Другие названия и синонимы
Bronchiectatic disease in children.
МКБ-10 коды
|
|
Описание
Бронхоэктатическая болезнь у детей (БЭБ). Это приобретенная хроническая патология дыхательной системы, которая сопровождается необратимым расширением и деформацией бронхов и гнойно - воспалительным процессом. Клинически она проявляется влажным кашлем с мокротой, дыхательной недостаточностью, деформацией грудной клетки, частыми бронхитами. Диагностика БЭБ включает в себя рентгенографию, бронхоскопию и КТ грудной клетки. Лечение бронхоэктатической болезни у детей консервативное: антибиотики, муколитики, бронхолитики, ингаляционные глюкокортикостероиды, физиотерапия. При необходимости может проводиться оперативное вмешательство.
Дополнительные факты
Бронхоэктатическая болезнь у детей - это гетерогенное хроническое заболевание бронхолегочной системы, которое характеризуется необратимой деформацией и гнойно-воспалительными изменениями бронхиального дерева и проявляется рецидивирующими бронхитами. Впервые данная нозология была описана французским врачом и анатомом Рене Лаэннеком в 1819 году. Общая распространенность БЭБ составляет от 1,5 до 15 детей на 1 000 населения. Заболевание чаще встречается в экологически неблагоприятных регионах, а также в семьях курильщиков. Мужской пол более склонен к развитию БЭБ - мальчики болеют в 1,5-2 раза чаще девочек. В последние десятилетия наблюдается уменьшение распространенности бронхоэктатической болезни у детей. Это связано со снижением частоты инфекционной заболеваемости и эффективностью проводимого антибактериального лечения.
Клиническая картина
Ассоциированные симптомы: Влажный кашель. Затруднение выдоха. Кашель. Кровохарканье. Лейкоцитоз. Одышка.
Причины
Бронхоэктатическая болезнь у детей - это полиэтиологическое заболевание. Как правило, первичные бронхоэктазы формируются на фоне ранее перенесенных тяжелых или рецидивирующих бактериальных или вирусных заболеваний - бронхитов, пневмоний, кори, гриппа, коклюша. У детей на фоне морфологической незрелости легочной ткани бронхоэктазы могут возникнуть всего за 24-48 часов. У отдельных случаях бронхоэктатическая болезнь у детей становится следствием попадания инородного тела в бронх. При массивной обтурации структурная деформация может сформироваться уже спустя несколько часов. Обострение бронхоэктатической болезни у детей могут провоцировать респираторные вирусные заболевания (аденовирус, вирус гриппа и парагриппа, риновирус и тд ). Усугубляет течение БЭБ хронический бронхит, который может быть вызван гемофильной палочкой, некоторыми видами стафилококков и пневмококков, реже - β-гемолитическим стрептококком.
Помимо основной причины бронхоэктатической болезни у детей, существуют предрасполагающие факторы, на фоне которых риск развития заболевания существенно возрастает. К ним относятся наследственная склонность в виде генетически обусловленного дефекта стенок бронхиального дерева, употребление матерью алкоголя, наркотиков и табачных изделий во время беременности, гастроэзофагеальная рефлюксная болезнь, снижение иммунитета, ателектазы различной этиологии, пассивное курение, загрязненная атмосфера. Также важную роль играет локализация очага воспаления в базальных отделах легких при потенциально опасных заболеваниях и неадекватно проводимое лечение.
В основе патогенеза бронхоэктатической болезни у детей лежит два основных фактора - воспаление бронхов и нарушение их проходимости. Первый вызывает метаплазию и изъязвление эпителия слизистой оболочки, деструкцию эластических и гладкомышечных волокон и хрящевых колец, склерозирование стенки. Все это становится причиной потери эластичности и резистентности бронхов к «кашлевому толчку», затем - возникновению деформации и нарушению мукоцилиарного клиренса. В таких условиях повышается внутрибронхиальное давление, которое вызывает расширение бронха и развитие бронхоэктатической болезни у детей. Нарушение проходимости полностью блокирует оставшийся в дистальных отделах бронхов воздух, который при выдохе также провоцирует внутрибронхиальную гипертензию. Это способствует развитию воспаления дистальнее места обструкции, что замыкает «порочный круг».
• По степени тяжести БЭБ. Легкая, среднетяжелая, тяжелая.
• По периоду заболевания. Обострение, ремиссия.
• По распространенности. Сегментарная, полисегментарная, долевая, тотальная.
Основное появление бронхоэктатической болезни у детей - хронический бронхит. Начальные симптомы могут наблюдаться уже в возрасте 3-4 лет. В этом периоде течение заболевания зачастую имеет непрерывный рецидивирующий характер. У детей старшего возраста обострения возникают с частотой 3-5 раз в год. Основной клинический симптом в период ремиссии - влажный кашель с выделением мокроты. Отделение последней происходит преимущественно по утрам, в некоторых случаях - в большом количестве («полным ртом»). У части детей возникает гиповитаминоз, который проявляется сухостью кожи, ломкостью волос и ногтей, трещинами в уголках рта и глосситом. Иногда присутствует деформация грудной клетки. Общее физическое развитие страдает редко. В период обострения бронхоэктатической болезни у детей может наблюдаться астеновегетативный синдром, выраженная экспираторная одышка, как при физической нагрузке, так и в покое, оральная крепитация, примесь гноя и крови в мокроте, лихорадка, очень редко - кровохарканье.
Помимо основной причины бронхоэктатической болезни у детей, существуют предрасполагающие факторы, на фоне которых риск развития заболевания существенно возрастает. К ним относятся наследственная склонность в виде генетически обусловленного дефекта стенок бронхиального дерева, употребление матерью алкоголя, наркотиков и табачных изделий во время беременности, гастроэзофагеальная рефлюксная болезнь, снижение иммунитета, ателектазы различной этиологии, пассивное курение, загрязненная атмосфера. Также важную роль играет локализация очага воспаления в базальных отделах легких при потенциально опасных заболеваниях и неадекватно проводимое лечение.
В основе патогенеза бронхоэктатической болезни у детей лежит два основных фактора - воспаление бронхов и нарушение их проходимости. Первый вызывает метаплазию и изъязвление эпителия слизистой оболочки, деструкцию эластических и гладкомышечных волокон и хрящевых колец, склерозирование стенки. Все это становится причиной потери эластичности и резистентности бронхов к «кашлевому толчку», затем - возникновению деформации и нарушению мукоцилиарного клиренса. В таких условиях повышается внутрибронхиальное давление, которое вызывает расширение бронха и развитие бронхоэктатической болезни у детей. Нарушение проходимости полностью блокирует оставшийся в дистальных отделах бронхов воздух, который при выдохе также провоцирует внутрибронхиальную гипертензию. Это способствует развитию воспаления дистальнее места обструкции, что замыкает «порочный круг».
• По степени тяжести БЭБ. Легкая, среднетяжелая, тяжелая.
• По периоду заболевания. Обострение, ремиссия.
• По распространенности. Сегментарная, полисегментарная, долевая, тотальная.
Основное появление бронхоэктатической болезни у детей - хронический бронхит. Начальные симптомы могут наблюдаться уже в возрасте 3-4 лет. В этом периоде течение заболевания зачастую имеет непрерывный рецидивирующий характер. У детей старшего возраста обострения возникают с частотой 3-5 раз в год. Основной клинический симптом в период ремиссии - влажный кашель с выделением мокроты. Отделение последней происходит преимущественно по утрам, в некоторых случаях - в большом количестве («полным ртом»). У части детей возникает гиповитаминоз, который проявляется сухостью кожи, ломкостью волос и ногтей, трещинами в уголках рта и глосситом. Иногда присутствует деформация грудной клетки. Общее физическое развитие страдает редко. В период обострения бронхоэктатической болезни у детей может наблюдаться астеновегетативный синдром, выраженная экспираторная одышка, как при физической нагрузке, так и в покое, оральная крепитация, примесь гноя и крови в мокроте, лихорадка, очень редко - кровохарканье.
Диагностика
Диагностика бронхоэктатической болезни у детей основывается на сборе анамнестических данных, физикальном обследовании, лабораторных и инструментальных исследованиях. При сборе анамнеза педиатром особое внимание уделяется ранее перенесенным вирусным и бактериальным заболеваниям бронхолегочной системы, наличию возможных предрасполагающих факторов. При визуальном осмотре в зависимости от тяжести могут выявляться различные признаки БЭБ. При аускультации прослушивается жесткое дыхание, разнокалиберные влажные хрипы, амфорические шумы. Лабораторные анализы при обострении бронхоэктатической болезни у детей неспецифичны и указывают на наличие очага воспаления в организме. Обнаруживается повышение СОЭ, лейкоцитоз, сдвиг формулы крови влево. С целью определения патогенных агентов, вызвавших обострение, могут использоваться бактериологические, бактериоскопические анализы мокроты, серологические тесты крови.
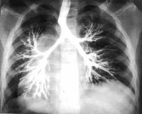
Ведущую роль в диагностике бронхоэктатической болезни у детей играет инструментальное обследование - рентгенография грудной клетки, бронхоскопия и компьютерная томография. На рентгенограмме можно определить уменьшение объема легкого, его смещение, деформацию и ячеистость легочного рисунка. Чаще поражается левое легкое. Бронхоскопия дает возможность выявить нарушение мукоцилиарного клиренса, воспалительные и структурные изменения в просвете бронха. Прямыми признаками бронхоэктатической болезни у детей на КТ являются расширение бронхов, отсутствие сужения дистальных отделов бронхиального дерева и ухудшения его видимости в краевых участках легких.
Ведущую роль в диагностике бронхоэктатической болезни у детей играет инструментальное обследование - рентгенография грудной клетки, бронхоскопия и компьютерная томография. На рентгенограмме можно определить уменьшение объема легкого, его смещение, деформацию и ячеистость легочного рисунка. Чаще поражается левое легкое. Бронхоскопия дает возможность выявить нарушение мукоцилиарного клиренса, воспалительные и структурные изменения в просвете бронха. Прямыми признаками бронхоэктатической болезни у детей на КТ являются расширение бронхов, отсутствие сужения дистальных отделов бронхиального дерева и ухудшения его видимости в краевых участках легких.
|
|
Дифференциальная диагностика
Дифференциальная диагностика бронхоэктатической болезни у детей как самостоятельного заболевания проводится с другими нозологиями, которые сопровождаются расширением бронхов. Сюда относятся легочная форма муковисцидоза, синдром Мунье-Куна, синдром Вильямса-Кэмпбелла, аллергический бронхолегочной аспергиллез, врожденная цилиарная дискинезия и врожденные пороки развития бронхиального дерева.
Лечение
Лечение обострений бронхоэктатической болезни у детей консервативное. Режим постельный или полупостельный. Рацион ребенка насыщается витаминами А, С, белковой пищей и жирами. Углеводы и соль ограничиваются. Основа медикаментозного лечения - антибактериальные препараты, выбранные в соответствии с чувствительностью микрофлоры, высеянной из мокроты. Также в зависимости от клинической ситуации могут применяться муколитики, бронхолитики и ингаляционные кортикостероиды. При необходимости выполняют лечебную бронхоскопию с целью санации бронхиального дерева. Из физиотерапии при бронхоэктатической болезни у детей назначают массаж, позиционный дренаж, УВЧ-, ДМВ-, СМВ-терапию, электрофорез, лазеротерапию, аппликации парафина и озокерита.
В тяжелых случаях бронхоэктатической болезни у детей проводится оперативное лечение в виде моно- или полисегментарной резекции легкого. Основными показаниями к операции считаются неэффективность назначенного консервативного лечения на фоне устойчивой очаговой инфекции и развитие жизнеугрожающих состояний, в том числе легочных кровотечений.
В тяжелых случаях бронхоэктатической болезни у детей проводится оперативное лечение в виде моно- или полисегментарной резекции легкого. Основными показаниями к операции считаются неэффективность назначенного консервативного лечения на фоне устойчивой очаговой инфекции и развитие жизнеугрожающих состояний, в том числе легочных кровотечений.