Другие названия и синонимы
Esthesioneuroblastoma.
МКБ-10 коды
|
|
Описание
Эстезионейробластома. Злокачественное новообразование из клеток ольфакторного нейроэпителия, возникающее в полости носа и быстро распространяющееся в параназальные пазухи, полость глазницы, решетчатую кость и основание черепа. Основными симптомами являются: заложенность носа, обильные слизистые выделения, аносмия, отечность скуловой области. В диагностике эстезионейробластомы полагаются на данные риноскопии, КТ околоносовых синусов, МРТ головного мозга, гистологического анализа биопсийного материала. Лечение зависит от особенностей опухоли, как правило, представляет собой сочетание радиологического, хирургического и химиотерапевтического методов.
Дополнительные факты
Эстезионейробластома (от греч. «esthesio» - ощущаю) берет свое начало в нейронах обонятельного (ольфакторного) эпителия, в связи с чем известна под названием ольфакторная нейробластома. Ольфакторный эпителий выстилает полость носа, носоглотку и решетчатый лабиринт. Находящиеся в нем нейроны осуществляют выделение и передачу в церебральные обонятельные центры информации о качестве и интенсивности запаха. Эстезионейробластома достаточно редкая злокачественная опухоль. Наиболее часто она наблюдается у детей в возрасте после 10 лет. На долю ольфакторной нейробластомы приходится около 3% от всех новообразований полости носа. Поскольку опухоль быстро прорастает в ячейки решетчатой кости и на основание черепа, она является предметом совместной курации специалистов в области отоларингологии и неврологии.
Патогенез
Первоначально ольфакторная нейробластома располагается в верхних отделах носовой полости. Обладая местно-деструирующим агрессивным ростом, эстезионейробластома быстро заполняет полость носа, распространяется в носоглотку, параназальные пазухи, переднюю черепную ямку и орбиту. Регионарное метастазирование происходит в верхнешейные, заглоточные, поднижнечелюстные и околоушные лимфатические узлы. Отдаленные метастазы, как правило, поражают легкие, плевру, печень, кости. Характерно, что при возникновении эстезионейробластомы у пациентов детского возраста регионарное и отдаленное метастазирование наблюдается относительно редко.
По своему морфологическому строению эстезионейробластома является нейроэпителиомой, она состоит из недифференцированных эктодермальных клеток. Микроскопия тканей опухоли выявляет типичные черты нейрогенной опухоли: присутствие специфических гранулированных мембран и формирование розеток. Особенности гистологического строения позволяют выделить 3 типа опухоли: эстезионейроэпителиому, собственно эстезионейробластому и эстезионейроцитому.
По своему морфологическому строению эстезионейробластома является нейроэпителиомой, она состоит из недифференцированных эктодермальных клеток. Микроскопия тканей опухоли выявляет типичные черты нейрогенной опухоли: присутствие специфических гранулированных мембран и формирование розеток. Особенности гистологического строения позволяют выделить 3 типа опухоли: эстезионейроэпителиому, собственно эстезионейробластому и эстезионейроцитому.
Классификация
Согласно Международной классификации опухолей носа выделяют 4 стадии эстезионейробластомы. В I стадии опухоль не выходит за пределы 1 стенки полости носа и носовой раковины, не вызывает костной деструкции и не дает метастазов. Во IIа стадии наблюдается локальная костная деструкция, эстезионейробластома захватывает другую стенку носовой полости, но не дает метастазов. IIб стадия аналогична предыдущим и отличается от них наличием одиночного регионарного метастаза на стороне возникновения опухоли. Эстезионейробластома IIIа стадии переходит на вторую половину носовой полости или за пределы костных структур, распространяется на соседние анатомические зоны, но не дает метастазов. IIIб стадия - эстезионейробластома, как в предыдущей стадии или с меньшей распространенностью, но с множественным регионарным одно- или двусторонним метастазированием. Эстезионейробластома IVа стадии характеризуется прорастанием в носоглотку, полость черепа или мягкие ткани лица, но без метастазирования. Выявление отдаленных или несмещаемых регионарных метастазов соответствует IVб стадии, независимо от степени распространенности опухолевого процесса.
Клиническая картина
Характерным манифестационным симптомом ольфакторной нейробластомы является упорная заложенность носа. Она сопровождается сперва слизистыми, а затем слизисто-гнойными выделениями. Первоначально такие симптомы могут приниматься за проявления ринита, аденоидита или гайморита. Настораживающим моментом является прогрессирование нарушения носового дыхания, несмотря на проводимую терапию риносинусита, а также развитие полной аносмии - невозможности воспринимать запахи. Следует отметить, что в начальной стадии заложенность носа носит односторонний характер. По мере роста эстезионейробластомы происходит смещение носовой перегородки в здоровую сторону, что приводит к сужению интактного носового хода и двустороннему расстройству носового дыхания.
Дальнейшее развитие заболевания зависит от направления роста опухоли и места ее регионарного метастазирования. При прорастании в передние отделы полости носа, эстезионейробластома заполняет ее так, что может быть обнаружена при визуальном осмотре носовых ходов. Если рост опухоли происходит в верхнечелюстную пазуху, то появляется припухлость скуловой области на стороне поражения и отечность края верхней челюсти. Прорастание эстезионейробластомы в ротовую полость приводит к шаткости и выпадению зубов.
Распространение эстезионейробластомы в полость черепа манифестирует признаками гидроцефалии и повышенного внутричерепного давления. К ним относятся: постоянная головная боль, чувство давления на глазные яблоки, тошнота, не имеющая связи с приемом пищи. В более поздних стадиях возникают нарушения со стороны черепно-мозговых нервов, корешки которых расположены на основании черепа.
Ассоциированные симптомы: Головная боль. Двоение в глазах. Заложенность носа. Потеря обоняния. Слабость мышц (парез). Тошнота. Увеличение шейных лимфоузлов.
Дальнейшее развитие заболевания зависит от направления роста опухоли и места ее регионарного метастазирования. При прорастании в передние отделы полости носа, эстезионейробластома заполняет ее так, что может быть обнаружена при визуальном осмотре носовых ходов. Если рост опухоли происходит в верхнечелюстную пазуху, то появляется припухлость скуловой области на стороне поражения и отечность края верхней челюсти. Прорастание эстезионейробластомы в ротовую полость приводит к шаткости и выпадению зубов.
Распространение эстезионейробластомы в полость черепа манифестирует признаками гидроцефалии и повышенного внутричерепного давления. К ним относятся: постоянная головная боль, чувство давления на глазные яблоки, тошнота, не имеющая связи с приемом пищи. В более поздних стадиях возникают нарушения со стороны черепно-мозговых нервов, корешки которых расположены на основании черепа.
Ассоциированные симптомы: Головная боль. Двоение в глазах. Заложенность носа. Потеря обоняния. Слабость мышц (парез). Тошнота. Увеличение шейных лимфоузлов.
Диагностика
Диагностический поиск при эстезионейробластоме зачастую проводится совместными усилиями отоларинголога, невролога, нейрохирурга и офтальмолога. Заподозрить опухоль позволяют данные риноскопии. Перед ее проведением электроаспиратором отсасывают из полости носа мешающую обследованию густую слизь. Риноскопия обнаруживает резкое смещение носовой перегородки и наличие опухолевой массы, имеющей красновато-синюшнюю окраску и бугристую поверхность, часто кровоточащей при проведении исследования. Риноскопия дает возможность дифференцировать эстезионейробластому от инородного тела, полипов носа и аденоидов.
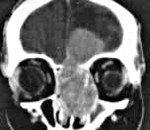
Эстезионейробластома может быть обнаружена по данным рентгенографии околоносовых пазух. Более информативными методами являются КТ носовых пазух и МРТ головного мозга, дающие исчерпывающую информацию о размерах опухоли и границах ее распространения. В 70-50% случаев эстезионейробластомы опухолевые клетки обнаруживаются при цитологическом анализе носового отделяемого. Однако их отсутствие в мазке не позволяет исключить опухоль. Окончательно верифицировать диагноз «Эстезионейробластома» возможно только по результатам гистологического исследования тканей новообразования, взятых путем биопсии в ходе риноскопии.
Поиск регионарных и отдаленных метастазов эстезионейробластомы проводится с использованием КТ глотки, УЗИ тканей шеи, сцинтиграфии скелета, КТ грудной клетки, МРТ печени и МСКТ брюшной полости.
Эстезионейробластома может быть обнаружена по данным рентгенографии околоносовых пазух. Более информативными методами являются КТ носовых пазух и МРТ головного мозга, дающие исчерпывающую информацию о размерах опухоли и границах ее распространения. В 70-50% случаев эстезионейробластомы опухолевые клетки обнаруживаются при цитологическом анализе носового отделяемого. Однако их отсутствие в мазке не позволяет исключить опухоль. Окончательно верифицировать диагноз «Эстезионейробластома» возможно только по результатам гистологического исследования тканей новообразования, взятых путем биопсии в ходе риноскопии.
Поиск регионарных и отдаленных метастазов эстезионейробластомы проводится с использованием КТ глотки, УЗИ тканей шеи, сцинтиграфии скелета, КТ грудной клетки, МРТ печени и МСКТ брюшной полости.
Лечение
В зависимости от размеров и расположения эстезионейробластомы, наличия и локализации метастазов, а также возраста пациента и общего состояния его здоровья, лечебная тактика может заключаться в хирургическом удалении опухоли, ее облучении или системной химиотерапии. Как правило, целесообразно комбинирование этих методов.
Хирургическое удаление эстезионейробластомы особенно эффективно при локализованном характере опухоли без прорастания на основание мозга и метастазирования. При небольшом размере опухоли оперативное вмешательство может быть проведено трансназально при помощи эндоскопа. Распространение процесса в переднюю черепную ямку требует проведения сложной нейрохирургической операции. При этом полное удаление опухоли не всегда возможно. Если эстезионейробластома прорастает в глазницу, то с участием офтальмохирургов или офтальмоонкологов производится экзентерация глазницы с последующим глазопротезированием.
Лучевая терапия эффективна как в отношении эстезионейробластомы, так и ее регионарных метастазов. Она может осуществляться в виде протоновой терапии, интенсивно-модулированной лучевой терапии или брахитерапии. Особым видом лучевой терапии выступает радиохирургия. Последняя подходит для лечения эстезионейробластом с труднодоступным расположением, при невозможности проведения открытого оперативного вмешательства в связи с тяжелым соматическим состоянием пациента.
Химиотерапия необходима при значительном распространении онкопроцесса и наличии метастазов. Обычно она проводиться на предоперационном этапе лечения и комбинируется с облучением.
Хирургическое удаление эстезионейробластомы особенно эффективно при локализованном характере опухоли без прорастания на основание мозга и метастазирования. При небольшом размере опухоли оперативное вмешательство может быть проведено трансназально при помощи эндоскопа. Распространение процесса в переднюю черепную ямку требует проведения сложной нейрохирургической операции. При этом полное удаление опухоли не всегда возможно. Если эстезионейробластома прорастает в глазницу, то с участием офтальмохирургов или офтальмоонкологов производится экзентерация глазницы с последующим глазопротезированием.
Лучевая терапия эффективна как в отношении эстезионейробластомы, так и ее регионарных метастазов. Она может осуществляться в виде протоновой терапии, интенсивно-модулированной лучевой терапии или брахитерапии. Особым видом лучевой терапии выступает радиохирургия. Последняя подходит для лечения эстезионейробластом с труднодоступным расположением, при невозможности проведения открытого оперативного вмешательства в связи с тяжелым соматическим состоянием пациента.
Химиотерапия необходима при значительном распространении онкопроцесса и наличии метастазов. Обычно она проводиться на предоперационном этапе лечения и комбинируется с облучением.
|
|
Связанные клинические рекомендации
Связанные стандарты мед. помощи
- Стандарт медицинской помощи детям при меланоме кожи и слизистых оболочек (диагностика и лечение)
- Стандарт медицинской помощи больным со злокачественным новообразованием полости носа и придаточных пазух
- Стандарт специализированной медицинской помощи при злокачественных новообразованиях носоглотки, полости носа и среднего уха, придаточных пазух II-IVA стадии (самостоятельная лучевая терапия)
- Стандарт специализированной медицинской помощи при злокачественных новообразованиях носоглотки, полости носа и среднего уха, придаточных пазух I-IVA стадии (самостоятельная дистанционная лучевая терапия)
- Стандарт первичной медико-санитарной помощи при злокачественных новообразованиях носа и придаточных пазух 0-IV стадии (обследование в целях установления диагноза заболевания и подготовки к противоопухолевому лечению)
- Стандарт специализированной медицинской помощи при злокачественных новообразованиях носоглотки, полости носа и среднего уха, придаточных пазух II-IVA стадии (пред- и послеоперационная лучевая терапия)
- Стандарт специализированной медицинской помощи при злокачественных новообразованиях носоглотки, полости носа и среднего уха, придаточных пазух II-IVA стадии (пред- и послеоперационная дистанционная лучевая терапия)
- Стандарт первичной медико-санитарной помощи при злокачественных новообразованиях носа и придаточных пазух 0-IV стадии (обследование при проведении диспансерного наблюдения)