Другие названия и синонимы
Galvanosis.
МКБ-10 коды
|
|
Описание
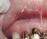
Гальваноз. Заболевание, которое возникает при наличии в полости рта металлических протезов, изменяющих электрохимические процессы и приводящих к развитию таких симптомов, как металлический привкус во рту, извращение вкуса, жжение языка, снижение слюноотделения, нарушение общего состояния организма (головные боли, раздражительность, слабость, утомляемость, тревожность). Диагностика включает изучение клинических симптомов и данных стоматологического осмотра, измерение потенциометрических показателей. Лечение гальваноза комплексное: удаление причинного фактора (протеза, вкладки), иммунокоррекция, лечение местных воспалительных и общесоматических заболеваний.
Дополнительные факты
Гальваноз - это патологический процесс, возникающий в полости рта вследствие непереносимости зубных протезов, выполненных из различных металлов. При этом появляются чрезмерные гальванические токи, повышается электрическая проводимость слюны, и возникают клинические признаки раздражения слизистой оболочки полости рта, а затем и общие симптомы неблагополучия организма.
По данным статистики, непереносимость металлических включений (коронок, мостовидных протезов, вкладок, имплантатов) встречается у 15-35% пациентов, обращающихся к стоматологу. В связи с этим возрастает важность правильного выбора материалов для протезирования и имплантации, а также своевременного устранения дефектов и замены старых зубных протезов.
По данным статистики, непереносимость металлических включений (коронок, мостовидных протезов, вкладок, имплантатов) встречается у 15-35% пациентов, обращающихся к стоматологу. В связи с этим возрастает важность правильного выбора материалов для протезирования и имплантации, а также своевременного устранения дефектов и замены старых зубных протезов.
Причины
В полости рта и в нормальных условиях протекают определенные электрохимические процессы, однако их интенсивность значительно возрастает при наличии различных металлических включений - пломб с амальгамой и металлических вкладок, мостовидных протезов и отдельных коронок, ортодонтических аппаратов и имплантатов. Картина ухудшается при одновременном наличии во рту сплавов различных металлов, а также в результате повреждения и появления признаков коррозии установленных ранее зубных протезов.
Появление в ротовой жидкости оксидов металлов приводит к усилению гальванических токов (силы тока и разности электрических потенциалов). Возникает гальванизм - состояние, при котором у здорового человека выявляется превышение потенциометрических показателей выше нормы в сравнении с людьми, у которых во рту отсутствуют какие-либо металлические включения. Каких-либо жалоб на здоровье человек при этом не предъявляет, и при стоматологическом осмотре признаков патологии полости рта не обнаруживается.
Можно сказать, что гальванизм - это не болезнь, а предрасполагающий фактор, увеличивающий риск развития заболеваний. А вот при наличии гальванизма и появлении симптомов раздражения слизистой полости рта и общих симптомов недомогания устанавливается диагноз «гальваноз».
Предрасполагающими факторами риска развития заболевания являются изначальные дефекты металлических включений, устанавливаемых в полости рта, механические повреждения протезов в процессе их эксплуатации и изменение рН слюны в кислую сторону при пародонтитах, стоматитах, заболеваниях желудочно-кишечного тракта.
Появление в ротовой жидкости оксидов металлов приводит к усилению гальванических токов (силы тока и разности электрических потенциалов). Возникает гальванизм - состояние, при котором у здорового человека выявляется превышение потенциометрических показателей выше нормы в сравнении с людьми, у которых во рту отсутствуют какие-либо металлические включения. Каких-либо жалоб на здоровье человек при этом не предъявляет, и при стоматологическом осмотре признаков патологии полости рта не обнаруживается.
Можно сказать, что гальванизм - это не болезнь, а предрасполагающий фактор, увеличивающий риск развития заболеваний. А вот при наличии гальванизма и появлении симптомов раздражения слизистой полости рта и общих симптомов недомогания устанавливается диагноз «гальваноз».
Предрасполагающими факторами риска развития заболевания являются изначальные дефекты металлических включений, устанавливаемых в полости рта, механические повреждения протезов в процессе их эксплуатации и изменение рН слюны в кислую сторону при пародонтитах, стоматитах, заболеваниях желудочно-кишечного тракта.
Классификация
Выделяют атипичную и типичную форму гальваноза. Атипичная форма гальваноза характеризуется превышением потенциометрических показателей (разность потенциалов, сила гальванического тока, электрическая проводимость слюны) в полости рта в три и более раза по сравнению с физиологической нормой и наличием единичных клинических признаков заболевания - периодических жалоб на «жжение языка», сухость во рту, усталость (беспокоит обычно лишь один из перечисленных симптомов).
Типичная форма гальваноза проявляется наряду с повышением потенциометрических показателей более чем в 3 раза постоянными клиническими проявлениями заболевания - как местными (металлический привкус во рту, жжение, сухость, выявление при стоматологическом осмотре признаков гиперемии слизистой, явлений стоматита, гингивита, лейкоплакии ), так и общими (слабость, раздражительность, головная боль, снижение работоспособности).
Типичная форма гальваноза проявляется наряду с повышением потенциометрических показателей более чем в 3 раза постоянными клиническими проявлениями заболевания - как местными (металлический привкус во рту, жжение, сухость, выявление при стоматологическом осмотре признаков гиперемии слизистой, явлений стоматита, гингивита, лейкоплакии ), так и общими (слабость, раздражительность, головная боль, снижение работоспособности).
Клиническая картина
Первые признаки заболевания появляются, как правило, через 1-2 месяца после установки металлического зубного протеза, имплантата или ортодонтического аппарата (в некоторых случаях этот срок сокращается до 1-3 недель). При этом возникает неприятное ощущение привкуса металла во рту («кислый вкус», «кислота во рту», как говорят сами больные), усиливающееся при употреблении острой и кислой пищи. Вкус зачастую извращается («сладкое кажется горьким»), появляется чувство жжения языка, сухость во рту.
При сохранении гальванизма во рту на протяжении длительного времени начинает нарушаться общее самочувствие больного гальванозом. Появляются периодические головные боли, нарушается качество и продолжительность сна, беспокоит общая слабость, быстрая утомляемость, снижение работоспособности, повышенная раздражительность, тревожность, перепады настроения. Такие неспецифические симптомы свидетельствуют о нарушениях нервно-рефлекторных связей между органами и системами, снижении резистентности организма к воздействию неблагоприятных факторов.
Ассоциированные симптомы: Боль в горле. Боль в языке. Боль во рту. Головная боль. Недомогание. Раздражительность. Сухость во рту.
При сохранении гальванизма во рту на протяжении длительного времени начинает нарушаться общее самочувствие больного гальванозом. Появляются периодические головные боли, нарушается качество и продолжительность сна, беспокоит общая слабость, быстрая утомляемость, снижение работоспособности, повышенная раздражительность, тревожность, перепады настроения. Такие неспецифические симптомы свидетельствуют о нарушениях нервно-рефлекторных связей между органами и системами, снижении резистентности организма к воздействию неблагоприятных факторов.
Ассоциированные симптомы: Боль в горле. Боль в языке. Боль во рту. Головная боль. Недомогание. Раздражительность. Сухость во рту.
Диагностика
Диагноз устанавливается на основании жалоб, данных стоматологического осмотра пациентов, имеющих металлические пломбы, коронки, мостовидные протезы и другие включения и результатов измерений потенциометрических показателей (при наличии соответствующего оборудования).
В норме разность потенциалов в полости рта у здорового человека не превышает 60 мВ, сила гальванического тока - не более 5-6 мкА, проводимость слюны - меньше 5-6 мкСм. Измерения производятся с помощью специального оборудования - потенциометров, микроамперметров, милливольтметров.
Для дифференциальной диагностики с другими патологическими процессами полости рта и общесоматическими заболеваниями при необходимости назначаются консультации гастроэнтеролога, аллерголога, онколога, психотерапевта, проводятся дополнительные лабораторные и инструментальные исследования - анализ слюны, биохимический анализ крови, иммунограмму, кожно-аллергические пробы, компьютерную томографию лицевого черепа.
В норме разность потенциалов в полости рта у здорового человека не превышает 60 мВ, сила гальванического тока - не более 5-6 мкА, проводимость слюны - меньше 5-6 мкСм. Измерения производятся с помощью специального оборудования - потенциометров, микроамперметров, милливольтметров.
Для дифференциальной диагностики с другими патологическими процессами полости рта и общесоматическими заболеваниями при необходимости назначаются консультации гастроэнтеролога, аллерголога, онколога, психотерапевта, проводятся дополнительные лабораторные и инструментальные исследования - анализ слюны, биохимический анализ крови, иммунограмму, кожно-аллергические пробы, компьютерную томографию лицевого черепа.
Лечение
При выявлении признаков гальваноза в первую очередь необходимо устранить причинный фактор, который привел к развитию заболевания. Для этого проводится тщательное обследование с выявлением всех металлических включений в полости рта и удаление проблемных изделий (разнородные металлы, наличие признаков коррозии). Если устранение отдельных проблемных коронок не приводит к улучшению состояния пациента, необходимо удалить все имеющиеся металлические включения, после чего выполняется полноценное протезирование из однородных материалов, не вызывающих появление признаков гальванизма.
Следующим этапом проводится санация полости рта, медикаментозное и оперативное лечение выявленных воспалительных и предраковых заболеваний. Выполняется повышение неспецифической резистентности организма (проводится местная и общая иммунокоррекция). Лечение выявленных вегетативно-сосудистых, невротических расстройств осуществляется с привлечением специалистов соответствующего профиля (терапевт, невролог, психотерапевт).
Профилактика гальваноза включает тщательную санацию полости рта при регулярном обращении к стоматологу (2 раза в год), установку металлических коронок, протезов из однородных металлов, использование современных технологий изготовления зуботехнических изделий (цельнолитые конструкции, полное покрытие металлических коронок керамикой, отказ от паяных протезов ).
Следующим этапом проводится санация полости рта, медикаментозное и оперативное лечение выявленных воспалительных и предраковых заболеваний. Выполняется повышение неспецифической резистентности организма (проводится местная и общая иммунокоррекция). Лечение выявленных вегетативно-сосудистых, невротических расстройств осуществляется с привлечением специалистов соответствующего профиля (терапевт, невролог, психотерапевт).
Профилактика гальваноза включает тщательную санацию полости рта при регулярном обращении к стоматологу (2 раза в год), установку металлических коронок, протезов из однородных металлов, использование современных технологий изготовления зуботехнических изделий (цельнолитые конструкции, полное покрытие металлических коронок керамикой, отказ от паяных протезов ).