Другие названия и синонимы
Lobar emphysema, Бронхиолярная эмфизема, Врожденная локализованная эмфизема, Гипертрофическая эмфизема новорожденных, Долевая обтурационная эмфизема, Эмфизема напряжения.
МКБ-10 коды
- МКБ-10
- J43 Эмфизема
|
|
Описание
Лобарная эмфизема. Врожденная патология бронхо - легочной системы, проявляющаяся повышенным воздухонаполнением альвеол доли легкого вследствие стеноза или обструкции приводящего бронха. Наиболее яркими проявлениями порока служат одышка, цианоз, свистящее дыхание, приступы асфиксии, которые обычно развиваются вскоре после рождения или на первом году жизни ребенка. При подозрении на лобарную эмфизему проводится рентгенологическое обследование (рентгенография, бронхография, ангиопульмонография), исследование ФВД. При подтверждении диагноза показано удаление эмфизематозно измененной доли легкого (лобэктомия).
Дополнительные факты
Лобарная эмфизема - порок развития легкого, характеризующийся эмфизематозным вздутием и увеличением объема его доли. Относится к числу редких врожденных патологий: распространенность лобарной эмфиземы не превышает 1 случай на 100 тыс. родившихся детей; заболевание чаще регистрируется у мальчиков. Врожденная лобарная эмфизема легких проявляется уже в детском возрасте, при декомпенсированной форме - в период новорожденности или в первые месяцы жизни, что требует проведения срочного хирургического вмешательства. В связи с этим в педиатрии и пульмонологии особую актуальность приобретают вопросы антенатальной диагностики и поиска путей адекватной хирургической коррекции врожденных пороков легких.
Причины
Долгое время лобарная эмфизема считалась приобретенным заболеванием легких, возникающим в результате внутрибронхиальной обструкции. Впоследствии, с увеличением числа клинических наблюдений был доказан врожденный генез данной патологии.
В настоящее время доминирует точка зрения, что морфологическую основу лобарной эмфиземы составляет гипоплазия или аплазия хрящевых элементов соответствующего долевого бронха (бронхомаляция). В результате в момент выдоха бронхи спадаются, а поступивший в легкие воздух задерживается в альвеолах, приводя к перерастяжению доли легкого. Между тем, указанные морфологические изменения бронхов обнаруживаются лишь в половине случаев лобарной эмфиземы.
Возникновению клапанного механизма (так называемой «воздушной ловушки») также может способствовать частичная бронхиальная обструкция, обусловленная гипертрофией (повышенной складчатостью) слизистой оболочки бронха, наличием слизистых пробок в просвете бронхиального дерева, внешней компрессией долевого бронха опухолями средостения, увеличенными лимфоузлам, бронхогенными кистами, аберрантными артериальными сосудами и пр. В некоторых случаях причиной лобарной эмфиземы выступает врожденная дисплазия легочной паренхимы, аплазия гладких мышц терминальных и респираторных бронхиол, агенезия внутридольковых ветвей бронхиального дерева.
При лобарной эмфиземе пораженная доля легкого эмфизематозно изменена, увеличена в объеме, не спадается на выдохе. В результате вздутая доля сдавливает здоровые участки легкого, вызывает смещение органов средостения, следствием чего служит развитие дыхательной недостаточности и нарушения кровообращения.
В настоящее время доминирует точка зрения, что морфологическую основу лобарной эмфиземы составляет гипоплазия или аплазия хрящевых элементов соответствующего долевого бронха (бронхомаляция). В результате в момент выдоха бронхи спадаются, а поступивший в легкие воздух задерживается в альвеолах, приводя к перерастяжению доли легкого. Между тем, указанные морфологические изменения бронхов обнаруживаются лишь в половине случаев лобарной эмфиземы.
Возникновению клапанного механизма (так называемой «воздушной ловушки») также может способствовать частичная бронхиальная обструкция, обусловленная гипертрофией (повышенной складчатостью) слизистой оболочки бронха, наличием слизистых пробок в просвете бронхиального дерева, внешней компрессией долевого бронха опухолями средостения, увеличенными лимфоузлам, бронхогенными кистами, аберрантными артериальными сосудами и пр. В некоторых случаях причиной лобарной эмфиземы выступает врожденная дисплазия легочной паренхимы, аплазия гладких мышц терминальных и респираторных бронхиол, агенезия внутридольковых ветвей бронхиального дерева.
При лобарной эмфиземе пораженная доля легкого эмфизематозно изменена, увеличена в объеме, не спадается на выдохе. В результате вздутая доля сдавливает здоровые участки легкого, вызывает смещение органов средостения, следствием чего служит развитие дыхательной недостаточности и нарушения кровообращения.
Классификация
Выделяют три морфологических типа лобарной эмфиземы:
• полиальвеолярная доля - количество альвеол внутри измененной доли увеличено, но они имеют нормальные размеры;
• гипервентиляция доли - количество альвеол внутри изменой доли в норме, однако отмечается растяжение паренхимы вследствие бронхиального стеноза или обструкции;
• односторонняя долевая эмфизема с гипоплазией, сопровождающаяся компенсаторной эмфиземой противоположного легкого.
На основании клинического течения выделяют декомпенсированную (чаще возникает у недоношенных детей, проявляется вскоре после рождения и протекает с выраженной клинической симптоматикой), субкомпенсированную (проявляется в более старшем возрасте; клинические проявления выражены умеренно) и компенсированную (протекает практически бессимптомно) формы лобарной эмфиземы. В большинстве случаев поражается верхняя доля левого легкого, несколько реже - верхняя или средняя доля правого легкого, крайне редко - нижние доли обоих легких.
• полиальвеолярная доля - количество альвеол внутри измененной доли увеличено, но они имеют нормальные размеры;
• гипервентиляция доли - количество альвеол внутри изменой доли в норме, однако отмечается растяжение паренхимы вследствие бронхиального стеноза или обструкции;
• односторонняя долевая эмфизема с гипоплазией, сопровождающаяся компенсаторной эмфиземой противоположного легкого.
На основании клинического течения выделяют декомпенсированную (чаще возникает у недоношенных детей, проявляется вскоре после рождения и протекает с выраженной клинической симптоматикой), субкомпенсированную (проявляется в более старшем возрасте; клинические проявления выражены умеренно) и компенсированную (протекает практически бессимптомно) формы лобарной эмфиземы. В большинстве случаев поражается верхняя доля левого легкого, несколько реже - верхняя или средняя доля правого легкого, крайне редко - нижние доли обоих легких.
Клиническая картина
При декомпенсированной форме лобарной эмфиземы признаки дыхательной недостаточности манифестируют с первых дней жизни. У таких детей выражена одышка, тахикардия, цианоз носогубной области, стридорозное дыхание, эпизоды асфиксии, сопровождаемые судорогами и приступами потери сознания. Общее состояние расценивается как тяжелое. Кожные покровы бледные с синюшным оттенком и мелкоточечными кровоизлияниями. При отсутствии адекватной медицинской помощи может наступить летальный исход вследствие сердечно-легочной недостаточности.
У пациентов с субкомпенсированной лобарной эмфиземой клинические признаки аномалии появляются к концу периода новорожденности или в течение первого года жизни. Наиболее постоянный симптом - это одышка, усиливающаяся при сосании, увеличении двигательной активности, развитии инфекционно-воспалительных процессов в легких. Приступы удушья возникают редко и, как правило, купируются самостоятельно.
Компенсированная лобарная эмфизема обычно выявляется в дошкольном или школьном возрасте как случайная находка. Основанием для углубленного обследования таких детей могут стать постоянный сухой кашель, частые ОРВИ, рецидивирующие бронхиты, хроническая пневмония. Часто у таких детей развиваются деформации грудной клетки (воронкообразная, килевидная) и искривление позвоночника.
Ассоциированные симптомы: Кашель. Одышка. Судороги. Судороги в ногах.
У пациентов с субкомпенсированной лобарной эмфиземой клинические признаки аномалии появляются к концу периода новорожденности или в течение первого года жизни. Наиболее постоянный симптом - это одышка, усиливающаяся при сосании, увеличении двигательной активности, развитии инфекционно-воспалительных процессов в легких. Приступы удушья возникают редко и, как правило, купируются самостоятельно.
Компенсированная лобарная эмфизема обычно выявляется в дошкольном или школьном возрасте как случайная находка. Основанием для углубленного обследования таких детей могут стать постоянный сухой кашель, частые ОРВИ, рецидивирующие бронхиты, хроническая пневмония. Часто у таких детей развиваются деформации грудной клетки (воронкообразная, килевидная) и искривление позвоночника.
Ассоциированные симптомы: Кашель. Одышка. Судороги. Судороги в ногах.
Диагностика
Тяжелые формы лобарной эмфиземы диагностируются неонатологами или педиатрами в первые дни и недели жизни детей. При более стертом течении поводом для обращения к детскому пульмонологу обычно становятся частые бронхо-легочные инфекции. При осмотре обращает внимание бочкообразная деформация грудной клетки; перкуторно отмечается тимпанит над областью поражения, дыхание резко ослаблено или не прослушивается.
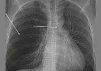
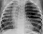
В качестве первичного скрининг-обследования всем пациентам проводится рентгенография легких. При этом на снимках обнаруживается повышенная воздушность пораженной доли, смещение средостения в здоровую сторону, уплощение купола диафрагмы. Расширенное обследование направлено на оценку тяжести анатомо-функциональных изменений в легких и выбор тактики лечения.
МСКТ легких позволяет более полно визуализировать измененную долю, определить ее размеры, архитектонику и взаимоотношения со здоровыми отделами легкого. Ангиопульмонография информативна для уточнения гемодинамики в пораженной доле. Бронхография производится, главным образом, больным с компенсированной формой лобарной эмфиземы в целях исключения других патологических процессов бронхиального дерева. Перфузионная сцинтиграфия легких выявляет снижение или отсутствие накопления радиофармпрепарата в патологическом участке легочной ткани.
Визуальная оценка долевого бронха с помощью бронхоскопии необходима для исключения внешней компрессии бронхиального дерева аномальными сосудами или опухолями. При лобарной эмфиземе устье пораженного бронха имеет щелевидную форму. Данные спирометрии характеризуются снижением ЖЕЛ, увеличением остаточного объема легких, обструктивными нарушениями. Лобарная эмфизема требует дифференциальной диагностики с пневмотораксом, кистой легкого, синдромом Маклеода, диафрагмальной грыжей, гипоплазией легкого, ателектазом доли легкого.
В качестве первичного скрининг-обследования всем пациентам проводится рентгенография легких. При этом на снимках обнаруживается повышенная воздушность пораженной доли, смещение средостения в здоровую сторону, уплощение купола диафрагмы. Расширенное обследование направлено на оценку тяжести анатомо-функциональных изменений в легких и выбор тактики лечения.
МСКТ легких позволяет более полно визуализировать измененную долю, определить ее размеры, архитектонику и взаимоотношения со здоровыми отделами легкого. Ангиопульмонография информативна для уточнения гемодинамики в пораженной доле. Бронхография производится, главным образом, больным с компенсированной формой лобарной эмфиземы в целях исключения других патологических процессов бронхиального дерева. Перфузионная сцинтиграфия легких выявляет снижение или отсутствие накопления радиофармпрепарата в патологическом участке легочной ткани.
Визуальная оценка долевого бронха с помощью бронхоскопии необходима для исключения внешней компрессии бронхиального дерева аномальными сосудами или опухолями. При лобарной эмфиземе устье пораженного бронха имеет щелевидную форму. Данные спирометрии характеризуются снижением ЖЕЛ, увеличением остаточного объема легких, обструктивными нарушениями. Лобарная эмфизема требует дифференциальной диагностики с пневмотораксом, кистой легкого, синдромом Маклеода, диафрагмальной грыжей, гипоплазией легкого, ателектазом доли легкого.
Лечение
Лечебная тактика при лобарной эмфиземе легких всегда хирургическая, только при декомпенсированной форме заболевания операция носит неотложный характер, а при субкомпенсированной и компенсированной - плановый. Предоперационная подготовка включает коррекцию сердечно-легочной недостаточности: кислородотерапию, введение сердечно-сосудистых средств, стероидных гормонов.
Оперативное вмешательство выполняется торакотомическим или торакоскопическим доступом. Объем резекции легкого варьирует от сегментэктомии до лобэктомии. Послеоперационное ведение больных предусматривает назначение антибиотикотерапии, дыхательной гимнастики, щелочных ингаляций, перкуторного массажа грудной клетки. Если лобарная эмфизема сочетается с деформациями грудной клетки или ВПС, может быть предусмотрена одномоментная коррекция существующих аномалий (торакопластика, ушивание ДМЖП, закрытие ОАП и тд ).
Послеоперационные результаты хирургического лечения лобарной эмфиземы обычно удовлетворительные. В большинстве случаев отмечается нормализация объема и перфузии легочной ткани. При естественном течении аномалии возможны инвалидизирующие последствия (пневмосклероз, отставание в физическом развитии) или летальный исход.
Оперативное вмешательство выполняется торакотомическим или торакоскопическим доступом. Объем резекции легкого варьирует от сегментэктомии до лобэктомии. Послеоперационное ведение больных предусматривает назначение антибиотикотерапии, дыхательной гимнастики, щелочных ингаляций, перкуторного массажа грудной клетки. Если лобарная эмфизема сочетается с деформациями грудной клетки или ВПС, может быть предусмотрена одномоментная коррекция существующих аномалий (торакопластика, ушивание ДМЖП, закрытие ОАП и тд ).
Послеоперационные результаты хирургического лечения лобарной эмфиземы обычно удовлетворительные. В большинстве случаев отмечается нормализация объема и перфузии легочной ткани. При естественном течении аномалии возможны инвалидизирующие последствия (пневмосклероз, отставание в физическом развитии) или летальный исход.
|
|