Другие названия и синонимы
Hemangioblastoma.
МКБ-10 коды
|
|
Описание
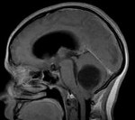
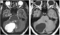
Гемангиобластома. Берущая начало в кровеносных сосудах доброкачественная опухоль головного мозга с преимущественной локализацией в мозжечке. Клинические симптомы гемангиобластомы зависят от ее расположения и могут включать головные боли, головокружения, тошноты, астению, застойные диски зрительных нервов, мозжечковый синдром (атаксия, нистагм, мышечная гипотония, интенционный тремор), двигательные и чувствительные нарушения, нарушения функции черепно-мозговых нервов и тазовых органов. Основу диагностики гемангиобластомы составляет МРТ головного мозга и гистологическое исследование образца опухоли. Самым эффективным способом лечения в отношении гемангиобластомы является ее полное удаление.
Дополнительные факты
Гемангиобластома составляет около 2% от всех опухолей, расположенных в черепной коробке. Наиболее часто гемангиобластома наблюдается у пациентов в возрасте от 40 до 60 лет. В 10% случаев гемангиобластома является проявлением передаваемой по наследству болезни Гиппеля-Линдау - факоматоза, характеризующегося возникающими в течение жизни множественными новообразованиями внутренних органов (кистами поджелудочной железы, феохромоцитомой, почечно-клеточной карциномой, ангиомой сетчатки и тд ). В таких случаях гемангиобластома обычно диагностируется в возрасте 20-30 лет.
Причины
Подобно другим новообразованиям нервной системы (краниофарингиоме, астроцитоме головного мозга, ганглионевроме, ганглионейробластоме, менингиоме и тд ) гемангиобластома может развиваться в результате воздействия на организм различных канцерогенных факторов. К последним относится ионизирующее излучение, повышенная инсоляция, контакт с производственными канцерогенными веществами (асбестом, бензолом, винилхлоридом, нефтяными и каменноугольными смолами, фенолформальдегидом и пр. ), онкогенные вирусы (например, ретровирусы, аденовирусы, вирус герпеса). Гемангиобластома, входящая в состав болезни Гиппеля-Линдау, имеет наследственную этиологию и связана с генетической мутацией в третьей хромосоме, приводящей к нарушению синтеза супрессора опухолевого роста. Наследуется аутосомно-доминантным путем.
Классификация
По макроскопическому строению в неврологии выделяют 3 группы гемангиобластом: солидные, кистозные и смешанные. Солидная (мягкотканная) гемангиобластома состоит из опухолевых клеток, собранных в единый окруженный капсулой узел, имеющий мягкую консистенцию и темно-вишневый цвет. Она составляет около 65% всех гемангиобластом. Кистозная гемангиобластома представляет собой гладкостенную кисту. В большинстве случаев на стенке кисты имеется небольшой солидный узелок. Примерно в 4-5% случаев встречаются гемангиобластомы смешанного типа, характеризующиеся наличием солидного узла, внутри которого расположены многочисленные кисты.
По микроскопическому (гистологическому) строению выделяют следующие варианты гемангиобластомы: ювенильную, переходную и чистоклеточную. Ювенильная гемангиобластома состоит в основном из тонкостенных капилляров, которые близко примыкают друг к другу. Переходная гемангиобластома примерно в равном соотношении содержит капилляры и стромальные клетки. Чистоклеточная гемангиобластома отличается многочисленными желтоватыми клетками, расположенными на патологически измененных сосудах.
По микроскопическому (гистологическому) строению выделяют следующие варианты гемангиобластомы: ювенильную, переходную и чистоклеточную. Ювенильная гемангиобластома состоит в основном из тонкостенных капилляров, которые близко примыкают друг к другу. Переходная гемангиобластома примерно в равном соотношении содержит капилляры и стромальные клетки. Чистоклеточная гемангиобластома отличается многочисленными желтоватыми клетками, расположенными на патологически измененных сосудах.
Клиническая картина
Клинические проявления гемангиобластомы зависят от ее локализации. В качестве внутримозговой опухоли полушарий мозга гемангиобластома выступает крайне редко. В 80-85% случаев она поражает гемисферы мозжечка, намного реже - его червь. Гемангиобластома спинного мозга по различным данным встречается в 3-13% случаев, гемангиобластома продолговатого мозга в 2-3% случаев.
Клиническая картина гемангиобластомы мозжечка складывается из общемозговых, мозжечковых и отдаленных симптомов. Общемозговая симптоматика гемангиобластомы обусловлена нарушением оттока цереброспинальной жидкости и нарастающей гидроцефалией. Характерна головная боль, практически не исчезающая на фоне приема анальгетиков и сосудорасширяющих препаратов. Она может затрагивать любые области, но чаще локализуется в затылке. При офтальмоскопии на ранних стадиях гамангиобластомы выявляются застойные диски зрительных нервов. Нередко наблюдается так называемый «застойный» лабиринтит, сопровождающийся интенсивным системным головокружением, тошнотой и рвотой. Лабиринтит застойного генеза и связанная с ним вестибулярная атаксия требуют дифференциации гемангиобластомы от воспалительных поражений внутреннего уха при среднем отите, функциональных нарушений при аэроотите, токсического поражения лабиринта при холестеатоме уха, болезни Меньера и сосудистых нарушений (хронической ишемии головного мозга).
Следует отметить, что общемозговая симптоматика может быть настолько выражена, что за ней с трудом выявляется собственно мозжечковый синдром, что существенно затрудняет диагностику гемангиобластомы. К этому примешиваются разнообразные отдаленные симптомы гемангиобластомы, в числе которых могут быть параличи черепно-мозговых нервов, судорожный синдром, пирамидные нарушения (парезы или параличи); реже отмечаются расстройства чувствительности.
К симптомом поражения мозжечка при гемангиобластоме относится в первую очередь мозжечковая атаксия. Гемангиобластома червя мозжечка проявляется статической атаксией, расстройством позы и ходьбы. Типичны шаткость или падение в позе Ромберга, вынужденно наклоненное положение головы, «пьяная» походка, латеропульсия (отклонение тела в сторону) при ходьбе, нарушение синхронизации движений (ассинергия). При локализации гемангиобластомы в полушарии мозжечка преобладает динамическая атаксия (нарушение координации движений), которая выявляется при помощи пальце-носовой и коленно-пяточной проб. Как и для других опухолей мозжечка, типичны избыточные несоразмерно размашистые движения (дисметрия), слишком крупный почерк (мегалография), расстройство быстрой смены движений (адиадохокинез), замедленная скандированная речь (артикуляционная атаксия). К прочим признакам поражения мозжечка относятся нистагм, мышечная гипотония, интенционный тремор.
В начале развития гемангиобластомы мозжечка нарушения отмечаются только на стороне локализации опухоли. Однако по мере роста гемангиобластомы она начинает сдавливать противоположное полушарие мозжечка и процесс принимает двусторонний характер. Присоединение симптомов поражения червя мозжечка, возникающих в результате его сдавления, приводит к развитию тотального мозжечкового синдрома. На поздних стадиях гемангиобластома зачастую сопровождается психическими расстройствами, часто в виде астении, депрессивного невроза или неврастении, и нарушением сознания в виде оглушенности.
Ассоциированные симптомы: Головная боль. Изменение аппетита. Изменение веса. Истощение. Ломота в мышцах. Лихорадка. Обонятельные галлюцинации. Отсутствие аппетита. Потеря веса. Рвота. Скандированная речь. Общая слабость. Судороги. Тошнота. Тремор. Тремор при движении.
Клиническая картина гемангиобластомы мозжечка складывается из общемозговых, мозжечковых и отдаленных симптомов. Общемозговая симптоматика гемангиобластомы обусловлена нарушением оттока цереброспинальной жидкости и нарастающей гидроцефалией. Характерна головная боль, практически не исчезающая на фоне приема анальгетиков и сосудорасширяющих препаратов. Она может затрагивать любые области, но чаще локализуется в затылке. При офтальмоскопии на ранних стадиях гамангиобластомы выявляются застойные диски зрительных нервов. Нередко наблюдается так называемый «застойный» лабиринтит, сопровождающийся интенсивным системным головокружением, тошнотой и рвотой. Лабиринтит застойного генеза и связанная с ним вестибулярная атаксия требуют дифференциации гемангиобластомы от воспалительных поражений внутреннего уха при среднем отите, функциональных нарушений при аэроотите, токсического поражения лабиринта при холестеатоме уха, болезни Меньера и сосудистых нарушений (хронической ишемии головного мозга).
Следует отметить, что общемозговая симптоматика может быть настолько выражена, что за ней с трудом выявляется собственно мозжечковый синдром, что существенно затрудняет диагностику гемангиобластомы. К этому примешиваются разнообразные отдаленные симптомы гемангиобластомы, в числе которых могут быть параличи черепно-мозговых нервов, судорожный синдром, пирамидные нарушения (парезы или параличи); реже отмечаются расстройства чувствительности.
К симптомом поражения мозжечка при гемангиобластоме относится в первую очередь мозжечковая атаксия. Гемангиобластома червя мозжечка проявляется статической атаксией, расстройством позы и ходьбы. Типичны шаткость или падение в позе Ромберга, вынужденно наклоненное положение головы, «пьяная» походка, латеропульсия (отклонение тела в сторону) при ходьбе, нарушение синхронизации движений (ассинергия). При локализации гемангиобластомы в полушарии мозжечка преобладает динамическая атаксия (нарушение координации движений), которая выявляется при помощи пальце-носовой и коленно-пяточной проб. Как и для других опухолей мозжечка, типичны избыточные несоразмерно размашистые движения (дисметрия), слишком крупный почерк (мегалография), расстройство быстрой смены движений (адиадохокинез), замедленная скандированная речь (артикуляционная атаксия). К прочим признакам поражения мозжечка относятся нистагм, мышечная гипотония, интенционный тремор.
В начале развития гемангиобластомы мозжечка нарушения отмечаются только на стороне локализации опухоли. Однако по мере роста гемангиобластомы она начинает сдавливать противоположное полушарие мозжечка и процесс принимает двусторонний характер. Присоединение симптомов поражения червя мозжечка, возникающих в результате его сдавления, приводит к развитию тотального мозжечкового синдрома. На поздних стадиях гемангиобластома зачастую сопровождается психическими расстройствами, часто в виде астении, депрессивного невроза или неврастении, и нарушением сознания в виде оглушенности.
Ассоциированные симптомы: Головная боль. Изменение аппетита. Изменение веса. Истощение. Ломота в мышцах. Лихорадка. Обонятельные галлюцинации. Отсутствие аппетита. Потеря веса. Рвота. Скандированная речь. Общая слабость. Судороги. Тошнота. Тремор. Тремор при движении.
|
|
Диагностика
Затруднения в диагностике гемангиобластомы связаны с неспецифичностью ее клинических проявлений, маскировкой неврологического дефицита и мозжечкового синдрома под выраженной общемозговой симптоматикой. Тщательный неврологический осмотр и дополнительная консультация офтальмолога, в ходе которой выявляются застойные диски зрительных нервов, позволяют заподозрить наличие внутричерепного объемного образования. При этом, кроме обычного первичного обследования в виде ЭЭГ, РЭГ и Эхо-ЭГ, пациенту в обязательном порядке должно быть проведено МРТ головного мозга.
В большинстве случаев исследование послойных горизонтальных и сагиттальных срезов, полученных при проведении МРТ, позволяет установить локализацию опухолевого процесса и дифференцировать его от абсцесса головного мозга, внутримозговой гематомы, очага демиелинизации при рассеянном склерозе, последствий тяжелой черепно-мозговой травмы, кисты головного мозга Окончательная диагностика гемангиобластомы и определение ее микроскопического типа возможны лишь после гистологического изучения образца опухоли. Необходимые для исследования опухолевые ткани могут быть получены в результате стереотаксической биопсии мозга или в ходе операции по удалению опухоли.
В большинстве случаев исследование послойных горизонтальных и сагиттальных срезов, полученных при проведении МРТ, позволяет установить локализацию опухолевого процесса и дифференцировать его от абсцесса головного мозга, внутримозговой гематомы, очага демиелинизации при рассеянном склерозе, последствий тяжелой черепно-мозговой травмы, кисты головного мозга Окончательная диагностика гемангиобластомы и определение ее микроскопического типа возможны лишь после гистологического изучения образца опухоли. Необходимые для исследования опухолевые ткани могут быть получены в результате стереотаксической биопсии мозга или в ходе операции по удалению опухоли.
Лечение
Единственным радикальным способом лечения при гемангиобластоме является ее полное удаление. В качестве оперативного доступа применяется краниотомия с удалением участка затылочной кости в области большого затылочного отверстия и резекцией дужки I шейного позвонка. Затем производится полное удаление солидного узла опухоли. При кистозном характере гемангиобластомы удаление узла сочетают с аспирацией содержимого кисты, стенки которой зачастую не требуют удаления.
Удаление опухоли мозжечка может проводиться в экстренном порядке при вклинении мозжечка в большое затылочное отверстие и сдавлении ствола мозга. В таких случаях для понижения внутричерепного давления предварительно производят пункцию бокового желудочка. Если в ходя операции возможно лишь частичное удаление гемангиобластомы, не обеспечивающее нормальный ликвороотток из полости черепа, то дополнительно производится шунтирующая операция: вентрикулостомия, наружное ветрикулярное дренирование или вентрикулоперитонеальное шунтирование.
Лучевая терапия может применяться при наличии противопоказаний к проведению хирургического лечения, в случае множественного характера гемангиобластомы или в качестве противорецидивного лечения при ее неполном удалении.
Удаление опухоли мозжечка может проводиться в экстренном порядке при вклинении мозжечка в большое затылочное отверстие и сдавлении ствола мозга. В таких случаях для понижения внутричерепного давления предварительно производят пункцию бокового желудочка. Если в ходя операции возможно лишь частичное удаление гемангиобластомы, не обеспечивающее нормальный ликвороотток из полости черепа, то дополнительно производится шунтирующая операция: вентрикулостомия, наружное ветрикулярное дренирование или вентрикулоперитонеальное шунтирование.
Лучевая терапия может применяться при наличии противопоказаний к проведению хирургического лечения, в случае множественного характера гемангиобластомы или в качестве противорецидивного лечения при ее неполном удалении.
Прогноз
Доброкачественный характер гемангиобластомы обеспечивает благоприятный прогноз при ее полном удалении, которое возможно в 80-85% заболевания. Частичное удаление опухолевых клеток солидного узла приводит к послеоперационному рецидиву опухоли. Ухудшает прогноз гемангиобластомы диагностирование у пациента болезни Гиппеля-Линдау.