Другие названия и синонимы
Malignant tumors of the oral cavity.
МКБ-10 коды
|
|
Описание
Злокачественные опухоли полости рта. Новообразования, происходящие из клеток эпителиальной и соединительной ткани, проявляющие склонность к инфильтративному росту, метастазированию. У онкобольных на слизистой возникает язвенное или папиллярное поражение. Наблюдается болезненность при приеме пищи и во время разговора. Присутствует иррадиация боли в ухо, висок. Диагностика состоит из сбора жалоб, клинического осмотра, рентгенографии, цитологического исследования. Эффективным методом лечения злокачественных опухолей полости рта является комбинация лучевой терапии с хирургическим удалением новообразования.
Дополнительные факты
Злокачественные опухоли полости рта - неопластические процессы, развивающиеся из поверхностного эпителия, клеток соединительной ткани. В РФ среди всех онкологических заболеваний злокачественные опухоли полости рта диагностируют у 3% пациентов, в США этот показатель равен 8%. В Индии новообразования ротовой полости выявляют у 52% онкобольных. Наиболее часто встречаются опухоли языка. Второе место по распространенности занимают поражения щечной области. Реже всего диагностируют новообразования язычка мягкого неба и небных дужек. Злокачественные опухоли полости рта обнаруживают преимущественно у мужчин после 50-60 лет. Частота регионарного метастазирования достигает 50-70%. Отдаленные метастазы выявляют у 3% пациентов.
Причины
К местным причинам, вызывающим появление злокачественных опухолей полости рта, в стоматологии относят механические травмы. В месте контакта слизистой с острыми краями протеза, разрушенными стенками зубов возникает язвенная поверхность. Длительное воздействие раздражающих факторов приводит к озлокачествлению декубитальной язвы. Быстрая трансформация клеток эпителия наблюдается у пациентов с низким уровнем гигиены, а также при наличии вредных привычек. Агрессивное воздействие на слизистую оболочку полости рта оказывает курение наса и бетеля.
Развитие злокачественных опухолей полости рта вызывают такие предраковые заболевания, как эритроплазия Кейра, язвенная и веррукозная формы лейкоплакии, болезнь Боуэна. Неблагоприятно сказывается на состоянии слизистой оболочки ротовой полости постоянное употребление горячих, пряных, острых продуктов. Профессиональные вредности, чрезмерное УФ-излучение также могут спровоцировать перерождение слизистой, способствуя появлению злокачественных опухолей полости рта. Дефицит ретинола приводит к нарушению процессов десквамации, вследствие чего существенно возрастает риск неопластических процессов.
Развитие злокачественных опухолей полости рта вызывают такие предраковые заболевания, как эритроплазия Кейра, язвенная и веррукозная формы лейкоплакии, болезнь Боуэна. Неблагоприятно сказывается на состоянии слизистой оболочки ротовой полости постоянное употребление горячих, пряных, острых продуктов. Профессиональные вредности, чрезмерное УФ-излучение также могут спровоцировать перерождение слизистой, способствуя появлению злокачественных опухолей полости рта. Дефицит ретинола приводит к нарушению процессов десквамации, вследствие чего существенно возрастает риск неопластических процессов.
Классификация
Эпителиальные злокачественные опухоли полости рта разделяют на две основных категории:
• Рак in situ. Сопровождается трансформацией эпителиальных клеток, при этом признаки вовлечения в неопластический процесс базальной мембраны отсутствуют. Интраэпителиальный рак является наиболее благоприятной формой среди всех злокачественных опухолей полости рта, поскольку раковые клетки не распространяются за пределы первичного очага.• Плоскоклеточный рак. К этой группе относят ороговевающий, неороговевающий плоскоклеточный рак и низкодифференцированный неопластический процесс. У больных нарушается целостность базальной мембраны, трансформации подвергаются окружающие ткани.
• G3. Обнаруживают одиночные эпителиальные жемчужины. Выражен клеточный, ядерный полиморфизм. Наблюдается большое количество атипичных митозов. Присутствуют гигантские многоядерные клетки.
Клиническая картина
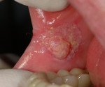
При злокачественных опухолях полости рта выявляют язвы или папиллярные разрастания слизистой. В латентном периоде жалобы, как правило, отсутствуют. Со временем появляется болезненность при жевании, во время разговора. Для злокачественных опухолей полости рта характерна иррадиация боли в ухо, висок. При эндофитном типе роста новообразования на слизистой выявляют язву небольших размеров с выраженным инфильтратом у основания. Папиллярные злокачественные опухоли полости рта представляют собой разрастания эпителия. В начальном периоде слизистая над патологически измененными тканями в цвете не изменена, новообразование четко отграничено от здоровых тканей. В дальнейшем опухоль прорастает в смежные участки, поверхность подвергается изъязвлению.
Диагностика
Постановка диагноза злокачественные опухоли полости рта базируется на основании жалоб, данных анамнеза, результатов физикального осмотра и цитологического исследования. Во время клинического обследования врач-стоматолог выявляет кровоточащую язвенную поверхность неправильной формы с плотным разлитым инфильтратом у основания. Провести грань между участком поражения и здоровыми тканями не удается. При экзофитном типе роста опухоли в полости рта образуется плотное новообразование грибовидной формы. Подлежащие ткани инфильтрированы. У пациентов со злокачественными опухолями полости рта регионарные лимфоузлы увеличены, уплотненны, безболезненны.
Цитологическое исследование соскоба, взятого с поверхности неопластического образования, проводят для определения степени дифференцировки метаплазированных тканей, а также с целью обнаружения уровня митотической активности опухоли. В состав обязательного диагностического минимума при злокачественных опухолях полости рта входят рентгенография челюстей, УЗИ шейного отдела, рентген грудной клетки, анализ крови.
Цитологическое исследование соскоба, взятого с поверхности неопластического образования, проводят для определения степени дифференцировки метаплазированных тканей, а также с целью обнаружения уровня митотической активности опухоли. В состав обязательного диагностического минимума при злокачественных опухолях полости рта входят рентгенография челюстей, УЗИ шейного отдела, рентген грудной клетки, анализ крови.
Дифференциальная диагностика
Дифференцируют злокачественные опухоли полости рта с предраковыми заболеваниями, декубитальной язвой, а также с туберкулезными, актиномикотическими и сифилитическими поражениями. Обследование проводит челюстно-лицевой хирург и онколог.
Лечение
Основными методами лечения злокачественных опухолей полости рта являются лучевая терапия и хирургическое удаление новообразования. Во время начальной стадии канцерогенеза достичь регрессии опухоли удается с помощью дистанционного излучения и брахитерапии. Кроме воздействия на первичный очаг поражения, лучевой терапии подвергается также зона регионарного метастазирования. Лечение злокачественных опухолей полости рта III-IV степени включает пред- и послеоперационную лучевую терапию, химиотерапию. Во время хирургического вмешательства новообразование удаляют вместе с подлежащими тканями. При распространении неопластического процесса на костные ткани осуществляют краевую или сегментарную резекцию челюсти.
Если после воздействия лучевой терапии на зону регионарного метастазирования лимфоузлы уменьшились в размере, оперативное вмешательство не проводят. При отсутствии положительной динамики показана шейная лимфаденэктомия. При наличии метастазов, спаянных с кивательной мышцей, выполняют операцию Крайля, которая заключается в удалении лимфоузлов, клетчатки, слюнных желез, кивательной мышцы, внутренней яремной вены. Прогноз при злокачественных заболеваниях полости рта зависит как от степени канцерогенеза, так и от выбора метода лечения. Выживаемость при опухолях I степени - 80%, II степени - 60%, в случае III степени - 35%. При злокачественных опухолях полости рта IV степени прогноз неблагоприятный. Регрессии новообразования удается достичь только в отдельных клинических случаях.
Если после воздействия лучевой терапии на зону регионарного метастазирования лимфоузлы уменьшились в размере, оперативное вмешательство не проводят. При отсутствии положительной динамики показана шейная лимфаденэктомия. При наличии метастазов, спаянных с кивательной мышцей, выполняют операцию Крайля, которая заключается в удалении лимфоузлов, клетчатки, слюнных желез, кивательной мышцы, внутренней яремной вены. Прогноз при злокачественных заболеваниях полости рта зависит как от степени канцерогенеза, так и от выбора метода лечения. Выживаемость при опухолях I степени - 80%, II степени - 60%, в случае III степени - 35%. При злокачественных опухолях полости рта IV степени прогноз неблагоприятный. Регрессии новообразования удается достичь только в отдельных клинических случаях.
|
|
Связанные клинические рекомендации
Связанные стандарты мед. помощи
- Стандарт медицинской помощи детям при меланоме кожи и слизистых оболочек (диагностика и лечение)
- Стандарт специализированной медицинской помощи при злокачественных новообразованиях полости рта, ротоглотки, губы (самостоятельная лучевая терапия)
- Стандарт специализированной медицинской помощи при злокачественных новообразованиях губы I-III стадии, полости рта I-II стадии, ротоглотки I-III стадии (самостоятельная дистанционная лучевая терапия в дневном стационаре)
- Стандарт первичной медико-санитарной помощи при злокачественных новообразованиях полости рта 0-IV стадии (обследование в целях установления диагноза заболевания и подготовки к противоопухолевому лечению)
- Стандарт специализированной медицинской помощи при злокачественных новообразованиях полости рта II-IVA стадии (пред- и послеоперационная дистанционная лучевая терапия в условиях дневного стационара)
- Стандарт первичной медико-санитарной помощи при злокачественных новообразованиях полости рта 0-IV стадии (обследование при проведении диспансерного наблюдения)
- Стандарт специализированной медицинской помощи при злокачественных новообразованиях полости рта II-IVA стадии (предоперационная или послеоперационная лучевая терапия)