Другие названия и синонимы
Pineoblastoma.
Описание
Пинеобластома. Злокачественное новообразование, берущее начало в паренхиматозных клетках шишковидной железы (эпифиза). Сопровождается окклюзионной гидроцефалией, поражением церебрального ствола, мозжечка. Проявляется симптомами резко повышенного внутричерепного давления, зрительными, глазодвигательными расстройствами, нарушением сна, мозжечковым синдромом. Пинеобластома диагностируется при помощи нейровизуализации, исследования ликвора, гистологического анализа тканей новообразования. Лечение включает 3 этапа: нейрохирургическую операцию по удалению опухолевых тканей, лучевую терапию, полихимиотерапию.
|
|
Дополнительные факты
Пинеобластома является низкодифференцированной эмбриональной опухолью, входит в группу нейроэктодермальных новообразований. По структуре неоплазия схожа с другими злокачественными образованиями, берущими начало в тканях нейроэктодермального происхождения: ретинобластомой, медуллобластомой. Опухолевый рост начинается в клетках эпифиза - небольшой железы, секретирующей мелатонин, который оказывает регулирующее влияние на циклы сон-бодрствование. Пинеобластома - редкая церебральная опухоль, встречается в 0,1% случаев всех интракраниальных новообразований. Наблюдается преимущественно в детском возрасте. Лица мужского пола страдают чаще, однако точные цифры гендерного распределения заболеваемости отсутствуют.
Причины
Злокачественная опухоль эпифиза возникает вследствие мутации отдельных пинеоцитов, приобретающих способность интенсивно делиться. Мутации носят спорадический характер, что не исключает существование наследственной предрасположенности. Точные причины раковой трансформации пинеоцитов не установлены. Предположительно мутагенный эффект оказывают следующие неблагоприятные факторы:
• Ионизирующее излучение. Обладает повреждающим действием на геном живых организмов. Повышенный радиационный фон, проведение лучевой терапии (лечение лейкоза, раковых опухолей) способны спровоцировать возникновение церебральной опухоли.
• Осложнённое течение беременности. Внутриутробные инфекции, гипоксия плода, токсические воздействия (приём алкоголя, наркотиков, курение будущей матери) приводят к нарушению дифференцировки, изменению генома отдельных клеток. После рождения ребёнка сохранившиеся в эпифизе не прошедшие дифференцировку клетки-предшественники служат материалом для развития опухоли.
• Канцерогены. Вещества, способные повредить генетический аппарат клеток. Канцерогенным эффектом могут обладать составляющие пищевых продуктов (консерванты, красители, ароматизаторы), бытовой химии, лакокрасочных материалов. Канцерогены, поступающие в организм беременной, воздействуют на ребёнка в период внутриутробного развития, когда ткани наиболее уязвимы.
• Ионизирующее излучение. Обладает повреждающим действием на геном живых организмов. Повышенный радиационный фон, проведение лучевой терапии (лечение лейкоза, раковых опухолей) способны спровоцировать возникновение церебральной опухоли.
• Осложнённое течение беременности. Внутриутробные инфекции, гипоксия плода, токсические воздействия (приём алкоголя, наркотиков, курение будущей матери) приводят к нарушению дифференцировки, изменению генома отдельных клеток. После рождения ребёнка сохранившиеся в эпифизе не прошедшие дифференцировку клетки-предшественники служат материалом для развития опухоли.
• Канцерогены. Вещества, способные повредить генетический аппарат клеток. Канцерогенным эффектом могут обладать составляющие пищевых продуктов (консерванты, красители, ароматизаторы), бытовой химии, лакокрасочных материалов. Канцерогены, поступающие в организм беременной, воздействуют на ребёнка в период внутриутробного развития, когда ткани наиболее уязвимы.
Патогенез
Механизм возникновения злокачественных клеток в шишковидной железе неизвестен. Предполагается наличие множественных изменений внутриклеточного генетического аппарата, приводящих к кардинальной трансформации клеточных свойств пинеоцитов. Результатом является неконтролируемое размножение, отсутствие дифференцировки вновь образованных клеток - пинеобластов. Пинеобластома отличается активным инфильтративным ростом, быстрым распространением патологических клеток в окружающие ткани. Злокачественное образование разрушает ткани моста, продолговатого мозга, распространяется на мягкую мозговую оболочку, субарахноидальное пространство.
Эпифиз располагается вблизи сильвиевого водопровода, по которому осуществляется отток цереброспинальной жидкости (ликвора) из третьего в четвёртый желудочек. Быстро увеличивающаяся пинеобластома сдавливает сильвиев водопровод, блокируя ликвороотток. Цереброспинальная жидкость накапливается в полости III желудочка, формируется окклюзионная гидроцефалия, клинически проявляющаяся нарастающими симптомами интракраниальной гипертензии.
Макроскопически пинеобластома представляет собой плотно-эластичное образование бурого цвета. Микроскопически опухоль состоит из мелких мономорфных клеток с гиперхромными ядрами. Характерно наличие большого количества прорастающих опухоль сосудов с пролиферацией эндотелия. Определяются зоны колликвационного некроза, внутриопухолевые кровоизлияния.
Эпифиз располагается вблизи сильвиевого водопровода, по которому осуществляется отток цереброспинальной жидкости (ликвора) из третьего в четвёртый желудочек. Быстро увеличивающаяся пинеобластома сдавливает сильвиев водопровод, блокируя ликвороотток. Цереброспинальная жидкость накапливается в полости III желудочка, формируется окклюзионная гидроцефалия, клинически проявляющаяся нарастающими симптомами интракраниальной гипертензии.
Макроскопически пинеобластома представляет собой плотно-эластичное образование бурого цвета. Микроскопически опухоль состоит из мелких мономорфных клеток с гиперхромными ядрами. Характерно наличие большого количества прорастающих опухоль сосудов с пролиферацией эндотелия. Определяются зоны колликвационного некроза, внутриопухолевые кровоизлияния.
Клиническая картина
В период манифестации заболевания на первый план выходит симптоматика внутричерепной гипертензии: интенсивная головная боль, тошнота, рвота, ухудшение зрительной функции. У ряда пациентов отмечается повышение температуры тела. Дети раннего возраста беспокойны, капризничают. Может наблюдаться судорожный синдром. Прорастание опухоли в верхние отделы среднего мозга приводит к возникновению косоглазия, двоения в глазах, двустороннего птоза. Поражение мозжечка проявляется мозжечковой атаксией: шаткостью походки, несоразмерностью движений, расстройством координации. Изменение секреции мелатонина обуславливает нарушения сна - пациенты жалуются на трудности засыпания или отмечают гиперсомнию. Возможно возникновение гемипареза, снижение чувствительности половины тела, расстройство поведения.
Ассоциированные симптомы: Боль во всей голове. Гемипарез. Головная боль. Лейкоцитоз. Рвота. Судороги. Тошнота. Шаткая походка.
Ассоциированные симптомы: Боль во всей голове. Гемипарез. Головная боль. Лейкоцитоз. Рвота. Судороги. Тошнота. Шаткая походка.
Возможные осложнения
Пинеобластома характеризуется быстрым ростом внутричерепного давления вследствие окклюзии ликвороносных путей. Ситуацию усугубляет прорастание неоплазии в полость III желудочка. Со временем опухолевые массы заполняют боковые желудочки, практически полностью обтурируют желудочковую систему. Значительное увеличение объёма желудочков в ограниченном внутричерепном пространстве приводит к сдавлению головного мозга.
Склонность пинеобластомы к метастазированию обуславливает образование вторичных метастатических очагов в различных областях головного и спинного мозга. Тяжёлым осложнением является кровоизлияние в ткань опухоли с прорывом крови в желудочки. По мере роста пинеобластома сдавливает и прорастает ткани продолговатого мозга, где расположены витальные центры дыхательной и сердечно-сосудистой регуляции. Поражение последних вызывает летальный исход.
Склонность пинеобластомы к метастазированию обуславливает образование вторичных метастатических очагов в различных областях головного и спинного мозга. Тяжёлым осложнением является кровоизлияние в ткань опухоли с прорывом крови в желудочки. По мере роста пинеобластома сдавливает и прорастает ткани продолговатого мозга, где расположены витальные центры дыхательной и сердечно-сосудистой регуляции. Поражение последних вызывает летальный исход.
Диагностика
Диагностический поиск осуществляется специалистами в сфере неврологии и нейрохирургии. Сбор анамнеза даёт представление о течении беременности, родов, послеродового периода, времени и симптомах начала заболевания. Исследуя неврологический статус, невролог определяет примерную локализацию патологического процесса. Дальнейшие обследования пациента включают:
• Клинические анализы. В общем анализе крови возможен лейкоцитоз, признаки анемии. Биохимический анализ крови выявляет повышение уровня АЛТ, АСТ, снижение концентрации белка.
• Осмотр окулиста. Основной методикой является офтальмоскопия. Выявление отёка диска зрительного нерва свидетельствует о существенном повышении внутричерепного давления.
• Исследование цереброспинальной жидкости. Позволяет исключить инфекционное поражение ЦНС. Обнаруживает значительный цитоз, повышенную концентрацию белка, наличие опухолевых клеток (пинеобластов). При кровоизлиянии в ликворе определяются эритроциты.
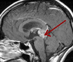
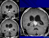
• Нейровизуализацию. Предпочтение отдаётся МРТ головного мозга, в старшем возрасте при наличии противопоказаний к МРТ возможно проведение церебральной КТ. Нейровизуализирующие методики дают возможность диагностировать неоплазию, определить характер её роста, установить локализацию и распространённость процесса.
• Стереотаксическую биопсию опухоли. Проводится в сложных диагностических случаях для решения вопроса о целесообразности нейрохирургического лечения. В большинстве случаев верификация новообразования осуществляется путём гистологического исследования материала, полученного интраоперационно.
Пинеобластома дифференцируется от доброкачественной пинеоцитомы, других интракраниальных объёмных образований (опухолей, церебральной кисты, абсцесса), энцефалита, травматических повреждений. При манифестации симптоматики в первый год жизни необходимо исключение врождённых аномалий развития мозга. У детей раннего возраста симптомы дебюта (тошнота, рвота, повышение температуры) могут быть ошибочно приняты за проявления кишечной инфекции.
• Клинические анализы. В общем анализе крови возможен лейкоцитоз, признаки анемии. Биохимический анализ крови выявляет повышение уровня АЛТ, АСТ, снижение концентрации белка.
• Осмотр окулиста. Основной методикой является офтальмоскопия. Выявление отёка диска зрительного нерва свидетельствует о существенном повышении внутричерепного давления.
• Исследование цереброспинальной жидкости. Позволяет исключить инфекционное поражение ЦНС. Обнаруживает значительный цитоз, повышенную концентрацию белка, наличие опухолевых клеток (пинеобластов). При кровоизлиянии в ликворе определяются эритроциты.
• Нейровизуализацию. Предпочтение отдаётся МРТ головного мозга, в старшем возрасте при наличии противопоказаний к МРТ возможно проведение церебральной КТ. Нейровизуализирующие методики дают возможность диагностировать неоплазию, определить характер её роста, установить локализацию и распространённость процесса.
• Стереотаксическую биопсию опухоли. Проводится в сложных диагностических случаях для решения вопроса о целесообразности нейрохирургического лечения. В большинстве случаев верификация новообразования осуществляется путём гистологического исследования материала, полученного интраоперационно.
Пинеобластома дифференцируется от доброкачественной пинеоцитомы, других интракраниальных объёмных образований (опухолей, церебральной кисты, абсцесса), энцефалита, травматических повреждений. При манифестации симптоматики в первый год жизни необходимо исключение врождённых аномалий развития мозга. У детей раннего возраста симптомы дебюта (тошнота, рвота, повышение температуры) могут быть ошибочно приняты за проявления кишечной инфекции.
|
|
Лечение
Ранее предпочтительным считалось консервативное ведение больных. Применение микрохирургической техники позволило нейрохирургам увеличить радикальность удаления опухоли, расширить показания к операции. Современная схема лечения включает весь арсенал онкологов, делится на 3 основных этапа:
• Хирургическое лечение. Пинеобластома подлежит максимально радикальному иссечению. Противопоказаниями к операции являются прорастание новообразования в мозговой ствол с угрозой интраоперационного повреждения витальных центров, вовлечение в онкопроцесс сосудистых сплетений с вероятностью массивного кровотечения в ходе операции. В качестве паллиативных методик и для улучшения состояния пациента перед радикальным нейрохирургическим вмешательством применяются шунтирующие операции.
• Лучевая терапия. В связи с высокой злокачественностью, которой обладает пинеобластома, производится тотальное облучение головного и спинного мозга, дополнительное облучение опухолевого ложа. Количество сеансов, лучевая нагрузка определяются радиологом индивидуально с учетом возраста пациента, объёма поражения.
• Полихимиотерапия. Проводится в комбинации с лучевой терапией после нейрохирургической операции или в качестве паллиативного лечения неоперабельных случаев. Назначается химиотерапевтом, включает комбинацию 2-3 препаратов-цитостатиков (винкристин, этопозид, карбоплатин). Побочные эффекты химиотерапии требуют дополнительного симптоматического лечения.
• Хирургическое лечение. Пинеобластома подлежит максимально радикальному иссечению. Противопоказаниями к операции являются прорастание новообразования в мозговой ствол с угрозой интраоперационного повреждения витальных центров, вовлечение в онкопроцесс сосудистых сплетений с вероятностью массивного кровотечения в ходе операции. В качестве паллиативных методик и для улучшения состояния пациента перед радикальным нейрохирургическим вмешательством применяются шунтирующие операции.
• Лучевая терапия. В связи с высокой злокачественностью, которой обладает пинеобластома, производится тотальное облучение головного и спинного мозга, дополнительное облучение опухолевого ложа. Количество сеансов, лучевая нагрузка определяются радиологом индивидуально с учетом возраста пациента, объёма поражения.
• Полихимиотерапия. Проводится в комбинации с лучевой терапией после нейрохирургической операции или в качестве паллиативного лечения неоперабельных случаев. Назначается химиотерапевтом, включает комбинацию 2-3 препаратов-цитостатиков (винкристин, этопозид, карбоплатин). Побочные эффекты химиотерапии требуют дополнительного симптоматического лечения.
Прогноз
Пинеобластома всегда имеет серьёзный прогноз. Летальный исход обусловлен сдавлением мозга, кровоизлиянием в желудочки, поражением жизненно важных центров продолговатого мозга. Комбинированная трехэтапная терапия позволяет продлить жизнь пациентов. Склонность опухоли к имплантационному распространению, метастазированию обуславливает высокую частоту рецидивов. Прогноз зависит от возраста больного, распространённости опухолевого процесса. У детей до 5 лет пинеобластома отличается более злокачественным течением, 5-летняя выживаемость наблюдается лишь в 15% случаев, в возрасте старше 6 лет прогноз более благоприятен. В случае диссеминации опухоли пациенты погибают в течение года с момента дебюта клинической симптоматики.
Профилактика
Поскольку причины и механизмы злокачественной трансформации пинеоцитов остаются неизвестными, специфическая профилактика заболевания не представляется возможной.