Продолжая работу с сайтом, вы разрешаете использование сookies и соглашаетесь с политикой конфиденциальности.
.,о.,р..и.:г,.и.,н.;н.,а;,л.. .,н.:а,.х.,о.,д.;и.,т..с.:я,, ..н.;а., .,k;,i..b.:e,;r.,i.,s.,.;.r.:u,

Катаральный стоматит

ДобавьАналогиСравни
Используемые препараты: ... скрыть
 
Фарм. гр. Вещество Препараты
Лизоцим + Пиридоксин | | |
Гексэтидин | | | | | | |
Деквалиния хлорид
Трийодрезорцин
Метронидазол + Хлоргексидин | | | | |
Холина салицилат
  1. МКБ-10 коды
  2. Описание
  3. Дополнительные факты
  4. Причины
  5. Клиническая картина
  6. Лечение
  7. Диагностика
  8. Прогноз
  9. Профилактика
  10. Похожие заболевания

Другие названия и синонимы

Catarrhal stomatitis.
Катаральный стоматит

МКБ-10 коды

Описание

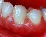
 Катаральный стоматит. Это воспалительное заболевание слизистой оболочки полости рта, не сопровождающееся образованием каких - либо дефектов на ее поверхности. Наиболее ярким симптомом данной патологии является гиперемия и отечность слизистой, из-за которой пациент предъявляет жалобы на боль и дискомфорт при разговоре и приеме пищи. Для диагностики катарального стоматита используются данные объективного осмотра и микроскопическое исследование мазка из полости рта. Основная цель лечения заключается в ликвидации воспалительного процесса и устранении его причины.
Катаральный стоматит

Дополнительные факты

 Катаральный стоматит представляет собой патологию слизистой оболочки полости рта с развитием интенсивного воспалительного процесса. Отличительной особенностью заболевания является отсутствие язв, высыпаний и других дефектов пораженной области. Катаральный стоматит является наиболее распространенной формой стоматита, встречающейся у пациентов всех возрастов, как у мужчин, так и у женщин. Симптомы болезни часто проявляются недостаточно интенсивно, что приводит к позднему обращению за стоматологической помощью, хронизации процесса или присоединению инфекции. Наиболее неблагоприятным исходом является развитие язвенно-некротического стоматита - он сопровождается выраженным болевым синдромом и плохо поддается лечению. Именно поэтому необходима ранняя диагностика и своевременное начало терапии.

Причины

 Главную роль в развитии заболевания играет наличие травмирующего фактора, неудовлетворительное состояние полости рта и снижение иммунитета. К травматизации слизистой оболочки может привести наличие кариозных зубов с острыми краями, старых или некачественно установленных пломб, ортопедических и ортодонтических конструкций или применение слишком жесткой зубной щетки. В детском возрасте болезнь нередко развивается в процессе прорезывания молочных зубов.
 Неудовлетворительная гигиена полости и рта формирует благоприятную среду для размножения патогенных микроорганизмов, проникающих через микротравмы в слизистую оболочку и провоцирующих ее воспаление. К дополнительным факторам, способствующим развитию патологического процесса можно отнести заболевания желудочного-кишечного тракта, кровеносной и эндокринной системы, снижение иммунитета, авитаминоз и курение. У детей катаральный стоматит может возникать на фоне острых инфекционных заболеваний, таких как корь, скарлатина, грипп.

Клиническая картина

 Самым главным симптомом катарального стоматита является гиперемированная и отечная слизистая оболочка полости рта. Пациенту кажется, что его щеки как будто опухли изнутри, хотя какие-либо внешние изменения при этом отсутствуют. В месте, где произошло инфицирование в результате травмы, ранки или микротрещины, обнаруживается белый налет. Слизистая оболочка болезненна, а десны в пораженной области начинают кровоточить, поэтому пациенту трудно разговаривать и принимать пищу. Дети становятся капризными и плаксивыми, отказываются от еды. Катаральный стоматит сопровождается появлением неприятного запаха изо рта и гиперсаливацией. В ряде случае слюноотделение, наоборот, уменьшается, а слизистую оболочку покрывает клейкий налет из эпителиальных клеток, лейкоцитов, бактерий и слизи. Регионарные лимфатические узлы, как правило, не увеличиваются. Температура редко выходит за пределы субфебрильной. В запущенной форме заболевание может осложниться присоединением язвенно-некротических очагов.
 Ассоциированные симптомы: Боль во рту. Неприятный запах изо рта. Отек губ. Потеря веса. Сухость во рту.

Лечение

 Диагноз ставится на основании данных объективного осмотра и результатов микроскопического исследования мазка из полости рта. Лечение в первую очередь направлено на устранение воспалительного процесса и облегчение состояния пациента. С этой целью в стоматологии используется полоскание полости рта антисептическими растворами (хлоргексидин, перикись водорода, отвар из цветков ромашки ). Для облегчения болевого синдрома у взрослых можно применять раствор лидокаина или бензокаина.

Диагностика

 Чтобы лечение было эффективным, необходимо устранить факторы, спровоцировавшие развитие катарального стоматита. Для этого проводится полная санация полости рта с осторожным удалением зубного камня и пломбированием кариозных полостей хотя бы временными пломбами. Все манипуляции врач-стоматолог должен проводить максимально бережно, чтобы не повредить воспаленную слизистую оболочку. Рекомендуется прием витаминно-минеральных комплексов и щадящая диета, исключающая прием грубой, острой, горячей и холодной пищи. Как правило, данные меры приводят к быстрому улучшению состояния пациента. В противном случае необходимо искать причину заболевания, например, связанную с заболеваниями других органов и систем или снижением иммунитета.

Прогноз

 При своевременной постановке диагноза и незамедлительном лечении прогноз заболевания благоприятный. Однако, из-за недостаточной выраженности симптомов многие пациенты нередко пренебрегают стоматологической помощью и обращаются к специалисту только тогда, когда заболевание приобретает более тяжелые формы.

Профилактика

 Для профилактики катарального стоматита необходимо соблюдать гигиену полости рта, проводить лечение стоматологических заболеваний и раз в полгода проходить профилактический осмотр. Рекомендуется отказаться от курения и придерживаться сбалансированного питания.

Похожие заболевания

42a96bb5c8a2acfb07fc866444b97bf1
Доступно только при использовании PRO аккаунта
Модератор контента: Васин А.С.


  1. Киберис НЕ является интернет-магазином и НЕ осуществляет закупку, хранение, продажу и доставку препаратов. Ресурс выступает лишь в роли посредника между вами и производителем препаратов или аптечными пунктами, которые и осуществляют поставку.
  2. На Киберис размещены описания препаратов, часть из которых предназначена только для врачей. Данная информация не может быть использована пациентами для принятия решения об использовании препаратов, их отмене или коррекции дозировок.
  3. Ничто в представленной информации не должно быть истолковано как призыв использовать данные препараты.
  4. К Киберис не могут быть обращены претензии по поводу любого ущерба или вреда, понесенного в результате использования размещенной на сайте информации.