Другие названия и синонимы
Exudative pericarditis, Выпотной перикардит.
МКБ-10 коды
|
|
Описание
Экссудативный перикардит. Воспаление серозного перикарда, сопровождающееся накоплением выпота в перикардиальном пространстве. Признаками экссудативного перикардита могут быть тяжесть и боль в груди, одышка, дисфагия, кашель и осиплость голоса, отечность лица, набухание шейных вен, симптомы сердечной недостаточности и тампонады сердца. Установить диагноз экссудативного перикардита помогают результаты рентгенографии, ЭхоКГ и ЭКГ, мультиспиральной КТ, пункции перикарда. Лечение экссудативного перикардита включает прием НПВС, кортикостероидов, терапию основного заболевания (антибиотики, цитостатики, противотуберкулезные препараты ), по показаниям - пункцию перикарда, перикардэктомию.
Дополнительные факты
Экссудативный (выпотной) перикардит протекает как осложнение или клиническое проявление различных заболеваний сердца, легких и других внутренних органов. Формирование экссудативного перикардита в большинстве случаев включает стадию сухого перикардита, реже экссудат накапливается в перикардиальной щели с самого начала. Образование экссудата обусловлено повышением проницаемости сосудов серозной оболочки сердца при воспалительном процессе в перикарде.
Гемодинамическое значение выпота при экссудативном перикардите зависит от объема, скорости поступления жидкости и адаптивного потенциала наружного листка перикарда. При медленном поступлении экссудата за счет растяжения и увеличения объема перикарда внутриперикардиальное давление и внутрисердечная гемодинамика длительное время заметно не изменяются. При экссудативном перикардите может накапливаться до 1-2 л жидкости, приводящей к сдавлению прилегающих к сердцу органов и нервных путей. При быстром накоплении выпота и невозможности перикарда увеличить свой объем отмечается существенный подъем давления в перикардиальной полости и развитие тампонады сердца.
Выпот при экссудативном перикардите со временем может подвергаться организации с замещением грануляционной тканью, приводящим к утолщению перикарда с сохранением перикардиального пространства или его облитерацией.
Гемодинамическое значение выпота при экссудативном перикардите зависит от объема, скорости поступления жидкости и адаптивного потенциала наружного листка перикарда. При медленном поступлении экссудата за счет растяжения и увеличения объема перикарда внутриперикардиальное давление и внутрисердечная гемодинамика длительное время заметно не изменяются. При экссудативном перикардите может накапливаться до 1-2 л жидкости, приводящей к сдавлению прилегающих к сердцу органов и нервных путей. При быстром накоплении выпота и невозможности перикарда увеличить свой объем отмечается существенный подъем давления в перикардиальной полости и развитие тампонады сердца.
Выпот при экссудативном перикардите со временем может подвергаться организации с замещением грануляционной тканью, приводящим к утолщению перикарда с сохранением перикардиального пространства или его облитерацией.
Классификация
По составу воспалительной жидкости различают серозный, серозно-фиброзный, геморрагический, гнойный, гнилостный, холестериновый виды экссудатов. Серозный экссудат образуется на ранних стадиях воспаления и состоит преимущественно из воды и альбуминов; серозно-фибринозный имеет значительное число нитей фибрина; геморрагический связан с тяжелым повреждением сосудов и включает большое количество эритроцитов; гнойный - содержит много лейкоцитов и фрагменты некротизированных тканей. Гнилостный (ихорозный) экссудат возникает при попадании в воспалительный выпот анаэробной микрофлоры.
По клиническому течению экссудативный перикардит может быть острый или хронический; сопровождающийся развитием тампонады сердца или без таковой.
По клиническому течению экссудативный перикардит может быть острый или хронический; сопровождающийся развитием тампонады сердца или без таковой.
Причины
Экссудативный перикардит редко наблюдается как самостоятельная патология, обычно он является частным проявлением полисерозита или следствием другого заболевания, приводящего к повреждению перикарда. По происхождению выделяют инфекционные (специфические и неспецифические), неинфекционные (иммуногенные, токсические, механические) и идиопатические экссудативные перикардиты. Неспецифические экссудативные перикардиты чаще вызываются кокковыми формами бактерий (стафилококком, стрептококком, пневмококком) и вирусами (гриппа, ECHO, Коксаки); специфические - возбудителями туберкулеза, брюшного тифа, бруцеллеза и туляремии. Реже встречаются грибковые (при кандидозе, гистоплазмозе), протозойные (при амебиазе, эхинококкозе) и риккетсиозные поражения перикарда.
Туберкулезный экссудативный перикардит часто развивается при лимфогенном проникновении микобактерий из средостенных и трахеобронхиальных лимфоузлов в перикард. Гнойный экссудативный перикардит может развиться после операций на сердце, при инфекционном эндокардите, на фоне иммуносупрессивной терапии, при прорыве абсцесса легкого.
Неинфекционные экссудативные перикардиты наблюдаются при злокачественных опухолях перикарда (мезотелиоме), инвазии и метастазах при раке легкого, раке молочной железы, лейкозах, лимфоме; аллергических процессах (сывороточной болезни), уремии в терминальной стадии ХПН; диффузных заболеваниях соединительной ткани (ревматизме, системной красной волчанке); после облучения средостения. Экссудативный перикардит может возникать в ранние сроки инфаркта миокарда (эпистенокардический перикардит), при гипотиреозе, нарушении холестеринового обмена (ксантоматозный перикардит). Во многих случаях этиологию экссудативного перикардита установить не удается.
Туберкулезный экссудативный перикардит часто развивается при лимфогенном проникновении микобактерий из средостенных и трахеобронхиальных лимфоузлов в перикард. Гнойный экссудативный перикардит может развиться после операций на сердце, при инфекционном эндокардите, на фоне иммуносупрессивной терапии, при прорыве абсцесса легкого.
Неинфекционные экссудативные перикардиты наблюдаются при злокачественных опухолях перикарда (мезотелиоме), инвазии и метастазах при раке легкого, раке молочной железы, лейкозах, лимфоме; аллергических процессах (сывороточной болезни), уремии в терминальной стадии ХПН; диффузных заболеваниях соединительной ткани (ревматизме, системной красной волчанке); после облучения средостения. Экссудативный перикардит может возникать в ранние сроки инфаркта миокарда (эпистенокардический перикардит), при гипотиреозе, нарушении холестеринового обмена (ксантоматозный перикардит). Во многих случаях этиологию экссудативного перикардита установить не удается.
Клиническая картина
Проявления экссудативного перикардита зависят от скорости накопления жидкости, степени сдавления сердца и выраженности воспалительного процесса в перикарде. Вначале основными жалобами являются тяжесть и ноющие боли в грудной клетке. По мере накопления жидкости в полости перикарда, в связи с механическим сдавлением рядом расположенных органов, возникает одышка, дисфагия, «лающий» кашель, осиплость голоса. Характерна отечность лица и шеи, набухание шейных вен на вдохе, постепенное развитие симптомов сердечной недостаточности. Шум трения перикарда не характерен, но может выслушиваться при умеренном выпоте в определенном положении тела больного.
Имеют место общие проявления, связанные с причиной развития экссудативного перикардита: при инфекционном генезе - озноб, лихорадка, интоксикация; при хроническом туберкулезном процессе добавляется потливость, отсутствие аппетита, похудание, гепатомегалия. При гнойном экссудативном перикардите возможны инфекционные очаги в близлежащих органах, септический процесс. Эпистенокардический экссудативный перикардит возникает в течение 4-хсуток суток после инфаркта миокарда и проявляется одышкой, ортопноэ, набуханием шейных вен. Ревматический перикардит обычно развивается на фоне тяжелого панкардита; уремический - сопровождается клинической картиной ХПН.
Ассоциированные симптомы: Боль в грудной клетке. Боль в сердце. Кашель. Лающий кашель. Одышка. Озноб. Опухание шеи. Осиплость голоса. Отек. Отсутствие аппетита. Потливость. Пульсация сосудов шеи. Тяжесть в груди.
Имеют место общие проявления, связанные с причиной развития экссудативного перикардита: при инфекционном генезе - озноб, лихорадка, интоксикация; при хроническом туберкулезном процессе добавляется потливость, отсутствие аппетита, похудание, гепатомегалия. При гнойном экссудативном перикардите возможны инфекционные очаги в близлежащих органах, септический процесс. Эпистенокардический экссудативный перикардит возникает в течение 4-хсуток суток после инфаркта миокарда и проявляется одышкой, ортопноэ, набуханием шейных вен. Ревматический перикардит обычно развивается на фоне тяжелого панкардита; уремический - сопровождается клинической картиной ХПН.
Ассоциированные симптомы: Боль в грудной клетке. Боль в сердце. Кашель. Лающий кашель. Одышка. Озноб. Опухание шеи. Осиплость голоса. Отек. Отсутствие аппетита. Потливость. Пульсация сосудов шеи. Тяжесть в груди.
Диагностика
Установить диагноз экссудативного перикардита и дифференцировать его от других заболеваний сердца (острого инфаркта миокарда, острого миокардита) помогают данные осмотра, рентгенографии грудной клетки, ЭКГ и ЭхоКГ, мультиспиральной КТ, пункции перикарда.
У больных с экссудативным перикардитом отмечается небольшое выбухание передней грудной стенки и легкая отечность в прекадиальной области, ослабление или исчезновение верхушечного толчка, расширение границ относительной и абсолютной сердечной тупости, притупление перкуторного тона под углом левой лопатки. О развитии тампонады сердца свидетельствует увеличение ЦВД, падение АД, тахикардия с преходящей аритмией, парадоксальный пульс.
На рентгенограмме при значительном объеме жидкости наблюдается увеличение тени и сглаживание сердечного контура, изменение формы сердца (треугольная - при длительно существующем хроническом экссудате), ослабление пульсации сердца.
Наиболее точный и специфичный метод диагностики экссудативного перикардита даже с небольшим объемом выпота - ЭхоКГ, визуализирующая наличие эхонегативного (свободного) пространства между листками перикарда, диастолическую сепарацию париетальной пластинки и эпикарда, утолщение перикарда. В тяжелых случаях отмечается нарушение ритмичных движений сердца, при тампонаде - диастолический коллапс правых отделов сердца.
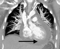
ЭКГ в случае экссудативного перикардита выявляет снижение амплитуды всех зубцов. Мультиспиральная КТ подтверждает наличие патологического выпота и утолщение перикардиальных листков. Для уточнения причины экссудации и верификации диагноза экссудативного перикардита выполняют пункцию перикарда и исследование характера перикардиальной жидкости (общеклиническое, бактериологическое, цитологическое, анализ на AHAT и LE-клетки). Возможно проведение биопсии перикарда с морфологическим исследованием полученной ткани.
У больных с экссудативным перикардитом отмечается небольшое выбухание передней грудной стенки и легкая отечность в прекадиальной области, ослабление или исчезновение верхушечного толчка, расширение границ относительной и абсолютной сердечной тупости, притупление перкуторного тона под углом левой лопатки. О развитии тампонады сердца свидетельствует увеличение ЦВД, падение АД, тахикардия с преходящей аритмией, парадоксальный пульс.
На рентгенограмме при значительном объеме жидкости наблюдается увеличение тени и сглаживание сердечного контура, изменение формы сердца (треугольная - при длительно существующем хроническом экссудате), ослабление пульсации сердца.
Наиболее точный и специфичный метод диагностики экссудативного перикардита даже с небольшим объемом выпота - ЭхоКГ, визуализирующая наличие эхонегативного (свободного) пространства между листками перикарда, диастолическую сепарацию париетальной пластинки и эпикарда, утолщение перикарда. В тяжелых случаях отмечается нарушение ритмичных движений сердца, при тампонаде - диастолический коллапс правых отделов сердца.
ЭКГ в случае экссудативного перикардита выявляет снижение амплитуды всех зубцов. Мультиспиральная КТ подтверждает наличие патологического выпота и утолщение перикардиальных листков. Для уточнения причины экссудации и верификации диагноза экссудативного перикардита выполняют пункцию перикарда и исследование характера перикардиальной жидкости (общеклиническое, бактериологическое, цитологическое, анализ на AHAT и LE-клетки). Возможно проведение биопсии перикарда с морфологическим исследованием полученной ткани.
|
|
Лечение
Лечение экссудативного перикардита проводят в стационаре, тактика ведения больных определяется объемом и этиологией патологии, выраженностью гемодинамических нарушений. При остром процессе в перикарде необходим мониторинг показателей АД, ЧСС, ЦВД. Для снятия болевого синдрома, лихорадки и более скорого рассасывания выпота при экссудативном перикардите назначают НПВС (ибупрофен, индометацин), глюкокортикостероиды (преднизолон). Проводят активное лечение основного заболевания с применением антибактериальных, противотуберкулезных, цитостатических препаратов, проведением гемодиализа.
Пункция перикарда при экссудативном перикардите показана для эвакуации большого скопления жидкости, не рассасывающейся в течение 2-3 недель; при тампонаде сердца и гнойном перикардите. Если после повторных пункций и дренирования перикардиальный выпот продолжает быстро накапливаться, выполняют перикардэктомию.
Пункция перикарда при экссудативном перикардите показана для эвакуации большого скопления жидкости, не рассасывающейся в течение 2-3 недель; при тампонаде сердца и гнойном перикардите. Если после повторных пункций и дренирования перикардиальный выпот продолжает быстро накапливаться, выполняют перикардэктомию.
Прогноз
Основным осложнением острого экссудативного перикардита является тампонада сердца. В 30% случаев при распространении воспаления на миокард предсердий может возникать пароксизмальная мерцательная аритмия или суправентрикулярная тахикардия. Возможен переход экссудативного перикардита в хронический и констриктивный. В случае развития тампонады сердца существует высокий риск летального исхода. Прогноз экссудативного перикардита зависит от причины поражения перикарда и своевременности лечения; при отсутствии тампонады сердца он относительно благоприятный.
Профилактика
Профилактика экссудативного перикардита заключается в предупреждении и ранней этиопатогенетической терапии тех заболеваний, которые могут приводить к его развитию. В этой связи вопрос профилактики экссудативного перикардита является актуальным не только для кардиологии, но и ревматологии, пульмонологии и фтизиатрии, онкологии, аллергологии.