Продолжая работу с сайтом, вы разрешаете использование сookies и соглашаетесь с политикой конфиденциальности.
.,о.,р..и.:г,.и.,н.;н.,а;,л.. .,н.:а,.х.,о.,д.;и.,т..с.:я,, ..н.;а., .,k;,i..b.:e,;r.,i.,s.,.;.r.:u,

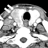
КТ щитовидной железы

Средняя цена: ≈4651₽
Лечат в 142 клиниках
X
X

Дерево медицинских услуг

Другие названия и синонимы

CT of the thyroid gland.
КТ щитовидной железы

Описание

 МСКТ щитовидной железы. Это целенаправленное томографическое сканирование проекции железы, направленное на получение трехмерных и тонких трехмерных изображений органа. Имеет диагностическое значение при оценке размеров щитовидной железы и ее структуры, выявлении патологических процессов. Более того, это позволяет оценить состояние околощитовидных желез и лимфатических узлов шеи. МСКТ щитовидной железы помогает обнаруживать узелки, определять степень их распространенности и положения относительно соседних анатомических структур (трахеи, пищевода, яремных вен ). Для изучения регионарной гемодинамики процедуру проводят с внутривенным контрастным введением. Под контролем МСКТ, биопсия узлов щитовидной железы может быть проведена. сTMS щитовидной железы помогает определить показания и объем операции.

Номенклатурные коды

42a96bb5c8a2acfb07fc866444b97bf1
Доступно только при использовании PRO аккаунта
Модератор контента: Васин А.С.


  1. Киберис НЕ является интернет-магазином и НЕ осуществляет закупку, хранение, продажу и доставку препаратов. Ресурс выступает лишь в роли посредника между вами и производителем препаратов или аптечными пунктами, которые и осуществляют поставку.
  2. На Киберис размещены описания препаратов, часть из которых предназначена только для врачей. Данная информация не может быть использована пациентами для принятия решения об использовании препаратов, их отмене или коррекции дозировок.
  3. Ничто в представленной информации не должно быть истолковано как призыв использовать данные препараты.
  4. К Киберис не могут быть обращены претензии по поводу любого ущерба или вреда, понесенного в результате использования размещенной на сайте информации.