Другие названия и синонимы
Hemopericardium.
МКБ-10 коды
|
|
Описание
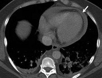
Гемоперикард. Кровоизлияние в полость перикарда, обусловленное повреждением сердца или кровеносных сосудов травматического, неопластического или идиопатического генеза. Гемоперикард проявляется симптомами развивающейся тампонады сердца: болью за грудиной, слабостью и потливостью, страхом смерти, цианозом, набуханием шейных вен, артериальной гипотонией, снижением сердечной деятельности. Диагноз гемоперикарда основан на анализе данных рентгенографии грудной клетки, ЭКГ и Эхо-КГ, перикардиоцентеза. Лечение гемоперикарда в случае ранения сердца заключается в срочном оперативном вмешательстве и остановке кровотечения; при развитии тампонады сердца - в проведении перикардиоцентеза или хирургического дренирования.
Дополнительные факты
Гемоперикард - опасное состояние, обусловленное наличием крови в околосердечной сумке, приводящим к сдавлению (тампонаде) сердца, резкому нарушению гемодинамики и сердечной деятельности. Острый массивный гемоперикард может приводить к развитию острой сердечной недостаточности и гибели больного. Гемоперикард рассматривается в кардиологии как частный случай перикардита, а именно - гидроперикарда.
Полость перикарда представляет собой щелевидное пространство между париетальным и висцеральным листком наружной тканевой оболочки сердца. Полость включает ряд изолированных пазух (синусов): передненижнюю (между грудино-реберной и диафрагмальной частью перикарда), поперечную (соединяющую заднюю часть перикарда с передней) и косую (внизу задней части перикарда между нижней полой и легочными венами). При гемоперикарде кровь скапливается в передненижней пазухе.
Полость перикарда представляет собой щелевидное пространство между париетальным и висцеральным листком наружной тканевой оболочки сердца. Полость включает ряд изолированных пазух (синусов): передненижнюю (между грудино-реберной и диафрагмальной частью перикарда), поперечную (соединяющую заднюю часть перикарда с передней) и косую (внизу задней части перикарда между нижней полой и легочными венами). При гемоперикарде кровь скапливается в передненижней пазухе.
Причины
В зависимости от причин кровотечения в перикардиальную полость различают гемоперикард травматического и нетравматического генеза. Наиболее часто к гемоперикарду приводят проникающие или тупые травмы грудной клетки (при ударе, падении), ранения перикарда (изолированные и сочетающиеся с ранением сердца), закрытые повреждения сердца и крупных сосудов.
Проникновение крови в полость перикарда с развитием гемоперикарда может наблюдаться после хирургического вмешательства на сердце и сосудах (в частности, при несостоятельности швов, наложенных на сердечную мышцу). При использовании во время операции на сердце трансстернального доступа без вскрытия плевры имеется опасность нарастающего гемоперикарда вследствие отсутствия оттока крови в плевральную полость. Перфорация сердца и развитие гемоперикарда может осложнять проведение диагностических и лечебных манипуляций: зондирования полостей сердца, ангиографии, биопсии миокарда и перикарда, имплантации водителя ритма, катетерной аблации дополнительных путей проведения, внутрисердечных инъекций, катетеризации центральной вены, стернальной пункции.
К возникновению нетравматического гемоперикарда приводят разрывы коронарных или перикардиальных сосудов, разрывы острой или хронической постинфарктной аневризмы сердца, прорыв аневризмы аорты в полость перикарда. Гемоперикард при разрывах сердца вследствие эхинококкоза миокарда, гуммозного миокардита, абсцесса миокарда ведет к смертельной тампонаде сердца.
Также гемоперикард может наблюдаться при первичных опухолях перикарда и миокарда (гемангиомах, ангиосаркомах), гемофилии, геморрагическом диатезе.
Проникновение крови в полость перикарда с развитием гемоперикарда может наблюдаться после хирургического вмешательства на сердце и сосудах (в частности, при несостоятельности швов, наложенных на сердечную мышцу). При использовании во время операции на сердце трансстернального доступа без вскрытия плевры имеется опасность нарастающего гемоперикарда вследствие отсутствия оттока крови в плевральную полость. Перфорация сердца и развитие гемоперикарда может осложнять проведение диагностических и лечебных манипуляций: зондирования полостей сердца, ангиографии, биопсии миокарда и перикарда, имплантации водителя ритма, катетерной аблации дополнительных путей проведения, внутрисердечных инъекций, катетеризации центральной вены, стернальной пункции.
К возникновению нетравматического гемоперикарда приводят разрывы коронарных или перикардиальных сосудов, разрывы острой или хронической постинфарктной аневризмы сердца, прорыв аневризмы аорты в полость перикарда. Гемоперикард при разрывах сердца вследствие эхинококкоза миокарда, гуммозного миокардита, абсцесса миокарда ведет к смертельной тампонаде сердца.
Также гемоперикард может наблюдаться при первичных опухолях перикарда и миокарда (гемангиомах, ангиосаркомах), гемофилии, геморрагическом диатезе.
Клиническая картина
Выраженность клинической симптоматики при гемоперикарде определяется объемом кровоизлияния в перикардиальную щель. При небольшом количестве излившейся в перикард крови сердечная функция не нарушается, и заболевание имеет бессимптомное течение.
При скоплении 150-200 мл крови повышается внутриперикардиальное давление, способствующее развитию тампонады сердца. Компрессия сердца при гемоперикарде приводит к снижению наполнения левого желудочка и сердечного выброса, нарушению притока крови в правое предсердие. Ишемию миокарда усиливает сдавление гемоперикардом коронарных артерий. Артериальная гипотония и нарушение кровотока приводят к анемии и гипоксии внутренних органов, в первую очередь мозга.
При гемоперикарде с развивающейся тампонадой сердца у больного отмечаются боль в области сердца, слабость, нарастающее чувство беспокойства и страха, потливость, цианоз кожных покровов и слизистых, обморочное состояние. Наблюдается тахикардия со слабым пульсом (пульсовое давление менее 10 ), тоны сердца - глухие, не прослушиваются, сердечный толчок не определяется, общее состояние пациента характеризуется как тяжелое. Видно набухание вен шеи, верхних конечностей и лица.
Ассоциированные симптомы: Боль в грудной клетке. Потливость.
При скоплении 150-200 мл крови повышается внутриперикардиальное давление, способствующее развитию тампонады сердца. Компрессия сердца при гемоперикарде приводит к снижению наполнения левого желудочка и сердечного выброса, нарушению притока крови в правое предсердие. Ишемию миокарда усиливает сдавление гемоперикардом коронарных артерий. Артериальная гипотония и нарушение кровотока приводят к анемии и гипоксии внутренних органов, в первую очередь мозга.
При гемоперикарде с развивающейся тампонадой сердца у больного отмечаются боль в области сердца, слабость, нарастающее чувство беспокойства и страха, потливость, цианоз кожных покровов и слизистых, обморочное состояние. Наблюдается тахикардия со слабым пульсом (пульсовое давление менее 10 ), тоны сердца - глухие, не прослушиваются, сердечный толчок не определяется, общее состояние пациента характеризуется как тяжелое. Видно набухание вен шеи, верхних конечностей и лица.
Ассоциированные симптомы: Боль в грудной клетке. Потливость.
Диагностика
Диагноз гемоперикарда устанавливается кардиохирургом на основании характерных клинических проявлений, изучения возможных причин заболевания, данных рентгенографии грудной клетки, электрокардиографии (ЭКГ), эхокардиографии (ЭхоКГ), перикардиоцентеза.
Учитывают внезапность развития симптомов, вероятность получения травмы грудной клетки, факт проведения хирургических или диагностических вмешательств на сердце и сосудах, наличие подозрения на опухоль средостения, аневризму сердца или аорты, инфекционный миокардит Обследование больного с гемоперикардом позволяет аускультативно выявить глухость сердечных тонов или их отсутствие, расширение перкуторных границ абсолютной и относительной сердечной тупости, пальпаторно определить исчезновение верхушечного толчка.
Для электрокардиограммы при гемоперикарде характерно снижение вольтажа желудочковых комплексов, наличие изменений, отражающих основную патологию сердца (инфаркт миокарда). При эхокардиографии разрыв эхосигналов между стенками сердца и перикардом позволяет обнаружить наличие даже небольшого по размерам гемоперикарда.
Подтверждением диагноза гемоперикарда при рентгенографии органов грудной клетки является увеличение тени сердца во всех направлениях, сглаженность сердечных дуг, уменьшение амплитуды или отсутствие пульсации контуров. При удовлетворительном состоянии больного с гемоперикардом выполняют динамическое рентгенологическое исследование, позволяющее установить скорость накопления крови в перикарде по нарастанию тени сердца.
Для уточнения этиологии гемоперикарда возможно проведение дополнительного обследования: перикардиоскопии, перикардиальной биопсии, при необходимости - диагностической пункции перикарда (перикардиоцентеза), цитологического, бактериологического анализа перикардиальной жидкости. Прогрессирование тампонады сердца при гемоперикарде затрудняет дополнительное обследование больного и постановку точного диагноза.
Необходимо проводить дифференциальную диагностику гемоперикарда с невоспалительным гидроперикардом, хилоперикардом, пневмоперикардом, острым экссудативным перикардитом (серозно-фиброзным, геморрагическим) и миокардитом.
Учитывают внезапность развития симптомов, вероятность получения травмы грудной клетки, факт проведения хирургических или диагностических вмешательств на сердце и сосудах, наличие подозрения на опухоль средостения, аневризму сердца или аорты, инфекционный миокардит Обследование больного с гемоперикардом позволяет аускультативно выявить глухость сердечных тонов или их отсутствие, расширение перкуторных границ абсолютной и относительной сердечной тупости, пальпаторно определить исчезновение верхушечного толчка.
Для электрокардиограммы при гемоперикарде характерно снижение вольтажа желудочковых комплексов, наличие изменений, отражающих основную патологию сердца (инфаркт миокарда). При эхокардиографии разрыв эхосигналов между стенками сердца и перикардом позволяет обнаружить наличие даже небольшого по размерам гемоперикарда.
Подтверждением диагноза гемоперикарда при рентгенографии органов грудной клетки является увеличение тени сердца во всех направлениях, сглаженность сердечных дуг, уменьшение амплитуды или отсутствие пульсации контуров. При удовлетворительном состоянии больного с гемоперикардом выполняют динамическое рентгенологическое исследование, позволяющее установить скорость накопления крови в перикарде по нарастанию тени сердца.
Для уточнения этиологии гемоперикарда возможно проведение дополнительного обследования: перикардиоскопии, перикардиальной биопсии, при необходимости - диагностической пункции перикарда (перикардиоцентеза), цитологического, бактериологического анализа перикардиальной жидкости. Прогрессирование тампонады сердца при гемоперикарде затрудняет дополнительное обследование больного и постановку точного диагноза.
Необходимо проводить дифференциальную диагностику гемоперикарда с невоспалительным гидроперикардом, хилоперикардом, пневмоперикардом, острым экссудативным перикардитом (серозно-фиброзным, геморрагическим) и миокардитом.
Лечение
В случае подозрения на гемоперикард необходима немедленная госпитализация больного в отделение кардиохирургии. Лечение гемоперикарда направлено на уменьшение давления на сердце, нормализацию сократительной способности сердечной мышцы и ликвидацию причин развития заболевания.
При небольших размерах гемоперикарда, не приводящих к нарушению сердечной деятельности, проводят консервативную терапию: пациенту показан покой, холод на область сердца, назначение гемостатиков, обезболивающих и сердечных препаратов.
При ранении сердца и сосудов показано срочное оперативное вмешательство с целью устранения причины кровотечения в перикардиальную щель; при нарастании гемоперикарда и явных признаках развития тампонады сердца - хирургическое дренирование полости перикарда или пункция перикарда (перикардиоцентез) с аспирацией скопившейся крови. Перикардиоцентез при гемоперикарде выполняют под обязательным контролем ЭКГ, ЭхоКГ и мониторингом показателей гемодинамики.
Одновременно проводятся реанимационные мероприятия по полному возмещению кровопотери и восстановлению гомеостаза. В зависимости от этиологии гемоперикарда в дальнейшем проводится лечение основного заболевания.
При небольших размерах гемоперикарда, не приводящих к нарушению сердечной деятельности, проводят консервативную терапию: пациенту показан покой, холод на область сердца, назначение гемостатиков, обезболивающих и сердечных препаратов.
При ранении сердца и сосудов показано срочное оперативное вмешательство с целью устранения причины кровотечения в перикардиальную щель; при нарастании гемоперикарда и явных признаках развития тампонады сердца - хирургическое дренирование полости перикарда или пункция перикарда (перикардиоцентез) с аспирацией скопившейся крови. Перикардиоцентез при гемоперикарде выполняют под обязательным контролем ЭКГ, ЭхоКГ и мониторингом показателей гемодинамики.
Одновременно проводятся реанимационные мероприятия по полному возмещению кровопотери и восстановлению гомеостаза. В зависимости от этиологии гемоперикарда в дальнейшем проводится лечение основного заболевания.
|
|