Другие названия и синонимы
Pneumocephaly.
МКБ-10 коды
|
|
Описание
Пневмоцефалия - скопление воздуха внутри черепной коробки. Воздух может располагаться в церебральных оболочках, в веществе мозга и в его желудочках. Пневмоцефалия возникает как осложнение травм головы, нейрохирургических оперативных вмешательств, опухолей головного мозга и церебральных инфекций. Ее патогномоничным симптомом выступает «шум плеска Гиппократа», однако зачастую пневмоцефалия бывает скрыта за симптомами основной патологии. Выявить интракраниальное скопление воздуха можно при помощи рентгенографии черепа, МРТ или КТ головного мозга. Консервативное лечение предусматривает терапию основного заболевания или травмы, антибактериальную, сосудистую, нейропротекторную, противосудорожную терапию, назначение диуретиков и купирование цефалгии. По показаниям проводится хирургическое лечение - пункционное дренирование воздушной кисты, удаление опухоли или воспалительного очага, ушивание мозговых оболочек.
Дополнительные факты
Впервые термин «пневмоцефалия» был употреблен в 1884 году. Следует подчеркнуть, что пневмоцефалия не является отдельной нозологической единицей, она возникает как осложнение черепно-мозговых травм, внутримозговых опухолей и инфекций, внутричерепных оперативных вмешательств. В настоящее время в нейрохирургии и неврологии различают несколько видов данной патологии. Травматическая пневмоцефалия составляет около 73%, опухолевая - 12%, инфекционная - 9%, послеоперационная - 5%, менее 1% приходится на идиопатическую пневмоцефалию. В зависимости от локализации воздуха пневмоцефалия дифференцируется на субдуральную, внутримозговую и внутрижелудочковую. В соответствии с клиническим течением пневмоцефалия имеет 4 формы: скрытую, эпилептическую, воспалительную, масс-форму.
Причины
Наиболее часто пневмоцефалия развивается в результате черепно-мозговой травмы. В большинстве случаев ее причиной является перелом стенок параназальных пазух (решетчатой, основной, лобной), реже - перелом черепа другой локализации. Однако пневмоцефалия может возникнуть и при закрытой ЧМТ, не сопровождающейся повреждением черепных костей. Механизм ее развития связан с резким повышением в момент травмы внутричерепного давления, что приводит к выпячиванию твердой мозговой оболочки в решетчатые отверстия и ее разрыву. В отдельных случаях наблюдается пневмоцефалия, обусловленная проникающим огнестрельным ранением головы.
Пневмоцефалия опухолевого генеза возникает, когда разрастание опухолевых тканей приводит к образованию сообщения черепной коробки с внешней средой. Инфекционная пневмоцефалия обусловлена анаэробным характером воспаления с выделением и скоплением пузырьков воздуха. Зачастую анаэробное воспаление церебральных тканей развивается на фоне иммуносупрессии - при наличии ВИЧ-инфекции, вирусного гепатита С, сепсиса. Послеоперационная пневмоцефалия наиболее часто отмечается после оперативных вмешательств на задней черепной ямке, особенно у пациентов, которым операция проводилась в положении сидя.
Пневмоцефалия опухолевого генеза возникает, когда разрастание опухолевых тканей приводит к образованию сообщения черепной коробки с внешней средой. Инфекционная пневмоцефалия обусловлена анаэробным характером воспаления с выделением и скоплением пузырьков воздуха. Зачастую анаэробное воспаление церебральных тканей развивается на фоне иммуносупрессии - при наличии ВИЧ-инфекции, вирусного гепатита С, сепсиса. Послеоперационная пневмоцефалия наиболее часто отмечается после оперативных вмешательств на задней черепной ямке, особенно у пациентов, которым операция проводилась в положении сидя.
Патогенез
Механизм интракраниального проникновения воздуха может варьировать. В одних случаях это происходит единоразово в момент травмы, в других - воздух нагнетается под твердую мозговую оболочку по типу клапанного механизма в соответствии с фазами дыхания, при кашле или чихании пострадавшего. Как правило, клапанный механизм наблюдается при субдуральной локализации воздушного пузыря. Его опасность заключается в значительном повышении внутричерепного давления, приводящем к масс-эффекту - смещению церебральных структур с опасностью вклинения мозгового ствола в затылочное отверстие, приводящего к смерти пациента.
Послеоперационная пневмоцефалия чаще связана с механизмом, носящим название «воздух из бутылки». Вскрытие мозговых оболочек с доступом к ликворным путям связано со значительными потерями цереброспинальной жидкости, место которой занимает воздух. Строение и расположение оболочек мозга обуславливает образование при ликворной потери свободных полостей, заполняемых воздухом, в субдуральном пространстве лобной области и в боковых желудочках. Односторонняя внутрижелудочковая пневмоцефалия приводит к дислокационному синдрому. Может возникать феномен «воздушного колокола», когда воздушный пузырь из одного бокового желудочка пролабирует во второй желудочек, перекрывая при этом циркуляцию ликвора. Двусторонняя внутрижелудочковая пневмоцефалия вызывает расстройство ликвороциркуляции с развитием гидроцефалии и внутричерепной гипертензии.
Послеоперационная пневмоцефалия чаще связана с механизмом, носящим название «воздух из бутылки». Вскрытие мозговых оболочек с доступом к ликворным путям связано со значительными потерями цереброспинальной жидкости, место которой занимает воздух. Строение и расположение оболочек мозга обуславливает образование при ликворной потери свободных полостей, заполняемых воздухом, в субдуральном пространстве лобной области и в боковых желудочках. Односторонняя внутрижелудочковая пневмоцефалия приводит к дислокационному синдрому. Может возникать феномен «воздушного колокола», когда воздушный пузырь из одного бокового желудочка пролабирует во второй желудочек, перекрывая при этом циркуляцию ликвора. Двусторонняя внутрижелудочковая пневмоцефалия вызывает расстройство ликвороциркуляции с развитием гидроцефалии и внутричерепной гипертензии.
Клиническая картина
По некоторым данным примерно в половине случаев пневмоцефалия имеет скрытое течение и никак не отражается на клинике основной патологии. Кроме того, пневмоцефалия не имеет патогномоничной симптоматики. Ее клиника зависит от основного заболевания, объема и локализации скопления воздуха. В основном отмечается головная боль, вегетативные нарушения, тошнота и рвота, судорожный синдром, ликворея. Единственный специфический симптом пневмоцефалии - интракраниальный «шум плеска Гиппократа», возникающий при поворотах головой. Пациенты характеризуют его как чувство «переливания жидкости» или «бульканья» в голове. Однако «шум плеска» наблюдается достаточно редко.
Ассоциированные симптомы: Боль во всей голове. Головная боль. Рвота. Судороги. Тошнота.
Ассоциированные симптомы: Боль во всей голове. Головная боль. Рвота. Судороги. Тошнота.
Диагностика
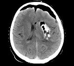
Поскольку пневмоцефалия не имеет специфических клинических проявлений и в половине случаев наблюдается ее субклиническое течение, то диагностировать ее клинически неврологу и нейрохирургу практически невозможно. Интракраниальное наличие воздуха может быть выявлено при рентгенографии черепа. Для диагностики основной патологии, определения локализации и размеров воздушного пузыря целесообразно проведение КТ или МРТ головного мозга. КТ головного мозга выявляет субдуральное, интравентрикулярное или внутрицеребральное скопление воздуха (воздушную кисту), может наблюдаться феномен «воздушного колокола». Инфекционная пневмоцефалия отличается наличием на томограммах перифокального воспаления.
В сложных диагностических ситуациях анализ ликвора позволяет уточнить характер основного заболевания, на фоне которого развилась пневмоцефалия. При необходимости исследования цереброспинальной жидкости люмбальная пункция должна быть выполнена с особой осторожностью, поскольку снижение внутричерепного давления может привести к еще большему интракраниальному нагнетанию воздуха и дислокации мозговых структур.
В сложных диагностических ситуациях анализ ликвора позволяет уточнить характер основного заболевания, на фоне которого развилась пневмоцефалия. При необходимости исследования цереброспинальной жидкости люмбальная пункция должна быть выполнена с особой осторожностью, поскольку снижение внутричерепного давления может привести к еще большему интракраниальному нагнетанию воздуха и дислокации мозговых структур.
Лечение
Пациенту рекомендован строгий постельный режим. Поскольку в большинстве случаев пневмоцефалия является результатом сообщения церебральных структур с внешней средой, проводится профилактическая антибиотикотерапия. При инфекционном характере заболевания необходимо этиотропное антибактериальное лечение. Из антибиотиков широкого спектра применяются что способны проникать через гематоэнцефалический барьер (цефтриаксон, цефтазидим, цефотаксим, цефепим). Для улучшения резорбции воздуха в кровеносное русло используют сосудистую терапию (винпоцетин, нимодипин, пентоксифиллин).
Остается открытым вопрос о том, нуждается ли пневмоцефалия в дегидратационной терапии. Поскольку пневмоцефалия зачастую сопровождается потерей цереброспинальной жидкости, некоторые авторы рекомендуют регидратационную терапию. Однако при ее проведении не наблюдается такого восполнения потерь ликвора, чтобы он мог вытеснить воздух из полости черепа. Напротив, регидратация опасна нарастанием масс-эффекта. Но и интенсивная дегидратация может привести к ухудшению состояния пациента. Поэтому целесообразно назначение диуретических препаратов, действие которых основано на снижении ликворопродукции (например, ацетазоламид).
В качестве симптоматического лечения применяют противосудорожную терапию (карбамазепин, фенобарбитал, диазепам), противовоспалительные препараты и центральную электроанальгезию для купирования цефалгии. С целью защиты и скорейшего восстановления церебральных клеток назначают ноотропилпирацетам, гинкго билобу, мельдоний, глицин.
Пневмоцефалия подлежит хирургическому лечению в следующих случаях: при продолжении интракраниального поступления воздуха на фоне проводимых консервативных мероприятий; при рецидиве пневмоцефалии; при образовании свищевого хода в твердой мозговой оболочке; при инфекционном или опухолевом характере пневмоцефалии. Широко применяются пункционные способы лечения - двусторонняя пункция бокового желудочка, субдуральная пункция воздушной полости. Среди открытых операционных методик применяется ушивание или пластика твердой мозговой оболочки, удаление опухоли, удаление абсцесса мозга.
Остается открытым вопрос о том, нуждается ли пневмоцефалия в дегидратационной терапии. Поскольку пневмоцефалия зачастую сопровождается потерей цереброспинальной жидкости, некоторые авторы рекомендуют регидратационную терапию. Однако при ее проведении не наблюдается такого восполнения потерь ликвора, чтобы он мог вытеснить воздух из полости черепа. Напротив, регидратация опасна нарастанием масс-эффекта. Но и интенсивная дегидратация может привести к ухудшению состояния пациента. Поэтому целесообразно назначение диуретических препаратов, действие которых основано на снижении ликворопродукции (например, ацетазоламид).
В качестве симптоматического лечения применяют противосудорожную терапию (карбамазепин, фенобарбитал, диазепам), противовоспалительные препараты и центральную электроанальгезию для купирования цефалгии. С целью защиты и скорейшего восстановления церебральных клеток назначают ноотропилпирацетам, гинкго билобу, мельдоний, глицин.
Пневмоцефалия подлежит хирургическому лечению в следующих случаях: при продолжении интракраниального поступления воздуха на фоне проводимых консервативных мероприятий; при рецидиве пневмоцефалии; при образовании свищевого хода в твердой мозговой оболочке; при инфекционном или опухолевом характере пневмоцефалии. Широко применяются пункционные способы лечения - двусторонняя пункция бокового желудочка, субдуральная пункция воздушной полости. Среди открытых операционных методик применяется ушивание или пластика твердой мозговой оболочки, удаление опухоли, удаление абсцесса мозга.
|
|