Другие названия и синонимы
Stanton-Capdepon syndrome.
Описание
Синдром Стентона. Капдепона - генетически детерминированное заболевание, проявляющееся нарушением развития эмали и дентина. Основные жалобы сводятся к появлению эстетического дефекта. При прорезывании величина и форма зубов не нарушены. Наблюдается дисколорит - эмаль окрашена в серый или коричневый цвет. Раннее стирание эмали и дентина приводит снижению высоты прикуса. Диагностика синдрома Стентона-Капдепона включает анализ анамнеза заболевания, данных физикального обследования, результатов рентгенологического исследования и ЭОД. При выявлении синдрома Стентона-Капдепона показана комплексная реминерализирующая терапия с последующим протезированием.
|
|
Дополнительные факты
Синдром Стентона-Капдепона (болезнь Капдепона, бескорневые зубы, мезоэктодермальная одонтопатия) - наследственная патология развития зародышевых листов экто- и мезодермы, проявляющаяся сочетанным нарушением амело- и дентиногенеза. Заболевание передается по аутосомно-доминантному типу, поэтому при обнаружении у одного из родителей синдрома Стентона-Капдепона вероятность возникновения одонтопатии у детей составляет 50%. Наследственную аномалию в равной степени выявляют как у девочек, так и у мальчиков. В чистых монголоидных и негроидных расах болезнь Капдепона не встречается. Поражаться могут не только временные, но и постоянные зубы. От всего числа наследственных пороков развития зубов распространенность синдрома Стентона-Капдепона составляет около 33%.
Причины
Синдром Стентона-Капдепона возникает в результате мутации гена дентин-сиало-фосфопротеина, расположенного на 4 хромосоме и отвечающего за образование специфического матричного белка. Гистологически при синдроме Стентона-Капдепона в эмали наряду с бесструктурными участками выявляют зоны с широким расстоянием между эмалевыми призмами. Слой эмали уменьшенной толщины. Соединение эмали с дентином имеет вид прямой линии, чем стоматологи и объясняют отсутствие прочной связи между твердыми тканями зуба. Слой предентина, как правило, отсутствует. Количество дентинных канальцев резко снижено. Вследствие активного продуцирования заместительного дентина при синдроме Стентона-Капдепона наблюдается облитерация пульповой камеры и кальцификация корневых каналов. Строение одонтобластов нарушено. В цементе наряду с локальными очагами гиперцементоза обнаруживают участки резорбции.
Клиническая картина
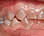
В большинстве случаев при Синдроме Стентона-Капдепона зубы прорезываются в срок. Редко наблюдается раннее или позднее прорезывание. Форма, размеры коронок не нарушены. Цвет эмали варьирует от янтарного или темно-серого до коричневого. В результате заполнения кровью гигантских дентинных трубочек зубы у пациентов с синдромом Стентона-Капдепона становятся красными, розовыми или даже фиолетовыми. Эмаль тонкая, быстро скалывается, обнажая при этом поверхность дентина.
В связи с увеличенным содержанием воды и сниженным количеством минеральных элементов структура дентина при синдроме Стентона-Капдепона несовершенна, что приводит к повышенной стираемости зубов. В результате этого снижается высота прикуса, уменьшается нижняя треть лица. Вследствие прогрессирующей облитерации пульповой камеры жалобы на повышенную чувствительность зубов при синдроме Стентона-Капдепона возникают крайне редко. Болезненность появляется при повреждении слизистой, а также интерпроксимальных сосочков острыми краями, образовавшимися в результате сколов эмали.
В связи с увеличенным содержанием воды и сниженным количеством минеральных элементов структура дентина при синдроме Стентона-Капдепона несовершенна, что приводит к повышенной стираемости зубов. В результате этого снижается высота прикуса, уменьшается нижняя треть лица. Вследствие прогрессирующей облитерации пульповой камеры жалобы на повышенную чувствительность зубов при синдроме Стентона-Капдепона возникают крайне редко. Болезненность появляется при повреждении слизистой, а также интерпроксимальных сосочков острыми краями, образовавшимися в результате сколов эмали.
Диагностика
Постановка диагноза синдром Стентона-Капдепона базируется на основании анамнестических данных, клинического осмотра и результатов дополнительных методов исследования. В ходе физикального обследования врач-стоматолог выявляет пигментацию зубов серого, опалесцирующего или коричневого оттенка. Форма зубов правильная. Размеры коронок при синдроме Стентона-Капдепона в пределах нормы. Эмаль тонкая и хрупкая, быстро скалывается после прорезывания, обнажая слой дентина. Вследствие окрашивания дентина зубы становятся темно-коричневыми. В результате повышенного стирания образуются острые края, травмирующие слизистую оболочку полости рта. При синдроме Стентона-Капдепона просвечиваются пульповые камеры.
На рентгенограмме выявляют снижение высоты корней, сужение полости зуба, облитерацию корневых каналов. Также у пациентов с синдромом Стентона-Капдепона рентгенографически часто обнаруживают периапикальные очаги деструкции костной ткани. Наличие кистозных образований многие ученые связывают не с проникновением инфекции трансдентально при воспалении и распаде пульпы, а с нарушением процессов костеобразования. Результаты ЭОД свидетельствуют о снижении чувствительности пульпы.
На рентгенограмме выявляют снижение высоты корней, сужение полости зуба, облитерацию корневых каналов. Также у пациентов с синдромом Стентона-Капдепона рентгенографически часто обнаруживают периапикальные очаги деструкции костной ткани. Наличие кистозных образований многие ученые связывают не с проникновением инфекции трансдентально при воспалении и распаде пульпы, а с нарушением процессов костеобразования. Результаты ЭОД свидетельствуют о снижении чувствительности пульпы.
Дифференциальная диагностика
Дифференцируют синдром Стентона-Капдепона с другими генетически обусловленными пороками развития твердых тканей зубов: несовершенным амелогенезом, 1 и 3 типами несовершенного дентиногенеза, дисплазией дентина. Обследование проводит стоматолог-терапевт. Для выявления наследственных факторов заболевания показана консультация генетика.
Лечение
При диагностировании синдрома Стентона-Капдепона проводят полноценную комплексную экзо- и эндогенную реминерализирующую терапию, которая направлена восстановление минерального состава эмали и дентина, предотвращение дальнейшего разрушения зубов. Пациенту назначают фосфорно-кальциевые препараты, витамины, микроэлементы для приема внутрь. Поверхность зубов покрывают средствами, содержащими кальций, фтор. Реставрация зубов светоотверждающими композиционными материалами при синдроме Стентона-Капдепона является временной мерой, так как в связи со сниженной минерализацией крепкой связи между фотополимерным материалом и дентином не возникает, что приводит к дальнейшему разрушению зубов. В детском возрасте для восстановления коронок в стоматологии наиболее часто применяют стеклоиономерный цемент, что обусловлено хорошей адгезией материала к эмали и дентину, кариеспротекторным эффектом, высокой биосовместимостью.
При выявлении у пациентов с синдромом Стентона-Капдепона периапикальных изменений показано эндодонтическое лечение с дальнейшим покрытием зубов коронками. Оптимальным методом восстановления эстетики и функции при синдроме Стентона-Капдепона является протезирование. На боковые зубы изготавливают цельнолитые коронки, фронтальные покрывают коронками из металлокерамики или проводят ламинирование щечных поверхностей передней группы зубов методом непрямого виниринга с использованием керамических накладок. При выявлении перелома корня зуба или в случае неэффективности эндодонтического лечения зуб подлежит удалению. Для замещения дефектов зубных рядов чаще используют съемные протезы. При раннем обращении пациентов, своевременном проведении реминерализирующей терапии, рациональном протезировании твердые ткани зубов удается сохранить. Позднее выявление патологии приводит к разрушению и потере зубов.
При выявлении у пациентов с синдромом Стентона-Капдепона периапикальных изменений показано эндодонтическое лечение с дальнейшим покрытием зубов коронками. Оптимальным методом восстановления эстетики и функции при синдроме Стентона-Капдепона является протезирование. На боковые зубы изготавливают цельнолитые коронки, фронтальные покрывают коронками из металлокерамики или проводят ламинирование щечных поверхностей передней группы зубов методом непрямого виниринга с использованием керамических накладок. При выявлении перелома корня зуба или в случае неэффективности эндодонтического лечения зуб подлежит удалению. Для замещения дефектов зубных рядов чаще используют съемные протезы. При раннем обращении пациентов, своевременном проведении реминерализирующей терапии, рациональном протезировании твердые ткани зубов удается сохранить. Позднее выявление патологии приводит к разрушению и потере зубов.