Другие названия и синонимы
Ponytail tumor.
МКБ-10 коды
|
|
Описание
Опухоль конского хвоста. Первичное или метастатическое новообразование, локализующееся в терминальном отделе позвоночного канала. Клинически проявляется вначале односторонним, затем двусторонним корешковым синдромом, вялым парезом нижних конечностей, мозаичными нарушениями чувствительности, затруднением мочеиспускания и дефекации. Основанием для постановки диагноза являются результаты неврологического осмотра, люмбальной пункции, МРТ, гистологического исследования. Основной метод лечения - радикальное удаление образования, при необходимости дополнительно проводится лучевая терапия.
Дополнительные факты
Конским хвостом в неврологии называется пучок нервов, включающий терминальную нить спинного мозга, четыре поясничных, все крестцовые и копчиковые спинномозговые корешки. Конский хвост окружён твёрдой мозговой оболочкой и располагается в позвоночном канале ниже уровня 2-го поясничного позвонка. Основная функция - иннервация тазовых органов и нижних конечностей. Опухоль конского хвоста встречается в 11-15% случаев неоплазий спинного мозга. Чаще наблюдаются менингиомы, невриномы, эпендимомы, липомы, тератомы данной локализации. Несмотря на преимущественно доброкачественный характер новообразований, их радикальное удаление затруднительно вследствие плотного срастания с нервными корешками.
Причины
Большинство опухолей терминального отдела спинного мозга являются первичными, образуются из тканей нервных корешков, эпендимы спинального канала, спинномозговых оболочек, жировой клетчатки. Этиологические факторы, запускающие опухолевую трансформацию здоровых клеток, изучены недостаточно. Предполагают мультифакторное воздействие. Все этиофакторы делятся на три основные группы:
• Физические. Ведущим в этой группе факторов является радиоактивное излучение. Воздействие радиации возможно в связи с профессиональной деятельностью, прохождением курса лучевой терапии. Ионизирующее излучение провоцирует клеточные мутации, лежащие в основе опухолевого процесса.
• Химические. Канцерогенными свойствами обладают различные химические вещества: бензидиновые и анилиновые красители, нитросоединения, нитрозамины, отдельные металлы (никель, свинец, кобальт). Воздействуя на клетки организма, вредоносные химические соединения вызывают изменение их базовых свойств. В результате клеточной трансформации образуется опухоль конского хвоста.
• Биологические. Включают различные инфекции, персистирующие в организме вирусы, образующиеся вследствие нарушения обменных процессов онкогенные метаболиты. Воздействие указанных факторов на клеточный геном приводит к его изменению, активации деления и роста с возникновением новообразования.
• Физические. Ведущим в этой группе факторов является радиоактивное излучение. Воздействие радиации возможно в связи с профессиональной деятельностью, прохождением курса лучевой терапии. Ионизирующее излучение провоцирует клеточные мутации, лежащие в основе опухолевого процесса.
• Химические. Канцерогенными свойствами обладают различные химические вещества: бензидиновые и анилиновые красители, нитросоединения, нитрозамины, отдельные металлы (никель, свинец, кобальт). Воздействуя на клетки организма, вредоносные химические соединения вызывают изменение их базовых свойств. В результате клеточной трансформации образуется опухоль конского хвоста.
• Биологические. Включают различные инфекции, персистирующие в организме вирусы, образующиеся вследствие нарушения обменных процессов онкогенные метаболиты. Воздействие указанных факторов на клеточный геном приводит к его изменению, активации деления и роста с возникновением новообразования.
Патогенез
Указанные выше этиофакторы приводят к патологическим изменениям генетического внутриклеточного материала, образуются атипичные, мутантные клетки. Почему опухолевая трансформация затрагивает клетки определённой тканевой принадлежности и локализации - остаётся непонятным. В норме иммунная система человека осуществляет противоопухолевый контроль и уничтожает все изменённые клетки. Этот механизм не срабатывает при ослаблении противоопухолевого иммунитета, массовом характере мутаций. В результате мутантные клетки продолжают размножаться, формируя опухоль. Дальнейшее развитие процесса зависит от степени малигнизации новообразования. Злокачественная неоплазия прорастает ткани. Доброкачественная опухоль, достигая определённых размеров, начинает сдавливать спинальные корешки, вызывая симптомы выпадения их функций. Компрессия сосудов приводит к атрофии мозговых оболочек, близлежащих костных тканей крестца и копчика с деструкцией последних.
Классификация
Традиционно выделяют первичные и вторичные (метастатические) новообразования. Наиболее часто метастазы образуются при раке молочной железы, злокачественных опухолях лёгких, раке простаты. Патоморфологически новообразования конского хвоста классифицируют на:
• Доброкачественные. Более дифференцированные, не прорастающие окружающие структуры, часто имеющие капсулу. Доброкачественная опухоль не даёт метастазов, однако при неполном удалении способна рецидивировать.
• Злокачественные. Слабо дифференцированные, обладающие инвазивным ростом, склонные к метастазированию. Возникновение злокачественных образований возможно в результате трансформации доброкачественных неоплазий или на фоне ранее неизмененных тканей. Злокачественными являются все вторичные опухоли.
В клинической практике специалисты в сфере нейрохирургии и неврологии применяют классификацию, основанную на критерии прорастания новообразования в спинальные корешки. Данный подход позволяет определить возможности хирургического лечения и дальнейший прогноз. Согласно ему неоплазии конского хвоста классифицируются на следующие два вида:
• Инфильтративная опухоль. Истинно инфильтративными являются злокачественные новообразования, прорастающие структуры конского хвоста. Инфильтративной также считается доброкачественная неоплазия, плотно спаянная капсулой со спинальными корешками.
• Инкапсулированная опухоль. Чётко отделена капсулой от окружающих структур. Благодаря этому свойству образование может быть радикально удалено без повреждения нервных стволов конского хвоста.
• Доброкачественные. Более дифференцированные, не прорастающие окружающие структуры, часто имеющие капсулу. Доброкачественная опухоль не даёт метастазов, однако при неполном удалении способна рецидивировать.
• Злокачественные. Слабо дифференцированные, обладающие инвазивным ростом, склонные к метастазированию. Возникновение злокачественных образований возможно в результате трансформации доброкачественных неоплазий или на фоне ранее неизмененных тканей. Злокачественными являются все вторичные опухоли.
В клинической практике специалисты в сфере нейрохирургии и неврологии применяют классификацию, основанную на критерии прорастания новообразования в спинальные корешки. Данный подход позволяет определить возможности хирургического лечения и дальнейший прогноз. Согласно ему неоплазии конского хвоста классифицируются на следующие два вида:
• Инфильтративная опухоль. Истинно инфильтративными являются злокачественные новообразования, прорастающие структуры конского хвоста. Инфильтративной также считается доброкачественная неоплазия, плотно спаянная капсулой со спинальными корешками.
• Инкапсулированная опухоль. Чётко отделена капсулой от окружающих структур. Благодаря этому свойству образование может быть радикально удалено без повреждения нервных стволов конского хвоста.
Клиническая картина
В классическом случае симптоматика манифестирует болями пояснично-крестцовой локализации, принимаемыми за радикулит. Если новообразование располагается на уровне 2-го и 3-го поясничных позвонков, боль иррадиирует по передней поверхности соответствующего бедра, если ниже - в паховую зону и промежность. Характерно усиление болевого синдрома при кашлевых толчках, чихании. Интенсивность болевых ощущений нарастает в горизонтальном положении, ослабевает в вертикальной или полусидячей позе.
В дальнейшем присоединяются чувствительные нарушения - чувство онемения в области ягодицы, бедра, наружных половых органов. Пациент жалуется на слабость в ноге, больше выраженную в стопе. Мышечная слабость усиливается в процессе ходьбы, что вынуждает больного останавливаться для отдыха. Возникновение аналогичных симптомов на другой стороне является настораживающим признаком, подтверждающим прогрессирование опухоли. Сенсорные расстройства отличаются мозаичным асимметричным характером, свидетельствующим о множественном поражении спинальных корешков.
Ассоциированные симптомы: Запор. Затруднение мочеиспускания у женщин. Затруднение мочеиспускания у мужчин. Паретическая походка. Странгурия.
В дальнейшем присоединяются чувствительные нарушения - чувство онемения в области ягодицы, бедра, наружных половых органов. Пациент жалуется на слабость в ноге, больше выраженную в стопе. Мышечная слабость усиливается в процессе ходьбы, что вынуждает больного останавливаться для отдыха. Возникновение аналогичных симптомов на другой стороне является настораживающим признаком, подтверждающим прогрессирование опухоли. Сенсорные расстройства отличаются мозаичным асимметричным характером, свидетельствующим о множественном поражении спинальных корешков.
Ассоциированные симптомы: Запор. Затруднение мочеиспускания у женщин. Затруднение мочеиспускания у мужчин. Паретическая походка. Странгурия.
Возможные осложнения
Прогрессирующий парез нижних конечностей лишает пациента возможности самостоятельно передвигаться. Осложнениями расстройств мочеиспускания являются образование дивертикула мочевого пузыря, гидронефроз, инфекционные заболевания мочевыводящего тракта (уретрит, цистит). Ургентным осложнением считается острая задержка мочи, требующая неотложной катетеризации или цистостомии. В результате длительного запора образуется каловый завал, происходит каловая интоксикация организма. Наиболее тяжёлыми осложнениями злокачественных новообразований выступают метастазирование, развитие раковой кахексии.
|
|
Диагностика
Клинически предположить опухоль конского хвоста на ранней стадии крайне сложно. В большинстве случаев первичный диагноз звучит как «пояснично-крестцовый радикулит», «невропатия бедренного нерва», «невропатия седалищного нерва». Подозрение на опухоль возникает при упорном рецидивировании симптомов после лечения, двустороннем характере симптоматики, появлении дисфункции тазовых органов. С целью верификации диагноза проводятся следующие исследования:
• Неврологический осмотр. В ходе обследования невролог выявляет снижение силы и тонуса мышц нижних конечностей, выпадение ахилловых и коленных сухожильных рефлексов. Со временем возникают мышечные атрофии, местные вегетативно-трофические нарушения. Чувствительные расстройства представлены мозаичными зонами гипестезии.
• Рентгенография позвоночника. Малоинформативна в начальных стадиях заболевания. На рентгенограмме на уровне новообразования может быть обнаружен симптом Эльсберга-Дайка - деформация дужек позвонков, увеличение расстояния между ними. В запущенных случаях определяют деструктивные фокусы в крестце.
• Люмбальная пункция. Большая опухоль, заполняющая субарахноидальное пространство, является причиной сухой пункции - получить ликвор (цереброспинальную жидкость) не удаётся. При этом врач, осуществляющий манипуляцию, после прокола твёрдой оболочки чувствует попадание иглы в некую массу, а не в заполненное жидкостью пространство.
• Исследование цереброспинальной жидкости. Выявляет застойную ксантохромию (жёлтую окраску ликвора), выраженную белково-клеточную диссоциацию. Содержание белка настолько велико, что зачастую наблюдается сворачивание цереброспинальной жидкости. Опухолевые клетки определяются крайне редко.
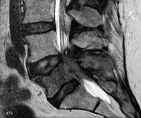
• МРТ пояснично. Крестцового отдела. Исследование осуществляется для визуализации опухоли, уточнения её размеров, распространённости, характера роста, наличия капсулы. При невозможности проведения МРТ выполняется КТ позвоночника с контрастированием.
• Гистологическое исследование. Позволяет точно верифицировать тип и степень злокачественности новообразования. Забор опухолевых тканей для исследования производится интраоперационно, результаты влияют на тактику дальнейшего ведения пациента.
• Неврологический осмотр. В ходе обследования невролог выявляет снижение силы и тонуса мышц нижних конечностей, выпадение ахилловых и коленных сухожильных рефлексов. Со временем возникают мышечные атрофии, местные вегетативно-трофические нарушения. Чувствительные расстройства представлены мозаичными зонами гипестезии.
• Рентгенография позвоночника. Малоинформативна в начальных стадиях заболевания. На рентгенограмме на уровне новообразования может быть обнаружен симптом Эльсберга-Дайка - деформация дужек позвонков, увеличение расстояния между ними. В запущенных случаях определяют деструктивные фокусы в крестце.
• Люмбальная пункция. Большая опухоль, заполняющая субарахноидальное пространство, является причиной сухой пункции - получить ликвор (цереброспинальную жидкость) не удаётся. При этом врач, осуществляющий манипуляцию, после прокола твёрдой оболочки чувствует попадание иглы в некую массу, а не в заполненное жидкостью пространство.
• Исследование цереброспинальной жидкости. Выявляет застойную ксантохромию (жёлтую окраску ликвора), выраженную белково-клеточную диссоциацию. Содержание белка настолько велико, что зачастую наблюдается сворачивание цереброспинальной жидкости. Опухолевые клетки определяются крайне редко.
• МРТ пояснично. Крестцового отдела. Исследование осуществляется для визуализации опухоли, уточнения её размеров, распространённости, характера роста, наличия капсулы. При невозможности проведения МРТ выполняется КТ позвоночника с контрастированием.
• Гистологическое исследование. Позволяет точно верифицировать тип и степень злокачественности новообразования. Забор опухолевых тканей для исследования производится интраоперационно, результаты влияют на тактику дальнейшего ведения пациента.
Дифференциальная диагностика
Дифференцировать опухоль необходимо от спинального арахноидита, межпозвоночной грыжи поясничного отдела, опухолей конуса и эпиконуса. При арахноидите люмбальная пункция никогда не бывает сухой, содержание белка в ликворе повышено незначительно. Межпозвоночная грыжа больших размеров способна создать блок ликворного пространства, следствием чего становится сухая пункция.
Дифференцировать грыжу и опухоль в подобных случаях можно только посредством нейровизуализации. Новообразование эпиконуса отличается диссоциированным типом сенсорных расстройств, наличием стопного симптома Бабинского, недержанием мочи. Опухоль конуса протекает с симметричными чувствительными нарушениями, истинным недержанием мочи.
Дифференцировать грыжу и опухоль в подобных случаях можно только посредством нейровизуализации. Новообразование эпиконуса отличается диссоциированным типом сенсорных расстройств, наличием стопного симптома Бабинского, недержанием мочи. Опухоль конуса протекает с симметричными чувствительными нарушениями, истинным недержанием мочи.
Лечение
Единственным эффективным способом лечения является хирургическое удаление. У большинства пациентов радикальное иссечение опухоли оказывается невозможным по причине плотной спаянности со спинальными корешками. Применение микрохирургической техники существенно улучшило результаты оперативных вмешательств, однако полностью исключить необходимость пересечения нервных стволов не удалось, что в ряде случаев ведёт к формированию стойкого неврологического дефицита. С целью максимально целесообразного соотношения радикальности удаления и риска неврологического дефицита проводится интраоперационный мониторинг вызванных потенциалов моторных и сенсорных волокон.
В послеоперационном периоде под наблюдением реабилитолога осуществляется восстановительное лечение. Применяется лечебная физкультура. Физиопроцедуры противопоказаны. После субтотальной резекции и при большой вероятности рецидива необходима консультация радиолога для решения вопроса о лучевой терапии. При развитии рецидива, не сопровождающегося клиническими проявлениями, методом выбора выступает стереотаксическое облучение. Если рецидив протекает с нарастающей клинической симптоматикой, рекомендовано повторное нейрохирургическое удаление. В отношении злокачественных опухолей возможно применение химиотерапевтических курсов.
В послеоперационном периоде под наблюдением реабилитолога осуществляется восстановительное лечение. Применяется лечебная физкультура. Физиопроцедуры противопоказаны. После субтотальной резекции и при большой вероятности рецидива необходима консультация радиолога для решения вопроса о лучевой терапии. При развитии рецидива, не сопровождающегося клиническими проявлениями, методом выбора выступает стереотаксическое облучение. Если рецидив протекает с нарастающей клинической симптоматикой, рекомендовано повторное нейрохирургическое удаление. В отношении злокачественных опухолей возможно применение химиотерапевтических курсов.
Прогноз
Опухоль конского хвоста может иметь длительное латентное течение, о чём свидетельствуют деструктивные изменения костей у отдельных больных. Прогноз заболевания зависит от гистологического типа и характера роста образования. Из-за невозможности полного удаления опухолевых тканей часто наблюдается рецидивирование. Наиболее неблагоприятен прогноз при злокачественных неоплазиях.
Профилактика
Первичная профилактика сводится к предупреждению онкогенных воздействий на организм, соблюдению техники безопасности при работе с химическими веществами, рентген-установками Вторичная профилактика направлена на раннее выявление опухолевого рецидива, включает длительное наблюдение у нейрохирурга, прохождение МРТ-контроля через 3,12,36 и 60 месяцев от момента операции.
Связанные клинические рекомендации
Связанные стандарты мед. помощи
- Стандарт специализированной медицинской помощи при новообразованиях головного мозга и мозговых оболочек
- Стандарт медицинской помощи больным со злокачественным новообразованием спинного мозга, мозга, оболочек спинного мозга, конского хвоста, спинномозговых нервов, вторичным злокачественным новообразованием других и неуточненных отделов нервной системы
- Стандарт первичной медико-санитарной помощи детям при глиобластоме