Другие названия и синонимы
Pericardial mesothelioma.
МКБ-10 коды
- МКБ-10
- C45.2 Мезотелиома перикарда
|
|
Описание
Мезотелиома перикарда. Редкая опухоль, часто злокачественного течения, возникающая из мезотелиальных клеток перикарда. Клинически мезотелиома перикарда проявляется болью в области сердца, экссудативным перикардитом, одышкой, отеками, нарушениями сердечной деятельности. При постановке диагноза мезотелиомы используют данные рентгенографии грудной клетки, УЗИ сердца, ЭКГ, КТ и МРТ сердца, сцинтиграфии, пункции перикарда, торакоскопии с биопсией перикарда. При локализованной форме мезотелиомы перикарда проводят иссечение опухолевого узла, при диффузной форме - тотальную перикардэктомию.
Дополнительные факты
В кардиологии мезотелиома перикарда относится к разряду первичных опухолей, которая изначально развивается в околосердечной сумке. Свое название мезотелиома получила благодаря происхождению из клеток мезотелия - однослойного плоского эпителия, покрывающего серозные оболочки внутренних органов. Кроме мезотелиомы перикарда встречаются мезотелиальные опухоли других локализаций - мезотелиома плевры (почти 75% случаев), мезотелиома брюшины (10-20% случаев), мезотелиома яичка.
По морфологическим критериям различают доброкачественную фиброзную и злокачественную мезотелиому перикарда. Злокачественная мезотелиома перикарда встречается в трех гистологических вариантах: 50-70% составляет эпителиоидный рак (аденокарцинома), 7-20% - саркоматозный тип (ангиоэндотелиома), 20-35 - смешанный раково-саркоматозный тип.
Мезотелиома перикарда может иметь узловую, диффузную и диффузно-узловую формы роста; иногда она покрывает сердце, подобно панцирю. Злокачественная мезотелиома перикарда обладает способностью к инвазивному росту и метастазированию, как правило, лимфогенным путем. Мезотелиома перикарда может встречаться в любом возрасте (чаще после 50 лет), заболеваемость у мужчин выше, чем у женщин. В клинической практике стадийность выделяют только у мезотелиомы плевры, как у самой распространенной мезотелиальной опухоли.
По морфологическим критериям различают доброкачественную фиброзную и злокачественную мезотелиому перикарда. Злокачественная мезотелиома перикарда встречается в трех гистологических вариантах: 50-70% составляет эпителиоидный рак (аденокарцинома), 7-20% - саркоматозный тип (ангиоэндотелиома), 20-35 - смешанный раково-саркоматозный тип.
Мезотелиома перикарда может иметь узловую, диффузную и диффузно-узловую формы роста; иногда она покрывает сердце, подобно панцирю. Злокачественная мезотелиома перикарда обладает способностью к инвазивному росту и метастазированию, как правило, лимфогенным путем. Мезотелиома перикарда может встречаться в любом возрасте (чаще после 50 лет), заболеваемость у мужчин выше, чем у женщин. В клинической практике стадийность выделяют только у мезотелиомы плевры, как у самой распространенной мезотелиальной опухоли.
Причины
Этиологическими факторами, способствующими развитию мезотелиомы перикарда, являются длительный контакт с асбестсодержащими материалами, воздействие ионизирующего облучения, генетическая предрасположенность (наличие редких семейных форм).
Работники разных профессий, которые по роду деятельности находятся в длительном и интенсивном контакте с асбестовой пылью, особенно в молодом возрасте, имеют повышенный риск развития злокачественной мезотелиомы перикарда и рака легких. Причем эти серьезные заболевания могут диагностироваться спустя 20-50 лет после контакта с канцерогеном.
Работники разных профессий, которые по роду деятельности находятся в длительном и интенсивном контакте с асбестовой пылью, особенно в молодом возрасте, имеют повышенный риск развития злокачественной мезотелиомы перикарда и рака легких. Причем эти серьезные заболевания могут диагностироваться спустя 20-50 лет после контакта с канцерогеном.
Клиническая картина
Клиническая картина мезотелиомы перикарда может быть разнообразной, схожей по проявлениям с другими заболеваниями: перикардитом, инфарктом миокарда, идиопатическим миокардитом, ревматизмом, бронхогенным раком. На ранних стадиях симптомы не специфичны, слабо выражены и начинают беспокоить больного при достижении опухолью больших размеров.
Клинически мезотелиома перикарда проявляется тупой болью в груди, одышкой, отеками, нарушением проводимости и ритма сердца, тахикардией, артериальной гипотонией, на поздних стадиях - симптомами тампонады сердца. Боли в области сердца могут быть обусловлены ростом (инвазией - в случае злокачественного типа) мезотелиомы перикарда и скоплением перикардиального выпота вследствие высокой секретирующей способности опухоли. Больным с мезотелиомой перикарда свойственно наличие рецидивирующего экссудативного перикардита геморрагического характера. Для мезотелиомы перикарда даже небольших размеров характерно быстрое накопление серозно-геморрагического экссудата в перикардиальной полости после его аспирации - так называемый «неиссякаемый выпот».
Ассоциированные симптомы: Гипогликемия. Изменение веса. Истощение. Ломота в мышцах. Лихорадка. Одышка. Отсутствие аппетита. Потеря веса. Общая слабость.
Клинически мезотелиома перикарда проявляется тупой болью в груди, одышкой, отеками, нарушением проводимости и ритма сердца, тахикардией, артериальной гипотонией, на поздних стадиях - симптомами тампонады сердца. Боли в области сердца могут быть обусловлены ростом (инвазией - в случае злокачественного типа) мезотелиомы перикарда и скоплением перикардиального выпота вследствие высокой секретирующей способности опухоли. Больным с мезотелиомой перикарда свойственно наличие рецидивирующего экссудативного перикардита геморрагического характера. Для мезотелиомы перикарда даже небольших размеров характерно быстрое накопление серозно-геморрагического экссудата в перикардиальной полости после его аспирации - так называемый «неиссякаемый выпот».
Ассоциированные симптомы: Гипогликемия. Изменение веса. Истощение. Ломота в мышцах. Лихорадка. Одышка. Отсутствие аппетита. Потеря веса. Общая слабость.
Диагностика
Прижизненная диагностика мезотелиомы перикарда затруднена из-за отсутствия какой-либо ранней специфической симптоматики заболевания. Заподозрить мезотелиому перикарда позволяет наличие рецидивирующего геморрагического перикардита в анамнезе.
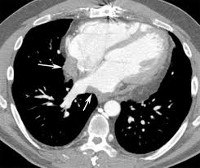
При постановке диагноза мезотелиомы перикарда используются данные рентгенографии грудной клетки, мультиспиральной КТ, магнитно-резонансной томографии сердца, ПЭТ, пункции перикарда с морфологическим исследованием экссудата, торакоскопии. Дополнительно проводятся электрокардиография, эхокардиография, радиоизотопное сканирование сердца.
Рентгенография грудной клетки при мезотелиоме перикарда помогает выявить наличие выпота и его причину - опухоль; КТ и МРТ сердца - оценить наличие и глубину инвазии опухолевого процесса: прорастание злокачественного новообразования в ткани сердца или органы грудной клетки. Большинство мезотелиом ПЭТ-позитивны, поэтому в последнее время для выявления этих опухолей часто применяют ПЭТ сердца с фтордезоксиглюкозой для определения микрометастазов в области перикарда.
Пункция перикарда с аспирацией содержимого проводится при обнаружении перикардиального выпота с целью установления его природы. Из-за часто встречающихся отрицательных результатов цитологического исследования при мезотелиоме перикарда этот метод считается не совсем надежным. Кроме того, при цитологическом исследовании выпота не удается установить гистологический тип мезотелиомы перикарда, что очень важно для оценки прогноза заболевания.
Самый достоверный метод обнаружения мезотелиомы перикарда - торакоскопия с биопсией перикарда, дающая возможность выявить опухоль, оценить распространенность опухолевого процесса и поставить правильный гистологического диагноз. Необходим дифференциальный диагноз между мезотелиомой перикарда и другими заболеваниями: перикардитами любой этиологии, идиопатическим миокардитом, ревматизмом, инфарктом миокарда, бронхогенным раком легких, панкреатитом.
При постановке диагноза мезотелиомы перикарда используются данные рентгенографии грудной клетки, мультиспиральной КТ, магнитно-резонансной томографии сердца, ПЭТ, пункции перикарда с морфологическим исследованием экссудата, торакоскопии. Дополнительно проводятся электрокардиография, эхокардиография, радиоизотопное сканирование сердца.
Рентгенография грудной клетки при мезотелиоме перикарда помогает выявить наличие выпота и его причину - опухоль; КТ и МРТ сердца - оценить наличие и глубину инвазии опухолевого процесса: прорастание злокачественного новообразования в ткани сердца или органы грудной клетки. Большинство мезотелиом ПЭТ-позитивны, поэтому в последнее время для выявления этих опухолей часто применяют ПЭТ сердца с фтордезоксиглюкозой для определения микрометастазов в области перикарда.
Пункция перикарда с аспирацией содержимого проводится при обнаружении перикардиального выпота с целью установления его природы. Из-за часто встречающихся отрицательных результатов цитологического исследования при мезотелиоме перикарда этот метод считается не совсем надежным. Кроме того, при цитологическом исследовании выпота не удается установить гистологический тип мезотелиомы перикарда, что очень важно для оценки прогноза заболевания.
Самый достоверный метод обнаружения мезотелиомы перикарда - торакоскопия с биопсией перикарда, дающая возможность выявить опухоль, оценить распространенность опухолевого процесса и поставить правильный гистологического диагноз. Необходим дифференциальный диагноз между мезотелиомой перикарда и другими заболеваниями: перикардитами любой этиологии, идиопатическим миокардитом, ревматизмом, инфарктом миокарда, бронхогенным раком легких, панкреатитом.
Лечение
Лечение мезотелиомы перикарда целесообразно проводить в специализированном онкологическом стационаре, имеющем опыт лечения больных с этим редким видом опухоли. При мезотелиоме перикарда показано хирургическое вмешательство, как с лечебной, так и с паллиативной целью; выбор тактики лечения мезотелиомы перикарда зависит от гистологического типа и формы опухоли, общего состояния больного, своевременности постановки диагноза.
При локализованной форме мезотелиомы перикарда проводят иссечение опухолевого узла, при диффузной форме - выполняют тотальную перикардэктомию. Радикальность операций у больных мезотелиомой перикарда оспаривается в связи с тем, что после таких вмешательств нередко остаются микроскопические очаги опухоли.
Паллиативные вмешательства при мезотелиоме перикарда (в случае распространенного процесса или тяжелого состояния больного) направлены на удаление жидкости из перикардиальной полости, уменьшение болевого синдрома и улучшение сердечной деятельности. К таким вмешательствам относится пункция перикарда с установкой постоянного катетера для аспирации экссудата (перикардиоцентез). Химиотерапия и лучевая терапия при мезотелиоме перикарда могут применяться как основное лечение у неоперабельных пациентов и вспомогательное - после хирургического вмешательства.
При локализованной форме мезотелиомы перикарда проводят иссечение опухолевого узла, при диффузной форме - выполняют тотальную перикардэктомию. Радикальность операций у больных мезотелиомой перикарда оспаривается в связи с тем, что после таких вмешательств нередко остаются микроскопические очаги опухоли.
Паллиативные вмешательства при мезотелиоме перикарда (в случае распространенного процесса или тяжелого состояния больного) направлены на удаление жидкости из перикардиальной полости, уменьшение болевого синдрома и улучшение сердечной деятельности. К таким вмешательствам относится пункция перикарда с установкой постоянного катетера для аспирации экссудата (перикардиоцентез). Химиотерапия и лучевая терапия при мезотелиоме перикарда могут применяться как основное лечение у неоперабельных пациентов и вспомогательное - после хирургического вмешательства.
Прогноз
Прогноз мезотелиомы перикарда в большинстве случаев неблагоприятный по причине позднего возникновения и быстрого прогрессирования клинических проявлений, несвоевременности диагностики заболевания. В течение короткого времени (1-2 лет) больные мезотелиомой перикарда умирают от нарастающей сердечной недостаточности или развития различных паранеопластических синдромов. Прогноз у больных с саркоматозными мезотелиомами перикарда хуже, чем у больных с эпителиальными мезотелиомами, поэтому им нецелесообразно выполнять обширные хирургические вмешательства.
|
|
Профилактика
В целях профилактики развития мезотелиомы перикарда необходимо избегать контактов с асбестсодержащими материалами в быту и на производстве.