Другие названия и синонимы
Ganglioneuroblastoma.
МКБ-10 коды
|
|
Описание
Ганглионейробластома. Злокачественная неврогенная опухоль, содержащая нейробласты и находящиеся на различных стадиях дифференцировки ганглиозные клетки. Ганглионейробластома характеризуется анорексией, похуданием, лихорадкой, симптомами избытка катехоламинов (повышение АД, потливость, гиперемия лица, тахикардия). В зависимости от локализации опухоли могут наблюдаться симптомы сдавления органов брюшной полости или средостения, очаговая неврологическая симптоматика. Диагностика ганглионейробластомы основана на визуализации опухоли при помощи УЗИ, КТ, МРТ, МСКТ и ее морфологической верификации при изучении биопсийного материала. Наиболее эффективный способ лечения ганглионейробластомы - это радикальное или расширенное удаление опухоли.
Дополнительные факты
Ганглионейробластома представляет собой лишенный капсулы серо-розовый или серый опухолевый узел, имеющий очаги кровоизлияний и некротические участки. Среди опухолей симпатической нервной системы ганглионейробластома занимает второе место по частоте возникновения. Она составляет около 40% опухолей этой группы. В половине случаев ганглионейробластома располагается в забрюшинном пространстве, 40% ее локализации приходится на заднее средостение. Ганглионейробластома ЦНС является редким видом опухоли и составляет всего 0,5% наблюдений.
Ганглионейробластома является результатом злокачественной трансформации ганглионевромы и занимает промежуточное положение между этой доброкачественной опухолью и крайне злокачественной нейробластомой. На сегодняшний день неврология и медицина в целом не имеют точных сведений о причинах, приводящих к развитию ганглионейробластомы. Наиболее часто ганглионейробластома встречается у детей, преимущественно в возрастном промежутке от 4 до 10 лет. Отдельно выделяют так называемую комбинированную ганглионейробластому, имеющую строение ганглионевромы с участками из нейробластов. Такая ганглионейробластома встречается в основном среди пациентов старше 10 лет, а средний возраст заболевших составляет 20 лет.
Ганглионейробластома является результатом злокачественной трансформации ганглионевромы и занимает промежуточное положение между этой доброкачественной опухолью и крайне злокачественной нейробластомой. На сегодняшний день неврология и медицина в целом не имеют точных сведений о причинах, приводящих к развитию ганглионейробластомы. Наиболее часто ганглионейробластома встречается у детей, преимущественно в возрастном промежутке от 4 до 10 лет. Отдельно выделяют так называемую комбинированную ганглионейробластому, имеющую строение ганглионевромы с участками из нейробластов. Такая ганглионейробластома встречается в основном среди пациентов старше 10 лет, а средний возраст заболевших составляет 20 лет.
Клиническая картина
Ганглионейробластома забрюшинного пространства проявляется общими симптомами: снижением массы тела, анорексией, анемией, лихорадкой. Может наблюдаться периорбитальный отек. Поскольку ганглионейробластома сопровождается повышением в крови котехоламинов (адреналина, дофамина, норадреналина), клинически зачастую наблюдаются обусловленные их избытком симптомы: повышенное потоотделение, артериальная гипертензия, тахикардия, покраснение лица, иногда - хронический понос.
Ганглионейробластома средостения характеризуется прежде всего нарушением дыхательной функции: одышкой, кашлем, стенотическим дыханием или стридором, приступами асфиксии. Указанные симптомы чаще бывают вызваны рефлекторными механизмами и нейропатическим парезом гортани, возникающими при сдавлении опухолью блуждающего нерва или его ветвей. Они отличаются внезапным появлением и быстрым развитием клиники в течение нескольких дней. При этом опухоль может иметь небольшой размер, не вызывать смещения структур средостения и не распространяться на легкие. Если ганглионейробластома оказывает давление на верхнегрудные симпатические узлы, то в клинической картине наблюдается нарушение потоотделения, анизокория (разный размер зрачков), синдром Горнера: опущение верхнего века (птоз), расширение зрачка (миоз), энофтальм.
Ассоциированные симптомы: Изменение аппетита. Изменение веса. Истощение. Ломота в мышцах. Лихорадка. Обонятельные галлюцинации. Одышка. Отсутствие аппетита. Понос (диарея). Потеря веса. Потливость. Слабость мышц (парез).
Ганглионейробластома средостения характеризуется прежде всего нарушением дыхательной функции: одышкой, кашлем, стенотическим дыханием или стридором, приступами асфиксии. Указанные симптомы чаще бывают вызваны рефлекторными механизмами и нейропатическим парезом гортани, возникающими при сдавлении опухолью блуждающего нерва или его ветвей. Они отличаются внезапным появлением и быстрым развитием клиники в течение нескольких дней. При этом опухоль может иметь небольшой размер, не вызывать смещения структур средостения и не распространяться на легкие. Если ганглионейробластома оказывает давление на верхнегрудные симпатические узлы, то в клинической картине наблюдается нарушение потоотделения, анизокория (разный размер зрачков), синдром Горнера: опущение верхнего века (птоз), расширение зрачка (миоз), энофтальм.
Ассоциированные симптомы: Изменение аппетита. Изменение веса. Истощение. Ломота в мышцах. Лихорадка. Обонятельные галлюцинации. Одышка. Отсутствие аппетита. Понос (диарея). Потеря веса. Потливость. Слабость мышц (парез).
Диагностика
В лабораторной диагностике ганглионейробластомы имеет значение определение содержания катехоламинов в крови и их метаболитов (ванилилминдальной кислоты и гомованилиновой кислоты) в моче.
Рентгенологическое исследование позволяет получить лишь косвенные данные за опухоль. При ее локализации в забрюшинном пространстве на обзорной рентгенографии органов брюшной полости выявляется растяжение петель кишечника и паравертебральные кальцификаты, при расположении опухоли в средостении на рентгенографии органов грудной клетки можно выявить округлую плотную тень, локальное расширение межреберных промежутков, наличие «узур» на ребрах в местах их примыкания к опухоли.
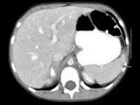
С целью визуализации ганглионейробластомы применяется МСКТ или УЗИ органов брюшной полости, КТ органов грудной клетки, пневмомедиастинография, МРТ головного мозга. Для обнаружения метастазов опухоли применяется рентгенография и сцинтиграфия скелета, УЗИ печени, пункционная биопсия лимфатического узла и пр.
Окончательно ганглионейробластома может быть диагностирована лишь при микроскопическом исследовании образца опухоли, полученного интраоперационно или в ходе биопсии. В диагностике ганглионейробластомы головного мозга может применяться стереотаксическая биопсия. При гистологическом исследовании в случае ганглионейробластомы в препарате обнаруживаются мелкие незрелые нейроциты с разной степенью дифференцировки, крупные многоядерные нейроциты с вакуолями в цитоплазме, участки некроза и мелкие кисты. Комбинированная ганглионейробластома характеризуется сходным с ганглионевромой строением, отличительной особенностью является наличие очагов, состоящих из нейробластов, которые могут иметь или не иметь признаков дифференцировки.
Ганглионейробластома нуждается в дифференцировке от других злокачественных новообразований, имеющих мелкоклеточное строение, например, от лимфомы, глиобластомы и метастатических опухолей.
Рентгенологическое исследование позволяет получить лишь косвенные данные за опухоль. При ее локализации в забрюшинном пространстве на обзорной рентгенографии органов брюшной полости выявляется растяжение петель кишечника и паравертебральные кальцификаты, при расположении опухоли в средостении на рентгенографии органов грудной клетки можно выявить округлую плотную тень, локальное расширение межреберных промежутков, наличие «узур» на ребрах в местах их примыкания к опухоли.
С целью визуализации ганглионейробластомы применяется МСКТ или УЗИ органов брюшной полости, КТ органов грудной клетки, пневмомедиастинография, МРТ головного мозга. Для обнаружения метастазов опухоли применяется рентгенография и сцинтиграфия скелета, УЗИ печени, пункционная биопсия лимфатического узла и пр.
Окончательно ганглионейробластома может быть диагностирована лишь при микроскопическом исследовании образца опухоли, полученного интраоперационно или в ходе биопсии. В диагностике ганглионейробластомы головного мозга может применяться стереотаксическая биопсия. При гистологическом исследовании в случае ганглионейробластомы в препарате обнаруживаются мелкие незрелые нейроциты с разной степенью дифференцировки, крупные многоядерные нейроциты с вакуолями в цитоплазме, участки некроза и мелкие кисты. Комбинированная ганглионейробластома характеризуется сходным с ганглионевромой строением, отличительной особенностью является наличие очагов, состоящих из нейробластов, которые могут иметь или не иметь признаков дифференцировки.
Ганглионейробластома нуждается в дифференцировке от других злокачественных новообразований, имеющих мелкоклеточное строение, например, от лимфомы, глиобластомы и метастатических опухолей.
Лечение
Удаление ганглионейробластомы головного мозга производится нейрохирургами в соответствии с принципами операций при опухолях головного мозга. Оперативное вмешательство при ганглионейробластоме средостения и забрюшинного пространства производят хирурги и торакальные хирурги. При этом, если ганглионейробластома не прорастает в окружающие ткани, то осуществляется ее радикальное удаление. Однако чаще приходится выполнять расширенное удаление опухоли, включающее резекцию жировой клетчатки и регионарных лимфатических узлов. В случаях, когда ганглионейробластома не может быть удалена полностью для декомпрессии окружающих ее анатомических структур производят паллиативное удаление опухоли, ее частичную резекцию.
Хирургическое лечение ганглионейробластомы сочетают с химиотерапией препаратами винкристин и циклофосфамид. У детей более старшего возраста возможно применение лучевой терапии. В тяжелых случаях может потребоваться пересадка костного мозга.
Хирургическое лечение ганглионейробластомы сочетают с химиотерапией препаратами винкристин и циклофосфамид. У детей более старшего возраста возможно применение лучевой терапии. В тяжелых случаях может потребоваться пересадка костного мозга.
Прогноз
Средняя 2-летняя выживаемость пациентов с ганглионейробластомой составляет 70%. Как показали клинические наблюдения, ганглионейробластома, локализующаяся в заднем средостении, имеет более благоприятный прогноз. При ней 2-летняя выживаемость приближается к 80%, в то время как при ганглионейробластоме забрюшинной локализации она находится на уровне 60%. Пациенты с нераспространенной ганглионейробластомой и после радикальной операции живут дольше 2-х лет более, чем в 95% случаев. При распространенном характере опухоли и наличии метастазов 2-летняя выживаемость составляет лишь 50%.
|
|