Другие названия и синонимы
Chronic lung abscess.
МКБ-10 коды
|
|
Описание
Хронический абсцесс легкого. Хронический гнойно - деструктивный процесс, являющийся следствием неполной ликвидации острого гнойника в легком. Протекает с ремиссиями и обострениями. В острый период выражены кашель с большим количеством гнойной мокроты, боли в груди, высокая температура тела, гнойная интоксикация, дыхательная недостаточность. При постановке диагноза «хронический абсцесс легкого» ориентируются на анамнез, данные физикального, рентгенологического и эндоскопического обследования. Хирургическое лечение хронического абсцесса легкого осуществляется после тщательной предоперационной подготовки.
Дополнительные факты
Хронический абсцесс легкого - длительно существующая полость нагноения в легком, ограниченная грубой фиброзной капсулой. Формированием хронического абсцесса легкого заканчивается 2,5-8% случаев острого абсцесса. Обычно о хроническом легочном нагноении говорят в том случае, если острый гнойно-деструктивный процесс не завершился в течение 2-3-х месяцев. Морфологическими критериями хронического абсцесса легкого служат необратимые изменения легочной паренхимы и бронхов. В пульмонологии хронический абсцесс легкого нередко рассматривают как вариант течения хронической пневмонии, поэтому относят к группе ХНЗЛ. Хронический абсцесс легкого является серьезной хирургической патологией с высоким риском развития тяжелых осложнений и летальности.
Причины
Чаще всего хроническое нагноение является следствием неполной ликвидации острого инфекционного процесса или его возобновления в остаточной полости. Этому могут способствовать две группы факторов: первая - ошибки лечения острого абсцесса, вторая - особенности течения гнойно-деструктивного процесса и системной реакции организма.
К ошибкам лечения острого абсцесса легкого следует отнести позднее начало консервативной терапии или ранее ее завершение, неадекватный подбор противомикробных средств или использование низких дозировок, неэффективную санацию гнойной полости и тд Особенности развития патологического процесса, способствующие формированию хронического абсцесса в легком, могут включать большие (свыше 6 см) или множественные полости деструкции; наличие внутриполостных секвестров; плохое дренирование гнойной полости через бронх (при узком, извитом просвете бронха); нижнедолевую локализацию абсцесса; наличие плевральных сращений, препятствующих облитерации полости Кроме локальных причин, имеет значение низкая резистентность организма, плохое питание, дефицит нутриентов, вредные привычки (курение, злоупотребление алкоголем, наркомания), пожилой возраст пациентов.
Иногда хронические абсцессы легких организуются вокруг инородных предметов в легочной паренхиме (фрагментов ребер, частиц одежды, осколков снарядов), попавших в результате проникающего ранения грудной клетки. К формированию хронического абсцесса легкого может привести длительное нахождение инородных тел в трахеобронхиальном дереве, сопровождающееся нарушением дренажа бронхов. Более редкими, но вполне вероятными причинами могут выступать деформирующий бронхит, сдавление бронха извне при бронхоадените. Среди этиологических микробных агентов, выявляемых при хроническом абсцессе легкого, лидером является патогенный стафилококк, за ним следуют кишечная палочка, протей, синегнойная палочка.
Патоморфологическую основу хронического абсцесса легкого составляют необратимые изменениям в легочной ткани. Стенка гнойника утолщена, представлена грубой фиброзной тканью. Каждое обострение инфекционного процесса ведет к распространению пневмосклероза в окружности абсцесса, деформации бронхов, тромбозу сосудов. Бронхогенное распространение инфекции обусловливает образование новых гнойников в легком. Аррозия стенки бронхиальных артерий может приводить к профузному легочному кровотечению, часто заканчивающемуся фатально.
К ошибкам лечения острого абсцесса легкого следует отнести позднее начало консервативной терапии или ранее ее завершение, неадекватный подбор противомикробных средств или использование низких дозировок, неэффективную санацию гнойной полости и тд Особенности развития патологического процесса, способствующие формированию хронического абсцесса в легком, могут включать большие (свыше 6 см) или множественные полости деструкции; наличие внутриполостных секвестров; плохое дренирование гнойной полости через бронх (при узком, извитом просвете бронха); нижнедолевую локализацию абсцесса; наличие плевральных сращений, препятствующих облитерации полости Кроме локальных причин, имеет значение низкая резистентность организма, плохое питание, дефицит нутриентов, вредные привычки (курение, злоупотребление алкоголем, наркомания), пожилой возраст пациентов.
Иногда хронические абсцессы легких организуются вокруг инородных предметов в легочной паренхиме (фрагментов ребер, частиц одежды, осколков снарядов), попавших в результате проникающего ранения грудной клетки. К формированию хронического абсцесса легкого может привести длительное нахождение инородных тел в трахеобронхиальном дереве, сопровождающееся нарушением дренажа бронхов. Более редкими, но вполне вероятными причинами могут выступать деформирующий бронхит, сдавление бронха извне при бронхоадените. Среди этиологических микробных агентов, выявляемых при хроническом абсцессе легкого, лидером является патогенный стафилококк, за ним следуют кишечная палочка, протей, синегнойная палочка.
Патоморфологическую основу хронического абсцесса легкого составляют необратимые изменениям в легочной ткани. Стенка гнойника утолщена, представлена грубой фиброзной тканью. Каждое обострение инфекционного процесса ведет к распространению пневмосклероза в окружности абсцесса, деформации бронхов, тромбозу сосудов. Бронхогенное распространение инфекции обусловливает образование новых гнойников в легком. Аррозия стенки бронхиальных артерий может приводить к профузному легочному кровотечению, часто заканчивающемуся фатально.
Клиническая картина
Переход от острого абсцесса к хроническому может развиваться по двум сценариям. В первом случае стадия острого гнойника завершается значительным клиническим улучшением или выздоровлением больного. Нормализуется температура тела, рентгенологически в легком определяется сухая полость и локальный пневмосклероз. Обострение наступает после некоторого периода благополучия и удовлетворительного самочувствия. При втором варианте развития событий острый период сразу же перетекает в хронический, без затихания клинической симптоматики.
Проявления хронического абсцесса легкого зависят от фазы патологического процесса. Во время ремиссии жалобы минимальны. Большинство пациентов беспокоит кашель со слизисто-гнойной мокротой, боль в груди при глубоком вдохе, одышка при физической нагрузке, вечерний субфебрилитет, потливость по ночам. Иногда наблюдается упорное кровохарканье. Внешне больные пониженного питания, имеют бледные кожные покровы, умеренный цианоз губ, деформацию пальцев и ногтей («пальцы Гиппократа»).
Обострения хронического абсцесса легкого обычно возникают 2-3 раз в год, однако могут случаться и чаще (каждые 2-3 месяца). Обычно они инициируются переохлаждением или ОРВИ. Острая фаза характеризуется усилением кашля, заметным изменением количества и характера мокроты. В сутки больные хроническим абсцессом легкого могут откашливать до 500 и более миллилитров гнойной мокроты, иногда с примесью крови. При отстаивании мокрота разделяется на три слоя: верхний - бесцветная пенистая слизь; средний - мутная, желтовато-зеленоватая жидкость; нижний - непрозрачный гной желтого или зеленоватого цвета. Запах мокроты - неприятный, иногда гнилостный. Температура тела повышается до фебрильных значений, ее колебания сопровождаются ознобами и обильными потами. Резко снижается аппетит, усиливается недомогание, становятся более выраженными боли в груди и одышка. Обострение может длиться от 2-3 недель до 2-х месяцев и дольше.
Ассоциированные симптомы: Боль в груди справа. Боль в грудной клетке. Высокая температура тела. Гипопротеинемия. Желтая мокрота. Зловонная мокрота. Изменение аппетита. Кашель. Кровохарканье. Лейкоцитоз. Мокрота. Недомогание. Одышка. Озноб. Потливость. Протеинурия. Слизисто-гнойная мокрота. Увеличение СОЭ. Цилиндрурия.
Проявления хронического абсцесса легкого зависят от фазы патологического процесса. Во время ремиссии жалобы минимальны. Большинство пациентов беспокоит кашель со слизисто-гнойной мокротой, боль в груди при глубоком вдохе, одышка при физической нагрузке, вечерний субфебрилитет, потливость по ночам. Иногда наблюдается упорное кровохарканье. Внешне больные пониженного питания, имеют бледные кожные покровы, умеренный цианоз губ, деформацию пальцев и ногтей («пальцы Гиппократа»).
Обострения хронического абсцесса легкого обычно возникают 2-3 раз в год, однако могут случаться и чаще (каждые 2-3 месяца). Обычно они инициируются переохлаждением или ОРВИ. Острая фаза характеризуется усилением кашля, заметным изменением количества и характера мокроты. В сутки больные хроническим абсцессом легкого могут откашливать до 500 и более миллилитров гнойной мокроты, иногда с примесью крови. При отстаивании мокрота разделяется на три слоя: верхний - бесцветная пенистая слизь; средний - мутная, желтовато-зеленоватая жидкость; нижний - непрозрачный гной желтого или зеленоватого цвета. Запах мокроты - неприятный, иногда гнилостный. Температура тела повышается до фебрильных значений, ее колебания сопровождаются ознобами и обильными потами. Резко снижается аппетит, усиливается недомогание, становятся более выраженными боли в груди и одышка. Обострение может длиться от 2-3 недель до 2-х месяцев и дольше.
Ассоциированные симптомы: Боль в груди справа. Боль в грудной клетке. Высокая температура тела. Гипопротеинемия. Желтая мокрота. Зловонная мокрота. Изменение аппетита. Кашель. Кровохарканье. Лейкоцитоз. Мокрота. Недомогание. Одышка. Озноб. Потливость. Протеинурия. Слизисто-гнойная мокрота. Увеличение СОЭ. Цилиндрурия.
Диагностика
Чаще всего в анамнезе больных хроническим абсцессом легкого имеется указание на перенесенное ранее гнойно-деструктивное воспаление. Кроме данных анамнеза, учитываются результаты физикального, рентгенологического, бронхологического и лабораторного обследования. При аускультации определяются хрипы различного калибра. В области патологического очага в легком заметно притупления перкуторного звука.
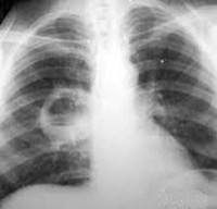
Исследование гемограммы выявляет анемию, лейкоцитоз со сдвигом формулы влево, повышение СОЭ, токсическую зернистость нейтрофилов. В моче определяется цилиндрурия, протеинурия. Для биохимических сдвигов при хроническом гнойном процессе типична гипопротеинемия, гипоальбуминемия при повышенном уровне иммуноглобулинов, гипокалиемия. Коагулопатические изменения связаны с увеличением уровня фибриногена. Решающим аргументом в постановке диагноза «хронический абсцесс» служат результаты рентгенографии легких. Типичная рентгенологическая картина - наличие в легком одной или нескольких полостей деструкции с толстыми неровными стенками и горизонтальным уровнем жидкости; вокруг гнойной полости определяются перифокальные изменения. Более детальную картину зоны патологического очага и окружающей абсцесс легочной ткани удается получить с помощью компьютерной томографии легких. Выявить деформированные бронхи и бронхоэктазы позволяет бронхография.
В процессе бронхоскопии уточняется характер изменений слизистой бронхов в зоне хронического абсцесса, осуществляется забор мокроты для проведения микроскопического и микробиологичесокго анализа. Данные спирометрии свидетельствуют о нарушениях внешнего дыхания по рестриктивному или смешанному типу.
Исследование гемограммы выявляет анемию, лейкоцитоз со сдвигом формулы влево, повышение СОЭ, токсическую зернистость нейтрофилов. В моче определяется цилиндрурия, протеинурия. Для биохимических сдвигов при хроническом гнойном процессе типична гипопротеинемия, гипоальбуминемия при повышенном уровне иммуноглобулинов, гипокалиемия. Коагулопатические изменения связаны с увеличением уровня фибриногена. Решающим аргументом в постановке диагноза «хронический абсцесс» служат результаты рентгенографии легких. Типичная рентгенологическая картина - наличие в легком одной или нескольких полостей деструкции с толстыми неровными стенками и горизонтальным уровнем жидкости; вокруг гнойной полости определяются перифокальные изменения. Более детальную картину зоны патологического очага и окружающей абсцесс легочной ткани удается получить с помощью компьютерной томографии легких. Выявить деформированные бронхи и бронхоэктазы позволяет бронхография.
В процессе бронхоскопии уточняется характер изменений слизистой бронхов в зоне хронического абсцесса, осуществляется забор мокроты для проведения микроскопического и микробиологичесокго анализа. Данные спирометрии свидетельствуют о нарушениях внешнего дыхания по рестриктивному или смешанному типу.
|
|
Дифференциальная диагностика
Дифференцировать хронический абсцесс легкого чаще всего приходится с полостной формой рака легких, туберкулезом, актиномикозом легкого.
Лечение
Возможности консервативного лечения хронического абсцесса легкого ограничены: оно позволяет добиться кратковременного стихания острых воспалительных явлений, но не может устранить стойких патоморфологических изменений, поддерживающих гнойный процесс. Чаще всего консервативная терапия является лишь подготовкой к хирургическому вмешательству. Лечение хронических абсцессов легких производится торакальными хирургами в условиях специализированных отделений.
В предоперационном периоде больному назначается высококалорийная, витаминизированная диета. С целью максимального подавления инфекции в легочном очаге назначаются антибактериальные препараты с учетом чувствительности микрофлоры, как системно, так и местно (введение в очаг через дренаж или эндобронхиально). Для лучшего отхождения мокроты показаны отхаркивающие, бронхорасширяюшие средства, ферментные препараты, в виде ингаляций. Производится местная санация полости деструкции посредством лечебных бронхоскопий и аспирационных промываний полости абсцесса. Важной составляющей предоперационной подготовки является инфузионная терапия, направленная на восполнение белковых потерь, электролитных нарушений, уменьшение гнойной интоксикации, коррекцию анемии и реологических изменений.
Оперативные вмешательства, производимые по поводу хронического абсцесса, сводятся к резекции легкого в различных объемах. Чаще всего производится лобэктомия, билобэктомия или пульмонэктомия. Проведение пневмотомии нецелесообразно, поскольку не позволяет ликвидировать саму полость и окружающие изменения. Летальность после операции составляет 3-10%. Оперативное лечение противопоказано при низких функциональных резервах организма (тяжелой дыхательной и сердечной недостаточности), распространенном амилоидозе внутренних органов. В этих случаях продолжительность жизни больных хроническим абсцессом легкого невелика.
Профилактика хронических абсцессов легких требует полноценного лечения острых абсцессов, наблюдения за пациентами с остаточными полостями, своевременного извлечения инородных тел бронхов и легочной ткани, отказа от вредных привычек.
В предоперационном периоде больному назначается высококалорийная, витаминизированная диета. С целью максимального подавления инфекции в легочном очаге назначаются антибактериальные препараты с учетом чувствительности микрофлоры, как системно, так и местно (введение в очаг через дренаж или эндобронхиально). Для лучшего отхождения мокроты показаны отхаркивающие, бронхорасширяюшие средства, ферментные препараты, в виде ингаляций. Производится местная санация полости деструкции посредством лечебных бронхоскопий и аспирационных промываний полости абсцесса. Важной составляющей предоперационной подготовки является инфузионная терапия, направленная на восполнение белковых потерь, электролитных нарушений, уменьшение гнойной интоксикации, коррекцию анемии и реологических изменений.
Оперативные вмешательства, производимые по поводу хронического абсцесса, сводятся к резекции легкого в различных объемах. Чаще всего производится лобэктомия, билобэктомия или пульмонэктомия. Проведение пневмотомии нецелесообразно, поскольку не позволяет ликвидировать саму полость и окружающие изменения. Летальность после операции составляет 3-10%. Оперативное лечение противопоказано при низких функциональных резервах организма (тяжелой дыхательной и сердечной недостаточности), распространенном амилоидозе внутренних органов. В этих случаях продолжительность жизни больных хроническим абсцессом легкого невелика.
Профилактика хронических абсцессов легких требует полноценного лечения острых абсцессов, наблюдения за пациентами с остаточными полостями, своевременного извлечения инородных тел бронхов и легочной ткани, отказа от вредных привычек.