Другие названия и синонимы
Silent sinus syndrome.
МКБ-10 коды
|
|
Описание
Синдром молчащего синуса. Это патология верхней челюсти, при которой наблюдается комбинация деформаций стенок и коллапс гайморовой пазухи. Клинические проявления - односторонний энофтальм и гипофтальм, асимметрия лица, нарушение зрения, сглаженность скуловой дуги и ретракция века на фоне отсутствия болевого и интоксикационного синдромов. Диагностика основывается на результатах визуального осмотра, эндоскопии носовой полости, КТ и МРТ придаточных синусов. Лечение оперативное, заключается в обеспечении оттока содержимого из гайморовой пазухи и восстановлении нижней стенки глазницы.
Дополнительные факты
Синдром молчащего синуса (СМС), или ателектаз верхнечелюстной пазухи - относительно редкое заболевание в оториноларингологии. В медицинской практике данный термин используется с 1994 года. Впервые сочетание клинических проявлений, характерных для этого синдрома, было описано в 1964 году профессором Гарвардской школы медицины В. В. Монтгомери. Чаще всего СМС развивается у лиц старше 45-50 лет. Патология встречается повсеместно, с одинаковой частотой обнаруживается среди представителей мужского и женского пола. Более чем в 70-85% случаев после качественно проведенного оперативного лечения наблюдается обратное развитие всех симптомов болезни.
Причины
Точная причина заболевания неизвестна. Большинство специалистов отводят ведущую роль в этиологии нарушению вентиляции пазухи. Данное состояние может быть обусловлено различными факторами: острыми или хроническими воспалительными поражениями носовой полости, механической закупоркой естественного входного отверстия верхнечелюстного синуса. Таким образом, основными причинами возникновения СМС принято считать:
• Инфекционные заболевания. Чаще всего ателектаз гайморового синуса связывают с хроническими ринитами, фронтитами и гайморитами бактериальной, вирусной или грибковой этиологии.
• Травматические повреждения. Формированию патологии способствуют тяжелые травмы лицевого черепа, сопровождающиеся деструкцией стенок верхнечелюстного синуса. Сюда же относятся эндоскопические эндоназальные вмешательства, декомпрессия орбит.
• Объемные образования. В роли провоцирующих факторов могут выступать кисты, полипы, доброкачественные и злокачественные опухоли, находящиеся в области соустья пазухи и препятствующие нормальной вентиляции.
• Аномалии развития. Включают врожденные и приобретенные деформации верхней челюсти, затрагивающие верхнечелюстной синус, в том числе гиперплазию и гипоплазию крючковидного отростка. Они обуславливают склонность стенок пазухи к деформациям, спаданию и формированию СМС.
• Инфекционные заболевания. Чаще всего ателектаз гайморового синуса связывают с хроническими ринитами, фронтитами и гайморитами бактериальной, вирусной или грибковой этиологии.
• Травматические повреждения. Формированию патологии способствуют тяжелые травмы лицевого черепа, сопровождающиеся деструкцией стенок верхнечелюстного синуса. Сюда же относятся эндоскопические эндоназальные вмешательства, декомпрессия орбит.
• Объемные образования. В роли провоцирующих факторов могут выступать кисты, полипы, доброкачественные и злокачественные опухоли, находящиеся в области соустья пазухи и препятствующие нормальной вентиляции.
• Аномалии развития. Включают врожденные и приобретенные деформации верхней челюсти, затрагивающие верхнечелюстной синус, в том числе гиперплазию и гипоплазию крючковидного отростка. Они обуславливают склонность стенок пазухи к деформациям, спаданию и формированию СМС.
Патогенез
Механизм развития заболевания основывается на продолжительной гиповентиляции верхнечелюстной пазухи, спровоцированной нарушением ее анатомических характеристик. Существенную роль играют деформации крючковидного отростка, при которых данное анатомическое образование в процессе дыхания изменяет свое положение по типу клапана. В результате внутри пазухи образуется среда пониженного давления, сопровождающаяся резорбцией газов и повышенной секрецией. Полость синуса постепенно заполняется транссудатом, жидкость через некоторое время трансформируется в густые слизистые массы, поддерживающие хроническое вялотекущее воспаление. На фоне этих процессов и низкого давления происходит истончение и втягивание внутрь стенок пазухи - коллапс синуса.
Классификация
При диагностике ателектаза гайморового синуса в отоларингологии руководствуются рентгенологической классификацией Kass. С учетом этой классификации можно выделить несколько степеней развития заболевания, что позволяет корректировать тактику лечения и обоснованно решить вопрос о характере оперативного вмешательства. В классификацию включены три стадии СМС:
• I. Деформация мембраны. На снимке отображается латеральное смещение фонтанелл - аномальных участков медиальных стенок синуса, не имеющих костной основы.
• II. Костная деформация. Характеризуется выпячиванием одной или нескольких стенок вовнутрь, значительным уменьшением объема пазухи.
• III. Клинических проявлений. Полость синуса практически не визуализируется. Выявляются клинические симптомы заболевания.
• I. Деформация мембраны. На снимке отображается латеральное смещение фонтанелл - аномальных участков медиальных стенок синуса, не имеющих костной основы.
• II. Костная деформация. Характеризуется выпячиванием одной или нескольких стенок вовнутрь, значительным уменьшением объема пазухи.
• III. Клинических проявлений. Полость синуса практически не визуализируется. Выявляются клинические симптомы заболевания.
Клиническая картина
Патология развивается постепенно, длительно. С момента воздействия этиологического фактора до возникновения первых значимых проявлений проходит от 2-4 месяцев до нескольких лет. Наиболее частым первичным симптомом патологии является односторонняя деформация лицевого скелета в области верхней челюсти и энофтальм - более глубокое, смещенное внутрь орбиты глазное яблоко. Большинство пациентов жалуются на «западение» щеки и гипофтальм - опущение нижнего края глазницы. Реже появляется дискомфорт при движении глаза на больной стороне, углубление моляров и ретракция верхней губы.
Ассоциированные симптомы: Асимметрия лица.
Ассоциированные симптомы: Асимметрия лица.
Диагностика
Постановка диагноза требует от отоларинголога тщательного анализа анамнестических данных, результатов внешнего осмотра, данных аппаратных методов визуализации. Лабораторные тесты имеют низкую диагностическую ценность. При опросе больного обращают внимание на предшествующее заболевания придаточных синусов носа, перенесенные травмы и оперативные вмешательства, а также динамику развития текущих изменений. Проводятся:
• Физикальное исследование. При внешнем осмотре лица больного врач отмечает характерную асимметрию за счет одностороннего гипофтальма, энофтальма, ретракции верхней губы и верхнего века. При пальпации и перкуссии пораженной области болевые ощущения отсутствуют.
• Эндоскопия носовой полости. При обследовании носовой полости соустье верхнечелюстного синуса не определяется, средняя носовая раковина и латеральная стенка втянуты внутрь пазухи. Часто обнаруживается сопутствующее искривление носовой перегородки.
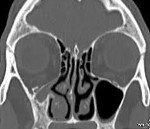
• КТ придаточных пазух носа. Компьютерная томография является «золотым стандартом» диагностики СМС. По ее результатам визуализируется одностороннее уменьшение внутренних размеров и затемнение гайморового синуса, компенсаторное увеличение объема глазницы. Также на снимках отображается крючковидная деформация боковой стенки пазухи, расширение ретроантральной жировой пластинки и среднего носового хода.
• МРТ околоносовых пазух. На Т1 взвешенном изображении удается выявить уменьшение объема верхнечелюстного синуса, вогнутость его стенок, неоднородный сигнал от содержимого в комбинации с опущением вниз клетчатки из глазницы. На Т2 ВИ дополнительно определяется гиперинтенсивный сигнал от внутренних слизистых оболочек.
Изменения при СМС дифференцируют с диффузной липодистрофией, линейной склеродермией, синдромом Парри-Ромберга. В ряде случаев необходима дифференциальная диагностика с доброкачественными и злокачественными опухолями этой локализации и врожденными аномалиями развития верхнечелюстной пазухи.
• Физикальное исследование. При внешнем осмотре лица больного врач отмечает характерную асимметрию за счет одностороннего гипофтальма, энофтальма, ретракции верхней губы и верхнего века. При пальпации и перкуссии пораженной области болевые ощущения отсутствуют.
• Эндоскопия носовой полости. При обследовании носовой полости соустье верхнечелюстного синуса не определяется, средняя носовая раковина и латеральная стенка втянуты внутрь пазухи. Часто обнаруживается сопутствующее искривление носовой перегородки.
• КТ придаточных пазух носа. Компьютерная томография является «золотым стандартом» диагностики СМС. По ее результатам визуализируется одностороннее уменьшение внутренних размеров и затемнение гайморового синуса, компенсаторное увеличение объема глазницы. Также на снимках отображается крючковидная деформация боковой стенки пазухи, расширение ретроантральной жировой пластинки и среднего носового хода.
• МРТ околоносовых пазух. На Т1 взвешенном изображении удается выявить уменьшение объема верхнечелюстного синуса, вогнутость его стенок, неоднородный сигнал от содержимого в комбинации с опущением вниз клетчатки из глазницы. На Т2 ВИ дополнительно определяется гиперинтенсивный сигнал от внутренних слизистых оболочек.
Изменения при СМС дифференцируют с диффузной липодистрофией, линейной склеродермией, синдромом Парри-Ромберга. В ряде случаев необходима дифференциальная диагностика с доброкачественными и злокачественными опухолями этой локализации и врожденными аномалиями развития верхнечелюстной пазухи.
|
|
Лечение
Основная лечебная тактика при СМС - хирургическая, включающая в себя два последовательных этапа. Суть первого заключается в эндоскопической санации полости пазухи и обеспечении нормальной аэрации синуса. Далее проводится контроль эффективности выполненных манипуляций и оценка регресса энофтальма. Зачастую первого этапа достаточно для купирования всех проявлений заболевания. В случае сохранения зрительных нарушений и дистопии глазного яблока на протяжении 6-9 месяцев с момента первичного вмешательства при отсутствии положительной динамики прибегают ко второму этапу - реконструкции нижней стенки орбиты. Дополнительно производится коррекция сопутствующих деформаций носовой полости, лечение имеющихся инфекционных заболеваний околоносовых пазух.
Прогноз
Прогноз для жизни и здоровья при синдроме молчащего синуса благоприятный. Своевременно проведенное оперативное вмешательство позволяет восстановить до 20% объема верхнечелюстной пазухи и купировать все офтальмологические нарушения.
Профилактика
Специфическая профилактика СМС не разработана. Неспецифические превентивные мероприятия нацелены на предотвращение воздействия потенциальных этиологических факторов, включают ранее лечение инфекционных и онкологических заболеваний носовой полости и придаточных синусов, коррекцию врожденных аномалий развития этой области, предотвращение травматических повреждений.