Другие названия и синонимы
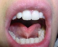
A short frenulum of the tongue in a child.
МКБ-10 коды
- МКБ-10
- Q38.1 Анкилоглоссия
|
|
Описание
Короткая уздечка языка у ребенка. Укороченная подъязычная связка, препятствующая полному объему движений языка в ротовой полости. Короткая уздечка языка у ребенка нарушает функцию сосания, мешает формированию правильного звукопроизношения, способствует смещению зубных рядов, формированию неправильного прикуса, гингивита, пародонтита и пр. Короткая уздечка языка у ребенка выявляется при визуальном осмотре полости рта. Возможно два пути лечения короткой уздечки языка у ребенка - консервативный (растяжение связки посредством артикуляционной гимнастики) и хирургический (френулотомия).
Дополнительные факты
Короткая уздечка языка у ребенка (анкилоглоссия) - малая врожденная аномалия челюстно-лицевой области, заключающаяся в укорочении связки, соединяющей язык с дном ротовой полости, и ограничении подвижности языка. Короткая уздечка языка у детей встречается с частотой 1 случай на 1000 новорожденных; при этом у мальчиков анкилоглоссия выявляется в 3 раза чаще, чем у девочек. Короткая уздечка языка может вызывать у ребенка хроническую травму тканей периодонта, функциональные нарушения (трудности сосания, глотания, речеобразования). Проблема короткой уздечки языка у ребенка является междисциплинарной, затрагивающей педиатрию, детскую стоматологию и логопедию.
Всего в ротовой полости расположено три уздечки: подъязычная уздечка, уздечка верхней губы и уздечка нижней губы. Уздечка языка представляет собой складку слизистой, которая тянется примерно от середины нижней поверхности языка и прикрепляется к дну ротовой полости на расстоянии 0,5-0,8 см от шейки передних резцов. Нормальная уздечка языка выглядит как тонкий, растяжимый тяж, не сковывающий движения языка.
У некоторых детей уздечка оказывается прикрепленной ближе к верхней трети языка или даже к самому его кончику, что может в различной степени ограничивать движения языка: от недостаточной активности до практически полной неподвижности. У ребенка в возрасте 5 лет длина уздечки в растянутом состоянии должна равняться не менее 8 Если уздечка у ребенка меньшей длины, недостаточно эластичная, аномально прикрепленная, - данное состояние расценивается как короткая уздечка языка.
Всего в ротовой полости расположено три уздечки: подъязычная уздечка, уздечка верхней губы и уздечка нижней губы. Уздечка языка представляет собой складку слизистой, которая тянется примерно от середины нижней поверхности языка и прикрепляется к дну ротовой полости на расстоянии 0,5-0,8 см от шейки передних резцов. Нормальная уздечка языка выглядит как тонкий, растяжимый тяж, не сковывающий движения языка.
У некоторых детей уздечка оказывается прикрепленной ближе к верхней трети языка или даже к самому его кончику, что может в различной степени ограничивать движения языка: от недостаточной активности до практически полной неподвижности. У ребенка в возрасте 5 лет длина уздечки в растянутом состоянии должна равняться не менее 8 Если уздечка у ребенка меньшей длины, недостаточно эластичная, аномально прикрепленная, - данное состояние расценивается как короткая уздечка языка.
Клиническая картина
Ассоциированные симптомы: Искажение звуков. Ламбдацизм. Ротацизм. Сигматизм. Тремор.
Причины
Почти в половине случаев короткая уздечка языка наследуется ребенком от одного из родителей. Ненаследственные случаи укороченной подъязычной связки могут быть связаны с вредными воздействиями на эмбрион в первом триместре, в период формирования зубочелюстной системы. К числу этиологических факторов относят токсикозы беременности, вирусные заболевания женщины, прием лекарств (салицилатов, антибиотиков, сульфаниламидов и тд ), стрессы, воздействие профессиональных вредностей (работа с красками, лаками, химическими реактивами) и тд Считается, что малые аномалии развития чаще встречаются у детей, рожденным матерями в возрасте старше 35 лет.
В целом же причины формирования короткой уздечки языка у ребенка до конца не изучены.
В целом же причины формирования короткой уздечки языка у ребенка до конца не изучены.
Классификация
В клинической практике выделяют 5 типов коротких уздечек, ограничивающих подвижность языка у ребенка:
• тонкая, прозрачная укороченная уздечка, ограничивающая подвижность языка;
• тонкая, полупрозрачная укороченная уздечка, прикрепленная своим передним краем близко к кончику языка, из-за чего при его подъеме вверх кончик раздваивается в виде «сердечка»;
• короткая уздечка языка в виде толстого, мощного, непрозрачного тяжа, прикрепленного близко к кончику языка. Подвижность языка ограничена, при выдвижении его кончик подворачивается, спинка поднимается горкой;
• короткий плотный тяж уздечки сращен с мышцами языка. Встречается у детей с врожденными расщелинами губы и неба;
• тяж уздечки практически не выделяется; его волокна переплетаются с мышцами языка, резко ограничивая подвижность последнего.
• тонкая, прозрачная укороченная уздечка, ограничивающая подвижность языка;
• тонкая, полупрозрачная укороченная уздечка, прикрепленная своим передним краем близко к кончику языка, из-за чего при его подъеме вверх кончик раздваивается в виде «сердечка»;
• короткая уздечка языка в виде толстого, мощного, непрозрачного тяжа, прикрепленного близко к кончику языка. Подвижность языка ограничена, при выдвижении его кончик подворачивается, спинка поднимается горкой;
• короткий плотный тяж уздечки сращен с мышцами языка. Встречается у детей с врожденными расщелинами губы и неба;
• тяж уздечки практически не выделяется; его волокна переплетаются с мышцами языка, резко ограничивая подвижность последнего.
Диагностика
Диагностикой и лечением патологии уздечки языка и ее последствий могут заниматься различные детские специалисты: неонатолог, педиатр, детский хирург, детский стоматолог, детский ортодонт, детский отоларинголог, логопед.
Часто короткая уздечка языка у ребенка обнаруживается при осмотре новорожденного в первые дни жизни. В более старшем возрасте родители сами могут заподозрить укорочение уздечки языка по следующим признакам: ребенок не может облизать губы, достать языком до верхних зубов, высунуть кончик языка изо рта и пр. Медицинскими специалистами для оценки функциональности лингвальной уздечки иногда используется тест Э. Хазелбейкер.
Часто короткая уздечка языка у ребенка обнаруживается при осмотре новорожденного в первые дни жизни. В более старшем возрасте родители сами могут заподозрить укорочение уздечки языка по следующим признакам: ребенок не может облизать губы, достать языком до верхних зубов, высунуть кончик языка изо рта и пр. Медицинскими специалистами для оценки функциональности лингвальной уздечки иногда используется тест Э. Хазелбейкер.
Лечение
Абсолютными показаниями к оперативному лечению короткой уздечки языка служат проблемы с кормлением ребенка, смещение зубного ряда и формирование неправильного прикуса. Нарушение звукопроизношения в 90% случаев может быть скорректировано путем растягивания подъязычной связки в рамках логопедических занятий по коррекции дислалии с помощью специальных упражнений артикуляционной гимнастики («Лошадка», «Грибок», «Вкусное варенье», «Маляр», «Гармошка» и тд ), логопедического массажа. При нарушениях прикуса у ребенка, вызванных короткой уздечкой языка, показано ортопедическое лечение.
Если короткая уздечка препятствует нормальному кормлению, она может быть рассечена ребенку еще во время его нахождения в роддоме. Операция рассечения уздечки (френулотомия) в этом возрасте совершенно безболезненна и проводится без использования анестезии, сама уздечка не содержит нервных окончаний. Для остановки кровотечения ребенка сразу прикладывают к груди матери. У детей в возрасте до 9 месяцев рассечение короткой уздечки языка выполняется с помощью ножниц (электроскальпеля, лазерного скальпеля) под местной аппликационной анестезией.
В более старшем возрасте, когда уздечка становится более толстой, может потребоваться пластика уздечки языка (френулопластика) - рассечение уздечки и перенесение места ее прикрепления с наложением швов. После хирургической коррекции короткой уздечки языка ребенку (дошкольнику, школьнику) необходимы речевые занятия с логопедом для преодоления стереотипных речевых привычек и формирования правильных речевых навыков; миогимнастика - во избежание образования рубцов.
Если короткая уздечка препятствует нормальному кормлению, она может быть рассечена ребенку еще во время его нахождения в роддоме. Операция рассечения уздечки (френулотомия) в этом возрасте совершенно безболезненна и проводится без использования анестезии, сама уздечка не содержит нервных окончаний. Для остановки кровотечения ребенка сразу прикладывают к груди матери. У детей в возрасте до 9 месяцев рассечение короткой уздечки языка выполняется с помощью ножниц (электроскальпеля, лазерного скальпеля) под местной аппликационной анестезией.
В более старшем возрасте, когда уздечка становится более толстой, может потребоваться пластика уздечки языка (френулопластика) - рассечение уздечки и перенесение места ее прикрепления с наложением швов. После хирургической коррекции короткой уздечки языка ребенку (дошкольнику, школьнику) необходимы речевые занятия с логопедом для преодоления стереотипных речевых привычек и формирования правильных речевых навыков; миогимнастика - во избежание образования рубцов.
Прогноз
Прогноз лечения короткой уздечки языка у ребенка в большинстве случаев хороший. Рассечение уздечки новорожденному сопровождается улучшением сосания, глотания, дыхания, адекватной прибавкой массы тела. Раннее рассечение короткой уздечке языка у ребенка позволяет избежать проблем с развитием малыша, формированием прикуса, речи.
Следует понимать, что пластика короткой уздечки языка, проведенная ребенку старшего возраста, не может автоматически привести к нормализации речи. Для исправления дефектов звукопроизношения необходим курс специальных логопедических занятий.
Консервативная тактика по растяжению короткой уздечки языка у ребенка требует терпения, систематического выполнения рекомендуемых упражнений. Этот метод наиболее эффективен у детей до 5 лет.
Следует понимать, что пластика короткой уздечки языка, проведенная ребенку старшего возраста, не может автоматически привести к нормализации речи. Для исправления дефектов звукопроизношения необходим курс специальных логопедических занятий.
Консервативная тактика по растяжению короткой уздечки языка у ребенка требует терпения, систематического выполнения рекомендуемых упражнений. Этот метод наиболее эффективен у детей до 5 лет.