Другие названия и синонимы
Tuberculoma of the brain.
МКБ-10 коды
|
|
Описание
Туберкулома головного мозга. Опухолевидное гранулёматозное образование, обусловленное проникновением возбудителей туберкулёза в церебральные ткани. Клинически проявляется общемозговой и очаговой неврологической симптоматикой, характерной для внутримозговых новообразований. Диагностическая программа включает неврологический осмотр, офтальмологические исследования, консультацию фтизиатра, анализ ликвора, рентгенодиагностику, церебральную МРТ. Основным методом лечения является хирургическое удаление туберкуломы на фоне противотуберкулёзной терапии с последующей реабилитацией.
Дополнительные факты
Туберкулома головного мозга (ТГМ) представляет собой отдельную форму внелегочного туберкулёза с фокальным интрацеребральным поражением. В литературных источниках по неврологии встречается синонимичное название патологии - церебральная туберкулёзная гранулёма. По различным данным, туберкулома составляет 2,1-3,4% от всех опухолевых образований головного мозга. Заболевание характерно для детского и подросткового возраста, чаще наблюдается у мальчиков. В 90% случаев у пациентов выявляется туберкулёз внутригрудных лимфатических узлов или лёгких, в 18% - различные формы внелегочного туберкулёзного поражения (туберкулёз кожи, кишечника, почек). У 50% больных инфекционный процесс носит диссеминированный характер.
Причины
Возбудители инфекции (туберкулёзные микобактерии) проникают в мозговые ткани гематогенным, лимфогенным путём преимущественно в фазе диссеминации. Первичными очагами инфекции обычно выступают лёгкие и лимфоузлы, намного реже - очаги в кишечнике, органах мочеполовой системы, костях, коже. В 8% случаев первичный туберкулёзный очаг выявить не удаётся. Факторами, предрасполагающими к диссеминации микобактерий, являются незрелость гематоэнцефалического барьера, сниженный иммунитет (вследствие первичного или вторичного иммунодефицита, сахарного диабета, гормональной терапии), эндокринная перестройка.
Патогенез
Интрацеребральное проникновение микобактерий сопровождается образованием окружённого капсулой фокуса хронического гранулёматозного воспаления. Чаще наблюдается одиночная солитарная туберкулома, у 23% больных обнаруживаются множественные очаги. В 80% случаев поражаются структуры задней черепной ямки, обычно - гемисферы мозжечка. По мере роста туберкулома сдавливает IV желудочек, блокирует пути ликворооттока, что вызывает окклюзионную гидроцефалию. При супратенториальной локализации в полушариях туберкулома выступает триггером эпилептогенной импульсации, приводящей к появлению эпилептических пароксизмов.
Процессы отграничения и обызвествления обуславливают клиническую ремиссию заболевания, новая активация гранулёматозного воспаления сопровождается усугублением симптоматики. Морфологически туберкулома представляет собой инкапсулированное образование, достигающее диаметра 2-3 тд Содержимое фокуса представлено гранулематозной тканью, содержащей эпителиоидные, лимфоидные, гигантские клетки, изменённые клетки церебральной паренхимы. На определённом этапе развития в центре образования формируется зона казеозного некроза. Иногда содержимое гранулёмы имеет жидкую консистенцию.
Процессы отграничения и обызвествления обуславливают клиническую ремиссию заболевания, новая активация гранулёматозного воспаления сопровождается усугублением симптоматики. Морфологически туберкулома представляет собой инкапсулированное образование, достигающее диаметра 2-3 тд Содержимое фокуса представлено гранулематозной тканью, содержащей эпителиоидные, лимфоидные, гигантские клетки, изменённые клетки церебральной паренхимы. На определённом этапе развития в центре образования формируется зона казеозного некроза. Иногда содержимое гранулёмы имеет жидкую консистенцию.
Классификация
Широкое применение методов нейровизуализации, постоянный поиск прижизненных способов диагностики и томографических особенностей туберкулом привели к выделению нескольких типов туберкулёзных гранулём с учетом их морфологического строения. Классификация используется преимущественно в МР-диагностике, включает три основных вида туберкулом:
• Неказеозная. Имеет гомогенное гранулематозное содержимое плотной консистенции. На МРТ в режиме Т1 визуализируется как гипоинтенсивный очаг, в режиме Т2 - как гиперинтенсивный фокус. При контрастировании наблюдается равномерное контрастное усиление образования. Подобная томографическая картина характерна для начальных стадий ТГМ.
• Казеозная. Состоит из центрально расположенного очага творожистого некроза, окружённого плотной гранулематозной тканью. При томографии даёт гипо- и изоинтенсивный сигнал в обоих режимах. Контрастирование сопровождается кольцевидным усилением изображения.
• Жидкостная. По центру образования находится жидкость. Жидкостная туберкулома томографически не отличается от абсцесса головного мозга. Гипо-, изоинтенсивна в режимах Т1, Т2, контрастируется как узкое кольцо. Отличается высокой интенсивностью сигнала на диффузно-взвешенных изображениях.
• Неказеозная. Имеет гомогенное гранулематозное содержимое плотной консистенции. На МРТ в режиме Т1 визуализируется как гипоинтенсивный очаг, в режиме Т2 - как гиперинтенсивный фокус. При контрастировании наблюдается равномерное контрастное усиление образования. Подобная томографическая картина характерна для начальных стадий ТГМ.
• Казеозная. Состоит из центрально расположенного очага творожистого некроза, окружённого плотной гранулематозной тканью. При томографии даёт гипо- и изоинтенсивный сигнал в обоих режимах. Контрастирование сопровождается кольцевидным усилением изображения.
• Жидкостная. По центру образования находится жидкость. Жидкостная туберкулома томографически не отличается от абсцесса головного мозга. Гипо-, изоинтенсивна в режимах Т1, Т2, контрастируется как узкое кольцо. Отличается высокой интенсивностью сигнала на диффузно-взвешенных изображениях.
Клиническая картина
Туберкулёзная гранулёма может иметь скрытое, латентное течение без значительного увеличения размеров. В подобных случаях петрифицированная туберкулома обнаруживается только при аутопсии. Клинически манифестирующие ТГМ характеризуются симптоматикой, типичной для церебральных опухолей. Постепенно появляются и прогрессируют общемозговые и очаговые симптомы, периоды ухудшения волнообразно чередуются с периодами некоторого улучшения. У отдельных пациентов дебюту опухолеподобных проявлений предшествует острый эпизод с подъёмом температуры тела, выраженной общеинфекционной, общемозговой и менингеальной симптоматикой. В дальнейшем сохраняется субфебрилитет и лёгкие менингеальные явления, очаговый дефицит манифестирует спустя 1-3 месяца.
Рост образования сопровождается внутричерепной гипертензией, обуславливающей головную боль, тошноту, рвоту, застойные диски зрительных нервов. Если гранулёма локализуется в задней черепной ямке вблизи ликвороотводящих путей, затрудняется отток ликвора, нарастает гидроцефалия. При расположении в полушариях наблюдаются эпилептические приступы, часто - пароксизмы джексоновской эпилепсии, генерализованные припадки. Туберкулома лобной локализации проявляется расстройством психики, поведения, интеллектуальных способностей. При поражении теменной доли отмечается парез, гипестезия, апраксия, афазия. Расположение гранулёмы в левой височной доли приводит к акустико-гностической афазии. При поражении подкорковых ганглиев обнаруживаются гиперкинезы.
Ассоциированные симптомы: Боль во всей голове. Головная боль. Лейкоцитоз. Моноцитоз. Рвота. Тошнота. Тремор.
Рост образования сопровождается внутричерепной гипертензией, обуславливающей головную боль, тошноту, рвоту, застойные диски зрительных нервов. Если гранулёма локализуется в задней черепной ямке вблизи ликвороотводящих путей, затрудняется отток ликвора, нарастает гидроцефалия. При расположении в полушариях наблюдаются эпилептические приступы, часто - пароксизмы джексоновской эпилепсии, генерализованные припадки. Туберкулома лобной локализации проявляется расстройством психики, поведения, интеллектуальных способностей. При поражении теменной доли отмечается парез, гипестезия, апраксия, афазия. Расположение гранулёмы в левой височной доли приводит к акустико-гностической афазии. При поражении подкорковых ганглиев обнаруживаются гиперкинезы.
Ассоциированные симптомы: Боль во всей голове. Головная боль. Лейкоцитоз. Моноцитоз. Рвота. Тошнота. Тремор.
Возможные осложнения
Прогрессирующий очаговый дефицит инвалидизирует пациента. Окклюзионная гидроцефалия сопровождается ликворно-гипертензионными кризами с резким повышением интракраниального давления, интенсивной головной болью, многократной рвотой, невозможностью принимать пищу. Особую опасность представляет развивающееся из-за гидроцефалии сдавление мозгового ствола с расположенными в нём жизненно важными центрами. Осложнением эпилептических пароксизмов может стать эпилептический статус. В ряде случаев происходит разрыв ТГМ с инфицированием оболочек головного мозга, возникновением туберкулёзного менингита. Без своевременного лечения последний приводит к летальному исходу.
Диагностика
Диагностирование заболевания затруднительно, поскольку клиническая и томографическая картины аналогичны церебральной опухоли. Описаны случаи ТГМ у пациентов, не имеющих симптомов специфического воспаления и указаний на ранее перенесённый туберкулёз. У большинства больных туберкулома выявляется в ходе хирургического лечения по поводу новообразования головного мозга. Перечень необходимых диагностических мероприятий включает:
• Сбор анамнеза. Имеет значение перенесённый или текущий туберкулёз, наличие туберкулёза у лиц, находящихся в постоянном контакте с больным. Следует обратить внимание на длительный субфебрилитет и прочие симптомы хронического инфекционного заболевания по данным анамнеза.
• Консультация невролога. Исследование неврологического статуса подтверждает наличие общемозговой симптоматики, указывающей на повышение внутричерепного давления, лёгкий менингеальный синдром. Характер очагового дефицита позволяет предположить локализацию процесса.
• Консультация офтальмолога. Обнаруживается снижение остроты зрения. При расположении образования в области хиазмы и оптических трактов периметрия диагностирует выпадение или ограничение зрительных полей. При офтальмоскопии определяется отёчность дисков оптических нервов.
• Консультация фтизиатра. Проводится при наличии рентгенографии грудной клетки и результатов туберкулиновой пробы. Рентгенография дает возможность выявить поражение лёгких, первичный туберкулёзный комплекс. Вираж туберкулиновой пробы свидетельствует о наличии активного туберкулёзного процесса. У ряда пациентов проба в пределах нормы, иногда - отрицательна.
• Общий анализ крови. Характерна картина умеренных воспалительных изменений. Отмечается небольшой лейкоцитоз, ускоренная СОЭ, возможен сдвиг лейкоцитарной формулы влево.
• Исследование ликвора. Обнаруживается повышенная концентрация белка, умеренный плеоцитоз. Посев ликвора на питательные среды редко даёт рост микобактерий, поскольку процесс чётко отграничен капсулой. Определение возбудителя в ликворе более характерно для генерализованных видов туберкулёзного поражения ЦНС - менингита, менингоэнцефалита.
• Рентгенография черепа. На снимках видны признаки длительного повышения интракраниального давления: пальцевые вдавления на костях свода, остеопороз турецкого седла, расхождение черепных швов. При наличии обызвествления ТГМ оно визуализируется на рентгенограммах.
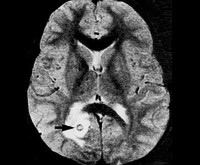
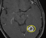
• МРТ головного мозга. Рекомендовано тщательное комплексное исследование с использованием Т1/Т2 режимов, диффузионно-взвешенных изображений, МР-спектроскопии. В пользу туберкуломы говорит небольшой перифокальный отёк, наличие оболочки, кольцевидное контрастирование.
• Сбор анамнеза. Имеет значение перенесённый или текущий туберкулёз, наличие туберкулёза у лиц, находящихся в постоянном контакте с больным. Следует обратить внимание на длительный субфебрилитет и прочие симптомы хронического инфекционного заболевания по данным анамнеза.
• Консультация невролога. Исследование неврологического статуса подтверждает наличие общемозговой симптоматики, указывающей на повышение внутричерепного давления, лёгкий менингеальный синдром. Характер очагового дефицита позволяет предположить локализацию процесса.
• Консультация офтальмолога. Обнаруживается снижение остроты зрения. При расположении образования в области хиазмы и оптических трактов периметрия диагностирует выпадение или ограничение зрительных полей. При офтальмоскопии определяется отёчность дисков оптических нервов.
• Консультация фтизиатра. Проводится при наличии рентгенографии грудной клетки и результатов туберкулиновой пробы. Рентгенография дает возможность выявить поражение лёгких, первичный туберкулёзный комплекс. Вираж туберкулиновой пробы свидетельствует о наличии активного туберкулёзного процесса. У ряда пациентов проба в пределах нормы, иногда - отрицательна.
• Общий анализ крови. Характерна картина умеренных воспалительных изменений. Отмечается небольшой лейкоцитоз, ускоренная СОЭ, возможен сдвиг лейкоцитарной формулы влево.
• Исследование ликвора. Обнаруживается повышенная концентрация белка, умеренный плеоцитоз. Посев ликвора на питательные среды редко даёт рост микобактерий, поскольку процесс чётко отграничен капсулой. Определение возбудителя в ликворе более характерно для генерализованных видов туберкулёзного поражения ЦНС - менингита, менингоэнцефалита.
• Рентгенография черепа. На снимках видны признаки длительного повышения интракраниального давления: пальцевые вдавления на костях свода, остеопороз турецкого седла, расхождение черепных швов. При наличии обызвествления ТГМ оно визуализируется на рентгенограммах.
• МРТ головного мозга. Рекомендовано тщательное комплексное исследование с использованием Т1/Т2 режимов, диффузионно-взвешенных изображений, МР-спектроскопии. В пользу туберкуломы говорит небольшой перифокальный отёк, наличие оболочки, кольцевидное контрастирование.
|
|
Дифференциальная диагностика
Дифференциальный диагноз ТГМ проводят с первичными и метастатическими неоплазиями церебральной локализации. Зачастую верификация диагноза возможна лишь по результатам интраоперационного гистологического исследования. Необходимо исключение иных инфекционных поражений головного мозга, имеющих сходную томографическую картину: цистицеркоза, токсоплазмоза, бактериального абсцесса, криптококкоза.
Лечение
Нейрохирургическое удаление ТГМ сопряжено с интраоперационным обсеменением окружающих тканей микобактериями, последующим распространением инфекции по ликворным путям с развитием туберкулёзного менингита. Из-за этого до появления противотуберкулёзных препаратов хирургическое удаление ТГМ завершалось летальным исходом в 82% случаев. Выживали пациенты с петрифицированными образованиями и конвекситальными гранулёмами, приводившими к ограниченному менингиту. С появлением противотуберкулёзных химиопрепаратов результаты оперативного лечения существенно улучшились. В современной нейрохирургической практике лечение ТГМ включает четыре основных этапа:
• Противотуберкулёзная терапия. Осуществляется комплексно и длительно путём сочетания 2-3 фармпрепаратов. Применяется стрептомицин, рифампицин, изониазид. В постоперационном периоде производят эндолюмбальное введение стрептомицина.
• Нейрохирургическое удаление. Операцию проводят нейрохирурги, доступ зависит от локализации, требует костно-пластической трепанации черепа. Образование вылущивается вместе с капсулой в пределах здоровых тканей.
• Дегидратационная терапия. Для уменьшения гидроцефалии, профилактики отёка мозга в послеоперационном периоде показано введение сернокислой магнезии, назначение диуретиков (фуросемид, маннитол, диакарб). В тяжёлых случаях рекомендованы глюкокортикостероиды.
• Реабилитация. Направлена на восстановление утраченных нервных функций. Медикаментозная составляющая включает нейротропные, нейрометаболические фармпрепараты, улучшающие питание и функционирование нервной ткани. Из немедикаментозных методов широко применяется кинезиотерапия, массаж конечностей, лечебная физкультура. Восстановление речи осуществляется путём занятий с логопедом.
• Противотуберкулёзная терапия. Осуществляется комплексно и длительно путём сочетания 2-3 фармпрепаратов. Применяется стрептомицин, рифампицин, изониазид. В постоперационном периоде производят эндолюмбальное введение стрептомицина.
• Нейрохирургическое удаление. Операцию проводят нейрохирурги, доступ зависит от локализации, требует костно-пластической трепанации черепа. Образование вылущивается вместе с капсулой в пределах здоровых тканей.
• Дегидратационная терапия. Для уменьшения гидроцефалии, профилактики отёка мозга в послеоперационном периоде показано введение сернокислой магнезии, назначение диуретиков (фуросемид, маннитол, диакарб). В тяжёлых случаях рекомендованы глюкокортикостероиды.
• Реабилитация. Направлена на восстановление утраченных нервных функций. Медикаментозная составляющая включает нейротропные, нейрометаболические фармпрепараты, улучшающие питание и функционирование нервной ткани. Из немедикаментозных методов широко применяется кинезиотерапия, массаж конечностей, лечебная физкультура. Восстановление речи осуществляется путём занятий с логопедом.
Прогноз
Своевременное удаление ТГМ на фоне активной этиотропной терапии обеспечивает выздоровление 75% пациентов. Серьёзный прогноз имеют случаи множественных церебральных туберкулом, разрыва образования с развитием острого туберкулёзного менингита, комбинированных поражений ЦНС, тяжёлых сочетанных поражений внутренних органов.
Профилактика
Первичная профилактика ТГМ заключается в выявлении, полноценном лечении и последующем наблюдении больных туберкулёзом, проведении массовой противотуберкулёзной вакцинации детей. Вторичные профилактические мероприятия предполагают регулярное наблюдение послеоперационных больных, контроль ликвора через 2 недели после окончания противотуберкулёзной терапии и через 6 месяцев после операции.