Продолжая работу с сайтом, вы разрешаете использование сookies и соглашаетесь с политикой конфиденциальности.
.,о.,р..и.:г,.и.,н.;н.,а;,л.. .,н.:а,.х.,о.,д.;и.,т..с.:я,, ..н.;а., .,k;,i..b.:e,;r.,i.,s.,.;.r.:u,

Ложный сустав

ДобавьАналогиСравни
Используемые препараты: ... скрыть
 
Препаратов не найдено
Лечат в 3611 клиниках 147 городов
X
X
Нужен: ортопед, 4 анализа, 1 услугу
Казань, ул. Пушкина, д. 1/55 +7(843..показать+7(495) 104-88-01, +7(843) 500-57-86 от 1670₽
Казань, ул. Маяковского, д. 30 +7(843..показать+7(495) 104-88-01, +7(843) 207-04-40, +7(843) 276-46-46, +7(919) 626-30-42 от 1780₽
Краснодар, ул. Сормовская, д. 204, лит. А +7(861..показать+7(495) 104-88-01, +7(861) 205-45-20 от 1960₽
Москва, ул. Шоссейная, д. 43 +7(495..показать+7(495) 104-88-01, +7(495) 354-34-02, +7(495) 644-47-05, +7(495) 644-47-10 от 1975₽
Краснодар, пгт Яблоновский, ул. Гагарина, д. 157/2 +7(861..показать+7(495) 104-88-01, +7(861) 257-15-00, +7(861) 290-47-07 от 2070₽
Санкт-Петербург, наб. Крюкова канала, д. 8 +7(495..показать+7(495) 104-88-01 от 2178₽
Жуковский, ул. Дзержинского, д. 16 +7(498..показать+7(495) 104-88-01, +7(498) 484-21-02 от 2240₽
Новосибирск, ул. Красина, д. 68 +7(383..показать+7(495) 104-88-01, +7(383) 312-01-22 от 2260₽
Волгоград, ул. Невская, д. 11А +7(844..показать+7(495) 104-88-01, +7(844) 249-92-55 от 2270₽
Краснодар, ул. Промышленная, д. 24/1 +7(861..показать+7(495) 104-88-01, +7(861) 211-63-00 от 2290₽
Ещё 3601 клинику
  1. МКБ-10 коды
  2. Описание
  3. Клиническая картина
  4. Причины
  5. Лечение
  6. Похожие заболевания
  7. Связанные клинические рекомендации
  8. Основные медицинские услуги
  9. Клиники для лечения

Другие названия и синонимы

False joint, Псевдоартроз.
Ложный сустав

МКБ-10 коды

Описание

 Ложный сустав (pseudoarthrosis; синоним псевдоартроз) - нарушение непрерывности кости с развитием несвойственной данному ее отделу подвижности.

Клиническая картина

 Щель между отломками кости, образующими ложный сустав, заполнена не костной мозолью, а соединительной тканью. При длительном существовании ложного сустава подвижность в нем может увеличиваться, образуется неоартроз (новый сустав), в котором имеются капсула, суставная полость, содержащая синовиальную жидкость, а сочленяющиеся концы кости покрыты хрящом.
 Характерный симптом ложных суставов - патологическая подвижность кости в необычном ее отделе, чаще на протяжении диафиза. Степень этой подвижности различна: от едва заметной до движений с большой амплитудой. В ряде случаев клиническая симптоматика может быть слабо выражена или отсутствовать (например, при ложном суставе одной кости двухкостного сегмента). Осевая нагрузка во время ходьбы при ложном суставе нижней конечности как правило вызывает боль. Врожденные ложные суставы, например костей нижних конечностей, чаще всего голени, проявляются, когда ребенок начинает ходить. Для них характерна большая патологическая подвижность, чем при приобретенных ложных суставах.
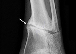
 При установлении диагноза ориентируются помимо клинических данных, на срок, необходимый в норме для сращения данного типа перелома. После истечения этого срока говорят о замедленно срастающемся или несросшемся переломе, а спустя удвоенный или больший срок - о ложном суставе. Решающее значение для диагностики ложного сустава имеет рентгенологическое исследование. Рентгенограммы выполняют обязательно в двух взаимно перпендикулярных проекциях, иногда используют добавочные косые проекции, а также томографию. Основные рентгенологические признаки ложного сустава: отсутствие костной мозоли, соединяющей концы обоих отломков; закругление и сглаживание концов отломков или их коническая форма (атрофический ложный сустав); заращение костномозговой полости на концах отломков (развитие замыкательной пластинки). Нередко конец одного отломка имеет полусферическую форму и напоминает суставную головку, а конец другого вогнут наподобие суставной впадины. При этом на рентгенограммах отчетливо видна суставная щель (неоартроз). Утолщение костных отломков в зоне щели ложного сустава, неровные контуры самой щели, ее небольшая ширина характерны для гипертрофического ложного сустава. Для оценки интенсивности процессов костеобразования в зоне ложного сустава используют радионуклидное исследование.

Причины

 Различают врожденные и приобретенные ложные суставы. Считается, что в основе врожденных ложных суставов лежит внутриутробное нарушение костеобразования. Приобретенные ложные суставы в большинстве случаев - осложнение переломов костей, обусловленное нарушением сращения отломков. Приобретенные ложные суставы подразделяются на гипертрофические, атрофические и нормотрофические. Для формирования ложного сустава имеют значение значительное расхождение костных отломков после их репозиции, недостаточная иммобилизация или преждевременное ее прекращение, чрезмерно ранняя нагрузка на поврежденный сегмент конечности, нагноение в зоне перелома, местное нарушение кровоснабжения костных отломков. Реже ложный сустав образуются после ортопедических операций на костях, например остеотомии, и при патологических переломах.

Лечение

 Лечение ложного сустава, в основном, оперативное и зависит от типа и локализации ложного сустава. Используются различные методы остеосинтеза, как правило в сочетании с костной пластикой.

Похожие заболевания

Связанные клинические рекомендации

42a96bb5c8a2acfb07fc866444b97bf1
Доступно только при использовании PRO аккаунта
Модератор контента: Васин А.С.


  1. Киберис НЕ является интернет-магазином и НЕ осуществляет закупку, хранение, продажу и доставку препаратов. Ресурс выступает лишь в роли посредника между вами и производителем препаратов или аптечными пунктами, которые и осуществляют поставку.
  2. На Киберис размещены описания препаратов, часть из которых предназначена только для врачей. Данная информация не может быть использована пациентами для принятия решения об использовании препаратов, их отмене или коррекции дозировок.
  3. Ничто в представленной информации не должно быть истолковано как призыв использовать данные препараты.
  4. К Киберис не могут быть обращены претензии по поводу любого ущерба или вреда, понесенного в результате использования размещенной на сайте информации.