Другие названия и синонимы
Allergy to prosthetic materials.
МКБ-10 коды
- МКБ-10
- T78.4 Аллергия неуточненная
|
|
Описание
Аллергия к протезным материалам. Непереносимость зубных протезов, используемых в ортопедической стоматологии, с развитием аллергической реакции замедленного типа и появлением клинических симптомов протезного стоматита (чувства жжения, болезненности в полости рта при приеме пищи, изменений вкуса), признаков аллергического поражения других органов и нарушения общего состояния. Диагностика аллергии к протезным материалам основана на данных анамнеза, клинического осмотра полости рта, результатов элиминационных, экспозиционных и кожных проб, иммунологических тестов. Лечение включает замену или коррекцию протеза, использование антигистаминных препаратов, в тяжелых случаях - глюкокортикоидов.
Дополнительные факты
Аллергия к протезным материалам - воспалительная реакция аллергической природы, нередко встречающаяся в ортопедической стоматологии и развивающаяся в полости рта в ответ на установку зубного протеза из металла, акрилатов и других материалов. Гиперчувствительность к тому или иному протезному материалу характеризуется развитием аллергической реакции замедленного типа, при этом симптомы заболевания чаще связаны с поражением полости рта, реже - верхних дыхательных путей и кожных покровов.
По данным статистики, непереносимость материала зубных протезов отмечается у 6-10% пациентов, обращающихся на прием к стоматологу-ортопеду, при этом признаки аллергии к протезным материалам могут появляться как в течение первых дней после установки протеза, так и через несколько лет после протезирования.
По данным статистики, непереносимость материала зубных протезов отмечается у 6-10% пациентов, обращающихся на прием к стоматологу-ортопеду, при этом признаки аллергии к протезным материалам могут появляться как в течение первых дней после установки протеза, так и через несколько лет после протезирования.
Причины
Развитие аллергии к протезным материалам чаще отмечается на металлические включения протеза, а также на акрилаты, цементы, пасты, красители, пластификаторы и другие материалы, применяемые в ортопедической стоматологии.
При изготовлении металлических зубных протезов используют около двадцати металлов. Это нержавеющая сталь, сплавы из хрома и кобальта, серебра и палладия, золота и платины, никеля, железа, титана, марганца, кремния, молибдена и других материалов, применяемых для самого протеза, штамповки, соединения его деталей. Каждый из этих металлов может вызвать развитие аллергической реакции в различные сроки после зубопротезирования. Развитию аллергии способствуют электрохимические процессы в полости рта, интенсивность которых зависит от конкретного состава сплава, степени разнородности входящих в его состав металлических включений, качества изготовления протеза, кислотности слюны и других факторов.
Нередко встречается аллергия к протезным материалам, изготовленным из полимерных соединений (акрилатов). Чаще всего это полные съемные пластиночные протезы, состоящие из твердой (акриловой) или мягкой пластмассы. При этом основной этиологический фактор возникновения аллергической реакции на акрилаты - остаточный мономер метилметакрилат, содержание которого в пластмассовых протезах составляет от 0,2 до 1%, а при несоблюдении технологии производства может возрастать до 8%.
Вышеперечисленные вещества, входящие в состав металлических и акриловых зубных протезов, являются неполными антигенами (гаптенами) и превращаются они в настоящие аллергены (конъюгированные антигены) при взаимодействии с белками тканей полости рта. При этом возникает аллергическая реакция замедленного типа с развитием контактного стоматита и других клинических проявлений аллергии к протезным материалам. Риск развития заболевания повышается при механической травме слизистой оболочки полости рта, микроповреждениях протеза, повышении кислотности слюны и возникающих при этом процессах коррозии зубопротезной конструкции.
При изготовлении металлических зубных протезов используют около двадцати металлов. Это нержавеющая сталь, сплавы из хрома и кобальта, серебра и палладия, золота и платины, никеля, железа, титана, марганца, кремния, молибдена и других материалов, применяемых для самого протеза, штамповки, соединения его деталей. Каждый из этих металлов может вызвать развитие аллергической реакции в различные сроки после зубопротезирования. Развитию аллергии способствуют электрохимические процессы в полости рта, интенсивность которых зависит от конкретного состава сплава, степени разнородности входящих в его состав металлических включений, качества изготовления протеза, кислотности слюны и других факторов.
Нередко встречается аллергия к протезным материалам, изготовленным из полимерных соединений (акрилатов). Чаще всего это полные съемные пластиночные протезы, состоящие из твердой (акриловой) или мягкой пластмассы. При этом основной этиологический фактор возникновения аллергической реакции на акрилаты - остаточный мономер метилметакрилат, содержание которого в пластмассовых протезах составляет от 0,2 до 1%, а при несоблюдении технологии производства может возрастать до 8%.
Вышеперечисленные вещества, входящие в состав металлических и акриловых зубных протезов, являются неполными антигенами (гаптенами) и превращаются они в настоящие аллергены (конъюгированные антигены) при взаимодействии с белками тканей полости рта. При этом возникает аллергическая реакция замедленного типа с развитием контактного стоматита и других клинических проявлений аллергии к протезным материалам. Риск развития заболевания повышается при механической травме слизистой оболочки полости рта, микроповреждениях протеза, повышении кислотности слюны и возникающих при этом процессах коррозии зубопротезной конструкции.
Клиническая картина
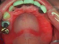
Клинические признаки аллергии к протезным материалам чаще связаны с развитием аллергического контактного стоматита. Основные жалобы - появление металлического привкуса, чувства жжения и сухости во рту, болезненности при приеме пищи. При этом симптоматика обычно развивается не сразу после установки протеза, а через несколько месяцев, а то и через 10-15 лет после протезирования.
Клиническая картина аллергии к металлическим протезным материалам имеет свои особенности. Это, прежде всего жалобы больных на отечность слизистой оболочки полости рта в области щек, языка, мягкого неба. Увеличение языка и отек слизистой щек приводит к частому их прикусыванию, затруднениям при пережевывании и проглатывании пищи. Очень часто беспокоит чувство жжения в области языка, которое ощущается постоянно и усиливается при приеме острой, кислой пищи, а также в вечернее и ночное время. Еще один характерный симптом - изменение вкусовой чувствительности с появлением привкуса металла или кислоты во рту. Аллергия к протезным материалам из металла и его сплавов сопровождается сухостью во рту, жаждой, изменением консистенции слюны, которая становится вязкой, тягучей и трудно проглатывается. При длительном течении аллергического стоматита может нарушаться общее самочувствие с появлением повышенной утомляемости, раздражительности, тревожности и беспокойства, нередко отмечается обострение хронических заболеваний желудка и кишечника (гастродуоденитов, колитов), желчевыводящих путей (холециститов).
Ассоциированные симптомы: Боль в десне. Боль во рту. Жажда. Опухание щеки. Потеря веса. Раздражительность. Сухость во рту.
Клиническая картина аллергии к металлическим протезным материалам имеет свои особенности. Это, прежде всего жалобы больных на отечность слизистой оболочки полости рта в области щек, языка, мягкого неба. Увеличение языка и отек слизистой щек приводит к частому их прикусыванию, затруднениям при пережевывании и проглатывании пищи. Очень часто беспокоит чувство жжения в области языка, которое ощущается постоянно и усиливается при приеме острой, кислой пищи, а также в вечернее и ночное время. Еще один характерный симптом - изменение вкусовой чувствительности с появлением привкуса металла или кислоты во рту. Аллергия к протезным материалам из металла и его сплавов сопровождается сухостью во рту, жаждой, изменением консистенции слюны, которая становится вязкой, тягучей и трудно проглатывается. При длительном течении аллергического стоматита может нарушаться общее самочувствие с появлением повышенной утомляемости, раздражительности, тревожности и беспокойства, нередко отмечается обострение хронических заболеваний желудка и кишечника (гастродуоденитов, колитов), желчевыводящих путей (холециститов).
Ассоциированные симптомы: Боль в десне. Боль во рту. Жажда. Опухание щеки. Потеря веса. Раздражительность. Сухость во рту.
Диагностика
Диагностика аллергии к протезным материалам основана на изучении анамнеза, данных объективного осмотра пациента стоматологом и аллергологом-иммунологом, результатов лабораторных исследований, кожных и провокационных проб.
При осмотре полости рта выявляются явления гиперемии, отека, сухости слизистых оболочек, наличие петехиальных кровоизлияний, следы отпечатков зубов на слизистой щек и боковых поверхностях языка. При развитии аллергии к металлическим протезным материалам можно обнаружить нарушение целостности мостовидного протеза, особенно в месте пайки, наличие окисных пленок. Контактный аллергический стоматит, возникший после установки пластмассовых съемных зубных протезов, кроме вышеуказанных признаков характеризуется появлением на слизистой оболочке протезного ложа папилломатозных разрастаний.
Для выявления аллергии к протезным материалам используются и различные диагностические пробы, используемые в аллергологии, в частности накожные капельные, скарификационные и внутрикожные, а также элиминационные и экспозиционные. Элиминация заключается в удалении проблемного протеза на срок от 1-2 суток до недели и наблюдении в динамике за состоянием полости рта и протезного ложа. После купирования признаков аллергического воспаления выполняется экспозиция, то есть повторная установка того же зубного протеза и проверка реакции организма на такую установку.
Кроме этого, в ортопедической стоматологии может использоваться тест изоляции протеза от слизистой оболочки золотой фольгой, которая приклеивается и цементируется к протезу. Полное исчезновение симптомов аллергии к протезному материалу свидетельствует о его непереносимости.
Подтвердить аллергическую природу болезни можно и при проведении специальных иммунологических тестов с выявлением специфических антител в сыворотке крови и отдельных клеточных элементах.
При осмотре полости рта выявляются явления гиперемии, отека, сухости слизистых оболочек, наличие петехиальных кровоизлияний, следы отпечатков зубов на слизистой щек и боковых поверхностях языка. При развитии аллергии к металлическим протезным материалам можно обнаружить нарушение целостности мостовидного протеза, особенно в месте пайки, наличие окисных пленок. Контактный аллергический стоматит, возникший после установки пластмассовых съемных зубных протезов, кроме вышеуказанных признаков характеризуется появлением на слизистой оболочке протезного ложа папилломатозных разрастаний.
Для выявления аллергии к протезным материалам используются и различные диагностические пробы, используемые в аллергологии, в частности накожные капельные, скарификационные и внутрикожные, а также элиминационные и экспозиционные. Элиминация заключается в удалении проблемного протеза на срок от 1-2 суток до недели и наблюдении в динамике за состоянием полости рта и протезного ложа. После купирования признаков аллергического воспаления выполняется экспозиция, то есть повторная установка того же зубного протеза и проверка реакции организма на такую установку.
Кроме этого, в ортопедической стоматологии может использоваться тест изоляции протеза от слизистой оболочки золотой фольгой, которая приклеивается и цементируется к протезу. Полное исчезновение симптомов аллергии к протезному материалу свидетельствует о его непереносимости.
Подтвердить аллергическую природу болезни можно и при проведении специальных иммунологических тестов с выявлением специфических антител в сыворотке крови и отдельных клеточных элементах.
Дифференциальная диагностика
Дифференциальная диагностика аллергии к протезным материалам проводится с контактными стоматитами механической природы, вирусными, бактериальными и грибковыми стоматитами, авитаминозами, сахарным диабетом и другими эндокринными расстройствами, гастритом с пониженной кислотностью, невротическими расстройствами.
Лечение
Устранение аллергии к протезным материалам возможно при удалении проблемных конструкций из полости рта и проведении повторного протезирования индифферентными материалами после полного купирования проявлений аллергического стоматита. Иногда используется экранизация имеющегося зубного протеза (его изоляция от слизистой оболочки протезного ложе) путем металлизации биологически инертными материалами (чаще это золотоплатиновые сплавы).
Лечение аллергического контактного стоматита проводится с использованием местных антисептических и противовоспалительных средств, антигистаминных препаратов, иногда используются глюкокортикоидные гормоны для местного применения.
Профилактика аллергии к протезным материалам основана на тщательной подготовке к зубопротезированию со сбором аллергологического анамнеза, проведении у лиц из группы риска (анацидный гастрит, аллергические реакции в анамнезе, возраст 40-60 лет, данные о непереносимости металлических включений и пластмасс) профилактических накожных проб с компонентами материалов, которые предполагается использовать. Выполнение таких проб должно проводиться только в специализированных учреждениях сертифицированными врачами-аллергологами.
Лечение аллергического контактного стоматита проводится с использованием местных антисептических и противовоспалительных средств, антигистаминных препаратов, иногда используются глюкокортикоидные гормоны для местного применения.
Профилактика аллергии к протезным материалам основана на тщательной подготовке к зубопротезированию со сбором аллергологического анамнеза, проведении у лиц из группы риска (анацидный гастрит, аллергические реакции в анамнезе, возраст 40-60 лет, данные о непереносимости металлических включений и пластмасс) профилактических накожных проб с компонентами материалов, которые предполагается использовать. Выполнение таких проб должно проводиться только в специализированных учреждениях сертифицированными врачами-аллергологами.
|
|