Другие названия и синонимы
Coelomic cyst of the pericardium.
МКБ-10 коды
- МКБ-10
- I31 Другие болезни перикарда
|
|
Описание
Целомическая киста перикарда. Тонкостенное жидкостное образование, связанное с перикардиальной оболочкой посредством ножки или спаянное с ней. Течение кист часто бессимптомное; однако большие образования могут вызывать одышку, кашель, дискомфорт в области сердца, сердцебиение, аритмию. Целомические кисты перикарда выявляются с помощью рентгенологических исследований (рентгеноскопии, рентгенографии гр. клетки, КТ, пневмомедиастинографии), ультразвуковой эхокардиографии, торакоскопии. В связи с существующим риском нагноения или разрыва целомической кисты перикарда рекомендуется ее хирургическое удаление.
Дополнительные факты
Целомическая киста перикарда - дизонтогенетическое полостное образование, заполненное бесцветной жидкостью, структурно и анатомически связанное с перикардом. Впервые патология была описана в сер. XIX в. и названа «дивертикулом перикарда» на основании предположения, что киста представляет собой выпячивание париетального листка околосердечной сумки. Однако в 40-е годы XX века было доказано, что образование является результатом аномалии развития эмбриональной полости - целома, а заболевание получило название «целомическая киста перикарда». Среди всех объемных образований средостения целомические кисты перикарда составляют от 4 до 10%. Большинство случаев заболевания выявляется в возрасте 20-40 лет, у женщин в 2-3 раза чаще. Рассмотрением клинических аспектов патологии занимаются специалисты в области кардиологии и торакальной хирургии.
Классификация
Систематизация патологии основана на нескольких критериях. По происхождению целомические кисты перикарда бывают врожденными и приобретенными (воспалительными или травматическими). Чаще всего кисты располагаются в области правого (60%) или левого (30%) кардиодиафрагмального угла, реже (10%) - в переднем средостении или других его отделах.
В зависимости от наличия/отсутствия сообщения с перикардиальной полостью различают:
• параперикардиальные кисты (связанные с перикардом посредством тонкой ножки или плоскостного сращения;
• перикардиальные (сообщающиеся) кисты, или дивертикулы перикарда;
• экстрапаракардиальные (отшнуровавшиеся) кисты.
Целомические кисты перикарда бывают одно- или многокамерными. По клиническому течению они подразделяются на бессимптомные, неосложненные и осложненные.
В зависимости от наличия/отсутствия сообщения с перикардиальной полостью различают:
• параперикардиальные кисты (связанные с перикардом посредством тонкой ножки или плоскостного сращения;
• перикардиальные (сообщающиеся) кисты, или дивертикулы перикарда;
• экстрапаракардиальные (отшнуровавшиеся) кисты.
Целомические кисты перикарда бывают одно- или многокамерными. По клиническому течению они подразделяются на бессимптомные, неосложненные и осложненные.
Причины
Существует две основные теории происхождения целомических кист перикарда: первая из них объясняет образование кист нарушением эмбриогенеза, вторая - воспалительными поражениями и травмами перикарда. Сторонники первой точки зрения связывают появление кист с врожденной слабостью определенных участков перикарда, что приводит к выпячиванию серозной оболочки по типу дивертикула. Такие кисты имеют сообщение с полостью околосердечной сумки и в дальнейшем могут отшнуровываться, образуя изолированную кисту. Другой возможный механизм формирования врожденной целомической кисты перикарда - нарушение слияния эмбриональных лакун, которые в норме, объединяясь, образуют перикардиальную полость (целом). Неравномерное развитие одной из таких лакун может дать начало истинному дивертикулу или отшнуровавшейся кисте перикарда. Этой теории придерживается большинство современных зарубежных и отечественных исследователей.
Вторая точка зрения, связывающая образование целомических кист с воспалительными процессами или механическими повреждениями в области перикарда, менее популярна. Тем не менее, нельзя отрицать вероятность возникновения кист в связи с перенесенным перикардитом, гематомами в области сердца, распадом опухолей. Киста может иметь округлую, овальную или грушевидную форму. Средний диаметр полости кисты составляет 3-8 тд Наибольшими размерами отличаются замкнутые кисты; дивертикулы, напротив, имеют небольшие размеры. Стенки целомической кисты перикарда тонкие, с гладкой, блестящей внутренней поверхностью. Микроскопическое строение стенки повторяет структуру перикарда. Изнутри киста выстлана клетками мезотелия, наружный слой образован зрелой соединительной тканью, пронизанной сосудами. Мышечные волокна в стенке целомической кисты перикарда отсутствуют. Содержимое кистозной полости - бесцветная прозрачная жидкость, содержащая небольшое количество белка и много солей. При травмах или инфицировании кисты содержимое становится геморрагическим или гнойным.
Вторая точка зрения, связывающая образование целомических кист с воспалительными процессами или механическими повреждениями в области перикарда, менее популярна. Тем не менее, нельзя отрицать вероятность возникновения кист в связи с перенесенным перикардитом, гематомами в области сердца, распадом опухолей. Киста может иметь округлую, овальную или грушевидную форму. Средний диаметр полости кисты составляет 3-8 тд Наибольшими размерами отличаются замкнутые кисты; дивертикулы, напротив, имеют небольшие размеры. Стенки целомической кисты перикарда тонкие, с гладкой, блестящей внутренней поверхностью. Микроскопическое строение стенки повторяет структуру перикарда. Изнутри киста выстлана клетками мезотелия, наружный слой образован зрелой соединительной тканью, пронизанной сосудами. Мышечные волокна в стенке целомической кисты перикарда отсутствуют. Содержимое кистозной полости - бесцветная прозрачная жидкость, содержащая небольшое количество белка и много солей. При травмах или инфицировании кисты содержимое становится геморрагическим или гнойным.
Клиническая картина
По данным исследователей, от 30 до 50% целомических кист перикарда протекают бессимптомно. Такие образования обнаруживаются при профилактической флюорографии. В остальных случаях кисты сопровождаются полиморфной клинической симптоматикой, зависящей от расположения и размеров целомической кисты перикарда.
Ассоциированные симптомы: Глубокий сухой кашель. Кашель. Одышка.
Ассоциированные симптомы: Глубокий сухой кашель. Кашель. Одышка.
Диагностика
При наличии названной симптоматики пациенты обычно обращаются за медицинской помощью к кардиологу или пульмонологу. Физикальными признаками, сопутствующими целомическим кистам перикарда, могут служить выбухание грудной стенки в проекции локализации кисты, ослабление дыхания, притупление перкуторного звука, сосудистые шумы, тахикардия. При кистах, спаянных с перикардом, могут регистрироваться изменения на ЭКГ.
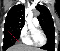
Стандартный алгоритм обследования пациентов с целомической кистой перикарда включает обязательную рентгенологическую диагностику: рентгеноскопию и рентгенографию грудной клетки, рентгеноскопию сердца с контрастированием пищевода. Рентгенологически целомическая киста перикарда определяется как шаровидная или овальная тень, обычно локализующаяся в кардиодиафрагмальном синусе. Наружный контур тени четкий, внутренний обычно сливается с тенью сердца, а нижний - с тенью диафрагмы. Характерно наличие передаточной пульсации. Раньше для диагностики целомических кист перикарда широко использовалась пневмомедиастинография, однако на современном этапе ее успешно заменила КТ грудной клетки.
Визуализировать целомическую кисту перикарда, оценить ее взаимоотношения с сердцем, а также провести дифференциальную диагностику позволяет эхокардиография. Иногда для уточнения диагноза применяется пункция кисты с эвакуацией содержимого и последующим определением биохимического и электролитного состава жидкости. При трудностях дифференциальной диагностики выполняется торакоскопия. В процессе обследования исключаются другие заболевания: опухоли сердца, диафрагмальная грыжа, абдоминомедиастинальная липома, эхинококковая киста.
Стандартный алгоритм обследования пациентов с целомической кистой перикарда включает обязательную рентгенологическую диагностику: рентгеноскопию и рентгенографию грудной клетки, рентгеноскопию сердца с контрастированием пищевода. Рентгенологически целомическая киста перикарда определяется как шаровидная или овальная тень, обычно локализующаяся в кардиодиафрагмальном синусе. Наружный контур тени четкий, внутренний обычно сливается с тенью сердца, а нижний - с тенью диафрагмы. Характерно наличие передаточной пульсации. Раньше для диагностики целомических кист перикарда широко использовалась пневмомедиастинография, однако на современном этапе ее успешно заменила КТ грудной клетки.
Визуализировать целомическую кисту перикарда, оценить ее взаимоотношения с сердцем, а также провести дифференциальную диагностику позволяет эхокардиография. Иногда для уточнения диагноза применяется пункция кисты с эвакуацией содержимого и последующим определением биохимического и электролитного состава жидкости. При трудностях дифференциальной диагностики выполняется торакоскопия. В процессе обследования исключаются другие заболевания: опухоли сердца, диафрагмальная грыжа, абдоминомедиастинальная липома, эхинококковая киста.
Лечение
Пункционный метод лечения целомической кисты перикарда неоправдан, поскольку дает лишь временный эффект. В дальнейшем вновь происходит накопление жидкости и увеличение образования в размерах. Склерозирование кисты также нецелесообразно, поскольку при введении склерозант может попадать в полость перикарда и вызывать констриктивный перикардит.
Хирургическое удаление кисты перикарда является самым радикальным методом лечения, позволяющим навсегда избавиться от заболевания и избежать осложнений. При этом может использоваться передне-боковая или боковая торакотомия либо торакоскопия. Обычно целомическую кисту перикарда вылущивают целиком, без нарушения целостности стенок. Перевязка и отсечение ножки кисты производится в непосредственной близости от перикарда. При кисте большого размера предварительно производится ее пункционное опорожнение.
Течение послеоперационного периода обычно гладкое. Все имевшие место до операции симптомы быстро регрессируют. При осложненном характере течения целомической кисты перикарда (нагноении, прорыве в бронхи или плевральную полость, малигнизации стенки и тд ) прогноз серьезный.
Хирургическое удаление кисты перикарда является самым радикальным методом лечения, позволяющим навсегда избавиться от заболевания и избежать осложнений. При этом может использоваться передне-боковая или боковая торакотомия либо торакоскопия. Обычно целомическую кисту перикарда вылущивают целиком, без нарушения целостности стенок. Перевязка и отсечение ножки кисты производится в непосредственной близости от перикарда. При кисте большого размера предварительно производится ее пункционное опорожнение.
Течение послеоперационного периода обычно гладкое. Все имевшие место до операции симптомы быстро регрессируют. При осложненном характере течения целомической кисты перикарда (нагноении, прорыве в бронхи или плевральную полость, малигнизации стенки и тд ) прогноз серьезный.
|
|