Другие названия и синонимы
Вальгусная деформация первого пальца стопы.
МКБ-10 коды
|
|
Описание
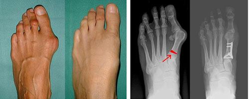
Hallux valgus - вальгусная деформация первого пальца стопы в плюснефаланговом суставе. Вследствие деформации палец отклоняется кнаружи под углом к остальным. Заболевание выявляется у женщин в 10 раз чаще, чем у мужчин. Предполагается, что причиной такой разницы является слабость связочного аппарата у представительниц слабого пола, а также ношение неудобной узкой обуви на высоких каблуках. Патология широко распространена и выявляется у лиц всех возрастов.
Причины
Основной причиной развития деформации обычно является недостаточность соединительной ткани, которая может проявляться поперечным плоскостопием, чрезмерной подвижностью суставов, варикозной болезнью, повышенной растяжимостью связок, фасций и кожи. Выявляется наследственная предрасположенность - как правило, у ближайших родственников больных (мам или бабушек) также есть данная деформация. Остальные факторы: высокие каблуки, хождение в неудобной узкой, тесной или короткой обуви - вторичны и лишь способствуют формированию Hallux valgus.
Вторая группа причин развития Hallux valgus - врожденные деформации, травмы стопы и ряд заболеваний, при которых наблюдается нарушение нервной регуляции мышц голени и стопы (например, полиомиелит).
Наряду со слабостью связок определенную роль в развитии болезни играет неравномерное натяжение мышц, приводящих и отводящих I палец, а также генетическая склонность к образованию экзостоза по внутренней поверхности головки I плюсневой кости. При формировании деформации неравновесие в натяжении мышц еще больше усугубляется, плюснефаланговый сустав становится нестабильным. Внутренняя поверхность сустава постоянно раздражается при контакте с обувью, в результате чего смещение головки I плюсневой кости дополняется образованием костного нароста, что еще больше усугубляет деформацию. Из-за изменения формы стопы происходит перераспределение нагрузки - область головок III и II плюсневых костей постоянно перенагружается во время ходьбы. Это приводит к возникновению болей и формированию артроза не только в области I, но и в области II и III плюснефаланговых суставов.
Вторая группа причин развития Hallux valgus - врожденные деформации, травмы стопы и ряд заболеваний, при которых наблюдается нарушение нервной регуляции мышц голени и стопы (например, полиомиелит).
Наряду со слабостью связок определенную роль в развитии болезни играет неравномерное натяжение мышц, приводящих и отводящих I палец, а также генетическая склонность к образованию экзостоза по внутренней поверхности головки I плюсневой кости. При формировании деформации неравновесие в натяжении мышц еще больше усугубляется, плюснефаланговый сустав становится нестабильным. Внутренняя поверхность сустава постоянно раздражается при контакте с обувью, в результате чего смещение головки I плюсневой кости дополняется образованием костного нароста, что еще больше усугубляет деформацию. Из-за изменения формы стопы происходит перераспределение нагрузки - область головок III и II плюсневых костей постоянно перенагружается во время ходьбы. Это приводит к возникновению болей и формированию артроза не только в области I, но и в области II и III плюснефаланговых суставов.
Клиническая картина
Пациенты предъявляют жалобы на боль в области I плюснефалангового сустава. Боль усиливается после продолжительной ходьбы или длительного пребывания на ногах и уменьшается в покое. Возможны ночные боли, особенно после значительной нагрузки на стопу. Болевой синдром может значительно различаться как по характеру, так и по силе - от ощущения дискомфорта (обычно на ранних стадиях) до резкой жгучей или постоянной ноющей боли. Выраженность болевого синдрома не всегда четко коррелирует с величиной деформации, хотя при значительном смещении головки I плюсневой кости симптоматика обычно более яркая.
По мере развития деформации стопа все больше теряет нормальную форму, расширяется и уплощается, I палец «ложится» на II, нередко возникают сопутствующие деформации II пальца. Все это в сочетании с «шишкой» в проекции I плюснефалангового сустава существенно влияет на внешний вид стопы. Поэтому, наряду с болью, причиной обращения пациентов к травматологам и ортопедам зачастую становится косметический дефект и проблемы при подборе обуви. Особенно часто подобные жалобы предъявляют молодые женщины.
При визуальном осмотре стопа распластана. Выявляется видимая деформация и незначительная или умеренная гиперемия в проекции I плюснефалангового сустава. Первый палец отклонен кнаружи под углом к остальным. Пальпация безболезненна или нерезко болезненна, по внутренней поверхности стопы в области I плюснефалангового сустава определяется костный экзостоз и уплотнение кожи. Возможен небольшой локальный отек. Движения в I плюснефаланговом суставе, как правило, ограничены (степень ограничения движений может значительно варьироваться), при максимальном разгибании I пальца может возникать боль.
Ассоциированные симптомы: Боль в стопе. Деформация пальцев ног. Ломота в теле. Ограничение амплитуды движений.
По мере развития деформации стопа все больше теряет нормальную форму, расширяется и уплощается, I палец «ложится» на II, нередко возникают сопутствующие деформации II пальца. Все это в сочетании с «шишкой» в проекции I плюснефалангового сустава существенно влияет на внешний вид стопы. Поэтому, наряду с болью, причиной обращения пациентов к травматологам и ортопедам зачастую становится косметический дефект и проблемы при подборе обуви. Особенно часто подобные жалобы предъявляют молодые женщины.
При визуальном осмотре стопа распластана. Выявляется видимая деформация и незначительная или умеренная гиперемия в проекции I плюснефалангового сустава. Первый палец отклонен кнаружи под углом к остальным. Пальпация безболезненна или нерезко болезненна, по внутренней поверхности стопы в области I плюснефалангового сустава определяется костный экзостоз и уплотнение кожи. Возможен небольшой локальный отек. Движения в I плюснефаланговом суставе, как правило, ограничены (степень ограничения движений может значительно варьироваться), при максимальном разгибании I пальца может возникать боль.
Ассоциированные симптомы: Боль в стопе. Деформация пальцев ног. Ломота в теле. Ограничение амплитуды движений.
Диагностика
Диагноз Hallux valgus выставляется на основании симптомов и данных рентгенологического исследования. Выполняют рентгенографию I плюснефалангового сустава. Для более точной оценки патологии со стороны соседних анатомических структур при необходимости дополнительно назначают рентгенографию II и III плюснефаланговых суставов. Степень выраженности Hallux valgus определяется с учетом двух величин: угла между II и I плюсневыми костями (Intermetatarsal angle) и угла, под которым I палец отклонен по отношению к I плюсневой кости (Hallux valgus angle).
Степени Hallux valgus:
1 степень - угол между плюсневыми костями менее 12 градусов, угол отклонения I пальца менее 25 градусов.
2 степень - угол между плюсневыми костями менее 18 градусов, угол отклонения I пальца более 25 градусов.
3 степень - угол между плюсневыми костями более 18 градусов, угол отклонения I пальца более 35 градусов.
Наряду со степенью деформации при изучении рентгеновских снимков оценивают выраженность артрозных изменений. О наличии артроза свидетельствует сужение суставной щели, деформация суставной площадки, краевые разрастания и остеосклероз субхондральной зоны. В отдельных случаях для более точной оценки патологических изменений стопы пациента направляют на МРТ или КТ. МРТ стопы назначается для исследования состояния мягких тканей, КТ стопы - для изучения состояния костных структур. При заболеваниях, сопровождающихся нарушением нервной регуляции мышц, необходима консультация невролога.
Степени Hallux valgus:
1 степень - угол между плюсневыми костями менее 12 градусов, угол отклонения I пальца менее 25 градусов.
2 степень - угол между плюсневыми костями менее 18 градусов, угол отклонения I пальца более 25 градусов.
3 степень - угол между плюсневыми костями более 18 градусов, угол отклонения I пальца более 35 градусов.
Наряду со степенью деформации при изучении рентгеновских снимков оценивают выраженность артрозных изменений. О наличии артроза свидетельствует сужение суставной щели, деформация суставной площадки, краевые разрастания и остеосклероз субхондральной зоны. В отдельных случаях для более точной оценки патологических изменений стопы пациента направляют на МРТ или КТ. МРТ стопы назначается для исследования состояния мягких тканей, КТ стопы - для изучения состояния костных структур. При заболеваниях, сопровождающихся нарушением нервной регуляции мышц, необходима консультация невролога.
Лечение
Hallux valgus невозможно устранить без операции. Тем не менее, на ранних стадиях болезни у молодых пациентов, а также при любых степенях деформации в старческом или пожилом возрасте рекомендуется консервативная терапия. Основными целями такой терапии является устранение болевого синдрома и предотвращение прогрессирования болезни. Лечение осуществляется в травмпункте. Пациентам рекомендуют:
Снизить вес (при излишней массе тела), чтобы уменьшить нагрузку на стопу.
Оптимизировать нагрузку: выполнять специальный комплекс упражнений для укрепления связок и мышц стопы, по возможности исключить длительное стояние и ходьбу.
Использовать специальную ортопедическую обувь, чтобы устранить чрезмерное давление на область I плюснефалангового сустава.
Использовать вкладыши между I и II пальцами, чтобы предотвратить дальнейшее вальгусное отклонение I пальца.
При болях рекомендуют противоспалительные и согревающие мази. В период ремиссии при артрозе I плюснефалангового сустава назначают озокерит или парафинолечение, индуктотермию, фонофорез с гидрокортизоном, электрофорез с новокаином или тримекаином. При наличии признаков воспаления больного направляют на УВЧ или магнитотерапию.
Оперативное лечение Hallux valgus.
Существует около 300 вариантов операций при Hallux valgus. Все хирургические методики можно разделить на 3 группы:
Оперативные вмешательства на мягких тканях.
Оперативные вмешательства на костях.
Комбинированные операции на костях и мягких тканях.
Операции на мягких тканях эффективны только при I степени деформации. Возможно проведение операции Сильвера, при которой отсекается сухожилие приводящей мышцы I пальца, или операции Мак-Брайда, при которой это сухожилие перемещается. Цель таких вмешательств - восстановить равномерность тяги приводящей и отводящей мышц. Нередко перечисленные хирургические операции выполняются в сочетании с иссечением костного нароста и подкожной слизистой сумки в области I плюснефалангового сустава (операция Шеде).
При II и III степени Hallux valgus операциями выбора в настоящее время являются шевронная остеотомия и Scarf остеотомия. При шевронной остеотомии удаляют небольшой V-образный фрагмент в дистальной части I плюсневой кости. При Scarf остеотомии выполняют Z-образный разрез (распил) практически на всем протяжении I плюсневой кости, а затем «сдвигают» фрагменты с тем, чтобы устранить угол между I и остальными плюсневыми костями. Отломки фиксируют винтами.
Все хирургические вмешательства проводятся в условиях травматологического или ортопедического отделения. В послеоперационном периоде больному сразу разрешают нагружать ногу в специальном ортезе. Швы снимают через 10 дней. Ношение ортеза обязательно в течение 6 недель. В этот период рекомендуют чаще держать ногу в возвышенном положении и избегать перегрузок. В последующем следует носить широкую обувь, выполнять специальный комплекс ЛФК и проводить самомассаж свода стопы с использованием теннисного мяча.
Снизить вес (при излишней массе тела), чтобы уменьшить нагрузку на стопу.
Оптимизировать нагрузку: выполнять специальный комплекс упражнений для укрепления связок и мышц стопы, по возможности исключить длительное стояние и ходьбу.
Использовать специальную ортопедическую обувь, чтобы устранить чрезмерное давление на область I плюснефалангового сустава.
Использовать вкладыши между I и II пальцами, чтобы предотвратить дальнейшее вальгусное отклонение I пальца.
При болях рекомендуют противоспалительные и согревающие мази. В период ремиссии при артрозе I плюснефалангового сустава назначают озокерит или парафинолечение, индуктотермию, фонофорез с гидрокортизоном, электрофорез с новокаином или тримекаином. При наличии признаков воспаления больного направляют на УВЧ или магнитотерапию.
Оперативное лечение Hallux valgus.
Существует около 300 вариантов операций при Hallux valgus. Все хирургические методики можно разделить на 3 группы:
Оперативные вмешательства на мягких тканях.
Оперативные вмешательства на костях.
Комбинированные операции на костях и мягких тканях.
Операции на мягких тканях эффективны только при I степени деформации. Возможно проведение операции Сильвера, при которой отсекается сухожилие приводящей мышцы I пальца, или операции Мак-Брайда, при которой это сухожилие перемещается. Цель таких вмешательств - восстановить равномерность тяги приводящей и отводящей мышц. Нередко перечисленные хирургические операции выполняются в сочетании с иссечением костного нароста и подкожной слизистой сумки в области I плюснефалангового сустава (операция Шеде).
При II и III степени Hallux valgus операциями выбора в настоящее время являются шевронная остеотомия и Scarf остеотомия. При шевронной остеотомии удаляют небольшой V-образный фрагмент в дистальной части I плюсневой кости. При Scarf остеотомии выполняют Z-образный разрез (распил) практически на всем протяжении I плюсневой кости, а затем «сдвигают» фрагменты с тем, чтобы устранить угол между I и остальными плюсневыми костями. Отломки фиксируют винтами.
Все хирургические вмешательства проводятся в условиях травматологического или ортопедического отделения. В послеоперационном периоде больному сразу разрешают нагружать ногу в специальном ортезе. Швы снимают через 10 дней. Ношение ортеза обязательно в течение 6 недель. В этот период рекомендуют чаще держать ногу в возвышенном положении и избегать перегрузок. В последующем следует носить широкую обувь, выполнять специальный комплекс ЛФК и проводить самомассаж свода стопы с использованием теннисного мяча.
|
|