Другие названия и синонимы
Imperfect dentinogenesis.
МКБ-10 коды
|
|
Описание
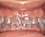
Несовершенный дентиногенез. Наследственный порок развития дентина. При 1 типе заболевания зубы приобретают серый цвет, форма коронок чаще в пределах нормы, наблюдается патологическая стираемость. Дети жалуются на повышенную кровоточивость десен, появление подвижности зубов. При 2 типе выявляют зубы янтарного цвета с прогрессирующим стиранием эмали, вследствие чего возникает гиперестезия дентина. Диагностика включает сбор анамнеза, клинический осмотр, рентгенографию, ЭОД. При наличии показаний проводят эндодонтическое лечение с последующим покрытием зубов коронками. При утрате нескольких зубов целостность зубных рядов восстанавливают с помощью съемных протезов.
Дополнительные факты
Несовершенный дентиногенез (наследственная опалесцентность дентина) - генетически обусловленное заболевание, которое возникает вследствие нарушения закладки мезодермальной зародышевой ткани (или мезодермальной и эктодермальной при синдроме Стентона-Капдепона). В 50% случаев несовершенный дентиногенез 1 типа сочетается с несовершенным остеогенезом. Основной тип наследования - аутосомно-доминантный. Частота диагностирования несовершенного дентиногенеза 1 типа составляет 1:50000. Заболевание чаще выявляют у представителей мужского пола. Поражаться могут как временные, так и постоянные зубы, но во временном прикусе несовершенный дентиногенез выявляют чаще.
Несовершенный дентиногенез 2 типа передается аутосомно-доминантным путем с полной пенетрантностью. Является наиболее распространенной формой заболевания, частота встречаемости в популяции 1:8000. Поражаются в равной степени временные и постоянные зубы. Заболевание было описано в 1892 году Стентоном, через 13 лет в 1905 году - Капдепоном. Несовершенный дентиногенез 3 типа выявляют очень редко в изолированных популяциях США и среди евреев-ашкенази.
Несовершенный дентиногенез 2 типа передается аутосомно-доминантным путем с полной пенетрантностью. Является наиболее распространенной формой заболевания, частота встречаемости в популяции 1:8000. Поражаются в равной степени временные и постоянные зубы. Заболевание было описано в 1892 году Стентоном, через 13 лет в 1905 году - Капдепоном. Несовершенный дентиногенез 3 типа выявляют очень редко в изолированных популяциях США и среди евреев-ашкенази.
Причины
Несовершенный дентиногенез развивается в результате нарушения формирования дентина на этапе дифференцировки тканей. Вследствие этого образуется аморфный, неорганизованный, атубулярный дентин с высоким содержанием органических веществ. Несовершенный дентиногенез 1 типа проявляется дефицитом образования коллагена. 2 тип заболевания связан с мутацией дентин-сиало-фосфопротеинового гена (DSPP), который кодирует образование специфического матричного белка (расположен в четвертой хромосоме). Причиной 3 типа несовершенного дентиногенеза являются нарушения дентинового матрикса фосфопротеина 1 (DMPI).
Гистологические изменения при трех формах несовершенного дентиногенеза выглядят следующим образом: в поверхностном слое нормальная структура дентина сохранена. В околопульпарном дентине наряду с участками, содержащими аномальные дентинные канальцы, встречаются и зоны полного их отсутствия.
• 1 тип несовершенного дентиногенеза. Строение эмали в пределах нормы. Нарушается структура околопульпарного дентина. Дентинные трубочки сужены, облитерированы. Наблюдается гипоминерализация дентина. Преколлагеновые волокна не превращаются в коллагеновые.
• Синдром Стентона. Капдепона (2 тип). Характеризуется нарушением строения эмали, уменьшением ее толщины, неоднородной структурой дентина, прогрессирующей кальцификацией пульповой камеры, дегенеративными изменениями в цементе. В дентине уменьшено количество трубочек, отмечается низкое содержание минеральных веществ.
• 3 тип несовершенного дентиногенеза. Дентинный матрикс атипичен, с характерными проявлениями фиброза. Наблюдается увеличенное количество интерглобулярного дентина, неоднородное строение припульпарного дентина, расширение пульповой камеры.
Гистологические изменения при трех формах несовершенного дентиногенеза выглядят следующим образом: в поверхностном слое нормальная структура дентина сохранена. В околопульпарном дентине наряду с участками, содержащими аномальные дентинные канальцы, встречаются и зоны полного их отсутствия.
• 1 тип несовершенного дентиногенеза. Строение эмали в пределах нормы. Нарушается структура околопульпарного дентина. Дентинные трубочки сужены, облитерированы. Наблюдается гипоминерализация дентина. Преколлагеновые волокна не превращаются в коллагеновые.
• Синдром Стентона. Капдепона (2 тип). Характеризуется нарушением строения эмали, уменьшением ее толщины, неоднородной структурой дентина, прогрессирующей кальцификацией пульповой камеры, дегенеративными изменениями в цементе. В дентине уменьшено количество трубочек, отмечается низкое содержание минеральных веществ.
• 3 тип несовершенного дентиногенеза. Дентинный матрикс атипичен, с характерными проявлениями фиброза. Наблюдается увеличенное количество интерглобулярного дентина, неоднородное строение припульпарного дентина, расширение пульповой камеры.
Клиническая картина
При несовершенном дентиногенезе 1 типа величина и размеры зубов, сроки прорезывания - в пределах нормы. Основные жалобы сводятся к появлению кровоточивости десен, может наблюдаться подвижность зубов 1-2 степени. Иногда встречается луковицеобразная форма коронок. Зубы приобретают более интенсивную водянисто-серую окраску. Часто диагностируют переломы корней, признаки патологической стираемости. Если несовершенный дентиногенез 1 типа ассоциирован с несовершенным остеогенезом, то тяжесть поражения зубов не коррелирует с тяжестью основного заболевания.
Синдром Стентона-Капдепона, как правило, является изолированной патологией. Зубы янтарного, водянисто-серого цвета, опалесцируют. Зафиксированы редкие случаи фиолетовой окраски. Иногда встречаются укороченные клинические коронки в форме луковицы. При несовершенном дентиногенезе 2 типа наблюдается прогрессирующая облитерация пульповых камер, которая начинается еще до момента прорезывания. Эмаль быстро скалывается, что приводит к оголению дентина, снижению высоты прикуса, смещению головки височно-нижнечелюстного сустава.
Ассоциированные симптомы: Зубная боль.
Синдром Стентона-Капдепона, как правило, является изолированной патологией. Зубы янтарного, водянисто-серого цвета, опалесцируют. Зафиксированы редкие случаи фиолетовой окраски. Иногда встречаются укороченные клинические коронки в форме луковицы. При несовершенном дентиногенезе 2 типа наблюдается прогрессирующая облитерация пульповых камер, которая начинается еще до момента прорезывания. Эмаль быстро скалывается, что приводит к оголению дентина, снижению высоты прикуса, смещению головки височно-нижнечелюстного сустава.
Ассоциированные симптомы: Зубная боль.
Диагностика
Важным этапом диагностики является сбор анамнеза с целью выявления наследственных факторов заболевания. Клинические признаки варьируют в зависимости от формы несовершенного дентиногенеза. В ходе физикального осмотра врач-стоматолог определяет изменение цвета зубов. Коронки приобретают атипичную шаровидную форму вследствие значительного сужения в области шейки. Также выявляют патологическую стираемость, снижение нижней трети лица.
Рентгенологическими признаками несовершенного дентиногенеза 1 типа являются истончение кортикального слоя челюсти, крупноячеистое строение губчатого вещества, медленно прогрессирующее кальцифицирование корней после прорезывания. При синдроме Стентона-Капдепона с помощью рентгенографии выявляют уменьшенные пульповые камеры, облитерированные каналы. Часто диагностируют периапикальные очаги разрежения костной ткани. При проведении электроодонтодиагностики определяют снижение показателей возбудимости пульпы.
Рентгенологическими признаками несовершенного дентиногенеза 1 типа являются истончение кортикального слоя челюсти, крупноячеистое строение губчатого вещества, медленно прогрессирующее кальцифицирование корней после прорезывания. При синдроме Стентона-Капдепона с помощью рентгенографии выявляют уменьшенные пульповые камеры, облитерированные каналы. Часто диагностируют периапикальные очаги разрежения костной ткани. При проведении электроодонтодиагностики определяют снижение показателей возбудимости пульпы.
Дифференциальная диагностика
Дифференцировать несовершенный дентиногенез необходимо не только с несовершенным амелогенезом, дисплазией дентина, кислотным некрозом, аномалиями развития зубов, но и с другими изменениями дентина, ассоциированными с общими заболеваниями. Речь идет о брахиоскелетогенитальном синдроме, мраморной болезни, гипофосфатазии, синдроме Элерса-Данлоса. С целью выявления генетически детерминированных факторов заболевания показана медико-генетическая консультация.
Лечение
Лечение несовершенного дентиногенеза требует комплексного подхода. Основная задача - максимально щадящим способом сохранить зубы. С этой целью показана реминерализирующая терапия. В качестве препаратов для восстановления минерального состава используют кальций- и фторсодержащие средства. При наличии апикальных очагов разрежения костной ткани проводят эндодонтическое лечение с последующим покрытием зубов коронками. В случае утраты зубов показано ортопедическое лечение. Для замещения дефектов зубных рядов, а также с целью предотвращения развития зубочелюстных деформаций применяют съемные протезы. Несъемные мостовидные конструкции при несовершенном дентиногенезе используют редко. Повышение высоты прикуса проводят с помощью съемных капп.
Если несовершенный дентиногенез является изолированной патологией, прогноз более благоприятный. При раннем обращении пациентов, эффективном эндодонтическом лечении, своевременном покрытии пораженных зубов коронками функциональную целостность зубочелюстной системы удается сохранить.
Если несовершенный дентиногенез является изолированной патологией, прогноз более благоприятный. При раннем обращении пациентов, эффективном эндодонтическом лечении, своевременном покрытии пораженных зубов коронками функциональную целостность зубочелюстной системы удается сохранить.
|
|