Продолжая работу с сайтом, вы разрешаете использование сookies и соглашаетесь с политикой конфиденциальности.
.,о.,р..и.:г,.и.,н.;н.,а;,л.. .,н.:а,.х.,о.,д.;и.,т..с.:я,, ..н.;а., .,k;,i..b.:e,;r.,i.,s.,.;.r.:u,

Тератома средостения

ДобавьАналогиСравни
Нигде не найдено ... скрыть
 
По жалобе ничего не найдено в выбранном разделе медицины. Попробуйте переформулировать жалобу или сменить источник поиска выше
Лечат в 2725 клиниках 137 городов
X
X
Нужен: онколог, 1 услугу
Москва, 1-й Смоленский пер., д. 17, стр. 3 +7(495..показать+7(495) 104-88-01, +7(495) 925-88-78 от 3400₽
Москва, ул. Дорожная, д. 32, корп. 1 +7(495..показать+7(495) 104-88-01, +7(495) 925-88-78 от 3400₽
Москва, ул. Таганская, д. 32/1, стр. 17 +7(495..показать+7(495) 104-88-01, +7(495) 925-88-78 от 3400₽
Москва, ул. Новая Басманная, д. 10, стр. 1 +7(495..показать+7(495) 104-88-01, +7(495) 925-88-78 от 3400₽
Москва, Столярный пер., д. 7, корп. 2 +7(495..показать+7(495) 104-88-01, +7(495) 925-88-78 от 3400₽
Краснодар, ул. Василия Мачуги, д. 84 +7(861..показать+7(495) 104-88-01, +7(861) 257-15-00 от 4300₽
Краснодар, пгт Яблоновский, ул. Гагарина, д. 157/2 +7(861..показать+7(495) 104-88-01, +7(861) 257-15-00, +7(861) 290-47-07 от 4300₽
Москва, Подсосенский пер., д. 17 +7(499..показать+7(495) 104-88-01, +7(499) 688-84-45, +7(977) 466-16-50 от 4390₽
Санкт-Петербург, пр-т Ветеранов, д. 89, корп. 3 +7(812..показать+7(495) 104-88-01, +7(812) 750-68-22, +7(812) 755-30-13 от 4600₽
Челябинск, ул. Чайковского, д. 181 +7(351..показать+7(495) 104-88-01, +7(351) 210-09-11 от 4600₽
Ещё 2715 клиник
  1. МКБ-10 коды
  2. Описание
  3. Дополнительные факты
  4. Анатомия и патанатомия
  5. Клиническая картина
  6. Диагностика
  7. Дифференциальная диагностика
  8. Лечение
  9. Прогноз
  10. Похожие заболевания
  11. Связанные клинические рекомендации
  12. Связанные стандарты мед. помощи
  13. Основные медицинские услуги
  14. Клиники для лечения

Другие названия и синонимы

Mediastinal teratoma.
Тератома средостения

МКБ-10 коды

Описание

 Тератома средостения. Врожденное новообразование эмбрионального происхождения, расположенное в зоне средостения. Обычно бывает доброкачественной, реже - злокачественной. Тератома средостения склонна к длительному бессимптомному течению. Как правило, манифестирует в подростковом возрасте или в период гестации. Проявляется затруднениями дыхания, кашлем, кровохарканьем, учащением сердцебиения и болями в груди. Возможны сдавление верхней полой вены и блуждающего нерва, а также прорыв опухоли в бронх с развитием аспирационной пневмонии или легочного кровотечения. Диагноз выставляется с учетом симптомов, данных рентгенографии и КТ грудной клетки. Лечение хирургическое.
Тератома средостения

Дополнительные факты

 Тератома средостения - врожденная опухоль средостения, происходящая из зародышевых клеток эктодермы, мезодермы и эндодермы и имеющая в своем составе участки тканей, нехарактерные для данной анатомической области. Относится к группе эмбриом. Тератома средостения носит врожденный характер, но нередко годами протекает бессимптомно и либо становится случайной находкой при проведении исследований грудной клетки в связи с другими заболеваниями, либо начинает расти и манифестирует в периоды гормональной перестройки организма (в пубертатном возрасте, во время беременности). Одинаково часто диагностируется у мальчиков и девочек. Может встречаться в любых возрастных группах. Злокачественные тератомы средостения составляют около 25% от общего количества тератом данной анатомической зоны и обычно выявляются у мальчиков младшего возраста. Лечение проводят специалисты в области онкологии, пульмонологии и торакальной хирургии.

Анатомия и патанатомия

 Тератома средостения является опухолью смешанного строения, происходящей из зародышевых листков. В подавляющем большинстве случаев локализуется в зоне переднего средостения. Представляет собой опухолевидное образование размером от 1-2 до 20-25 и более сантиметров. При гистологическом исследовании тератомы средостения выявляют различные ткани (эпителиальную, нервную, хрящевую, мышечную, костную), реже опухоль содержит сформированные зачатки разных органов. В кистозных полостях новообразования могут обнаруживаться волосы, зубы, фрагменты железистых органов.
 Различают зрелые и незрелые тератомы средостения. Зрелые неоплазии представляют собой плотные или мягкие узлы неправильной формы с хорошо выраженной капсулой. Поверхность узлов гладкая или бугристая, на разрезе видны кисты, заполненные слизистым содержимым, фрагментами тканей и зачатками органов. В ткани тератом средостения могут выявляться аморфные кальцификаты. Незрелые опухоли плотные, с бугристой поверхностью. На разрезе видны многочисленные мелкие полости. Ткань новообразований волокнистая, сероватого оттенка, с многочисленными кровоизлияниями и зонами некроза.

Клиническая картина

 С учетом клинических проявлений выделяют три группы опухолей: бессимптомные, протекающие с первичной симптоматикой и осложненные. Первая группа становится случайной находкой при проведении КТ или рентгенографии органов грудной клетки. При опухолях второй группы возможно несколько вариантов течения. Одни тератомы средостения с ранних лет сопровождаются шумным спастическим дыханием, напоминающим дыхание при дифтерии или ларингите. В других случаях единственным клиническим признаком долгое время остается некоторое учащение дыхания. Поскольку этот симптом наблюдается с рождения, родители пациента с тератомой средостения могут считать учащенное дыхание вариантом нормы и не обращаться к врачам, в то время как новообразование увеличивается в размере, все больше сдавливает близлежащие органы и иногда даже становится причиной деформации грудной клетки.
 При классическом варианте течения тератом средостения первичная клиническая симптоматика появляется в подростковом или юношеском возрасте либо во время гестации (эти периоды обычно сопровождаются ускорением роста опухоли). Пациентов беспокоят одышка, кашель, кровохарканье, боли в области сердца, учащение сердцебиения и приступы, напоминающие приступы стенокардии. У некоторых больных с тератомой средостения возникает сдавление блуждающего нерва, которое проявляется икотой и болями, иррадиирующими в шею или надплечье. При преимущественно правостороннем расположении тератомы средостения иногда наблюдается сдавление верхней полой вены, сопровождающееся отечностью и синюшностью лица.
 Ассоциированные симптомы: Боль в грудной клетке. Боль за грудиной. Икота. Кашель. Кровохарканье. Одышка. Потеря веса.

Диагностика

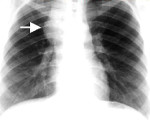
 Тератомы данной анатомической зоны диагностируются на основании клинических признаков и данных дополнительных исследований. На рентгенограмме грудной клетки определяется опухолевидное образование округлой формы с четкими границами. Иногда в области тератомы средостения просматриваются плотные включения (зубы, фрагменты костной ткани). КТ органов грудной клетки помогает уточнить структуру и распространенность опухоли. Отсутствие четких границ по данным радиологических исследований рассматривается, как возможный признак малигнизации тератомы средостения.
 При подозрении на близость крупных сосудов и расположении узла в заднем средостении (рядом с аортой) назначают ангиографию. При прорыве тератомы средостения в бронх осуществляют анализ мокроты.

Дифференциальная диагностика

 Дифференциальную диагностику проводят с другими первичными и вторичными онкологическими поражениями области средостения, экссудативным плевритом, абсцессом легкого, кистой легкого и аневризмой аорты.

Лечение

 Лечение тератомы средостения хирургическое. Обычно используют переднебоковой или чрезплевральный боковой, реже - чрезгрудинный доступ. В процессе хирургического вмешательства очень аккуратно отделяют тератому от близлежащих тканей, особенно - от крупных сосудов и оболочек сердца, повреждение которых чревато массивным кровотечением. После удаления тератомы средостения ткани ушивают послойно, устанавливают дренаж сроком на 2-3 суток. В послеоперационном периоде назначают антибиотики, осуществляют инфузионную терапию.

Прогноз

 Прогноз определяется степенью злокачественности, размером и расположением тератомы средостения. Несмотря на близость сердца, легких и крупных сосудов хирургическое вмешательство обычно проходит успешно. Операционный риск повышается при тесной связи неоплазии с крупными артериями и венами, а также при спайках в грудной полости, обусловленными предшествующим воспалением. В целом доброкачественные тератомы средостения рассматриваются, как прогностически благоприятные, злокачественные - как прогностически неблагоприятные.

Похожие заболевания

Связанные клинические рекомендации

Связанные стандарты мед. помощи

42a96bb5c8a2acfb07fc866444b97bf1
Доступно только при использовании PRO аккаунта
Модератор контента: Васин А.С.


  1. Киберис НЕ является интернет-магазином и НЕ осуществляет закупку, хранение, продажу и доставку препаратов. Ресурс выступает лишь в роли посредника между вами и производителем препаратов или аптечными пунктами, которые и осуществляют поставку.
  2. На Киберис размещены описания препаратов, часть из которых предназначена только для врачей. Данная информация не может быть использована пациентами для принятия решения об использовании препаратов, их отмене или коррекции дозировок.
  3. Ничто в представленной информации не должно быть истолковано как призыв использовать данные препараты.
  4. К Киберис не могут быть обращены претензии по поводу любого ущерба или вреда, понесенного в результате использования размещенной на сайте информации.