Другие названия и синонимы
Deep bite.
МКБ-10 коды
|
|
Описание
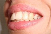
Глубокий прикус. Вертикальная аномалия окклюзии, характеризующаяся увеличением перекрытия нижних резцов верхними более чем на треть высоты их коронок и нарушением режуще - бугоркового контакта. Глубокий прикус сопровождается нарушением эстетики лица, затруднением жевания, дефектами речи, хронической травматизацией слизистой оболочки неба и десны, повышенной стираемостью зубов, дисфункцией ВНЧС. Глубокий прикус диагностируется с помощью анализа диагностических моделей челюстей, ТРГ, ортопантомограммы, фотографий лица. Лечение глубокого прикуса проводится с использованием ортодонтических конструкций (вестибулярных пластинок, функциональных аппаратов, трейнеров, брекет-систем и тд ).
Дополнительные факты
Глубокий прикус - разновидность неправильного прикуса, при котором во время смыкания челюстей отмечается значительное вертикальное перекрытие резцов нижнего ряда резцами верхнего ряда. Глубокий прикус относится к числу наиболее частых аномалий прикуса, с которыми сталкивается врач-ортодонт в своей повседневной практике. По различным данным, популяционная частота глубокого прикуса колеблется от 6 до 51%. В структуре аномалий окклюзии глубокий прикус составляет около 20%. В стоматологии глубокий прикус иногда обозначается терминами «травмирующий прикус», «снижающийся прикус», «глубокое резцовое или фронтальное перекрытие», «глубокая резцовая окклюзия или дизокклюзия».
Причины
Формирование глубокого прикуса может быть обусловлено генетическими, внутриутробными и послеродовыми факторами (общими заболеваниями, стоматологической и челюстно-лицевой патологией, вредными привычками).
Чаще всего глубокий прикус наследуется от родителей вместе с особенностями строения зубочелюстной системы и лицевого скелета. Врожденные деформации лица (такие, как «волчья пасть» и «заячья губа») также способствуют развитию аномалии прикуса. Среди пренатальных факторов наибольшее значение имеют заболевания беременной, токсикозы, внутриутробные инфекции, механические травмы, гипоксия плода, многоплодие, задержка внутриутробного развития.
Формирование глубокой окклюзии в послеродовом периоде может быть связано с гипотрофией, рахитом и рахитоподобными заболеваниями, негативно влияющими на рост и развитие костей ребенка; нарушением сроков прорезывания и смены молочных зубов; заболеваниями ЖКТ и ЛОР-органов и тд Глубокий прикус часто сопутствует врожденным и приобретенным дефектам опорно-двигательного аппарата: аномалиям развития позвоночника, врожденной мышечной кривошее, нарушениям осанки, системным заболеваниями скелета.
В ряде случаев глубокий прикус имеет этиологическую связь с ранним удалением молочных или постоянных моляров, аномалиями зубов: их величины (макродентией) и количества (сверхкомплектными зубами), аномалиями прикрепления уздечек языка и губ, наличием диастемы, множественным кариесом, частичной адентией, патологической стираемостью зубов, травмами и остеомиелитом челюстей, анкилозом ВНЧС и тд.
К числу вредных привычек, способствующих возникновению неправильного прикуса у детей, могут быть отнесены длительное сосание пустышки, сосание пальца и различных предметов, закусывание губы.
Чаще всего глубокий прикус наследуется от родителей вместе с особенностями строения зубочелюстной системы и лицевого скелета. Врожденные деформации лица (такие, как «волчья пасть» и «заячья губа») также способствуют развитию аномалии прикуса. Среди пренатальных факторов наибольшее значение имеют заболевания беременной, токсикозы, внутриутробные инфекции, механические травмы, гипоксия плода, многоплодие, задержка внутриутробного развития.
Формирование глубокой окклюзии в послеродовом периоде может быть связано с гипотрофией, рахитом и рахитоподобными заболеваниями, негативно влияющими на рост и развитие костей ребенка; нарушением сроков прорезывания и смены молочных зубов; заболеваниями ЖКТ и ЛОР-органов и тд Глубокий прикус часто сопутствует врожденным и приобретенным дефектам опорно-двигательного аппарата: аномалиям развития позвоночника, врожденной мышечной кривошее, нарушениям осанки, системным заболеваниями скелета.
В ряде случаев глубокий прикус имеет этиологическую связь с ранним удалением молочных или постоянных моляров, аномалиями зубов: их величины (макродентией) и количества (сверхкомплектными зубами), аномалиями прикрепления уздечек языка и губ, наличием диастемы, множественным кариесом, частичной адентией, патологической стираемостью зубов, травмами и остеомиелитом челюстей, анкилозом ВНЧС и тд.
К числу вредных привычек, способствующих возникновению неправильного прикуса у детей, могут быть отнесены длительное сосание пустышки, сосание пальца и различных предметов, закусывание губы.
Классификация
Критерием различия глубокого резцового перекрытия, глубокого прикуса и глубокого травмирующего прикуса является локализация режуще-бугоркового контакта.
При сохранении контакта режущих краев нижних зубов с небными бугорками верхних (то есть режуще-бугоркового контакта) говорят о чрезмерном (глубоком) резцовом перекрытии. Собственно глубокий прикус характеризуется значительным перекрытием нижних резцов верхними и отсутствием между ними режуще-бугоркового контакта. При наличии контакта режущих краев нижних резцов с нёбом или десной, прикус расценивается как глубокий травмирующий. Данные формы прикуса могут рассматриваться как стадии единого патологического процесса, при определенных условиях (удалении зубов, их патологической стираемости) чрезмерное резцовое перекрытие может трансформироваться в глубокий прикус, а последний - в глубокий травмирующий прикус.
По величине перекрытия коронок центральных резцов в ортодонтии выделяют 3 степени нарушения прикуса:
• I степень. Перекрытие от 1/3 до 2/3 высоты (3 - 5 мм).
• II степень. Перекрытие от 2/3 высоты до целой коронки (5 - 9 мм).
• III степень. Перекрытие превышает величину коронки (более 9 мм).
В зависимости от положения передних верхних зубов (вестибулярного или орального характера взаимоотношений фронтальных зубов) различают крышеобразную и блокирующую форму глубокого прикуса. Последняя форма комбинируется с прогнатией. По характеру взаимодействия боковых зубов дифференцируют глубокий дистальный и глубокий нейтральный прикус.
При сохранении контакта режущих краев нижних зубов с небными бугорками верхних (то есть режуще-бугоркового контакта) говорят о чрезмерном (глубоком) резцовом перекрытии. Собственно глубокий прикус характеризуется значительным перекрытием нижних резцов верхними и отсутствием между ними режуще-бугоркового контакта. При наличии контакта режущих краев нижних резцов с нёбом или десной, прикус расценивается как глубокий травмирующий. Данные формы прикуса могут рассматриваться как стадии единого патологического процесса, при определенных условиях (удалении зубов, их патологической стираемости) чрезмерное резцовое перекрытие может трансформироваться в глубокий прикус, а последний - в глубокий травмирующий прикус.
По величине перекрытия коронок центральных резцов в ортодонтии выделяют 3 степени нарушения прикуса:
• I степень. Перекрытие от 1/3 до 2/3 высоты (3 - 5 мм).
• II степень. Перекрытие от 2/3 высоты до целой коронки (5 - 9 мм).
• III степень. Перекрытие превышает величину коронки (более 9 мм).
В зависимости от положения передних верхних зубов (вестибулярного или орального характера взаимоотношений фронтальных зубов) различают крышеобразную и блокирующую форму глубокого прикуса. Последняя форма комбинируется с прогнатией. По характеру взаимодействия боковых зубов дифференцируют глубокий дистальный и глубокий нейтральный прикус.
Клиническая картина
Глубокий прикус сопровождается эстетическими дефектами и серьезными функциональными расстройствами.
Внешними проявлениями глубокого прикуса служат характерные лицевые и ротовые признаки. Лицевые проявления включают укорочение нижней трети лица, резко выраженную супраментальную складку, выворот нижней губы наружу. В целом лицо больного иногда характеризуется как «птичье». К числу ротовых признаков глубокого прикуса относятся перекрытие нижних фронтальных зубов верхними на величину коронки, преобладание верхней челюсти над нижней, уменьшение глубины преддверия полости рта. Хроническая травматизация слизистой оболочки полости рта и перегрузка пародонта фронтальных зубов способствуют развитию стоматита, гингивита, пародонтита и пародонтоза, повышенной стираемости зубов.
Ассоциированные симптомы: Боль в десне.
Внешними проявлениями глубокого прикуса служат характерные лицевые и ротовые признаки. Лицевые проявления включают укорочение нижней трети лица, резко выраженную супраментальную складку, выворот нижней губы наружу. В целом лицо больного иногда характеризуется как «птичье». К числу ротовых признаков глубокого прикуса относятся перекрытие нижних фронтальных зубов верхними на величину коронки, преобладание верхней челюсти над нижней, уменьшение глубины преддверия полости рта. Хроническая травматизация слизистой оболочки полости рта и перегрузка пародонта фронтальных зубов способствуют развитию стоматита, гингивита, пародонтита и пародонтоза, повышенной стираемости зубов.
Ассоциированные симптомы: Боль в десне.
Диагностика
Наличие глубокого прикуса, причины его возникновения и пути исправления определяются на приеме у врача-ортодонта в процессе тщательного изучения жалоб и осмотра полости рта.
Для более детальной оценки характера взаимоотношений зубных рядов осуществляется снятие слепка альгинатной массой и изготовление диагностических моделей с их последующим тщательным измерением; изучение фотографий лица в фас и профиль, получение окклюдограммы.
Для диагностики глубокого прикуса важное значение имеют данные ортопантомографии и телерентгенографии (расчет и анализ ТРГ), электромиографии.
Для более детальной оценки характера взаимоотношений зубных рядов осуществляется снятие слепка альгинатной массой и изготовление диагностических моделей с их последующим тщательным измерением; изучение фотографий лица в фас и профиль, получение окклюдограммы.
Для диагностики глубокого прикуса важное значение имеют данные ортопантомографии и телерентгенографии (расчет и анализ ТРГ), электромиографии.
Лечение
Лечение глубокого прикуса у детей необходимо начинать как можно раньше. В период молочного прикуса (до 5-6 лет) рекомендуется приучать ребенка к жеванию твердой пищи, бороться с вредными привычками (сосанием пальца и игрушек, закусыванием губы или щеки ), выполнять миогимнастику. Необходимо устранение факторов, способствующих формированию глубокого прикуса, - лечение кариеса, проведение пластики уздечки губы и языка, профилактического протезирования.
На этапе смены молочных зубов постоянными (от 6 до 12-13 лет) для разобщения прикуса могут использоваться съемные пластинки, трейнеры, активаторы (Андрезена-Гойпля, LM-активатор), аппарат Френкеля, аппарат Брюкля, каппа Бынина и тд.
Начиная с 12-16 лет, основным методом лечения глубокого прикуса становятся несъемные ортодонтические аппараты - брекеты. У взрослых ортодонтическое лечение глубокого прикуса может сочетаться с хирургическим (компактостеотомией).
При стойких нарушениях речи пациенту может потребоваться помощь логопеда.
На этапе смены молочных зубов постоянными (от 6 до 12-13 лет) для разобщения прикуса могут использоваться съемные пластинки, трейнеры, активаторы (Андрезена-Гойпля, LM-активатор), аппарат Френкеля, аппарат Брюкля, каппа Бынина и тд.
Начиная с 12-16 лет, основным методом лечения глубокого прикуса становятся несъемные ортодонтические аппараты - брекеты. У взрослых ортодонтическое лечение глубокого прикуса может сочетаться с хирургическим (компактостеотомией).
При стойких нарушениях речи пациенту может потребоваться помощь логопеда.
Прогноз
Лечение глубокого прикуса - это длительный, сложный, требующий значительных финансовых и временных затрат процесс. Длительность исправления глубокого прикуса вариабельна и зависит от возраста начала ортодонтического лечения, степени резцового перекрытия, наличия сопутствующих деформаций и пр. Правильно спланированное ортодонтическое лечение позволяет полностью устранить эстетические и функциональные нарушения. В противном случае глубокий прикус неизбежно будет способствовать развитию патологии пародонта и ВНЧС, ранней потере зубов.
|
|
Профилактика
Залогом профилактики глубокого прикуса является благополучное течение беременности, борьба с вредными оральными привычками у ребенка, регулярное посещение стоматолога, предупреждение рахита, сколиоза и других заболеваний, неблагоприятно влияющих на формирование зубочелюстной системы.