Другие названия и синонимы
Eosinophilia-myalgia syndrome.
Описание
Синдром эозинофилии-миалгии - редкое состояние, обусловленное приемом некоторых препаратов с содержанием аминокислоты триптофана и характеризующееся выраженными системными поражениями (легких, мышечной системы, суставов и фасций). Симптомами являются кашель, затрудненное дыхание, повышенная утомляемость, боли в мышцах, неврологические нарушения и воспаления суставов. Диагностика проводится посредством лабораторных анализов (общий анализ крови), рентгенологических методик и изучения анамнеза больного. Лечение заключается в отмене приема провоцирующего лекарства и проведении симптоматической терапии.
|
|
Дополнительные факты
Синдром эозинофилии-миалгии был впервые диагностирован и выделен как отдельная нозологическая единица в середине 80-х годов XX века. В те годы возникла вспышка данной патологии, обусловленная широким распространением препарата на основе триптофана, выпускаемого одним из японских фармацевтических предприятий. В настоящее время средства с содержанием такой аминокислоты в мире практически не выпускаются, однако случаи заболевания все равно встречаются. Обычно его причиной становится использование фальсификатов некоторых продуктов (рапсового масла) и лекарственных средств, содержащих в своем составе вредные примеси. Синдром с равной долей вероятности поражает как мужчин, так и женщин, представляет потенциальную опасность для жизни.
Причины
Расследование, проведенное вскоре после обнаружения патологии, показало, что ее причиной является не сам триптофан (жизненно важная аминокислота), а некоторые примеси в лекарственном средстве. Они попадали в препарат в процессе химического синтеза основных компонентов и считались условно безопасными по причине ничтожной концентрации. Предположительно эти примеси запускали необычные аллергические процессы, приводящие к поражению легких, резкому увеличению количества эозинофилов в крови, болезненности мышц и другим нарушениям. Развитие синдрома послужило основным поводом для запрета таких лекарственных препаратов.
Существует также предположение, что основной причиной развития патологии являлись метаболиты триптофана - соединения под условными названиями ЕВТ и МТСА. Еще несколько веществ подозреваются в участии в патогенезе синдрома. Однако исследования, проведенные с чистыми вариантами данных соединений, имели неоднозначные результаты, поэтому их роль в этиологии заболевания оспаривается некоторыми учеными. Помимо них в тех партиях лекарственных средств, использование которых связывают с патологическим состоянием, было найдено еще более 60 примесей. Ряд исследователей считают, что возникновение нарушений обусловлено сочетанным действием сразу множества веществ.
Существует мнение, что и сам L-триптофан при попадании в организм в повышенных дозах мог спровоцировать развитие эозинофилии, миалгии и иных нарушений. Установлено, что это аминокислота в чистом виде способна замедлять деградацию гистаминоподобных соединений, участвующих во многих воспалительных и аллергических реакциях. Лишь у некоторых больных, принимающих триптофан, развитие синдрома объясняется наличием особенностей реактивности или других механизмов предрасположенности. В тоже время, такая точка зрения не объясняет, из-за чего возникает патология при употреблении иных продуктов или лекарств (например, схожую симптоматику имеет синдром токсического масла).
Существует также предположение, что основной причиной развития патологии являлись метаболиты триптофана - соединения под условными названиями ЕВТ и МТСА. Еще несколько веществ подозреваются в участии в патогенезе синдрома. Однако исследования, проведенные с чистыми вариантами данных соединений, имели неоднозначные результаты, поэтому их роль в этиологии заболевания оспаривается некоторыми учеными. Помимо них в тех партиях лекарственных средств, использование которых связывают с патологическим состоянием, было найдено еще более 60 примесей. Ряд исследователей считают, что возникновение нарушений обусловлено сочетанным действием сразу множества веществ.
Существует мнение, что и сам L-триптофан при попадании в организм в повышенных дозах мог спровоцировать развитие эозинофилии, миалгии и иных нарушений. Установлено, что это аминокислота в чистом виде способна замедлять деградацию гистаминоподобных соединений, участвующих во многих воспалительных и аллергических реакциях. Лишь у некоторых больных, принимающих триптофан, развитие синдрома объясняется наличием особенностей реактивности или других механизмов предрасположенности. В тоже время, такая точка зрения не объясняет, из-за чего возникает патология при употреблении иных продуктов или лекарств (например, схожую симптоматику имеет синдром токсического масла).
Патогенез
Патогенетические процессы при синдроме эозинофилии-миалгии изучены еще хуже, чем его этиология, поскольку достоверно не определено соединение, провоцирующее заболевание. На основании клинических данных можно предположить, что определенный фактор провоцирует увеличение образования или замедление распада стимуляторов воспаления - гистамина, некоторых интерлейкинов и простагландинов. Это вызывает иммунную воспалительную реакцию в легких, фасциях мышц, суставах и нервах. Пораженные ткани инфильтрируются макрофагами и лимфоцитами, что еще больше усугубляет патологический процесс. Развитие эозинофилии, согласно данной гипотезе, связано с увеличением концентрации гистамина - эозинофилы играют центральную роль в процессах его распада.
Согласно другой теории патогенеза болезни, первопричиной, напротив, является именно активация эозинофилов, которые начинают проникать в ткани и способствовать накоплению в них токсических продуктов. Это, в свою очередь, провоцирует возникновение воспаления с вовлечением иных иммунокомпетентных клеток и развитием лимфоцитарной инфильтрации. Но, как и в предыдущей гипотезе, пусковой фактор заболевания остается неизвестным. Данные гистохимических исследований могут интерпретироваться в качестве доказательств как первого, так и второго предположения, поэтому изучение синдрома продолжается.
Согласно другой теории патогенеза болезни, первопричиной, напротив, является именно активация эозинофилов, которые начинают проникать в ткани и способствовать накоплению в них токсических продуктов. Это, в свою очередь, провоцирует возникновение воспаления с вовлечением иных иммунокомпетентных клеток и развитием лимфоцитарной инфильтрации. Но, как и в предыдущей гипотезе, пусковой фактор заболевания остается неизвестным. Данные гистохимических исследований могут интерпретироваться в качестве доказательств как первого, так и второго предположения, поэтому изучение синдрома продолжается.
Клиническая картина
Проявления синдрома возникают после употребления лекарственных средств или других продуктов, содержащих триптофан и его метаболиты. Сроки развития заболевания могут сильно различаться - от нескольких дней до 3-5 месяцев после начала приема. Первоначально отмечается повышенная утомляемость и разбитость, которая сменяется выраженными болями в мышцах, усиливающимися при движениях. Одновременно появляются жалобы на слабость мышечной системы - пациент становится неспособен выдерживать привычные для него нагрузки. Миалгия может сочетаться с неприятными ощущениями в области сердца, что свидетельствует о вовлечении в патологический процесс миокарда.
Более чем у половины больных наблюдаются поражения дыхательной системы, проявляющиеся кашлем, хрипами при дыхании, одышкой. Течение патологии иногда осложняется симптомами плеврита - болями в груди при дыхании, усилением сухого кашля. Респираторные нарушения могут сохраняться в течение нескольких недель или даже месяцев. Зачастую определяются отеки подкожной жировой клетчатки на кистях или стопах. В особенно тяжелых случаях возникает накопление жидкости в полостях тела - брюшной, плевральной, перикардиальной. У ряда больных эозинофилией-миалгией отмечаются неврологические симптомы в виде нарушений чувствительности пальцев, кистей, стоп.
Ассоциированные симптомы: Кашель. Лейкоцитоз. Одышка. Разбитость. Рвота. Увеличение СОЭ. Эозинофилия.
Более чем у половины больных наблюдаются поражения дыхательной системы, проявляющиеся кашлем, хрипами при дыхании, одышкой. Течение патологии иногда осложняется симптомами плеврита - болями в груди при дыхании, усилением сухого кашля. Респираторные нарушения могут сохраняться в течение нескольких недель или даже месяцев. Зачастую определяются отеки подкожной жировой клетчатки на кистях или стопах. В особенно тяжелых случаях возникает накопление жидкости в полостях тела - брюшной, плевральной, перикардиальной. У ряда больных эозинофилией-миалгией отмечаются неврологические симптомы в виде нарушений чувствительности пальцев, кистей, стоп.
Ассоциированные симптомы: Кашель. Лейкоцитоз. Одышка. Разбитость. Рвота. Увеличение СОЭ. Эозинофилия.
Возможные осложнения
Эозинофилия-миалгия, по данным медицинской статистики, примерно в 4-5% случаев приводит к летальному исходу. Причиной смерти становится тяжелая дыхательная недостаточность или нарушения работы сердца, обусловленные миокардитом и накоплением жидкости в перикардиальной полости (гидроперикард). При длительном течении заболевания происходит уменьшение дыхательного объема легких за счет фиброза, что снижает качество жизни и трудоспособность пациента. Описаны случаи, когда после развития синдрома возникал ревматоидный полиартрит. Это свидетельствует о возможности иммунологических нарушений вследствие заболевания, но достоверной взаимосвязи между этими двумя патологиями пока не обнаружено.
Диагностика
Для определения синдрома эозинофилии-миалгии используют множество диагностических методик - опрос больного, рентгенографические исследования, общие лабораторные анализы. При возникновении затруднений могут дополнительно производить микроскопическое исследование мокроты, гистологические исследования пораженных тканей. Однозначным признаком патологии является использование пациентом лекарств либо продуктов, содержащих синтезированный свободный триптофан. Поэтапно диагностика состояния производится следующим образом:
• Опрос и сбор анамнеза. При общении с пациентом аллергологу-иммунологу важно выяснить, употреблял ли он в последние дни и недели какие-либо лекарственные средства, масляные продукты, некоторые виды спортивного питания. С учетом этого можно определить, контактировал ли больной с триптофаном и его токсичными метаболитами. Среди жалоб наиболее часто отмечаются одышка, боли в разных группах мышц, слабость.
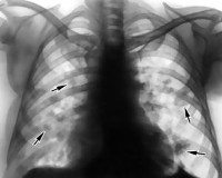
• Рентгенологические исследования. На рентгенографии органов грудной клетки можно выявить признаки уплотнения легочной ткани в виде сетчато-узелкового или сетчатого поражения. Там же обнаруживаются признаки плеврита и изменения контуров сердца при гидроперикарде. Рентгенография не является основным методом диагностики, поскольку патологические изменения выявляются лишь в 20% случаев синдрома.
• Лабораторные анализы. В общем анализе крови определяется выраженная эозинофилия - до 1 000 клеток в одном микролитре. Нередко регистрируются признаки воспалительной реакции - увеличение СОЭ, лейкоцитоз.
• Гистологическое изучение. Для диагностики патологии могут производить биопсию легких (при респираторных нарушениях), мышц и фасций (при миалгии) и других тканей в зависимости от клинической картины. Гистологическое исследование тканей пораженных органов выявляет инфильтрацию кровеносных сосудов мелкого калибра моноцитами, эозинофилами, лимфоцитами.
• Опрос и сбор анамнеза. При общении с пациентом аллергологу-иммунологу важно выяснить, употреблял ли он в последние дни и недели какие-либо лекарственные средства, масляные продукты, некоторые виды спортивного питания. С учетом этого можно определить, контактировал ли больной с триптофаном и его токсичными метаболитами. Среди жалоб наиболее часто отмечаются одышка, боли в разных группах мышц, слабость.
• Рентгенологические исследования. На рентгенографии органов грудной клетки можно выявить признаки уплотнения легочной ткани в виде сетчато-узелкового или сетчатого поражения. Там же обнаруживаются признаки плеврита и изменения контуров сердца при гидроперикарде. Рентгенография не является основным методом диагностики, поскольку патологические изменения выявляются лишь в 20% случаев синдрома.
• Лабораторные анализы. В общем анализе крови определяется выраженная эозинофилия - до 1 000 клеток в одном микролитре. Нередко регистрируются признаки воспалительной реакции - увеличение СОЭ, лейкоцитоз.
• Гистологическое изучение. Для диагностики патологии могут производить биопсию легких (при респираторных нарушениях), мышц и фасций (при миалгии) и других тканей в зависимости от клинической картины. Гистологическое исследование тканей пораженных органов выявляет инфильтрацию кровеносных сосудов мелкого калибра моноцитами, эозинофилами, лимфоцитами.
|
|
Дифференциальная диагностика
Дифференциальную диагностику проводят с инфекционно-воспалительными поражениями легких (бронхит, пневмония), заболеваниями сердца и системными аутоиммунными состояниями - некоторыми формами ревматизма и полиартритов. Главными признаками синдрома являются наличие в анамнезе приема лекарств или продуктов с триптофаном, отсутствие признаков инфекции по анализам крови.
Лечение
Основным условием успешного лечения заболевания является исключение триптофан-содержащего препарата или продукта, вызвавшего патологический процесс. Поэтому в ходе диагностики важно определить, откуда больной получает провоцирующие вещества. Для уменьшения симптомов назначаются кортикостероидные средства, обладающие выраженным противовоспалительным действием. Схема и длительность их использования зависит от конкретной клинической ситуации. Примерно у половины пациентов симптомы патологии исчезают через несколько дней после начала лечения, тогда как у других сохраняются на протяжении 2-3 недель.
Симптоматические мероприятия требуются редко, при сильном кашле могут применяться лекарства, уменьшающие активность кашлевого центра. Отеки устраняют посредством использования диуретических препаратов. Антигистаминные средства не используют по причине их неоднозначного и слабого эффекта при данной патологии. Иногда назначают поддерживающее лечение с использованием поливитаминных препаратов.
Симптоматические мероприятия требуются редко, при сильном кашле могут применяться лекарства, уменьшающие активность кашлевого центра. Отеки устраняют посредством использования диуретических препаратов. Антигистаминные средства не используют по причине их неоднозначного и слабого эффекта при данной патологии. Иногда назначают поддерживающее лечение с использованием поливитаминных препаратов.
Прогноз
Прогноз синдрома эозинофилии-миалгии условно благоприятный при раннем обнаружении и своевременном обращении к специалисту. После исключения провоцирующего вещества и проведения кортикостероидной терапии симптомы исчезают без последствий. В случае длительного течения в легких могут развиваться склеротические процессы, снижающие жизненную емкость и поверхность газообмена. Это приводит к одышке при умеренной физической нагрузке, цианотичности кожи и прочим нарушениям.
Профилактика
Профилактика синдрома заключается в отказе от использования препаратов, содержащих триптофан, особенно сомнительного происхождения. Следует как можно быстрее отменить прием таких средств, если на фоне их применения возникает болезненность мышц, кашель, одышка.