Другие названия и синонимы
Cholesterosis of the gallbladder.
МКБ-10 коды
|
|
Описание
Холестероз желчного пузыря. Патологическое состояние, характеризующееся отложением липидов в стенке желчного пузыря, связанное с нарушением обмена жиров и холестерина. Протекает во многих случаях без каких-либо симптомов или с минимальными проявлениями в виде ноющих болей в области правого подреберья, признаками диспепсии. Основное диагностическое исследование при холестерозе - УЗИ печени и желчного пузыря. Иногда патологию выявляют случайно при холецистэктомии. Терапия в основном консервативная, направлена на восстановление обмена веществ. Хирургическое лечение применяют, если холестерозу желчного пузыря сопутствует холелитиаз, острые воспалительные заболевания.
Дополнительные факты
Холестероз желчного пузыря представляет собой заболевание, при котором в стенках этого органа откладывается холестерин, что приводит к нарушениям разной степени в работе желчного пузыря. Патология достаточно редкая, хотя некоторые ученые придерживаются мнения, что она просто недостаточно тщательно диагностируется. Встречается среди людей молодого и среднего возраста, чаще болеют женщины. Частота в популяции около 3-5%. Холестероз желчного пузыря рассматривают и как самостоятельное заболевание, и как стадию развития желчнокаменной болезни. Впервые холестероз описан в 1857 году Вирховым. До сих пор специалисты в области гастроэнтерологии не сформировали единого взгляда на лечение и профилактику этой патологии, хотя в последние десятилетия ей уделяют больше внимания, так как стал более понятным механизм возникновения изменений в организме человека при холестерозе желчного пузыря. Если болезнь протекает без осложнений, ее лечением занимаются гастроэнтерологи, при необходимости оперативного лечения - хирурги.
Причины
Основной причиной холестероза желчного пузыря является нарушение жирового обмена. В толще его стенок начинают накапливаться липиды, в основном за счет модифицированных липопротеидов низкой плотности. Благодаря измененной структуре ЛПНП могут проникать в макрофаги. Накопив значительное количество модифицированных и окисленных липопротеидов, макрофаг превращается в ксантомную (пенистую) клетку, внутри которой определяется большое количество эфиров холестерина.
При холестерозе нарушается сократительная способность стенок желчного пузыря. Это является дополнительным фактором, который ведет к еще большему накоплению холестерина. Визуально на стенках желчного пузыря можно увидеть отдельные бляшки или утолщения светло-желтого цвета. Иногда холестерин накапливается равномерно по всей площади стенки органа или покрывает ее в виде густой сетки.
Выделяют три основных вида холестероза желчного пузыря: очаговый (определяются отдельные бляшки холестерина); полипозный (холестериновые бляшки сильно выпячиваются в просвет пузыря); диффузный или сетчатый (стенка пузыря поражена полностью, холестериновые отложения распределены равномерно по всей площади или в виде густой сетки). Кроме того, выделяют калькулезную и бескаменную формы холестероза желчного пузыря. Очень часто от наличия или отсутствия конкрементов зависит тактика лечения.
При холестерозе нарушается сократительная способность стенок желчного пузыря. Это является дополнительным фактором, который ведет к еще большему накоплению холестерина. Визуально на стенках желчного пузыря можно увидеть отдельные бляшки или утолщения светло-желтого цвета. Иногда холестерин накапливается равномерно по всей площади стенки органа или покрывает ее в виде густой сетки.
Выделяют три основных вида холестероза желчного пузыря: очаговый (определяются отдельные бляшки холестерина); полипозный (холестериновые бляшки сильно выпячиваются в просвет пузыря); диффузный или сетчатый (стенка пузыря поражена полностью, холестериновые отложения распределены равномерно по всей площади или в виде густой сетки). Кроме того, выделяют калькулезную и бескаменную формы холестероза желчного пузыря. Очень часто от наличия или отсутствия конкрементов зависит тактика лечения.
Клиническая картина
Симптоматика при холестерозе желчного пузыря очень скудная. Иногда больные жалуются на ноющие боли или просто дискомфорт в правом подреберье. Также наблюдаются явления диспепсии: тошнота, потеря аппетита, тяжесть в животе. Симптомы могут усиливаться при нарушении диеты, злоупотреблении жирной пищей, острыми приправами. В таких ситуациях у пациентов появляются жалобы на довольно сильные приступообразные боли по типу колик.
Ассоциированные симптомы: Боль в желчном пузыре. Боль в правом подреберье. Отсутствие аппетита. Тошнота. Тяжесть в животе.
Ассоциированные симптомы: Боль в желчном пузыре. Боль в правом подреберье. Отсутствие аппетита. Тошнота. Тяжесть в животе.
Диагностика
В большинстве случаев холестероз желчного пузыря протекает бессимптомно, особенно если он не осложнен воспалением либо наличием конкрементов. Выявляют его в процессе плановых медицинских осмотров, во время УЗИ органов брюшной полости. Именно поэтому статистические данные о распространенности заболевания очень противоречивые, и оно до сих пор считается редким.
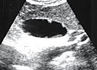
Основной метод диагностики, с помощью которого выявляют холестероз, - УЗИ желчного пузыря. Эхографическую картину изменений можно наблюдать только на переднебоковой стенке, так как даже на современной аппаратуре получить картинку задней стенки достаточно трудно. Холестероз желчного пузыря на УЗИ выявляется в виде утолщения стенок, чаще неравномерного. При диффузной форме можно увидеть отдельные эхопозитивные участки в виде пунктирной линии. Полипозная и очаговая форма диагностируются легче, они визуализируются в виде отдельных пристеночных образований или локальных утолщений стенки пузыря.
Для усиления сигнала и улучшения диагностики используют метод межреберного и мультипозиционного сканирования. Также дополнительно усиливают сокращение желчного пузыря с помощью желчегонного завтрака. Это позволяет лучше визуализировать изменения стенок и увидеть нарушения сократительной способности.
Холецистография дает мало информации, с помощью этого метода можно диагностировать только полипозные формы с выраженными изменениями. Но и в таком случае дифференцировать их с опухолями или пристеночными конкрементами трудно. Поэтому рентгенологические методы для диагностики холестероза желчного пузыря сейчас используют крайне редко. В биохимических пробах печени изменений также не определяется, они остаются в пределах нормы. Подъем билирубина, щелочной фосфатазы наблюдается только в тех случаях, когда холестероз желчного пузыря сочетается с калькулезным холециститом, закупоркой желчных протоков либо с тяжелым жировым гепатозом.
Основной метод диагностики, с помощью которого выявляют холестероз, - УЗИ желчного пузыря. Эхографическую картину изменений можно наблюдать только на переднебоковой стенке, так как даже на современной аппаратуре получить картинку задней стенки достаточно трудно. Холестероз желчного пузыря на УЗИ выявляется в виде утолщения стенок, чаще неравномерного. При диффузной форме можно увидеть отдельные эхопозитивные участки в виде пунктирной линии. Полипозная и очаговая форма диагностируются легче, они визуализируются в виде отдельных пристеночных образований или локальных утолщений стенки пузыря.
Для усиления сигнала и улучшения диагностики используют метод межреберного и мультипозиционного сканирования. Также дополнительно усиливают сокращение желчного пузыря с помощью желчегонного завтрака. Это позволяет лучше визуализировать изменения стенок и увидеть нарушения сократительной способности.
Холецистография дает мало информации, с помощью этого метода можно диагностировать только полипозные формы с выраженными изменениями. Но и в таком случае дифференцировать их с опухолями или пристеночными конкрементами трудно. Поэтому рентгенологические методы для диагностики холестероза желчного пузыря сейчас используют крайне редко. В биохимических пробах печени изменений также не определяется, они остаются в пределах нормы. Подъем билирубина, щелочной фосфатазы наблюдается только в тех случаях, когда холестероз желчного пузыря сочетается с калькулезным холециститом, закупоркой желчных протоков либо с тяжелым жировым гепатозом.
Лечение
Терапия холестероза желчного пузыря в основном консервативная. Главной рекомендацией является диетотерапия и полное изменение культуры питания. Пищу принимать необходимо пять раз в день, небольшими порциями. Рацион должен состоять из 15-20% из белков, около 30% жиров и 50-55% углеводов. Пациентам с избытком массы тела при холестерозе желчного пузыря назначают диету с низким содержанием калорий.
Кроме диеты также назначается медикаментозная терапия. Для нормализации состава желчи и моторики пузыря рекомендуют принимать желчегонные препараты, такие как препараты сухой желчи, магнезия сульфат. Изменить соотношение между желчными кислотами и холестерином помогают препараты урсодезоксихолевой кислоты. Продолжительность приема этих препаратов должна быть не меньше, чем полгода. Через 5-6 месяцев курс следует повторить. Если холестероз желчного пузыря осложняется холециститом, назначают антибиотики. Хирургическое лечение применяют только в том случае, когда заболевание сочетается с камнями в желчном пузыре, закупоркой желчных протоков, тяжелым гнойным холециститом с угрозой возникновения перитонита.
Проблемы могут возникнуть, если холестероз желчного пузыря осложняется острым холециститом, особенно гнойным. Также прогноз не слишком благоприятный при выявлении конкрементов. В таком случае рано или поздно придется прибегнуть к холецистэктомии. Для профилактики заболевания нужно соблюдать правильную диету, не злоупотреблять жирной и острой пищей, придерживаться оптимального режима питания.
Кроме диеты также назначается медикаментозная терапия. Для нормализации состава желчи и моторики пузыря рекомендуют принимать желчегонные препараты, такие как препараты сухой желчи, магнезия сульфат. Изменить соотношение между желчными кислотами и холестерином помогают препараты урсодезоксихолевой кислоты. Продолжительность приема этих препаратов должна быть не меньше, чем полгода. Через 5-6 месяцев курс следует повторить. Если холестероз желчного пузыря осложняется холециститом, назначают антибиотики. Хирургическое лечение применяют только в том случае, когда заболевание сочетается с камнями в желчном пузыре, закупоркой желчных протоков, тяжелым гнойным холециститом с угрозой возникновения перитонита.
Проблемы могут возникнуть, если холестероз желчного пузыря осложняется острым холециститом, особенно гнойным. Также прогноз не слишком благоприятный при выявлении конкрементов. В таком случае рано или поздно придется прибегнуть к холецистэктомии. Для профилактики заболевания нужно соблюдать правильную диету, не злоупотреблять жирной и острой пищей, придерживаться оптимального режима питания.
|
|