Другие названия и синонимы
Osteochondroplastic tracheobronchopathy, Оссификация лёгких, Остеопластическая трахеобронхопатия.
МКБ-10 коды
|
|
Описание
Остеохондропластическая трахеобронхопатия. Состояние, при котором в подслизистом слое трахеи и бронхов образуются участки обызвествления и окостенения, выступающие в просвет дыхательных путей. Может проявляться одышкой, кашлем, кровохарканьем. Создаёт благоприятные условия для развития воспалительных процессов в нижних дыхательных путях. Диагностируется с помощью фибробронхоскопии, КТ, МРТ органов грудной клетки. Назначается симптоматическая консервативная терапия, направленная на устранение воспаления и улучшение самоочищения респираторного тракта. При выраженных стенозах осуществляется хирургическое лечение.
Дополнительные факты
Остеохондропластическая (остеопластическая) трахеобронхопатия, или оссификация лёгких, является редкой патологией. С одинаковой частотой встречается у мужчин и женщин. Прижизненно выявляется в 0,01-4,5% случаев от всех выполненных по любому поводу фибробронхоскопий. Обнаруживается у лиц в возрасте от 20 до 80 лет, чаще страдают пожилые люди. Наблюдаются единичные случаи оссификации дыхательных путей у детей и подростков. Обычно патологический процесс локализуется в средней и нижней трети трахеи и бронхах. Изолированная патология трахеи встречается в 80% случаев, бронхов - в 5%. Одновременное поражение бронхов и трахеи развивается приблизительно у 15% заболевших. Иногда участки обызвествления определяются в стенках гортани.
Причины
Этиологический фактор не установлен. Специалисты в сфере пульмонологии рассматривают несколько теорий возникновения данного заболевания. Предполагается наличие врождённой предрасположенности к обызвествлению участков подслизистого слоя респираторного тракта, а также разрастание костной ткани по типу опухолевого роста. Некоторые авторы связывают развитие патологического процесса с воспалением слизистой оболочки воздухоносных путей или хрящей трахеи специфической (туберкулёз, сифилис) и неспецифической этиологии. Установлено, что остеохондропластическая трахеобронхопатия является частым исходом первичного амилоидоза органов дыхания.
Патогенез
Патогенез патологии недостаточно изучен. Исследователи предполагают, что костная ткань в стенках дыхательных путей образуется из соединительной. Коллагеновые волокна объединяются в пучки, набухают, частично обызвествляются. Происходит трансформация фибробластов в остеобласты. Попавшие в зону обызвествления клетки хрящевой ткани уменьшаются в размерах и изменяют форму. Образуются костные пластинки, которые прорастают кровеносными сосудами и формируют полости с зачатками костного мозга. По мере разрастания таких пластинок в толще стенок воздухоносных органов ухудшается проходимость респираторного тракта, нарушается его барьерная функция.
При патоморфологическом исследовании обнаруживаются плотные белёсые узелки неправильной формы либо тяжи в просвете трахеи, бронхов или гортани. Образования располагаются исключительно в хрящевой части органа, никогда не затрагивая мембранозную. Микроскопически выявляются зоны окостенения и хрящевые разрастания, локализованные между хрящами трахеобронхиальной трубки и не связанные с ними. Слизистая оболочка может длительное время оставаться неизменённой. Иногда наблюдается её истончение, атрофия, признаки метаплазии реснитчатого эпителия в многослойный плоский.
При патоморфологическом исследовании обнаруживаются плотные белёсые узелки неправильной формы либо тяжи в просвете трахеи, бронхов или гортани. Образования располагаются исключительно в хрящевой части органа, никогда не затрагивая мембранозную. Микроскопически выявляются зоны окостенения и хрящевые разрастания, локализованные между хрящами трахеобронхиальной трубки и не связанные с ними. Слизистая оболочка может длительное время оставаться неизменённой. Иногда наблюдается её истончение, атрофия, признаки метаплазии реснитчатого эпителия в многослойный плоский.
Клиническая картина
Вначале остеохондропластическая трахеобронхопатия длительно протекает бессимптомно. Характерные изменения выявляются случайно при выполнении бронхоскопии, КТ или МРТ грудной клетки. Позднее появляется кашель, который может носить упорный характер. Небольшое количество светлой слизистой мокроты отделяется с трудом. Нередко присоединяется кровохарканье. Одышка является непостоянным признаком болезни. На протяжении продолжительного периода времени дыхание остаётся незатруднённым. При массивном разрастании костных образований формируется одышка экспираторного типа (пациент отмечает затруднение дыхания на выдохе). Вдох сопровождается болью в грудной клетке, чаще за грудиной. При поражении гортани изменяется тембр голоса - появляется осиплость или охриплость.
Ассоциированные симптомы: Влажный кашель. Затруднение выдоха. Кашель. Кровохарканье. Одышка. Осиплость голоса. Першение в горле. Потливость.
Ассоциированные симптомы: Влажный кашель. Затруднение выдоха. Кашель. Кровохарканье. Одышка. Осиплость голоса. Першение в горле. Потливость.
Возможные осложнения
В большинстве случаев остеохондропластическая трахеобронхопатия протекает доброкачественно. Редко развиваются требующие хирургического вмешательства стенозы гортани, трахеобронхиального дерева. Трахеиты, бронхиты и пневмонии при данной патологии часто рецидивируют. Сужение бронхиального просвета приводит к застою мокроты в мелких бронхах и формированию бронхоэктазов. Появляются персистирующие очаги инфекции. Длительно текущее воспаление слизистой оболочки респираторных органов наряду с изменениями в подслизистой оболочке являются благоприятным фоном для возникновения опухолей бронхов и гортани.
Диагностика
Диагностическим поиском при подозрении на остеопластическую трахеопатию занимается пульмонолог. При сборе анамнеза обращают внимание на частые респираторные инфекции, наличие периодического кровохарканья. При аускультации пациента с распространённым процессом выслушивается стридорозное дыхание. Какие-либо специфические признаки болезни отсутствуют. Окончательный диагноз устанавливается с помощью:
• Функциональных методов диагностики. В начальной стадии болезни спирометрические показатели находятся в пределах нормальных значений. Позднее могут наблюдаться умеренные или значительные нарушения функции внешнего дыхания по обструктивному или смешанному типу. Проба на обратимость бронхообструкции отрицательная.
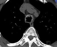
• Визуализационных методик. КТ лёгких с виртуальной бронхоскопией позволяет определить зоны высокой плотности в стенках воздухоносных путей, деформацию трахеобронхиального дерева, оценить рельеф слизистой оболочки, обнаружить наличие выступающих внутрь образований. МРТ легких выявляет утолщение бронхиальной стенки, участки обызвествления в её толще.
• Бронхоскопии. Визуализируются белёсые бугорки в просвете трахеобронхиальной трубки. Изменения стенки органа напоминают «булыжную мостовую» или «сад камней». На поздних стадиях болезни обнаруживаются массивные образования, свисающие в полость воздухоносных органов и сужающие их просвет. Трение разрастаний о бронхоскоп вызывает характерный шум. Определяется ригидность стенки респираторного тракта, атрофия и лёгкая кровоточивость слизистой оболочки.
Остеохондропластическая трахеобронхопатия дифференцируется с множественным раковым поражением трахеобронхиального дерева, первичным респираторным амилоидозом, некоторыми системными заболеваниями, туберкулёзом.
• Функциональных методов диагностики. В начальной стадии болезни спирометрические показатели находятся в пределах нормальных значений. Позднее могут наблюдаться умеренные или значительные нарушения функции внешнего дыхания по обструктивному или смешанному типу. Проба на обратимость бронхообструкции отрицательная.
• Визуализационных методик. КТ лёгких с виртуальной бронхоскопией позволяет определить зоны высокой плотности в стенках воздухоносных путей, деформацию трахеобронхиального дерева, оценить рельеф слизистой оболочки, обнаружить наличие выступающих внутрь образований. МРТ легких выявляет утолщение бронхиальной стенки, участки обызвествления в её толще.
• Бронхоскопии. Визуализируются белёсые бугорки в просвете трахеобронхиальной трубки. Изменения стенки органа напоминают «булыжную мостовую» или «сад камней». На поздних стадиях болезни обнаруживаются массивные образования, свисающие в полость воздухоносных органов и сужающие их просвет. Трение разрастаний о бронхоскоп вызывает характерный шум. Определяется ригидность стенки респираторного тракта, атрофия и лёгкая кровоточивость слизистой оболочки.
Остеохондропластическая трахеобронхопатия дифференцируется с множественным раковым поражением трахеобронхиального дерева, первичным респираторным амилоидозом, некоторыми системными заболеваниями, туберкулёзом.
|
|
Дифференциальная диагностика
Дифференциальная диагностика производится с помощью трансбронхиальной биопсии с последующим гистологическим исследованием патологического материала. При необходимости назначаются консультации онколога, фтизиатра, ревматолога, оториноларинголога.
Лечение
Этиотропного лечения данной патологии не существует. При отсутствии выраженного сужения трахеобронхиальной трубки проводится консервативная терапия. Она осуществляется при развитии вторичных инфекционных осложнений патологического процесса. Для санации очагов инфекции применяются антибиотики. Для улучшения дренажной функции респираторной системы назначается небулайзерная терапия с использованием щелочных растворов и муколитиков. С этой же целью выполняются эндотрахеальные заливки, санационные бронхоскопии. В некоторых случаях положительная динамика наблюдается на фоне лечения кортикостероидными гормонами и антигистаминными препаратами.
Остеохондропластическая трахеобронхопатия с клинически значимым стенозом является показанием для хирургического вмешательства. Разрушение костных образований производится методом лазерной или криодеструкции, Выполняется бужирование дыхательной трубки бронхоскопом, удаление бугорков биопсийными щипцами. В медицинской литературе описаны единичные случаи резекции части трахеи. При необходимости устанавливается эндотрахеальный или эндобронхиальный стент.
Остеохондропластическая трахеобронхопатия с клинически значимым стенозом является показанием для хирургического вмешательства. Разрушение костных образований производится методом лазерной или криодеструкции, Выполняется бужирование дыхательной трубки бронхоскопом, удаление бугорков биопсийными щипцами. В медицинской литературе описаны единичные случаи резекции части трахеи. При необходимости устанавливается эндотрахеальный или эндобронхиальный стент.
Прогноз
Прогноз болезни чаще благоприятный. Остеохондропластическая трахеобронхопатия прогрессирует медленно, иногда происходит спонтанная стабилизация процесса, прекращение образования новых участков окостенения. Быстрое прогрессирование заболевания и критические стенозы дыхательных путей наблюдаются редко (у 15-17% пациентов).
Профилактика
Первичная профилактика патологии пока не разработана. Вторичные превентивные меры сводятся к своевременному лечению воспалительных заболеваний респираторной системы, отказу от курения, сезонной вакцинации против гриппа и пневмококковой инфекции.