основанием прилежит к реберной поверхности;
• базальный (диафрагмальный). Осумкованный выпот широким основанием прилежит к поверхности диафрагмы. Различают диафрагмально-междолевые, диафрагмально-паракостальные и диафрагмально-парамедиастинальные осумкования;
• интерлобарный (междолевой). Скопление экссудата в междолевых щелях, рентгенологически определяющееся в виде вытянутой веретенообразной тени;
• парамедиастинальный. Скопление экссудата прилежит к медиастинальной плевре.
Осумкование экссудата может быть частичным или полным. В первом случае плевральные наложения ограничивают распространение выпота в 1-2-х направлениях, но позволяют ему перемещаться в других положениях тела. Полное осумкование предполагает отграничение экссудата плевральными швартами со всех сторон, в результате чего при любом положении форма и локализация теней остается неизменной. Также осумкования экссудата могут быть одиночными и множественными, одно- или двусторонними.
Клиническая картина
Клиническая картина осумкованного плеврита может сильно различаться в зависимости от локализации, характера и объема экссудата, срока давности существования патологии.
Осумкованные междолевые плевриты практически не дают симптоматики. Пристеночный осумкованный плеврит может вызывать боли в грудной клетке, усиливающиеся при чихании и кашле. При осумковании экссудата в диафрагмальном синусе болевые ощущения отдают в верхние отделы живота, ощущается дискомфорт при глотании. Апикальный плеврит характеризуется болевыми ощущениями, иррадиирующими в руку, шею, лопатку, напоминающими по своему характеру плексит или рак Панкоста.
Течение парамедиастинальных плевритов весьма вариативно. В одних случаях осумкованные плевриты данной локализации не вызывают никаких субъективных ощущений и являются случайной рентгенологической находкой. При расположении большого количества экссудата в верхних парамедиастинальных пространствах развивается синдром медиастинальной компрессии, сопровождающийся загрудинными болями различной интенсивности, одышкой, стридорозным дыханием, дисфагией, осиплостью голоса, набуханием вен шеи, одутловатостью лица. Парамедиастинальные плевриты с локализацией в нижних отделах могут вызывать абдоминальные боли и даже симулировать клинику острого живота.
Варианты исхода серозного осумкованного плеврита могут быть различны. Осумкованный экссудат может существовать без изменений в течение нескольких недель и месяцев. В части случаев он подвергается полной резорбции с образованием массивных плевральных шварт и частичной облитерацией плевральной полости. В редких случаях осумкованный выпот подвергается обызвествлению, что вызывает резкое нарушение функции легкого и в дальнейшем требует проведения декортикации.
Ассоциированные симптомы: Боль в груди слева. Боль в груди справа. Боль в грудной клетке. Кашель. Недомогание. Одышка. Озноб.
Осумкованные междолевые плевриты практически не дают симптоматики. Пристеночный осумкованный плеврит может вызывать боли в грудной клетке, усиливающиеся при чихании и кашле. При осумковании экссудата в диафрагмальном синусе болевые ощущения отдают в верхние отделы живота, ощущается дискомфорт при глотании. Апикальный плеврит характеризуется болевыми ощущениями, иррадиирующими в руку, шею, лопатку, напоминающими по своему характеру плексит или рак Панкоста.
Течение парамедиастинальных плевритов весьма вариативно. В одних случаях осумкованные плевриты данной локализации не вызывают никаких субъективных ощущений и являются случайной рентгенологической находкой. При расположении большого количества экссудата в верхних парамедиастинальных пространствах развивается синдром медиастинальной компрессии, сопровождающийся загрудинными болями различной интенсивности, одышкой, стридорозным дыханием, дисфагией, осиплостью голоса, набуханием вен шеи, одутловатостью лица. Парамедиастинальные плевриты с локализацией в нижних отделах могут вызывать абдоминальные боли и даже симулировать клинику острого живота.
Варианты исхода серозного осумкованного плеврита могут быть различны. Осумкованный экссудат может существовать без изменений в течение нескольких недель и месяцев. В части случаев он подвергается полной резорбции с образованием массивных плевральных шварт и частичной облитерацией плевральной полости. В редких случаях осумкованный выпот подвергается обызвествлению, что вызывает резкое нарушение функции легкого и в дальнейшем требует проведения декортикации.
Ассоциированные симптомы: Боль в груди слева. Боль в груди справа. Боль в грудной клетке. Кашель. Недомогание. Одышка. Озноб.
Диагностика
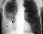
Для первичного выявления осумкованного плеврита чрезвычайно важны данные полипозиционой рентгенографии грудной клетки (в прямой, боковых и косых проекциях) и рентгеноскопии легких. Рентгенологически осумкование проявляется в виде затемнения характерной локализации и формы. В сложных случаях для дифференциальной диагностики требуется наложении искусственного пневмоторакса и пневмоперитонеума, проведение КТ легких. Длительное существование осумкованного плеврита может отразиться на состоянии легочной паренхимы. Поэтому для оценки изменений прилежащих отделов легкого (бронхов, сосудов) используются рентгеноконтрастные исследования - бронхография и ангиопульмонография.
УЗИ плевральной полости позволяет оценить объем и предположительно характер экссудата, выбрать оптимальный доступ для его эвакуации. Плевральная пункция с визуальной оценкой и лабораторным анализом плевральной жидкости в большинстве случаев ставит точку в определении этиологии осумкованного плеврита. В ряде случаев для установления этиологического диагноза требуется проведение диагностической торакоскопии с биопсией плевры.
УЗИ плевральной полости позволяет оценить объем и предположительно характер экссудата, выбрать оптимальный доступ для его эвакуации. Плевральная пункция с визуальной оценкой и лабораторным анализом плевральной жидкости в большинстве случаев ставит точку в определении этиологии осумкованного плеврита. В ряде случаев для установления этиологического диагноза требуется проведение диагностической торакоскопии с биопсией плевры.
|
|
Дифференциальная диагностика
Дифференциальная диагностика различных видов осумкованного плеврита осуществляется с синдромом средней доли, ателектазом, кистой легкого, доброкачественными и злокачественными опухолями легких и средостения, субплевральными гематомами, диафрагмальной грыжей и рядом других схожих по рентгенсимеотике состояний.
Лечение
Лечебная тактика при осумкованном плеврите определяется пульмонологом на основании всего комплекса диагностических данных. Главными факторами, влияющими на выбор метода лечения, являются характер и объем экссудата, давность существования плеврита, состояние спавшегося легкого, наличие осложнений. В зависимости от этиологии осумкованного плеврита для прохождения лечения пациент может направляться к онкологу или фтизиатру.
Во всех случаях лечение целесообразно начинать с консервативных мероприятий: лечебных пункций, дренирования плевральной полости, противовоспалительной терапии, ЛФК с включением дыхательной гимнастики; при отсутствии противопоказаний - физиотерапии (электрофорез, индуктотермия, ультразвук и тд ). При гнойных осумкованных плевритах после эвакуации экссудата производится промывание плевральной полости антисептическими растворами, осуществляется внутриплевральное введение антибиотиков.
В случае подтверждения неспецифического инфекционного генеза осумкованного плеврита назначается системная антибиотикотерапия; при туберкулезной этиологии заболевания - противотуберкулезные химиопрепараты. Опухолевые плевриты требуют целенаправленного подбора цитостатиков; плевриты ревматической этиологии - проведения глюкокортикостероидной терапии. При отсутствии положительной динамики, сдавлении легкого плевральными швартами может потребоваться проведение плеврэктомии, декортикации или резекции легкого.
Профилактика осумкованного плеврита заключается в своевременном выявлении первопричины экссудации в плевральной полости, полном удалении плеврального выпота, проведении полноценного этиотропного лечения, устранении факторов, способствующих осумкованию.
Во всех случаях лечение целесообразно начинать с консервативных мероприятий: лечебных пункций, дренирования плевральной полости, противовоспалительной терапии, ЛФК с включением дыхательной гимнастики; при отсутствии противопоказаний - физиотерапии (электрофорез, индуктотермия, ультразвук и тд ). При гнойных осумкованных плевритах после эвакуации экссудата производится промывание плевральной полости антисептическими растворами, осуществляется внутриплевральное введение антибиотиков.
В случае подтверждения неспецифического инфекционного генеза осумкованного плеврита назначается системная антибиотикотерапия; при туберкулезной этиологии заболевания - противотуберкулезные химиопрепараты. Опухолевые плевриты требуют целенаправленного подбора цитостатиков; плевриты ревматической этиологии - проведения глюкокортикостероидной терапии. При отсутствии положительной динамики, сдавлении легкого плевральными швартами может потребоваться проведение плеврэктомии, декортикации или резекции легкого.
Профилактика осумкованного плеврита заключается в своевременном выявлении первопричины экссудации в плевральной полости, полном удалении плеврального выпота, проведении полноценного этиотропного лечения, устранении факторов, способствующих осумкованию.