Другие названия и синонимы
Bullous emphysema of the lung, Альвеолярная киста, Буллезная болезнь, Буллезное легкое, Ложная киста, Синдром исчезающего легкого.
МКБ-10 коды
- МКБ-10
- J43 Эмфизема
|
|
Описание
Буллезная эмфизема легкого. Локальные изменения легочной ткани, характеризующиеся деструкцией альвеолярных перегородок и формированием воздушных кист диаметром более 1 см (булл). При неосложненном течении буллезной эмфиземы легких симптомы могут отсутствовать вплоть до возникновения спонтанного пневмоторакса. Диагностическое подтверждение буллезной эмфиземы легких достигается с помощью рентгенографии, КТ высокого разрешения, сцинтиграфии, торакоскопии. При бессимптомной форме возможно динамическое наблюдение. В случае прогрессирующего или осложненного течения буллезной болезни легких проводится хирургическое лечение (буллэктомия, сегментэктомия, лобэктомия).
Дополнительные факты
Буллезная эмфизема легкого - ограниченная эмфизема, морфологическую основу которой составляют воздушные полости (буллы) в паренхиме легкого. В зарубежной пульмонологии принято различать блебы (англ. «blebs» - пузыри) - воздушные полости размером менее 1 расположенные в интерстиции и субплеврально, и буллы - воздушные образования диаметром более 1 стенки которых выстланы альвеолярным эпителием. Точная распространенность буллезной эмфиземы легкого не определена, однако известно, что данное заболевание служит причиной спонтанного пневмоторакса в 70-80% случаев. В литературе буллезную эмфизему легких можно встретить под названиями «буллезная болезнь», «буллезное легкое», «ложная/альвеолярная киста», «синдром исчезающего легкого».
Причины
На сегодняшний день существует ряд теорий, объясняющих генез буллезной болезни (механическая, сосудистая, инфекционная, обструктивная, генетическая, ферментативная). Приверженцы механической теории высказывают предположение, что горизонтальное расположение I-II ребер у части людей приводит к травматизации верхушки легкого, вызывая развитие апикальной буллезной эмфиземы. Также существует мнение, что буллы являются следствием легочной ишемии, в развитии буллезной болезни участвует сосудистый компонент.
Инфекционная теория связывает происхождение буллезной эмфиземы легких с неспецифическими воспалительными процессами, главным образом, вирусными инфекциями дыхательных путей. В этом случае локальные буллезные изменения являются прямым следствием обструктивного бронхиолита, сопровождающегося перерастяжением участков легкого. Данная концепция подтверждается тем, что часто рецидивы спонтанного пневмоторакса случаются в периоды эпидемий гриппа и аденовирусной инфекции. Возможно возникновение локальной буллезной эмфиземы в области верхушки легкого после перенесенного туберкулеза. На основании наблюдений выдвинута теория о генетической обусловленности буллезной эмфиземы легких. Описаны семьи, в которых данное заболевание прослеживалось у представителей нескольких поколений.
Морфологические изменения в легких (буллы) могут иметь либо врожденное, либо приобретенное происхождение. Врожденные буллы формируются при дефиците ингибитора эластазы - a1-антитрипсина, следствием чего является ферментативное разрушение легочной ткани. Высокая вероятность развития буллезной эмфиземы легких отмечается при синдроме Марфана, синдроме Элерса-Данлоса и других формах соединительнотканной дисплазии.
Приобретенные буллы в большинстве случаев развиваются на фоне имеющихся эмфизематозных изменений легких и пневмосклероза. У 90% больных буллезной эмфиземой легких в анамнезе прослеживается длительный стаж курения (10-20 лет при ежедневном выкуривании более 20 сигарет). Доказано, что даже пассивное курение повышает вероятность развития буллезной болезни на 10-43%. Другими известными факторами риска выступают загрязнение воздуха аэрогенными поллютантами, дымовыми газами, летучими химическими соединениями и пр. ; частые респираторные заболевания, гиперреактивность бронхов, нарушения иммунного статуса, мужской пол и пр.
Процесс формирования булл проходит 2 стадии. На первом этапе бронхообструкция, ограниченные рубцово-склеротические процессы и плевральные сращения создают клапанный механизм, повышающий давление в мелких бронхах и способствующий образованию воздушных пузырей с сохранением межальвеолярных перегородок. На второй стадии происходит прогрессирующее растяжение воздушных полостей за счет механизма коллатерального дыхания.
Инфекционная теория связывает происхождение буллезной эмфиземы легких с неспецифическими воспалительными процессами, главным образом, вирусными инфекциями дыхательных путей. В этом случае локальные буллезные изменения являются прямым следствием обструктивного бронхиолита, сопровождающегося перерастяжением участков легкого. Данная концепция подтверждается тем, что часто рецидивы спонтанного пневмоторакса случаются в периоды эпидемий гриппа и аденовирусной инфекции. Возможно возникновение локальной буллезной эмфиземы в области верхушки легкого после перенесенного туберкулеза. На основании наблюдений выдвинута теория о генетической обусловленности буллезной эмфиземы легких. Описаны семьи, в которых данное заболевание прослеживалось у представителей нескольких поколений.
Морфологические изменения в легких (буллы) могут иметь либо врожденное, либо приобретенное происхождение. Врожденные буллы формируются при дефиците ингибитора эластазы - a1-антитрипсина, следствием чего является ферментативное разрушение легочной ткани. Высокая вероятность развития буллезной эмфиземы легких отмечается при синдроме Марфана, синдроме Элерса-Данлоса и других формах соединительнотканной дисплазии.
Приобретенные буллы в большинстве случаев развиваются на фоне имеющихся эмфизематозных изменений легких и пневмосклероза. У 90% больных буллезной эмфиземой легких в анамнезе прослеживается длительный стаж курения (10-20 лет при ежедневном выкуривании более 20 сигарет). Доказано, что даже пассивное курение повышает вероятность развития буллезной болезни на 10-43%. Другими известными факторами риска выступают загрязнение воздуха аэрогенными поллютантами, дымовыми газами, летучими химическими соединениями и пр. ; частые респираторные заболевания, гиперреактивность бронхов, нарушения иммунного статуса, мужской пол и пр.
Процесс формирования булл проходит 2 стадии. На первом этапе бронхообструкция, ограниченные рубцово-склеротические процессы и плевральные сращения создают клапанный механизм, повышающий давление в мелких бронхах и способствующий образованию воздушных пузырей с сохранением межальвеолярных перегородок. На второй стадии происходит прогрессирующее растяжение воздушных полостей за счет механизма коллатерального дыхания.
Классификация
По отношению к паренхиме легкого различают буллы трех типов: 1 - буллы расположены экстрапаренхиматозно и связаны с легким посредством узкой ножки; 2 - буллы расположены на поверхности легкого и связаны с ним широким основанием; 3 - буллы расположены интрапаренхиматозно, в толще легочной ткани.
Кроме этого, буллы могут быть солитарными и множественными, одно- и двусторонними, напряженными и ненапряженными. По распространенности в легком дифференцируют локализованную (в пределах 1-2-х сегментов) и генерализованную (с поражением более 2-х сегментов) буллезную эмфизему. В зависимости от размера буллы могут быть мелкими (диаметром до 1 см), средними (1-5 см), крупными (5-10 см) и гигантскими (10-15 см в диаметре). Буллы могут располагаться как в неизмененном легком, так и в легких, пораженных диффузной эмфиземой.
По клиническому течению классифицируют буллезную эмфизему легких:
• бессимптомную (клинические проявления отсутствуют).
• с клиническими проявлениями (одышкой, кашлем, болью в грудной клетке).
• осложненную (рецидивирующим пневмотораксом, гидропневмотораксом, гемопневмотораксом, легочно-плевральным свищом, кровохарканьем, ригидным легким, эмфиземой средостения, хронической дыхательной недостаточностью).
Кроме этого, буллы могут быть солитарными и множественными, одно- и двусторонними, напряженными и ненапряженными. По распространенности в легком дифференцируют локализованную (в пределах 1-2-х сегментов) и генерализованную (с поражением более 2-х сегментов) буллезную эмфизему. В зависимости от размера буллы могут быть мелкими (диаметром до 1 см), средними (1-5 см), крупными (5-10 см) и гигантскими (10-15 см в диаметре). Буллы могут располагаться как в неизмененном легком, так и в легких, пораженных диффузной эмфиземой.
По клиническому течению классифицируют буллезную эмфизему легких:
• бессимптомную (клинические проявления отсутствуют).
• с клиническими проявлениями (одышкой, кашлем, болью в грудной клетке).
• осложненную (рецидивирующим пневмотораксом, гидропневмотораксом, гемопневмотораксом, легочно-плевральным свищом, кровохарканьем, ригидным легким, эмфиземой средостения, хронической дыхательной недостаточностью).
Клиническая картина
Пациенты с буллезной болезнью легких часто имеют астеническую конституцию, вегето-сосудистые нарушения, искривление позвоночника, деформацию грудной клетки, гипотрофию мышц.
Клиническая картина буллезной эмфиземы легких определяется, главным образом, ее осложнениями, поэтому длительный период времени заболевание никак не проявляет себя. Несмотря на то, что буллезно измененные участки легочной ткани не участвуют в газообмене, компенсаторные возможности легких долго остаются на высоком уровне. Если буллы достигают гигантских размеров, они могут сдавливать функционирующие участки легкого, вызывая нарушение функции дыхания. Признаки дыхательной недостаточности могут определяться у больных с множественными, двусторонними буллами, а также буллезной болезнью, протекающей на фоне диффузной эмфиземы легких.
Ассоциированные симптомы: Боль в грудной клетке. Кашель. Кровохарканье. Одышка.
Клиническая картина буллезной эмфиземы легких определяется, главным образом, ее осложнениями, поэтому длительный период времени заболевание никак не проявляет себя. Несмотря на то, что буллезно измененные участки легочной ткани не участвуют в газообмене, компенсаторные возможности легких долго остаются на высоком уровне. Если буллы достигают гигантских размеров, они могут сдавливать функционирующие участки легкого, вызывая нарушение функции дыхания. Признаки дыхательной недостаточности могут определяться у больных с множественными, двусторонними буллами, а также буллезной болезнью, протекающей на фоне диффузной эмфиземы легких.
Ассоциированные симптомы: Боль в грудной клетке. Кашель. Кровохарканье. Одышка.
Диагностика
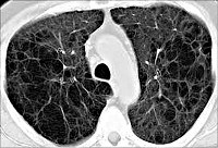
Диагностика буллезной эмфиземы легких основывается на клинических, функциональных и рентгенологических данных. Курация больного осуществляется пульмонологом, а при развитии осложнений - торакальным хирургом. Рентгенография легких не всегда эффективна в выявлении буллезной эмфиземы легких. В то же время, возможности лучевой диагностики существенно расширяет внедрение в практику КТ высокого разрешения. На томограммах буллы определяются как тонкостенные полости с четкими и ровными контурами. При сомнительном диагнозе удостовериться в наличии булл позволяет диагностическая торакоскопия.
Вентиляционно-перфузионная сцинтиграфия легких позволяет оценить соотношение функционирующей и выключенной из вентиляции легочной ткани, что чрезвычайно важно для планирования хирургического вмешательства. С целью определения степени легочной недостаточности исследуется функция внешнего дыхания. Критерием эмфизематозных изменений служит снижение OФВ1, пробы Тиффно и ЖЁЛ; увеличение общего объема легких и ФОЕ (функциональной остаточной емкости).
Вентиляционно-перфузионная сцинтиграфия легких позволяет оценить соотношение функционирующей и выключенной из вентиляции легочной ткани, что чрезвычайно важно для планирования хирургического вмешательства. С целью определения степени легочной недостаточности исследуется функция внешнего дыхания. Критерием эмфизематозных изменений служит снижение OФВ1, пробы Тиффно и ЖЁЛ; увеличение общего объема легких и ФОЕ (функциональной остаточной емкости).
|
|
Лечение
Больные с бессимптомным течением буллезной эмфиземы легких и первым эпизодом спонтанного пневмоторакса подлежат наблюдению. Им рекомендуется избегать физического напряжения, инфекционных заболеваний. Предотвратить прогрессирование буллезной эмфиземы легких позволяют методы физической реабилитации, метаболическая терапия, физиотерапия. При развившемся спонтанном пневмотораксе показано немедленное выполнение плевральной пункции или дренирования плевральной полости с целью расправления легкого.
Профилактика
В случае нарастания признаков дыхательной недостаточности, увеличения размеров полости (при контрольной рентгенографии или КТ легких), возникновения рецидивов пневмоторакса, неэффективности дренирующих процедур для расправления легкого, ставится вопрос об оперативном лечении буллезной эмфиземы. В зависимости от выраженности изменений, локализации и размеров булл их удалении может производиться путем буллэктомии, краевой резекции, сегментэктомии, лобэктомии. Различные операции по поводу буллезной болезни могут выполняться открытым способом или с использованием видеоэндоскопических технологий (торакоскопическая резекция легкого). С целью предупреждение рецидива спонтанного пневмоторакса может осуществляться плевродез (обработка плевральной полости йодированным тальком, лазерная или диатермокоагуляция) либо плеврэктомия.
Прогноз
Профилактика буллезной болезни в целом аналогична мероприятиям по предупреждению эмфиземы легких. Необходимо безоговорочное исключение курения ( воздействия табачного дыма на детей и некурящих людей), контакта с вредными производственными и средовыми факторами, предупреждение респираторных инфекций. Пациентам с диагностированной буллезной эмфиземой легких следует избегать ситуаций, провоцирующий разрыв булл.