Продолжая работу с сайтом, вы разрешаете использование сookies и соглашаетесь с политикой конфиденциальности.
.,о.,р..и.:г,.и.,н.;н.,а;,л.. .,н.:а,.х.,о.,д.;и.,т..с.:я,, ..н.;а., .,k;,i..b.:e,;r.,i.,s.,.;.r.:u,

Внутримозговые опухоли полушарий мозга

ДобавьАналогиСравни
Используемые препараты: ... скрыть
 
Фарм. гр. Вещество Препараты
Дакарбазин
Темозоломид | | | | |
Ифосфамид | |
Мелфалан
Метотрексат
Даунорубицин
Доксорубицин | | | |
Гидразина сульфат
Проксифеин
Цисплатин | | | | |
Кармустин
Ломустин |
Нимустин
Фотемустин
Тенипозид
Реумицин
Прокарбазин
Лечат в 2859 клиниках 131 города
X
X
Нужен: терапевт, 7 анализов, 3 услуги
Казань, ул. Пушкина, д. 1/55 +7(843..показать+7(495) 104-88-01, +7(843) 500-57-86 от 10340₽
Ростов-на-Дону, ул. 1-я линия, д. 6 +7(800..показать+7(495) 104-88-01, +7(800) 234-74-40 от 10469₽
Краснодар, ул. Герцена, д. 265/2 +7(861..показать+7(495) 104-88-01, +7(861) 202-02-02 от 13770₽
Ростов-на-Дону, Театральная площадь, д. 4 +7(863..показать+7(495) 104-88-01, +7(863) 306-77-50 от 15040₽
Москва, ул. Будайская, д. 2 +7(495..показать+7(495) 104-88-01, +7(495) 727-00-03, +7(499) 187-08-17 от 15453₽
Санкт-Петербург, ул. Бронницкая, д. 9 +7(812..показать+7(495) 104-88-01, +7(812) 676-00-76 от 16400₽
Москва, Ленинградский пр-т, д. 52 +7(495..показать+7(495) 104-88-01, +7(495) 229-18-75, +7(495) 152-55-46 от 17850₽
Москва, ул. Маршала Голованова, д. 1, корп. 2 +7(495..показать+7(495) 104-88-01, +7(495) 023-60-84 от 18000₽
Москва, ул. Старокачаловская, д. 3, корп. 3 +7(495..показать+7(495) 104-88-01, +7(495) 023-60-84 от 18050₽
Москва, ул. Солянка, д. 12, стр. 1 +7(495..показать+7(495) 104-88-01, +7(495) 023-60-84, +7(495) 730-14-34, +7(985) 239-51-02 от 18200₽
Ещё 2849 клиник
  1. МКБ-10 коды
  2. Описание
  3. Дополнительные факты
  4. Причины
  5. Классификация
  6. Клиническая картина
  7. Диагностика
  8. Лечение
  9. Прогноз
  10. Похожие заболевания
  11. Связанные клинические рекомендации
  12. Связанные стандарты мед. помощи
  13. Основные медицинские услуги
  14. Клиники для лечения

Другие названия и синонимы

Intracerebral tumors of the cerebral hemispheres.
Внутримозговые опухоли полушарий мозга

МКБ-10 коды

Описание

 Внутримозговые опухоли полушарий мозга. Доброкачественные и злокачественные опухоли, располагающиеся непосредственно в тканях головного мозга. Опухоли полушарий мозга проявляются общемозговыми (головная боль, застой дисков зрительных нервов, головокружение, рвота, психические нарушения) и очаговыми (двигательные нарушения, выпадения чувствительности, зрительные расстройства, нарушения речи, нейро-эндокринный синдром и пр. ) симптомами. Диагностика опухоли полушарий мозга включает офтальмоскопию, ЭЭГ, Эхо-ЭГ, КТ и МРТ головного мозга, стереотаксическую биопсию. Лечение опухоли полушарий мозга может включать радикальное или частичное ее удаление, хирургическую декомпрессию головного мозга, химиотерапию, лучевую терапию и симптоматическое лечение.
Внутримозговые опухоли полушарий мозга

Дополнительные факты

 Внутримозговые опухоли полушарий мозга занимают примерно 1,4% от всех злокачественных опухолей. На их долю приходится 2,4% всех летальных исходов, связанных с заболеванием раком, как во взрослом, так и в детском возрасте. Заболеваемость опухолями полушарий мозга составляет 3,7 на 100 тыс. человек. В настоящее время отмечается тенденция к росту этого показателя. Опухоли полушарий мозга в педиатрической практике встречаются заметно реже, чем у взрослых пациентов. Наибольшей заболеваемости подвержены люди в возрасте от 20 до 50 лет. Внутримозговые опухоли полушарий мозга являются предметом совместного изучения неврологии, онкологии и нейрохирургии.

Причины

 Бесспорной причиной развития опухоли полушарий мозга является радиация. Это подтверждается возникновением внутримозговых опухолей у пациентов, проходивших лучевую терапию в связи с различными заболеваниями. Предполагается, что риск возникновения опухоли полушарий мозга повышается при употреблении заменителя сахара аспартама, воздействии винилхлорида, неблагоприятном влиянии электромагнитных полей при использовании мобильного телефона.
 Некоторые авторы связывают опухоли полушарий мозга с нарушениями в иммунной системе, которые могут иметь врожденный характер, наблюдаются у больных ВИЧ или являются следствием иммуносупрессорной терапии. Также замечено, что ряд опухолей полушарий мозга ассоциируется с такими заболеваниями как туберозный склероз, болезнь Гиппеля-Линдау, нейрофиброматоз Реклингхаузена.

Классификация

 Принципиальным является разделение опухолей полушарий мозга на первичные и вторичные (метастатические). Первичные опухоли полушарий мозга в большинстве своем развиваются из глиальных элементов, за что и получили название глиальные опухоли. Из них наиболее часто встречается астроцитома. Раже встречаются первичные опухоли полушарий мозга, берущие начало в соединительнотканных структурах (например, в оболочке сосудов головного мозга) и железистой ткани. К ним относятся саркомы и ангиоретикулемы, аденомы.
 Метастатические опухоли мозга представляют собой метастазы злокачественных опухолей внемозговой локализации. Чаще других в головной мозг метастазирует рак легких, второе место по частоте внутримозговых метастазов занимает рак молочной железы. Реже вторичные опухоли полушарий мозга возникают при метастазах меланомы, гипернефромы, ретинобластомы, опухолей надпочечников.

Клиническая картина

Общемозговые симптомы.

 Общемозговые симптомы внутримозговой опухоли полушарий мозга связаны с повышением внутричерепного давления (гидроцефалией). Причем степень гипертензии не зависит напрямую от размеров опухоли. Так, небольшие опухоли полушарий мозга могут приводить к нарушению ликвородинамики и существенному увеличению внутричерепного давления, а опухоли больших размеров иногда сопровождаются слабовыраженной общемозговой симптоматикой. К общемозговым симптомам относятся: головная боль, головокружение, рвота, поражение дисков зрительных нервов, психические расстройства, эпилептические приступы.
 При внутримозговой опухоли полушарий мозга головная боль носит тупой распирающий диффузный характер. В начальном периоде она обычно возникает периодически, а затем становится постоянной. Зачастую пациенты отмечают уменьшение интенсивности головной боли при определенном положении головы (как правило, в положении лежа на пораженной стороне головы).
 Характерным клиническим признаком опухоли полушарий мозга является головокружение. Оно носит приступообразный системный характер в виде ощущения собственного вращения или вращения окружающих предметов. Головокружение может сопровождаться другими симптомами вестибулярной атаксии, тошнотой, вегетативными нарушениями, шумом в ушах. Обычно при опухоли полушарий мозга, в отличие от опухоли мозжечка, головокружение появляется на более поздних стадиях заболевания при значительной ликворной гипертензии.
 Отличительной чертой рвоты при опухоли полушарий мозга является ее возникновение вне связи с приемом пищи; наиболее часто утром натощак. Также рвота часто наблюдается на пике головной боли. Поскольку рвота приводит к уменьшению головной боли, то некоторые пациенты с этой целью специально вызывают рвотный рефлекс. При опухолях IV желудочка и мозжечка рвота может возникать без головной боли и провоцироваться изменением положения тела.
 Поражение дисков зрительных нервов в большинстве случаев является двусторонним и обусловлено развитием в них застойных явлений под воздействием постоянно повышенного внутричерепного давления. Застойные диски зрительных нервов являются ранним симптомом опухоли полушарий мозга и могут выявляться при офтальмоскопии в период, когда субъективные ощущения пациентов еще слабо выражены. Поражение зрительных нервов клинически проявляется мельканием «мушек» перед глазами, периодически возникающим «туманом» в глазах. При этом, в отличие от неврита зрительного нерва, длительно сохраняется острота зрения. С течение времени застойные изменения могут привести к атрофии зрительного нерва.
 Часто при опухоли полушарий мозга наблюдаются психические расстройства. Они могут носить самый разнообразный характер от нарушений мнестической сферы (памяти, внимания, мышления) и психо-эмоциональной перестройки личности (повышенная раздражительность, агрессивность или напротив апатия, чрезмерное благодушие) до тяжелых психических расстройств (галлюцинации, бред, сумеречные состояния сознания). Характерным является постепенное прогрессирование психических отклонений, хотя при злокачественном характере опухоли полушарий мозга этот процесс протекает достаточно быстро.
 Ассоциированные симптомы: Агрессивность. Боль во всей голове. Галлюцинации. Головная боль. Мелькание мушек перед глазами. Обонятельные галлюцинации. Персеверация. Потеря обоняния. Пропульсия. Раздражительность. Рвота. Судороги. Судороги в ногах. Тетрапарез. Тошнота. Шум в ушах.

Диагностика

 Заподозрить внутримозговую опухоль невролог может по жалобам пациента и выявленным нарушениям в неврологическом статусе. Исключение опухоли полушарий мозга необходимо у всех пациентов с впервые возникшими эпи-приступами. Обязательным является обследование у офтальмолога с определением остроты зрения, проведением периметрии и офтальмоскопии. При нарушениях слуха назначается консультация отоларинголога, при наличие нейро-эндокринного синдрома - эндокринолога, а для женщин дополнительно гинеколога-эндокринолога.
 Опухоли полушарий мозга в большинстве случаев сопровождаются выявляемой в ходе Эхо-ЭГ значительной гидроцефалией. Если опухоль вызывает смещение структур головного мозга, то обнаруживается смещение эхо-сигналов от средней линии. При помощи ЭЭГ определяют наличие эпилептической активности. РЭГ при опухоли полушарий мозга зачастую дает сведенья о тех или иных нарушениях внутримозгового кровообращения, которые могут быть связаны с рефлекторным сосудистым спазмом или сдавлением сосудов растущей опухолью.
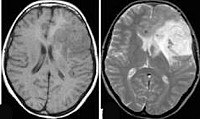
 Наилучшими способами объективного выявления опухоли полушарий мозга признаны методы нейровизуализации: КТ и МРТ головного мозга. Они позволяют определить точную локализацию опухоли полушарий мозга и дифференцировать ее от внутримозговой гематомы, кисты при сирингомиелии, абсцесса головного мозга, рассеянного склероза, эпилепсии. Однако поставить достоверный диагноз и верифицировать опухоли полушарий мозга позволяет лишь гистологическое исследование. Оно может проводится с образцами мозговой ткани, полученными в ходе стереотаксической биопсии или интраоперационно.

Лечение

 Основным методом в лечении опухоли полушарий мозга остается ее хирургическое удаление. Доброкачественные внутримозговые опухоли полушарий мозга достигающее размера не более 3,5 см могут быть удалены с применением стереотаксической радиохирургии. К сожалению, удаление глиальных опухолей зачастую невозможно из-за их значительного прорастания в окружающую мозговую ткань. Полное удаление неглиальных опухолей возможно только при их доброкачественном характере. Удаление вентрикулярных опухолей представляет для нейрохирургов значительные трудности. В случаях когда оно не может быть выполнено в полном объеме дополнительно проводят шунтирующую операцию. Удаление метастатических опухолей возможно, если они носят единичный характер или локализуются в одной зоне.
 При неоперабельной опухоли полушарий мозга возможно проведение паллиативных вмешательств, направленных на снижение степени гидроцефалии и предупреждение дислокации мозговых структур. К ним относятся декомпрессивная трепанация черепа, наружное вентрикулярное дренирование, вентрикулоперитонеальное шунтирование.
 Хирургическое лечение опухоли полушарий мозга зачастую комбинируется с лучевой и химиотерапией. Облучение проводится обычно в режиме дистанционной гамма-терапии через 1-2 недели после проведенной операции. Условиями проведения эффективной химиотерапии является точная верификация опухоли и определение чувствительности пациента к химиопрепарату. Химиотерапия проводится курсами с обязательным контролем показателей крови и сопровождающей противорвотной терапией. Она может осуществляться путем локального введения препаратов в ликворную систему или непосредственно в ложе опухоли.

Прогноз

 Благоприятный прогноз наблюдается в случае ангиоретикулемы или аденомы при условии ее радикального хирургического удаления. Глиальные опухоли полушарий мозга отличаются частым рецидивированием, продолжительность послеоперационной выживаемости пациентов при них зависит от степени злокачественности опухоли.

Похожие заболевания

Связанные клинические рекомендации

Связанные стандарты мед. помощи

42a96bb5c8a2acfb07fc866444b97bf1
Доступно только при использовании PRO аккаунта
Модератор контента: Васин А.С.


  1. Киберис НЕ является интернет-магазином и НЕ осуществляет закупку, хранение, продажу и доставку препаратов. Ресурс выступает лишь в роли посредника между вами и производителем препаратов или аптечными пунктами, которые и осуществляют поставку.
  2. На Киберис размещены описания препаратов, часть из которых предназначена только для врачей. Данная информация не может быть использована пациентами для принятия решения об использовании препаратов, их отмене или коррекции дозировок.
  3. Ничто в представленной информации не должно быть истолковано как призыв использовать данные препараты.
  4. К Киберис не могут быть обращены претензии по поводу любого ущерба или вреда, понесенного в результате использования размещенной на сайте информации.