Другие названия и синонимы
Rejection of a dental implant.
Описание
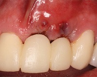
Отторжение зубного импланта. Патологический воспалительно - деструктивный процесс, приводящий к потере остеоинтегративной связи внутрикостной части импланта с окружающими тканями. Пациенты жалуются на болезненность, отечность, кровоточивость десен в пораженном участке. Импланты приобретают подвижность 2-3 степени. На слизистой выявляют свищевые ходы с гнойным содержимым. Диагностика включает сбор анамнеза, клинический осмотр, ортопантомографию, компьютерную томографию, а также лабораторные методики исследования. Лечение направлено на удаление импланта, устранение признаков воспаления, предотвращение развития осложнений.
|
|
Дополнительные факты
Отторжение зубного импланта - осложнение деструктивного характера, возникающее после проведения дентальной имплантации. Частота отторжения зубного импланта составляет от 3 до 10%. Распространенность периимплантита, приводящего к отторжению, варьирует от 15 до 30%. Воспалительный процесс слизистой, обусловливающий развитие деструктивных изменений костной ткани по периметру внутрикостной части конструкции, в 50-65% случаев становится причиной несостоятельности и полной потери импланта.
Также доказана корреляционная взаимосвязь между выраженностью патологических изменений в тканях периимплантационной зоны и степенью резорбции костной ткани. Табакокурение является наиболее распространенным фактором риска развития осложнений после имплантации. Вероятность отторжения зубного импланта у курильщиков возрастает в 4,7 раз, годовой показатель убыли костной ткани в периимплантационной зоне составляет 0,16.
Также доказана корреляционная взаимосвязь между выраженностью патологических изменений в тканях периимплантационной зоны и степенью резорбции костной ткани. Табакокурение является наиболее распространенным фактором риска развития осложнений после имплантации. Вероятность отторжения зубного импланта у курильщиков возрастает в 4,7 раз, годовой показатель убыли костной ткани в периимплантационной зоне составляет 0,16.
Причины
Успешность имплантации заключается в создании эффективной остеоинтеграции и надежной десневой манжетки. Основной причиной отторжения зубного импланта является эндогенная и экзогенная инфекция. В сравнении с зубо-эпителиальным прикреплением, эпителиально-имплантное соединение более уязвимо, что объясняется анатомо-функциональными особенностями строения, снижением местного иммунитета периимплантной зоны в результате стойкой вазоконстрикции. Защитная функция десневой манжетки напрямую зависит от качества костно-имплантного соединения. Поскольку остеоинтеграция происходит в течение первых 6-8 месяцев после дентальной имплантации, в начальном периоде надежный барьер, препятствующий инвазии бактерий вглубь костной ткани, отсутствует. Низкий уровень гигиены создает благоприятные условия для инфицирования контактной зоны и развития мукозита.
К этиологическим факторам, инициирующим отторжение зубного импланта, относят несоблюдение правил асептики и антисептики при проведении операции, неправильное позиционирование имплантов, нарушение алгоритма имплантации (агрессивное вкручивание имплантов, неадекватное ушивание операционной раны). К отторжению зубного импланта приводит и несоответствие диаметра импланта типу костной ткани. Большие окклюзионные нагрузки, вызванные нерациональным протезированием, наличием дистальной консоли, отсутствием стойкого контакта импланта с супраструктурой, также способны вызвать отторжение зубных имплантов. К факторам, повышающим риск отторжения зубного импланта, относят бруксизм, болезни эндокринной системы, состояние после лучевой терапии, заболевания пародонта. Весомое значение отводится дизайну и качеству обработки трансгингивальной части импланта.
Патогенетический механизм отторжения зубного импланта идентичен таковому при пародонтите. Под воздействием пародонтопатогенной микрофлоры происходит нарушение целостности имплантно-десневой борозды. Это ведет к усилению воспалительно-клеточной инфильтрации, нарушению микроциркуляции, в результате чего развивается воспалительно-деструктивный процесс, охватывающий не только периимплантные мягкие ткани, но и кость.
К этиологическим факторам, инициирующим отторжение зубного импланта, относят несоблюдение правил асептики и антисептики при проведении операции, неправильное позиционирование имплантов, нарушение алгоритма имплантации (агрессивное вкручивание имплантов, неадекватное ушивание операционной раны). К отторжению зубного импланта приводит и несоответствие диаметра импланта типу костной ткани. Большие окклюзионные нагрузки, вызванные нерациональным протезированием, наличием дистальной консоли, отсутствием стойкого контакта импланта с супраструктурой, также способны вызвать отторжение зубных имплантов. К факторам, повышающим риск отторжения зубного импланта, относят бруксизм, болезни эндокринной системы, состояние после лучевой терапии, заболевания пародонта. Весомое значение отводится дизайну и качеству обработки трансгингивальной части импланта.
Патогенетический механизм отторжения зубного импланта идентичен таковому при пародонтите. Под воздействием пародонтопатогенной микрофлоры происходит нарушение целостности имплантно-десневой борозды. Это ведет к усилению воспалительно-клеточной инфильтрации, нарушению микроциркуляции, в результате чего развивается воспалительно-деструктивный процесс, охватывающий не только периимплантные мягкие ткани, но и кость.
Классификация
По времени развития отторжения зубных имплантов различают 3 основных периода:
• Ранний. От момента операции до протезирования. Причиной раннего отторжения зубных имплантов является нарушение протокола проведения оперативного вмешательства. Инициировать отторжение зубного импланта может образование грануляционной ткани вследствие термического ожога кости при агрессивном препарировании.
• Среднесрочный. В течение 2 лет после протезирования. Отторжение зубного импланта возникает в результате окклюзионной перегрузки, неправильно изготовленной протетической плоскости, низкого уровня гигиены. Также риск срыва регенерации возрастает при нарушении гормонального фона, регулирующего остеогенез.
• Поздний. Свыше 2 лет после протезирования. Основная причина позднего отторжения зубного импланта - неудовлетворительная гигиена полости рта, приводящая к бактериальной контаминация внутрикостной части импланта.
В стоматологии различают 3 степени патологической подвижности при отторжении зубного импланта:
1 степень. Диагностируют подвижность в двух направлениях с превышением по амплитуде 0,5.
2 степень. Выявляют подвижность в трех направлениях (передне - заднем, трансверзальном, вертикальном) с амплитудой движения от 0,5 до 1 мм в верхней точке головки импланта.
3 степень. Присутствует подвижность в трех направлениях с амплитудой более 1 - 1,5 При осмотре определяют наличие грануляций в костном ложе, на рентгенограмме - дефекты костной ткани вплоть до полного отторжения зубного импланта.
• Ранний. От момента операции до протезирования. Причиной раннего отторжения зубных имплантов является нарушение протокола проведения оперативного вмешательства. Инициировать отторжение зубного импланта может образование грануляционной ткани вследствие термического ожога кости при агрессивном препарировании.
• Среднесрочный. В течение 2 лет после протезирования. Отторжение зубного импланта возникает в результате окклюзионной перегрузки, неправильно изготовленной протетической плоскости, низкого уровня гигиены. Также риск срыва регенерации возрастает при нарушении гормонального фона, регулирующего остеогенез.
• Поздний. Свыше 2 лет после протезирования. Основная причина позднего отторжения зубного импланта - неудовлетворительная гигиена полости рта, приводящая к бактериальной контаминация внутрикостной части импланта.
В стоматологии различают 3 степени патологической подвижности при отторжении зубного импланта:
1 степень. Диагностируют подвижность в двух направлениях с превышением по амплитуде 0,5.
2 степень. Выявляют подвижность в трех направлениях (передне - заднем, трансверзальном, вертикальном) с амплитудой движения от 0,5 до 1 мм в верхней точке головки импланта.
3 степень. Присутствует подвижность в трех направлениях с амплитудой более 1 - 1,5 При осмотре определяют наличие грануляций в костном ложе, на рентгенограмме - дефекты костной ткани вплоть до полного отторжения зубного импланта.
Клиническая картина
В начальной стадии отторжения зубного импланта пациенты жалуются на боль в периимплантной зоне, появление отечной, гиперемированной слизистой в участке установленного импланта. Кровоточивость возникает как при чистке зубов, так и при употреблении пищи. Ощущается неприятный запах изо рта. Общее состояние, как правило, не нарушено. С прогрессированием патологического воспалительно-деструктивного процесса нарастают и клинические признаки. Появляется подвижность импланта. Пациенты указывают на выраженный болевой синдром. При отторжении зубного импланта возрастает риск развития остеомиелита.
Диагностика
Постановка диагноза «отторжение зубного импланта» базируется на данных анамнеза и физикального осмотра, результатах ортопантомографии, компьютерной томографии, лабораторных методов исследования. Во время обследования врач-стоматолог выявляет гиперемированную и отечную слизистую. Наблюдается патологическая подвижность имплантов 2-3 степени. Из лунки, свищевых ходов выделяется гнойное содержимое. При отторжении зубного импланта регионарные лимфатические узлы увеличены. С помощью ортопантомографии, компьютерной томографии определяют участки остеопороза в периимплантной зоне, деструкцию кости до 1 мм по периметру внутрикостной части импланта с изменением его положения, горизонтальную резорбцию костной ткани альвеолярного отростка. При раннем отторжении зубного импланта выраженные патологические изменения в кости отсутствуют.
Для подтверждения отторжения зубного импланта из вспомогательных исследований используют пробу Шиллера-Писарева. Окрашивание слизистой в коричневый цвет говорит о развитии воспалительного процесса. Тесты Грин-Вермиллиона, Федорова-Володкиной положительные, что свидетельствует о неудовлетворительном индексе гигиены. При отторжении зубного импланта проведение теста Мюллемана в модификации Коуэлла подтверждает наличие выраженного воспалительного процесса десны в перимплантационной зоне. С помощью молекулярно-генетического исследования материала, взятого из периимплантного кармана или лунки, образованной в результате отторжения зубного импланта, выявляют микст-инфекцию, состоящею из анаэробов (64%) и аэробов (36%). Среди парадонтопатогенных микроорганизмов лидирующие позиции занимают вacteroides forsythus, Porphyromonas gingivalis, Fusobacterium nucleatum.
Отторжение зубного импланта необходимо дифференцировать с другими осложнениями, возникающими после имплантации (мукозитом, периимплантитом), а также с гнойно-воспалительными процессами челюстно-лицевой области (периоститом, остеомиелитом, нагноением челюстной кисты). Обследование проводит имплантолог или челюстно-лицевой хирург.
Для подтверждения отторжения зубного импланта из вспомогательных исследований используют пробу Шиллера-Писарева. Окрашивание слизистой в коричневый цвет говорит о развитии воспалительного процесса. Тесты Грин-Вермиллиона, Федорова-Володкиной положительные, что свидетельствует о неудовлетворительном индексе гигиены. При отторжении зубного импланта проведение теста Мюллемана в модификации Коуэлла подтверждает наличие выраженного воспалительного процесса десны в перимплантационной зоне. С помощью молекулярно-генетического исследования материала, взятого из периимплантного кармана или лунки, образованной в результате отторжения зубного импланта, выявляют микст-инфекцию, состоящею из анаэробов (64%) и аэробов (36%). Среди парадонтопатогенных микроорганизмов лидирующие позиции занимают вacteroides forsythus, Porphyromonas gingivalis, Fusobacterium nucleatum.
Отторжение зубного импланта необходимо дифференцировать с другими осложнениями, возникающими после имплантации (мукозитом, периимплантитом), а также с гнойно-воспалительными процессами челюстно-лицевой области (периоститом, остеомиелитом, нагноением челюстной кисты). Обследование проводит имплантолог или челюстно-лицевой хирург.
|
|
Лечение
При выявлении отторжения зубного импланта показано его удаление с последующей ревизией кости, тампонадой йодоформной турундой или дренированием ложа. Цель кюретажа заключается в иссечении разросшейся грануляционной ткани, эпителия, микросеквестров, некротически измененной костной ткани. Проведение общей противовоспалительной терапии является важной составляющей лечения пациентов с отторжением зубного импланта.
С этой целью назначают антибактериальные препараты (линкозамиды, пенициллины), нестероидные противовоспалительные средства, антигистаминные и антипротозойные лекарства. Прием антибиотиков целесообразно сочетать с применением сульфаниламидов и препаратов нитрофуранового ряда. При отторжении зубного импланта местно показаны полоскания полости рта растворами на основе хлоргексидина биглюконата, а также препаратами из группы катионных антисептиков. Повторную реимплантацию проводят через 6-8 месяцев после полного восстановления костной ткани.
При своевременном обращении пациентов, правильном выборе лечебной тактики в течение 10-14 дней удается купировать воспалительный процесс. Если причиной отторжения зубного импланта стала врачебная ошибка, допущенная на этапах оперативного вмешательства или протезирования - квалифицированное проведение реимплантации позволит достичь стойкой остеоинтеграции. Если же осложнение возникло в результате неудовлетворительного гигиенического ухода или по причине системной патологии - прогноз неблагоприятный, от реимплантации следует отказаться.
С этой целью назначают антибактериальные препараты (линкозамиды, пенициллины), нестероидные противовоспалительные средства, антигистаминные и антипротозойные лекарства. Прием антибиотиков целесообразно сочетать с применением сульфаниламидов и препаратов нитрофуранового ряда. При отторжении зубного импланта местно показаны полоскания полости рта растворами на основе хлоргексидина биглюконата, а также препаратами из группы катионных антисептиков. Повторную реимплантацию проводят через 6-8 месяцев после полного восстановления костной ткани.
При своевременном обращении пациентов, правильном выборе лечебной тактики в течение 10-14 дней удается купировать воспалительный процесс. Если причиной отторжения зубного импланта стала врачебная ошибка, допущенная на этапах оперативного вмешательства или протезирования - квалифицированное проведение реимплантации позволит достичь стойкой остеоинтеграции. Если же осложнение возникло в результате неудовлетворительного гигиенического ухода или по причине системной патологии - прогноз неблагоприятный, от реимплантации следует отказаться.